• 文献检索
  • 文档翻译
  • 深度研究
  • 学术资讯
  • Suppr Zotero 插件Zotero 插件
  • 邀请有礼
  • 套餐&价格
  • 历史记录
应用&插件
Suppr Zotero 插件Zotero 插件浏览器插件Mac 客户端Windows 客户端微信小程序
定价
高级版会员购买积分包购买API积分包
服务
文献检索文档翻译深度研究API 文档MCP 服务
关于我们
关于 Suppr公司介绍联系我们用户协议隐私条款
关注我们

Suppr 超能文献

核心技术专利:CN118964589B侵权必究
粤ICP备2023148730 号-1Suppr @ 2026

文献检索

告别复杂PubMed语法,用中文像聊天一样搜索,搜遍4000万医学文献。AI智能推荐,让科研检索更轻松。

立即免费搜索

文件翻译

保留排版,准确专业,支持PDF/Word/PPT等文件格式,支持 12+语言互译。

免费翻译文档

深度研究

AI帮你快速写综述,25分钟生成高质量综述,智能提取关键信息,辅助科研写作。

立即免费体验

人乳头瘤病毒使口咽癌中的cIAP-2蛋白上调:其在体外辐射抗性中的作用

cIAP-2 protein is upregulated by human papillomavirus in oropharyngeal cancers: role in radioresistance in vitro.

作者信息

Oliva Carolina, Carrillo-Beltrán Diego, Osorio Julio C, Gallegos Iván, Carvajal Felipe, Mancilla-Miranda Claudio, Boettiger Paul, Boccardo Enrique, Aguayo Francisco

机构信息

Laboratorio de Oncovirología, Programa de Virología, Facultad de Medicina, Instituto de Ciencias Biomédicas (ICBM), Universidad de Chile, 8380000, Santiago, Chile.

Departamento de Otorrinolaringología, Hospital Clínico Universidad de Chile, 8380000, Santiago, Chile.

出版信息

Infect Agent Cancer. 2024 Sep 27;19(1):47. doi: 10.1186/s13027-024-00609-z.

DOI:10.1186/s13027-024-00609-z
PMID:39334439
原文链接:https://pmc.ncbi.nlm.nih.gov/articles/PMC11429157/
Abstract

BACKGROUND

High-risk human papillomaviruses are the causal agents of a subset of head and neck cancers. A previous transcriptomic analysis showed that cIAP2 protein, involved in cell survival and apoptosis, is upregulated in OKF6 oral cells that express HPV16 E6/E7. In addition, cIAP2 promotes radioresistance, a very important concern in HNC treatment. However, cIAP2 increase has not yet been evaluated in oropharyngeal carcinomas (OPCs), nor has been the role of cIAP2 in HNC radioresistance.

METHODS

We carried out a descriptive-analytical retrospective study in 49 OPCs from Chilean patients. We determined the expression of cIAP2 at transcript and proteins levels using reverse-transcriptase -polymerase chain reaction and immunohistochemistry, respectively. HPV and p16 expression were previously analyzed in these specimens. In addition, SCC-143 HNC cells ectopically expressing HPV16 E6/E7 were analyzed for cIAP2 expression and after transfection with a siRNA for HPV16 E6/E7 knocking down.

RESULTS

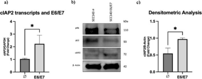
We found a statistically significant association between HPV presence and cIAP2 expression (p = 0.0032 and p = 0.0061, respectively). An association between p16 and cIAP2 levels was also found (p = 0.038). When SCC-143 cells were transfected with a construct expressing HPV16 E6/E7, the levels of cIAP2 were significantly increased (p = 0.0383 and p = 0.0115, respectively). Conversely, HPV16 E6 and E7 knocking down resulted in a decrease of cIAP2 levels (p = 0.0161 and p = 0.006, respectively). Finally, cIAP2 knocking down in HPV16 E6/E7 cells resulted in increased apoptosis after exposure to radiation at 4 and 8 Gy (p = 0.0187 and p = 0.0061, respectively).

CONCLUSION

This study demonstrated for the first time a positive relationship between HPV presence and cIAP2 levels in OPCs. Additionally, cIAP2 knocking down sensitizes HNC cells to apoptosis promoted by radiation. Therefore, cIAP2 is a potential therapeutic target for radiation in HPV-driven HNC.

摘要

背景

高危型人乳头瘤病毒是一部分头颈癌的致病因子。先前的转录组分析表明,参与细胞存活和凋亡的cIAP2蛋白在表达HPV16 E6/E7的OKF6口腔细胞中上调。此外,cIAP2可促进放射抗性,这是头颈癌治疗中一个非常重要的问题。然而,cIAP2的增加尚未在口咽癌(OPC)中得到评估,cIAP2在头颈癌放射抗性中的作用也未得到评估。

方法

我们对49例智利患者的OPC进行了描述性分析回顾性研究。我们分别使用逆转录-聚合酶链反应和免疫组织化学在转录水平和蛋白质水平测定cIAP2的表达。这些标本之前已分析过HPV和p16的表达。此外,对异位表达HPV16 E6/E7的SCC-143头颈癌细胞进行cIAP2表达分析,并在用HPV16 E6/E7的小干扰RNA转染以敲低后进行分析。

结果

我们发现HPV的存在与cIAP2表达之间存在统计学上的显著关联(分别为p = 0.0032和p = 0.0061)。还发现p16与cIAP2水平之间存在关联(p = 0.038)。当用表达HPV16 E6/E7的构建体转染SCC-143细胞时,cIAP2水平显著增加(分别为p = 0.0383和p = 0.0115)。相反,HPV16 E6和E7的敲低导致cIAP2水平降低(分别为p = 0.0161和p = 0.006)。最后,在HPV16 E6/E7细胞中敲低cIAP2导致在4 Gy和8 Gy辐射后凋亡增加(分别为p = 0.0187和p = 0.0061)。

结论

本研究首次证明OPC中HPV的存在与cIAP2水平之间存在正相关。此外,敲低cIAP2可使头颈癌细胞对辐射促进的凋亡敏感。因此,cIAP2是HPV驱动的头颈癌放疗的潜在治疗靶点。

https://cdn.ncbi.nlm.nih.gov/pmc/blobs/a5d5/11429157/ddbc5ac21c77/13027_2024_609_Fig9_HTML.jpg
https://cdn.ncbi.nlm.nih.gov/pmc/blobs/a5d5/11429157/573f7ab5d3d0/13027_2024_609_Fig1_HTML.jpg
https://cdn.ncbi.nlm.nih.gov/pmc/blobs/a5d5/11429157/ee4b6193f9a5/13027_2024_609_Fig2_HTML.jpg
https://cdn.ncbi.nlm.nih.gov/pmc/blobs/a5d5/11429157/6f5a53f756b4/13027_2024_609_Fig3_HTML.jpg
https://cdn.ncbi.nlm.nih.gov/pmc/blobs/a5d5/11429157/97a9e83bd19f/13027_2024_609_Fig4_HTML.jpg
https://cdn.ncbi.nlm.nih.gov/pmc/blobs/a5d5/11429157/876590022909/13027_2024_609_Fig5_HTML.jpg
https://cdn.ncbi.nlm.nih.gov/pmc/blobs/a5d5/11429157/bea8ee2c9ebd/13027_2024_609_Fig6_HTML.jpg
https://cdn.ncbi.nlm.nih.gov/pmc/blobs/a5d5/11429157/daf9f0ff3f6e/13027_2024_609_Fig7_HTML.jpg
https://cdn.ncbi.nlm.nih.gov/pmc/blobs/a5d5/11429157/ba6062c4c042/13027_2024_609_Fig8_HTML.jpg
https://cdn.ncbi.nlm.nih.gov/pmc/blobs/a5d5/11429157/ddbc5ac21c77/13027_2024_609_Fig9_HTML.jpg
https://cdn.ncbi.nlm.nih.gov/pmc/blobs/a5d5/11429157/573f7ab5d3d0/13027_2024_609_Fig1_HTML.jpg
https://cdn.ncbi.nlm.nih.gov/pmc/blobs/a5d5/11429157/ee4b6193f9a5/13027_2024_609_Fig2_HTML.jpg
https://cdn.ncbi.nlm.nih.gov/pmc/blobs/a5d5/11429157/6f5a53f756b4/13027_2024_609_Fig3_HTML.jpg
https://cdn.ncbi.nlm.nih.gov/pmc/blobs/a5d5/11429157/97a9e83bd19f/13027_2024_609_Fig4_HTML.jpg
https://cdn.ncbi.nlm.nih.gov/pmc/blobs/a5d5/11429157/876590022909/13027_2024_609_Fig5_HTML.jpg
https://cdn.ncbi.nlm.nih.gov/pmc/blobs/a5d5/11429157/bea8ee2c9ebd/13027_2024_609_Fig6_HTML.jpg
https://cdn.ncbi.nlm.nih.gov/pmc/blobs/a5d5/11429157/daf9f0ff3f6e/13027_2024_609_Fig7_HTML.jpg
https://cdn.ncbi.nlm.nih.gov/pmc/blobs/a5d5/11429157/ba6062c4c042/13027_2024_609_Fig8_HTML.jpg
https://cdn.ncbi.nlm.nih.gov/pmc/blobs/a5d5/11429157/ddbc5ac21c77/13027_2024_609_Fig9_HTML.jpg

相似文献

1
cIAP-2 protein is upregulated by human papillomavirus in oropharyngeal cancers: role in radioresistance in vitro.人乳头瘤病毒使口咽癌中的cIAP-2蛋白上调:其在体外辐射抗性中的作用
Infect Agent Cancer. 2024 Sep 27;19(1):47. doi: 10.1186/s13027-024-00609-z.
2
Biomarkers of HPV in head and neck squamous cell carcinoma.头颈部鳞状细胞癌的 HPV 生物标志物。
Cancer Res. 2012 Oct 1;72(19):5004-13. doi: 10.1158/0008-5472.CAN-11-3277. Epub 2012 Sep 18.
3
HPV16 E6/E7 expression in circulating tumor cells in oropharyngeal squamous cell cancers: A pilot study.HPV16 E6/E7 表达在口咽鳞状细胞癌循环肿瘤细胞中的研究:一项初步研究。
PLoS One. 2019 May 9;14(5):e0215984. doi: 10.1371/journal.pone.0215984. eCollection 2019.
4
Human Papillomavirus Detected in Oropharyngeal Cancers from Chilean Subjects.智利人群口咽癌中检出人乳头瘤病毒。
Viruses. 2022 Jun 2;14(6):1212. doi: 10.3390/v14061212.
5
The membrane-associated ubiquitin ligase MARCHF8 stabilizes the human papillomavirus oncoprotein E7 by degrading CUL1 and UBE2L3 in head and neck cancer.膜相关泛素连接酶 MARCHF8 通过降解头颈部癌症中的 CUL1 和 UBE2L3 来稳定人乳头瘤病毒癌蛋白 E7。
J Virol. 2024 Feb 20;98(2):e0172623. doi: 10.1128/jvi.01726-23. Epub 2024 Jan 16.
6
Human papillomavirus (HPV) 16 and the prognosis of head and neck cancer in a geographical region with a low prevalence of HPV infection.人乳头瘤病毒(HPV)16 与 HPV 感染低流行地区头颈部癌症的预后。
Cancer Causes Control. 2014 Apr;25(4):461-71. doi: 10.1007/s10552-014-0348-8. Epub 2014 Jan 29.
7
E6 and e7 gene silencing and transformed phenotype of human papillomavirus 16-positive oropharyngeal cancer cells.人乳头瘤病毒16型阳性口咽癌细胞的E6和E7基因沉默与转化表型
J Natl Cancer Inst. 2009 Mar 18;101(6):412-23. doi: 10.1093/jnci/djp017. Epub 2009 Mar 10.
8
Inclusion of an E7 DNA Amplification Test Improves the Robustness of Human Papillomavirus-Associated Oropharyngeal Squamous Cell Carcinoma Diagnosis.纳入E7 DNA扩增检测可提高人乳头瘤病毒相关口咽鳞状细胞癌诊断的稳健性。
World J Oncol. 2020 Feb;11(1):1-8. doi: 10.14740/wjon1243. Epub 2020 Feb 2.
9
Recombinant adenoviruses expressing HPV16/18 E7 upregulate the HDAC6 and DNMT3B genes in C33A cells.表达 HPV16/18 E7 的重组腺病毒上调 C33A 细胞中的 HDAC6 和 DNMT3B 基因。
Front Cell Infect Microbiol. 2024 Oct 1;14:1459572. doi: 10.3389/fcimb.2024.1459572. eCollection 2024.
10
Human papillomavirus infections and upper aero-digestive tract cancers: the ARCAGE study.人乳头瘤病毒感染与上呼吸道-消化道癌症:ARCAGE 研究。
J Natl Cancer Inst. 2013 Apr 17;105(8):536-45. doi: 10.1093/jnci/djt053. Epub 2013 Mar 16.

本文引用的文献

1
Human Papillomavirus-Associated Oropharyngeal Cancer: Global Epidemiology and Public Policy Implications.人乳头瘤病毒相关口咽癌:全球流行病学及公共政策影响
Cancers (Basel). 2023 Aug 13;15(16):4080. doi: 10.3390/cancers15164080.
2
Global epidemiologic patterns of oropharyngeal cancer incidence trends.口咽癌发病率趋势的全球流行病学模式。
J Natl Cancer Inst. 2023 Dec 6;115(12):1544-1554. doi: 10.1093/jnci/djad169.
3
Human papillomavirus maybe is a critical player in the regulation of chemoresistance related factors (P53, Rb, TWIST, Bcl-2, Bcl-XL, c-IAP2, cytochrome C, and caspase 3) in breast cancer.
人乳头瘤病毒可能是乳腺癌中化疗耐药相关因子(P53、Rb、TWIST、Bcl-2、Bcl-XL、c-IAP2、细胞色素C和半胱天冬酶3)调控的关键因素。
Pathol Res Pract. 2023 Aug;248:154653. doi: 10.1016/j.prp.2023.154653. Epub 2023 Jun 28.
4
Anastasis enhances metastasis and chemoresistance of colorectal cancer cells through upregulating cIAP2/NFκB signaling. Anastasis 通过上调 cIAP2/NFκB 信号增强结直肠癌细胞的转移和化疗耐药性。
Cell Death Dis. 2023 Jun 30;14(6):388. doi: 10.1038/s41419-023-05916-8.
5
Human Papillomavirus Epidemiology and Prevention: Is There Still a Gender Gap?人乳头瘤病毒的流行病学与预防:性别差异依然存在吗?
Vaccines (Basel). 2023 Jun 4;11(6):1060. doi: 10.3390/vaccines11061060.
6
PI3K/AKT/mTOR Signaling Pathway in HPV-Driven Head and Neck Carcinogenesis: Therapeutic Implications.PI3K/AKT/mTOR信号通路在人乳头瘤病毒驱动的头颈部癌变中的作用:治疗意义
Biology (Basel). 2023 Apr 29;12(5):672. doi: 10.3390/biology12050672.
7
The expanding role of IAP antagonists for the treatment of head and neck cancer.IAP 拮抗剂在头颈部癌症治疗中的作用不断扩大。
Cancer Med. 2023 Jul;12(13):13958-13965. doi: 10.1002/cam4.6011. Epub 2023 May 2.
8
Combined Inhibition of IAPs and WEE1 Enhances TNFα- and Radiation-Induced Cell Death in Head and Neck Squamous Carcinoma.IAPs和WEE1的联合抑制增强了头颈部鳞状细胞癌中TNFα和辐射诱导的细胞死亡。
Cancers (Basel). 2023 Feb 6;15(4):1029. doi: 10.3390/cancers15041029.
9
Human Papillomavirus Detected in Oropharyngeal Cancers from Chilean Subjects.智利人群口咽癌中检出人乳头瘤病毒。
Viruses. 2022 Jun 2;14(6):1212. doi: 10.3390/v14061212.
10
On the Regulation of NF-κB Pathway by HPV Oncoproteins: Are Pathway Inhibitors a Good Alternative for the Treatment of Cervical Cancer?HPV 致癌蛋白对 NF-κB 通路的调控:通路抑制剂是否是治疗宫颈癌的一种较好选择?
Anticancer Agents Med Chem. 2023;23(5):492-497. doi: 10.2174/1871520622666220509180606.