• 文献检索
  • 文档翻译
  • 深度研究
  • 学术资讯
  • Suppr Zotero 插件Zotero 插件
  • 邀请有礼
  • 套餐&价格
  • 历史记录
应用&插件
Suppr Zotero 插件Zotero 插件浏览器插件Mac 客户端Windows 客户端微信小程序
定价
高级版会员购买积分包购买API积分包
服务
文献检索文档翻译深度研究API 文档MCP 服务
关于我们
关于 Suppr公司介绍联系我们用户协议隐私条款
关注我们

Suppr 超能文献

核心技术专利:CN118964589B侵权必究
粤ICP备2023148730 号-1Suppr @ 2026

文献检索

告别复杂PubMed语法,用中文像聊天一样搜索,搜遍4000万医学文献。AI智能推荐,让科研检索更轻松。

立即免费搜索

文件翻译

保留排版,准确专业,支持PDF/Word/PPT等文件格式,支持 12+语言互译。

免费翻译文档

深度研究

AI帮你快速写综述,25分钟生成高质量综述,智能提取关键信息,辅助科研写作。

立即免费体验

自噬起始因子TAX1BP1的募集推动聚集体自噬从货物收集阶段进入隔离阶段。

Recruitment of autophagy initiator TAX1BP1 advances aggrephagy from cargo collection to sequestration.

作者信息

Bauer Bernd, Idinger Jonas, Schuschnig Martina, Ferrari Luca, Martens Sascha

机构信息

Max Perutz Labs, Vienna Biocenter Campus (VBC), Dr.-Bohr-Gasse 9, 1030, Vienna, Austria.

University of Vienna, Max Perutz Labs, Department of Biochemistry and Cell Biology, Dr.-Bohr-Gasse 9, 1030, Vienna, Austria.

出版信息

EMBO J. 2024 Dec;43(23):5910-5940. doi: 10.1038/s44318-024-00280-5. Epub 2024 Oct 24.

DOI:10.1038/s44318-024-00280-5
PMID:39448883
原文链接:https://pmc.ncbi.nlm.nih.gov/articles/PMC11611905/
Abstract

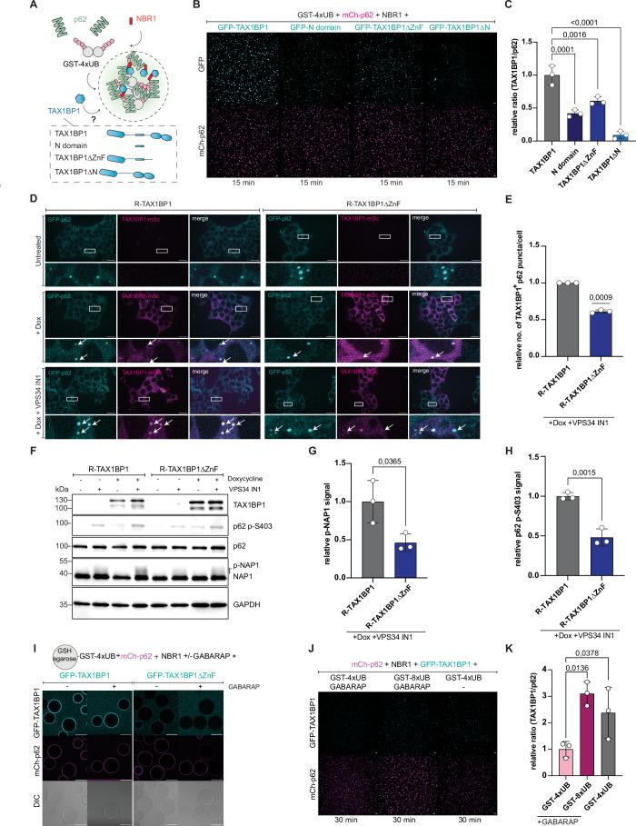
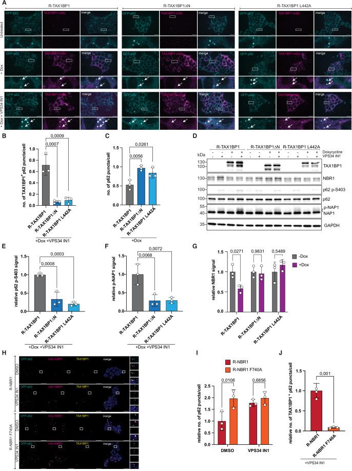
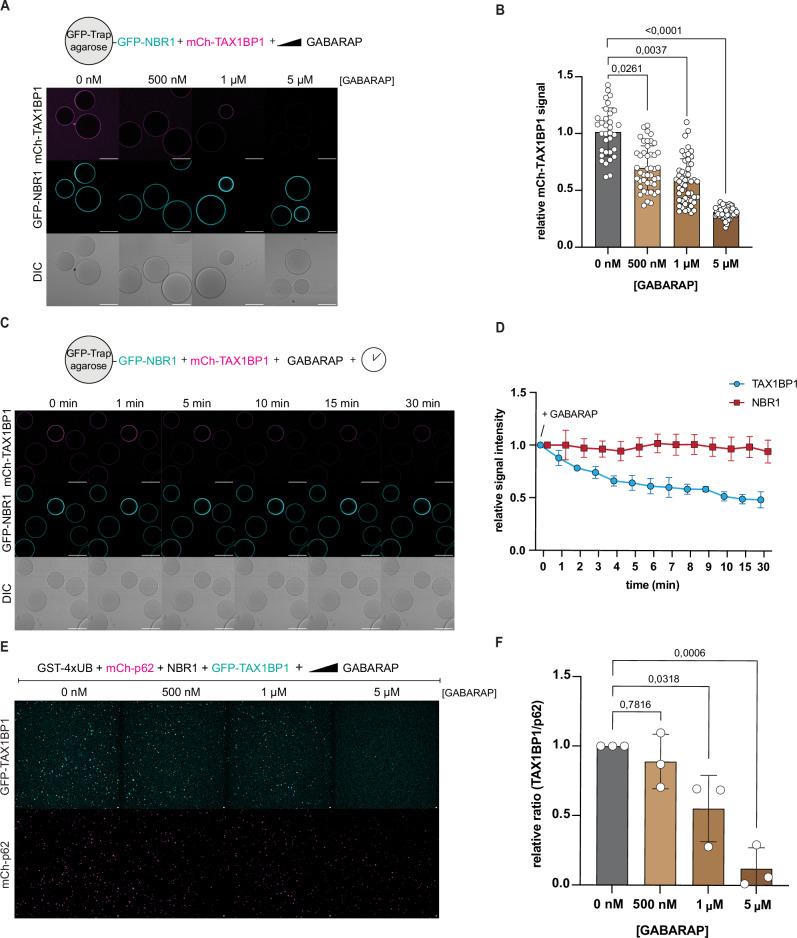
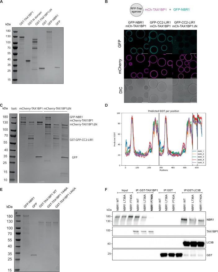
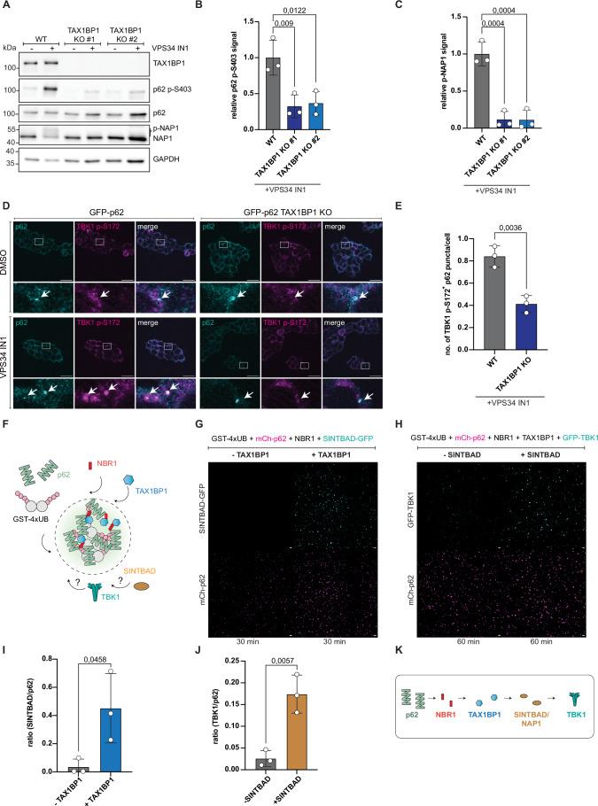
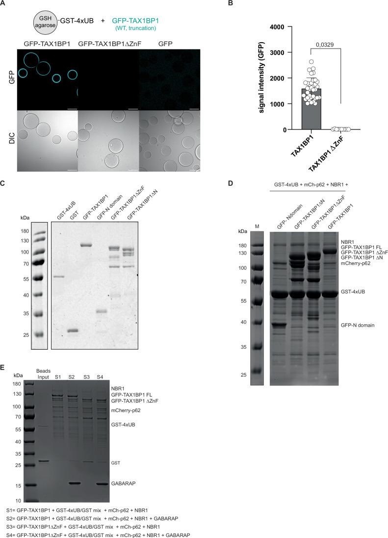
Autophagy mediates the degradation of harmful material within lysosomes. In aggrephagy, the pathway mediating the degradation of aggregated, ubiquitinated proteins, this cargo material is collected in larger condensates prior to its sequestration by autophagosomes. In this process, the autophagic cargo receptors SQSTM1/p62 and NBR1 drive cargo condensation, while TAX1BP1, which binds to NBR1, recruits the autophagy machinery to facilitate autophagosome biogenesis at the condensates. The mechanistic basis for the TAX1BP1-mediated switch from cargo collection to its sequestration is unclear. Here we show that TAX1BP1 is not a constitutive component of the condensates. Its recruitment correlates with the induction of autophagosome biogenesis. TAX1BP1 is sufficient to recruit the TBK1 kinase via the SINTBAD adapter. We define the NBR1-TAX1BP1-binding site, which is adjacent to the GABARAP/LC3 interaction site, and demonstrate that the recruitment of TAX1BP1 to cargo mimetics can be enhanced by an increased ubiquitin load. Our study suggests that autophagosome biogenesis is initiated once sufficient cargo is collected in the condensates.

摘要

自噬介导溶酶体内有害物质的降解。在聚集体自噬(aggrephagy)中,该途径介导聚集的、泛素化蛋白质的降解,这种货物物质在被自噬体隔离之前会聚集在更大的凝聚物中。在这个过程中,自噬货物受体SQSTM1/p62和NBR1驱动货物凝聚,而与NBR1结合的TAX1BP1招募自噬机制,以促进凝聚物处自噬体的生物发生。TAX1BP1介导的从货物收集到其隔离的转换的机制基础尚不清楚。在这里,我们表明TAX1BP1不是凝聚物的组成成分。它的募集与自噬体生物发生的诱导相关。TAX1BP1足以通过SINTBAD衔接子招募TBK1激酶。我们确定了NBR1 - TAX1BP1结合位点,该位点与GABARAP/LC3相互作用位点相邻,并证明增加的泛素负载可以增强TAX1BP1对货物模拟物的募集。我们的研究表明,一旦在凝聚物中收集到足够的货物,自噬体生物发生就会启动。

https://cdn.ncbi.nlm.nih.gov/pmc/blobs/f7fc/11611905/354b24dc07f1/44318_2024_280_Fig13_ESM.jpg
https://cdn.ncbi.nlm.nih.gov/pmc/blobs/f7fc/11611905/a68b1cb838bd/44318_2024_280_Fig1_HTML.jpg
https://cdn.ncbi.nlm.nih.gov/pmc/blobs/f7fc/11611905/58af8203b7a9/44318_2024_280_Fig2_HTML.jpg
https://cdn.ncbi.nlm.nih.gov/pmc/blobs/f7fc/11611905/fa3a920264de/44318_2024_280_Fig3_HTML.jpg
https://cdn.ncbi.nlm.nih.gov/pmc/blobs/f7fc/11611905/ea081e892cd2/44318_2024_280_Fig4_HTML.jpg
https://cdn.ncbi.nlm.nih.gov/pmc/blobs/f7fc/11611905/2efff93e315a/44318_2024_280_Fig5_HTML.jpg
https://cdn.ncbi.nlm.nih.gov/pmc/blobs/f7fc/11611905/67d5c8977768/44318_2024_280_Fig6_HTML.jpg
https://cdn.ncbi.nlm.nih.gov/pmc/blobs/f7fc/11611905/aec544c7a19d/44318_2024_280_Fig7_HTML.jpg
https://cdn.ncbi.nlm.nih.gov/pmc/blobs/f7fc/11611905/353804ba73fc/44318_2024_280_Fig8_HTML.jpg
https://cdn.ncbi.nlm.nih.gov/pmc/blobs/f7fc/11611905/2c596e592ef1/44318_2024_280_Fig9_ESM.jpg
https://cdn.ncbi.nlm.nih.gov/pmc/blobs/f7fc/11611905/cc7af08d3289/44318_2024_280_Fig10_ESM.jpg
https://cdn.ncbi.nlm.nih.gov/pmc/blobs/f7fc/11611905/28c95859b1c0/44318_2024_280_Fig11_ESM.jpg
https://cdn.ncbi.nlm.nih.gov/pmc/blobs/f7fc/11611905/afc8bfa6d44a/44318_2024_280_Fig12_ESM.jpg
https://cdn.ncbi.nlm.nih.gov/pmc/blobs/f7fc/11611905/354b24dc07f1/44318_2024_280_Fig13_ESM.jpg
https://cdn.ncbi.nlm.nih.gov/pmc/blobs/f7fc/11611905/a68b1cb838bd/44318_2024_280_Fig1_HTML.jpg
https://cdn.ncbi.nlm.nih.gov/pmc/blobs/f7fc/11611905/58af8203b7a9/44318_2024_280_Fig2_HTML.jpg
https://cdn.ncbi.nlm.nih.gov/pmc/blobs/f7fc/11611905/fa3a920264de/44318_2024_280_Fig3_HTML.jpg
https://cdn.ncbi.nlm.nih.gov/pmc/blobs/f7fc/11611905/ea081e892cd2/44318_2024_280_Fig4_HTML.jpg
https://cdn.ncbi.nlm.nih.gov/pmc/blobs/f7fc/11611905/2efff93e315a/44318_2024_280_Fig5_HTML.jpg
https://cdn.ncbi.nlm.nih.gov/pmc/blobs/f7fc/11611905/67d5c8977768/44318_2024_280_Fig6_HTML.jpg
https://cdn.ncbi.nlm.nih.gov/pmc/blobs/f7fc/11611905/aec544c7a19d/44318_2024_280_Fig7_HTML.jpg
https://cdn.ncbi.nlm.nih.gov/pmc/blobs/f7fc/11611905/353804ba73fc/44318_2024_280_Fig8_HTML.jpg
https://cdn.ncbi.nlm.nih.gov/pmc/blobs/f7fc/11611905/2c596e592ef1/44318_2024_280_Fig9_ESM.jpg
https://cdn.ncbi.nlm.nih.gov/pmc/blobs/f7fc/11611905/cc7af08d3289/44318_2024_280_Fig10_ESM.jpg
https://cdn.ncbi.nlm.nih.gov/pmc/blobs/f7fc/11611905/28c95859b1c0/44318_2024_280_Fig11_ESM.jpg
https://cdn.ncbi.nlm.nih.gov/pmc/blobs/f7fc/11611905/afc8bfa6d44a/44318_2024_280_Fig12_ESM.jpg
https://cdn.ncbi.nlm.nih.gov/pmc/blobs/f7fc/11611905/354b24dc07f1/44318_2024_280_Fig13_ESM.jpg

相似文献

1
Recruitment of autophagy initiator TAX1BP1 advances aggrephagy from cargo collection to sequestration.自噬起始因子TAX1BP1的募集推动聚集体自噬从货物收集阶段进入隔离阶段。
EMBO J. 2024 Dec;43(23):5910-5940. doi: 10.1038/s44318-024-00280-5. Epub 2024 Oct 24.
2
Reconstitution defines the roles of p62, NBR1 and TAX1BP1 in ubiquitin condensate formation and autophagy initiation.重构图定义了 p62、NBR1 和 TAX1BP1 在泛素凝聚物形成和自噬起始中的作用。
Nat Commun. 2021 Sep 1;12(1):5212. doi: 10.1038/s41467-021-25572-w.
3
Receptor-mediated clustering of FIP200 bypasses the role of LC3 lipidation in autophagy.受体介导的 FIP200 聚集作用绕过了自噬中 LC3 脂质化的作用。
EMBO J. 2020 Dec 15;39(24):e104948. doi: 10.15252/embj.2020104948. Epub 2020 Nov 23.
4
Phosphorylation of the selective autophagy receptor TAX1BP1 by TBK1 and IKBKE/IKKi promotes ATG8-family protein-dependent clearance of MAVS aggregates.TBK1和IKBKE/IKKi对选择性自噬受体TAX1BP1的磷酸化作用促进了MAVS聚集体的ATG8家族蛋白依赖性清除。
Autophagy. 2025 Jan;21(1):160-177. doi: 10.1080/15548627.2024.2394306. Epub 2024 Sep 10.
5
The LC3-interacting region of NBR1 is a protein interaction hub enabling optimal flux.NBR1的LC3相互作用区域是一个蛋白质相互作用中心,可实现最佳通量。
J Cell Biol. 2025 Apr 7;224(4). doi: 10.1083/jcb.202407105. Epub 2025 Feb 10.
6
How RB1CC1/FIP200 claws its way to autophagic engulfment of SQSTM1/p62-ubiquitin condensates.RB1CC1/FIP200 通过其自身的“爪”结构来实现对 SQSTM1/p62-泛素凝聚物的自噬性包裹。
Autophagy. 2019 Aug;15(8):1475-1477. doi: 10.1080/15548627.2019.1615306. Epub 2019 May 22.
7
Multifaceted roles of TAX1BP1 in autophagy.TAX1BP1 在自噬中的多效性作用。
Autophagy. 2023 Jan;19(1):44-53. doi: 10.1080/15548627.2022.2070331. Epub 2022 May 9.
8
NIMA-related kinase 9-mediated phosphorylation of the microtubule-associated LC3B protein at Thr-50 suppresses selective autophagy of p62/sequestosome 1.NIMA相关激酶9介导的微管相关轻链3B蛋白在苏氨酸50处的磷酸化抑制了p62/聚集体蛋白1的选择性自噬。
J Biol Chem. 2020 Jan 31;295(5):1240-1260. doi: 10.1074/jbc.RA119.010068. Epub 2019 Dec 19.
9
Regulation of selective autophagy: the p62/SQSTM1 paradigm.选择性自噬的调控:p62/SQSTM1 范例。
Essays Biochem. 2017 Dec 12;61(6):609-624. doi: 10.1042/EBC20170035.
10
p62/SQSTM1/Sequestosome-1 is an N-recognin of the N-end rule pathway which modulates autophagosome biogenesis.p62/SQSTM1/聚集体蛋白1是N端规则途径的一种N识别蛋白,可调节自噬体的生物发生。
Nat Commun. 2017 Jul 24;8(1):102. doi: 10.1038/s41467-017-00085-7.

引用本文的文献

1
Harnessing EP21 and its membrane vesicles to inhibit myopia development.利用EP21及其膜泡抑制近视发展。
Gut Microbes. 2025 Dec;17(1):2534677. doi: 10.1080/19490976.2025.2534677. Epub 2025 Aug 1.
2
The rapidly expanding role of LC3-interacting regions in autophagy.LC3相互作用区域在自噬中迅速扩展的作用。
J Cell Biol. 2025 Aug 4;224(8). doi: 10.1083/jcb.202504076. Epub 2025 Jul 24.
3
KEAP1 retention in phase-separated p62 bodies drives liver damage under autophagy-deficient conditions.在自噬缺陷条件下,KEAP1滞留于相分离的p62小体中会导致肝损伤。

本文引用的文献

1
Control of mitophagy initiation and progression by the TBK1 adaptors NAP1 and SINTBAD.由 TBK1 衔接子 NAP1 和 SINTBAD 控制自噬体的起始和进展。
Nat Struct Mol Biol. 2024 Nov;31(11):1717-1731. doi: 10.1038/s41594-024-01338-y. Epub 2024 Jun 25.
2
Tau fibrils evade autophagy by excessive p62 coating and TAX1BP1 exclusion.tau 纤维通过过度的 p62 涂层和 tax1bp1 排除来逃避自噬。
Sci Adv. 2024 Jun 14;10(24):eadm8449. doi: 10.1126/sciadv.adm8449. Epub 2024 Jun 12.
3
Optineurin provides a mitophagy contact site for TBK1 activation.
EMBO Rep. 2025 May 28. doi: 10.1038/s44319-025-00483-9.
4
p97/VCP is required for piecemeal autophagy of aggresomes.p97/VCP是聚集体的逐个自噬所必需的。
Nat Commun. 2025 May 7;16(1):4243. doi: 10.1038/s41467-025-59556-x.
5
Adaptor-Mediated Trafficking of Tank Binding Kinase 1 During Diverse Cellular Processes.衔接蛋白介导的 Tank 结合激酶 1 在多种细胞过程中的转运
Traffic. 2025 Jan-Mar;26(1-3):e70000. doi: 10.1111/tra.70000.
6
The LC3-interacting region of NBR1 is a protein interaction hub enabling optimal flux.NBR1的LC3相互作用区域是一个蛋白质相互作用中心,可实现最佳通量。
J Cell Biol. 2025 Apr 7;224(4). doi: 10.1083/jcb.202407105. Epub 2025 Feb 10.
optineurin 为 TBK1 的激活提供了一个线粒体自噬接触位点。
EMBO J. 2024 Mar;43(5):754-779. doi: 10.1038/s44318-024-00036-1. Epub 2024 Jan 29.
4
Sequestration of translation initiation factors in p62 condensates.翻译起始因子在 p62 凝聚物中的隔离。
Cell Rep. 2023 Dec 26;42(12):113583. doi: 10.1016/j.celrep.2023.113583. Epub 2023 Dec 12.
5
Local membrane source gathering by p62 body drives autophagosome formation.p62 体募集局部膜源驱动自噬体形成。
Nat Commun. 2023 Nov 13;14(1):7338. doi: 10.1038/s41467-023-42829-8.
6
Aggrephagy at a glance.巨自噬速览。
J Cell Sci. 2023 May 15;136(10). doi: 10.1242/jcs.260888. Epub 2023 May 31.
7
Unconventional initiation of PINK1/Parkin mitophagy by Optineurin.神经束蛋白通过 OPTN 诱导 PINK1/Parkin 介导的非经典线粒体自噬
Mol Cell. 2023 May 18;83(10):1693-1709.e9. doi: 10.1016/j.molcel.2023.04.021.
8
Integrated proteomics identifies p62-dependent selective autophagy of the supramolecular vault complex.整合蛋白质组学鉴定 p62 依赖性超分子穹窿复合物的选择性自噬。
Dev Cell. 2023 Jul 10;58(13):1189-1205.e11. doi: 10.1016/j.devcel.2023.04.015. Epub 2023 May 15.
9
Autophagy genes in biology and disease.生物学与疾病中的自噬基因
Nat Rev Genet. 2023 Jun;24(6):382-400. doi: 10.1038/s41576-022-00562-w. Epub 2023 Jan 12.
10
Orchestration of selective autophagy by cargo receptors.货物受体对选择性自噬的调控。
Curr Biol. 2022 Dec 19;32(24):R1357-R1371. doi: 10.1016/j.cub.2022.11.002.