Suppr超能文献

使用光学相干弹性成像技术对光折射基质内角膜交联术后体内角膜生物力学变化进行定量评估。

Quantitative assessment of corneal biomechanical changes in vivo after photorefractive intrastromal corneal cross-linking using optical coherence elastography.

作者信息

Yang Hongwei, Shen Yaoying, Chen Yong, Yan Yange, Li Yingjie, Lu Yongan, Liu Jingchao, Yin Xiaolong, Huang Guofu, Zhao Yanzhi

机构信息

Department of Ophthalmology, The Second Affiliated Hospital, Jiangxi Medical College, Nanchang University, Nanchang, China.

Department of Pathology, Jiangxi Cancer Hospital, Nanchang, China.

出版信息

Quant Imaging Med Surg. 2024 Oct 1;14(10):7640-7653. doi: 10.21037/qims-24-590. Epub 2024 Sep 26.

Abstract

BACKGROUND

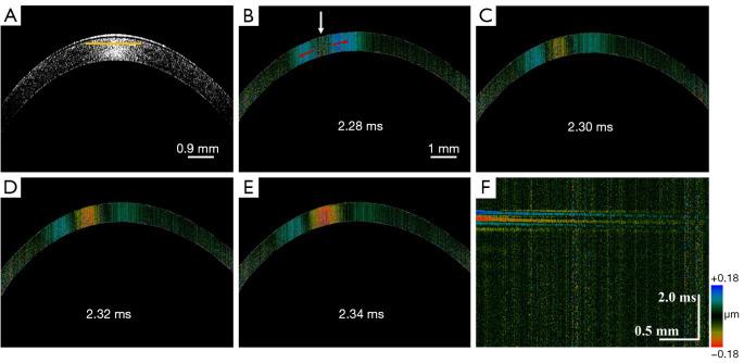
Photorefractive intrastromal corneal cross-linking (PiXL) treatment corrects myopia by enhancing localized central corneal biomechanics. However, the dose-effect relationship between the changes in corneal biomechanics and alterations in corneal curvature resulting from this treatment remain unclear. We therefore developed an acoustic radiation force optical coherence elastography (ARF-OCE) technique to investigate the dose-effect relationship in PiXL.

METHODS

ARF-OCE measurements and corneal topography were performed 3 days before and 1 week after PiXL treatment. Depth-resolved Young's modulus images of the in vivo corneas were obtained based on the phase velocity of the Lamb wave. PiXL treatments with five ultraviolet-A (UVA) energy doses (5.4, 15, 25, 35, and 45 J/cm) were administered to rabbit corneas (n=15).

RESULTS

The percentage change in Young's modulus (ΔE%) of the cornea increased from 0.26 to 1.71 as the UVA energy dose increased from group I (5.4 J/cm) to group V (45 J/cm). Meanwhile, the change in the mean keratometry (Δ ) of the cornea increased from 0.40 to 2.10 diopters (D) as the UVA energy dose increased from group I to group IV (35 J/cm). Furthermore, a statistically significant positive correlation was observed between ΔE% and Δ in groups I to IV.

CONCLUSIONS

With increasing UVA energy dose, the corneal Young's modulus significantly increased. Given the observed correlation, ΔE% holds promise as a new quantitative biomechanical parameter for determining the dose-effect relationship in PiXL treatment. It should be emphasized that there may be an inflection point of ΔE%, at which corneal keratometry ceases to flatten and begins to increase. The ARF-OCE system has demonstrated its efficacy in quantitatively assessing changes in corneal biomechanics following PiXL treatment. This technique has great potential in facilitating the quantitative determination of the dose-effect relationship in PiXL treatment.

摘要

背景

光折射基质内角膜交联(PiXL)治疗通过增强局部中央角膜生物力学来矫正近视。然而,这种治疗导致的角膜生物力学变化与角膜曲率改变之间的剂量 - 效应关系仍不清楚。因此,我们开发了一种声辐射力光学相干弹性成像(ARF - OCE)技术来研究PiXL中的剂量 - 效应关系。

方法

在PiXL治疗前3天和治疗后1周进行ARF - OCE测量和角膜地形图检查。基于兰姆波的相速度获得体内角膜的深度分辨杨氏模量图像。对兔角膜(n = 15)给予五种紫外线A(UVA)能量剂量(5.4、15、25、35和45 J/cm²)的PiXL治疗。

结果

随着UVA能量剂量从I组(5.4 J/cm²)增加到V组(45 J/cm²),角膜杨氏模量的百分比变化(ΔE%)从0.26增加到1.71。同时,随着UVA能量剂量从I组增加到IV组(35 J/cm²),角膜平均角膜曲率计读数的变化(ΔK)从0.40增加到2.10屈光度(D)。此外,在I组至IV组中观察到ΔE%与ΔK之间存在统计学上显著的正相关。

结论

随着UVA能量剂量增加,角膜杨氏模量显著增加。鉴于观察到的相关性,ΔE%有望作为确定PiXL治疗中剂量 - 效应关系的新的定量生物力学参数。应该强调的是,ΔE%可能存在一个拐点,在该点角膜曲率计读数停止变平并开始增加。ARF - OCE系统已证明其在定量评估PiXL治疗后角膜生物力学变化方面的有效性。该技术在促进PiXL治疗中剂量 - 效应关系的定量确定方面具有巨大潜力。

https://cdn.ncbi.nlm.nih.gov/pmc/blobs/35f7/11485357/f1b39995e790/qims-14-10-7640-f1.jpg

文献检索

告别复杂PubMed语法,用中文像聊天一样搜索,搜遍4000万医学文献。AI智能推荐,让科研检索更轻松。

立即免费搜索

文件翻译

保留排版,准确专业,支持PDF/Word/PPT等文件格式,支持 12+语言互译。

免费翻译文档

深度研究

AI帮你快速写综述,25分钟生成高质量综述,智能提取关键信息,辅助科研写作。

立即免费体验