• 文献检索
  • 文档翻译
  • 深度研究
  • 学术资讯
  • Suppr Zotero 插件Zotero 插件
  • 邀请有礼
  • 套餐&价格
  • 历史记录
应用&插件
Suppr Zotero 插件Zotero 插件浏览器插件Mac 客户端Windows 客户端微信小程序
定价
高级版会员购买积分包购买API积分包
服务
文献检索文档翻译深度研究API 文档MCP 服务
关于我们
关于 Suppr公司介绍联系我们用户协议隐私条款
关注我们

Suppr 超能文献

核心技术专利:CN118964589B侵权必究
粤ICP备2023148730 号-1Suppr @ 2026

文献检索

告别复杂PubMed语法,用中文像聊天一样搜索,搜遍4000万医学文献。AI智能推荐,让科研检索更轻松。

立即免费搜索

文件翻译

保留排版,准确专业,支持PDF/Word/PPT等文件格式,支持 12+语言互译。

免费翻译文档

深度研究

AI帮你快速写综述,25分钟生成高质量综述,智能提取关键信息,辅助科研写作。

立即免费体验

“狼疮性脊髓炎”再探讨:风湿性疾病相关脊髓炎的回顾性单中心研究。

"Lupus Myelitis" Revisited: A Retrospective Single-Center Study of Myelitis Associated With Rheumatologic Disease.

机构信息

From the Division of Neuroimmunology and Neurological Infections (J.D.K., A.G.F., P.B., C.A.P., E.S.S.), Department of Neurology, Johns Hopkins University School of Medicine, Baltimore, MD; Multiple Sclerosis and Neuroimmunology Center (P.B.), Department of Neurology and Neurosurgery, Cedars-Sinai Medical Center, University of California, Los Angeles; and Division of Rheumatology (A.C.G.), Department of Medicine, Johns Hopkins University School of Medicine, Baltimore, MD.

出版信息

Neurol Neuroimmunol Neuroinflamm. 2025 Jan;12(1):e200329. doi: 10.1212/NXI.0000000000200329. Epub 2024 Oct 23.

DOI:10.1212/NXI.0000000000200329
PMID:39442039
原文链接:https://pmc.ncbi.nlm.nih.gov/articles/PMC11727606/
Abstract

BACKGROUND AND OBJECTIVES

Previous reports of patients with myelitis associated with rheumatologic disease may have had unrecognized aquaporin-4 (AQP4)-IgG seropositive neuromyelitis optica spectrum disorder (NMOSD) or myelin oligodendrocyte glycoprotein (MOG)-IgG-associated disease (MOGAD). We clinicoradiologically and serologically characterized patients with myelitis associated with rheumatologic disease evaluated in the era of availability of MOG-IgG and more sensitive AQP4-IgG cell-based assays.

METHODS

A retrospective cohort (2018-2023) at Johns Hopkins Medicine with diagnoses of myelopathy and rheumatologic comorbidity was identified by electronic medical record (EMR) query. All patients with myelitis unrelated to typical multiple sclerosis (MS) were included and analyzed by chart review.

RESULTS

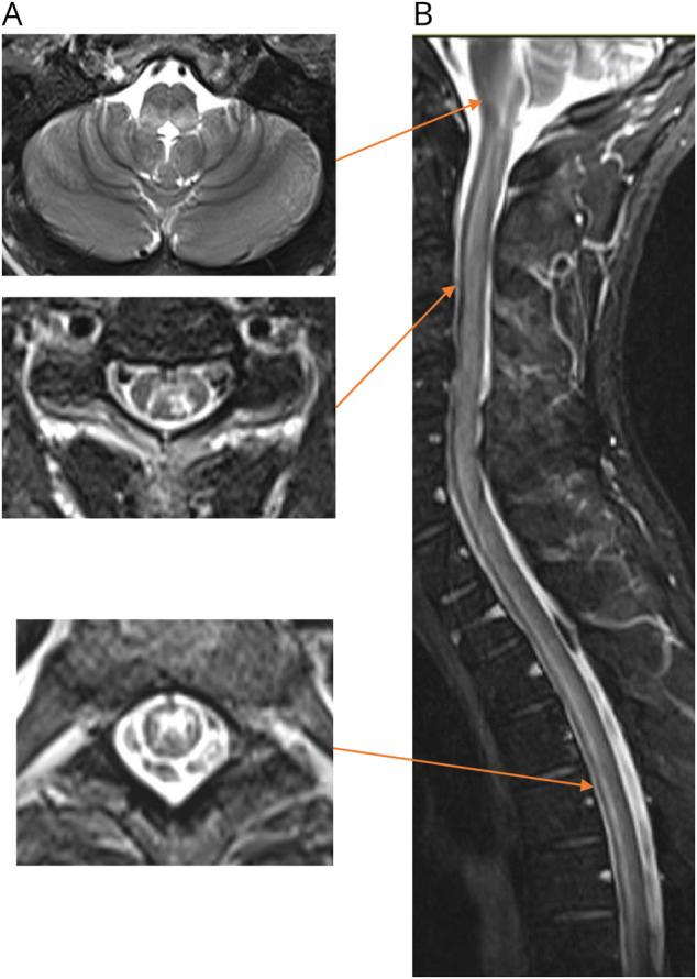
Of 238 patients identified by EMR query, 197 were excluded (148 not meeting prespecified inclusion criteria, 49 had typical MS), resulting in 41 patients for review. The mean age at myelitis onset was 44 ± 15 years; 39 (95%) were female. Rheumatologic diagnoses included 17 (41.5%) with systemic lupus erythematosus (SLE), 10 (24.3%) Sjögren syndrome (SS), 6 (15%) undifferentiated connective tissue disease (UCTD), 5 (12%) combinations of SLE/SS/UCTD with antiphospholipid antibody syndrome, 1 (2.4%) rheumatoid arthritis, 1 (2.4%) psoriatic arthritis, and 1 (2.4%) Behçet disease. 20 patients (49%) were diagnosed with AQP4-IgG seropositive NMOSD, 3 (7%) with MOGAD, and 18 (44%) had "double-seronegative" myelitis. Of these 18, 3 were diagnosed with AQP4-IgG seronegative NMOSD, 1 neuro-Behçet disease, and 14 other (unclassifiable) myelitis. Excluding 1 patient with neuro-Behçet disease, 18 (90%) of 20 AQP4-IgG seropositive patients had longitudinally extensive cord lesions compared with 5 (29%; < 0.001) of 17 "double-seronegative" patients and 2 (67%) of 3 with MOGAD. "Double-seronegative" patients more commonly had CSF-restricted oligoclonal bands. Functional outcomes did not differ by diagnosis, and most patients received acute immunotherapy at the time of initial myelitis diagnosis with at least partial recovery over a median follow-up of 38 (interquartile range: 9-74) months.

DISCUSSION

Approximately half of our rheumatologic disease cohort with myelitis unrelated to MS had AQP4-IgG seropositive NMOSD while MOGAD accounted for a small but clinically relevant proportion of patients. Further research is needed to characterize myelitis etiology in patients who are seronegative for both AQP4-IgG and MOG-IgG.

摘要

背景与目的

既往报道的与风湿性疾病相关的脊髓炎患者可能存在未被识别的水通道蛋白 4(AQP4)-IgG 阳性视神经脊髓炎谱系疾病(NMOSD)或髓鞘少突胶质细胞糖蛋白(MOG)-IgG 相关疾病(MOGAD)。我们通过临床放射学和血清学特征对风湿性疾病相关脊髓炎患者进行了评估,这些患者是在 MOG-IgG 可及和更敏感的 AQP4-IgG 细胞检测时代进行评估的。

方法

我们通过电子病历(EMR)查询,确定了约翰霍普金斯医学中心(Johns Hopkins Medicine)的回顾性队列(2018-2023 年),其中包括了脊髓病和合并风湿性疾病的诊断。所有与典型多发性硬化症(MS)无关的脊髓炎患者均通过图表审查进行分析。

结果

通过 EMR 查询,共确定了 238 例患者,其中 148 例不符合预设纳入标准,49 例患有典型 MS,排除了 197 例患者,最终有 41 例患者进行了回顾。脊髓炎发病时的平均年龄为 44±15 岁;39 例(95%)为女性。风湿性疾病诊断包括 17 例系统性红斑狼疮(SLE)、10 例干燥综合征(SS)、6 例未分化结缔组织病(UCTD)、5 例 SLE/SS/UCTD 合并抗磷脂抗体综合征、1 例类风湿关节炎、1 例银屑病关节炎和 1 例贝赫切特病。20 例(49%)患者被诊断为 AQP4-IgG 阳性 NMOSD,3 例(7%)为 MOGAD,18 例(44%)为“双阴性”脊髓炎。在这 18 例中,3 例被诊断为 AQP4-IgG 阴性 NMOSD、1 例神经贝赫切特病和 14 例其他(未分类)脊髓炎。排除 1 例神经贝赫切特病患者后,20 例 AQP4-IgG 阳性患者中有 18 例(90%)存在纵向广泛的脊髓病变,而 17 例“双阴性”患者中仅有 5 例(29%;<0.001)和 3 例 MOGAD 患者中仅有 2 例(67%)存在这种情况。“双阴性”患者更常见脑脊液寡克隆带受限。功能结局与诊断无关,大多数患者在初次脊髓炎诊断时接受了急性免疫治疗,在中位数为 38(四分位距:9-74)个月的随访中至少有部分恢复。

讨论

我们风湿性疾病相关脊髓炎队列中约有一半患者与 MS 无关的脊髓炎患者存在 AQP4-IgG 阳性 NMOSD,而 MOGAD 则占一小部分,但具有重要的临床意义。需要进一步研究以明确血清学 AQP4-IgG 和 MOG-IgG 均阴性的患者的脊髓炎病因。

https://cdn.ncbi.nlm.nih.gov/pmc/blobs/bd45/11727606/cbe21cac57c6/NXI-2024-100426f4.jpg
https://cdn.ncbi.nlm.nih.gov/pmc/blobs/bd45/11727606/cc9d82a9edbe/NXI-2024-100426f1.jpg
https://cdn.ncbi.nlm.nih.gov/pmc/blobs/bd45/11727606/7f1d39ac4451/NXI-2024-100426f2.jpg
https://cdn.ncbi.nlm.nih.gov/pmc/blobs/bd45/11727606/a07691c3c8c9/NXI-2024-100426f3.jpg
https://cdn.ncbi.nlm.nih.gov/pmc/blobs/bd45/11727606/cbe21cac57c6/NXI-2024-100426f4.jpg
https://cdn.ncbi.nlm.nih.gov/pmc/blobs/bd45/11727606/cc9d82a9edbe/NXI-2024-100426f1.jpg
https://cdn.ncbi.nlm.nih.gov/pmc/blobs/bd45/11727606/7f1d39ac4451/NXI-2024-100426f2.jpg
https://cdn.ncbi.nlm.nih.gov/pmc/blobs/bd45/11727606/a07691c3c8c9/NXI-2024-100426f3.jpg
https://cdn.ncbi.nlm.nih.gov/pmc/blobs/bd45/11727606/cbe21cac57c6/NXI-2024-100426f4.jpg

相似文献

1
"Lupus Myelitis" Revisited: A Retrospective Single-Center Study of Myelitis Associated With Rheumatologic Disease.“狼疮性脊髓炎”再探讨:风湿性疾病相关脊髓炎的回顾性单中心研究。
Neurol Neuroimmunol Neuroinflamm. 2025 Jan;12(1):e200329. doi: 10.1212/NXI.0000000000200329. Epub 2024 Oct 23.
2
Uncommon Non-MS Demyelinating Disorders of the Central Nervous System.中枢神经系统罕见的非多发性硬化脱髓鞘疾病
Curr Neurol Neurosci Rep. 2025 Jul 1;25(1):45. doi: 10.1007/s11910-025-01432-8.
3
Longitudinally extensive transverse myelitis: Impact on functional prognosis and mortality in a 10-year follow-up cohort.纵向广泛横贯性脊髓炎:10年随访队列中对功能预后和死亡率的影响
Mult Scler Relat Disord. 2025 Feb;94:106279. doi: 10.1016/j.msard.2025.106279. Epub 2025 Jan 20.
4
Cerebrospinal 14-3-3 Protein Levels as a Neuroaxonal Biomarker in Aquaporin-4 Antibody-Positive Neuromyelitis Optica Spectrum Disorder.脑脊液中14-3-3蛋白水平作为水通道蛋白4抗体阳性视神经脊髓炎谱系障碍的神经轴突生物标志物
Neurol Neuroimmunol Neuroinflamm. 2025 Sep;12(5):e200432. doi: 10.1212/NXI.0000000000200432. Epub 2025 Jun 30.
5
The impact of autoimmune comorbidities on the onset attack recovery in adults with AQP4-NMOSD and MOGAD.自身免疫性合并症对成人水通道蛋白4视神经脊髓炎谱系障碍(AQP4-NMOSD)和髓鞘少突胶质细胞糖蛋白抗体相关疾病(MOGAD)发病、发作及恢复的影响
J Neurol. 2025 Jun 10;272(7):453. doi: 10.1007/s00415-025-13180-3.
6
AQP4-IgG-positive neuromyelitis optica spectrum disorder and temporally detected neoplasms: case report and systematic review.水通道蛋白4-IgG阳性视神经脊髓炎谱系障碍与临时检测到的肿瘤:病例报告与系统评价
Mult Scler Relat Disord. 2022 Dec;68:104212. doi: 10.1016/j.msard.2022.104212. Epub 2022 Oct 4.
7
MOG-IgG is rare in AQP4-IgG seronegative NMO phenotype in Brazil.在巴西,髓鞘少突胶质细胞糖蛋白免疫球蛋白G(MOG-IgG)在水通道蛋白4免疫球蛋白G(AQP4-IgG)血清阴性的视神经脊髓炎(NMO)表型中较为罕见。
Mult Scler Relat Disord. 2025 Jan;93:106222. doi: 10.1016/j.msard.2024.106222. Epub 2024 Dec 9.
8
A systematic literature review to examine the considerations around pregnancy in women of child-bearing age with myelin oligodendrocyte glycoprotein antibody-associated disease (MOGAD) or aquaporin 4 neuromyelitis optica spectrum disorder (AQP4+ NMOSD).一项系统文献回顾,旨在探讨伴有髓鞘少突胶质细胞糖蛋白抗体相关疾病(MOGAD)或水通道蛋白 4 视神经脊髓炎谱系障碍(AQP4+NMOSD)的育龄期女性妊娠相关问题。
Mult Scler Relat Disord. 2023 Jul;75:104760. doi: 10.1016/j.msard.2023.104760. Epub 2023 May 11.
9
Real-world multicentre cohort study on choices and effectiveness of immunotherapies in NMOSD and MOGAD.关于视神经脊髓炎谱系疾病(NMOSD)和髓鞘少突胶质细胞糖蛋白抗体相关疾病(MOGAD)免疫治疗选择与疗效的真实世界多中心队列研究。
J Neurol Neurosurg Psychiatry. 2025 May 14;96(6):582-592. doi: 10.1136/jnnp-2024-334764.
10
MOG-IgG in NMO and related disorders: a multicenter study of 50 patients. Part 1: Frequency, syndrome specificity, influence of disease activity, long-term course, association with AQP4-IgG, and origin.视神经脊髓炎及相关疾病中的髓鞘少突胶质细胞糖蛋白免疫球蛋白G:50例患者的多中心研究。第1部分:频率、综合征特异性、疾病活动的影响、长期病程、与水通道蛋白4免疫球蛋白G的关联及起源
J Neuroinflammation. 2016 Sep 26;13(1):279. doi: 10.1186/s12974-016-0717-1.

引用本文的文献

1
Stable Undifferentiated Connective Tissue Disease and CNS Demyelination: A Case Report and a Literature Review.稳定型未分化结缔组织病与中枢神经系统脱髓鞘:一例报告及文献综述
Case Rep Neurol Med. 2025 Aug 31;2025:3106627. doi: 10.1155/crnm/3106627. eCollection 2025.
2
MRI-Negative Transverse Myelitis Revealing Seropositive Rheumatoid Arthritis in a Young Woman.MRI阴性的横贯性脊髓炎揭示了一名年轻女性的血清阳性类风湿性关节炎。
Cureus. 2025 Aug 4;17(8):e89330. doi: 10.7759/cureus.89330. eCollection 2025 Aug.
3
The Kappa Free Light Chains Index and Central Vein Sign: Two New Biomarkers for Multiple Sclerosis Diagnosis.

本文引用的文献

1
The clinical relevance of MOG antibody testing in cerebrospinal fluid.MOG 抗体检测在脑脊液中的临床意义。
Ann Clin Transl Neurol. 2024 Sep;11(9):2514-2519. doi: 10.1002/acn3.52163. Epub 2024 Jul 28.
2
Diagnostic Utility of MOG Antibody Testing in Cerebrospinal Fluid.MOG 抗体检测在脑脊液中的诊断效用。
Ann Neurol. 2024 Jul;96(1):34-45. doi: 10.1002/ana.26931. Epub 2024 Apr 9.
3
Updates in NMOSD and MOGAD Diagnosis and Treatment: A Tale of Two Central Nervous System Autoimmune Inflammatory Disorders.NMOSD 和 MOGAD 诊治进展:中枢神经系统自身免疫性炎症性疾病的两面。
游离κ轻链指数与中央静脉征:多发性硬化诊断的两种新生物标志物。
Neurol Ther. 2025 Jun;14(3):711-731. doi: 10.1007/s40120-025-00737-7. Epub 2025 Apr 6.
Neurol Clin. 2024 Feb;42(1):77-114. doi: 10.1016/j.ncl.2023.06.009. Epub 2023 Aug 7.
4
Timing of MOG-IgG Testing Is Key to 2023 MOGAD Diagnostic Criteria.MOG-IgG 检测时间是 2023 年 MOGAD 诊断标准的关键。
Neurol Neuroimmunol Neuroinflamm. 2023 Nov 17;11(1). doi: 10.1212/NXI.0000000000200183. Print 2024 Jan.
5
EULAR recommendations for the management of systemic lupus erythematosus: 2023 update.EULAR 推荐的系统性红斑狼疮治疗:2023 更新版。
Ann Rheum Dis. 2024 Jan 2;83(1):15-29. doi: 10.1136/ard-2023-224762.
6
Diagnostic implications of MOG-IgG detection in sera and cerebrospinal fluids.MOG-IgG 在血清和脑脊液中的检测对诊断的影响。
Brain. 2023 Sep 1;146(9):3938-3948. doi: 10.1093/brain/awad122.
7
Diagnosis of myelin oligodendrocyte glycoprotein antibody-associated disease: International MOGAD Panel proposed criteria.髓鞘少突胶质细胞糖蛋白抗体相关性疾病的诊断:国际 MOGAD 专家组提出的标准。
Lancet Neurol. 2023 Mar;22(3):268-282. doi: 10.1016/S1474-4422(22)00431-8. Epub 2023 Jan 24.
8
Risk of Multiple Sclerosis Among Users of Antitumor Necrosis Factor α in 4 Canadian Provinces: A Population-Based Study.4 个加拿大省份中抗肿瘤坏死因子 α 使用者多发性硬化症发病风险:一项基于人群的研究。
Neurology. 2023 Feb 7;100(6):e558-e567. doi: 10.1212/WNL.0000000000201472. Epub 2022 Oct 28.
9
The causal relationship between neuromyelitis optica spectrum disorder and other autoimmune diseases.视神经脊髓炎谱系疾病与其他自身免疫性疾病的因果关系。
Front Immunol. 2022 Sep 29;13:959469. doi: 10.3389/fimmu.2022.959469. eCollection 2022.
10
Differentiating Multiple Sclerosis From AQP4-Neuromyelitis Optica Spectrum Disorder and MOG-Antibody Disease With Imaging.利用影像学区分多发性硬化与水通道蛋白 4 相关视神经脊髓炎谱系疾病和髓鞘少突胶质细胞糖蛋白抗体病。
Neurology. 2023 Jan 17;100(3):e308-e323. doi: 10.1212/WNL.0000000000201465. Epub 2022 Oct 3.