Suppr超能文献

吡咯喹啉醌(PQQ)可提高荷斯坦公牛精液冷冻保存质量。

Pyrroroquinoline Quinone (PQQ) Improves the Quality of Holstein Bull Semen during Cryopreservation.

作者信息

Wang Hai, Liu Kexiong, Zeng Weibin, Bai Jiahua, Xiao Linli, Qin Yusheng, Liu Yan, Xu Xiaoling

机构信息

Institute of Animal Husbandry and Veterinary Medicine, Beijing Academy of Agriculture and Forestry Sciences, Beijing 100097, China.

College of Animal Science and Technology, Shihezi University, Shihezi 832000, China.

出版信息

Animals (Basel). 2024 Oct 11;14(20):2940. doi: 10.3390/ani14202940.

Abstract

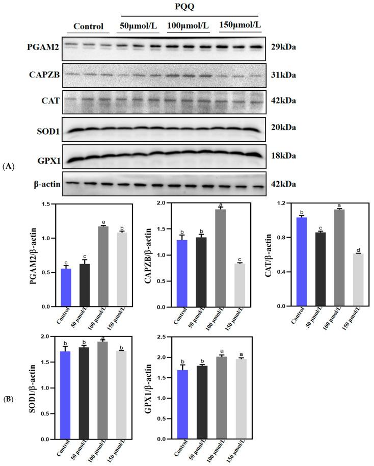
Cryopreserved semen is extensively utilized in the artificial insemination (AI) of domestic animals; however, suboptimal conception rates due to oxidative damage following AI continue to pose a challenge. The present study investigated the effects of Pyrroroquinoline Quinone (PQQ), a novel antioxidant, on the semen quality of Holstein bulls during cryopreservation, as well as its potential molecular mechanisms. Semen samples were diluted with varying concentrations of PQQ (0, 50 μmol/L, 100 μmol/L, 150 μmol/L) prior to cryopreservation. Following the freeze-thaw process, a comprehensive evaluation was conducted to assess sperm motility, plasma membrane integrity, acrosome integrity, and the levels of reactive oxygen species (ROS), malondialdehyde (MDA), and adenosine triphosphate (ATP). Western blot analysis was employed to examine the levels of proteins including PGAM2, CAPZB, CAT, SOD1, and GPX1. Notably, the inclusion of 100 μmol/L PQQ significantly enhanced sperm motility, membrane integrity, and acrosome integrity post freeze-thawing ( < 0.05). Furthermore, the group treated with 100 μmol/L PQQ exhibited reduced levels of MDA and ROS ( < 0.05), while ATP levels were significantly elevated ( < 0.05). Interestingly, treatment with 100 μmol/L PQQ resulted in decreased consumption of PGAM2, CAPZB, CAT, SOD1, and GPX1 proteins in sperm after freeze-thawing, compared to the control group ( < 0.05). These findings indicate that PQQ treatment enhances the quality of bull semen, mitigates oxidative stress damage, and ultimately improves the efficacy of sperm cryopreservation.

摘要

冷冻保存的精液被广泛应用于家畜的人工授精(AI);然而,人工授精后由于氧化损伤导致的受孕率不理想仍然是一个挑战。本研究调查了新型抗氧化剂吡咯喹啉醌(PQQ)对荷斯坦公牛精液冷冻保存期间精液质量的影响及其潜在的分子机制。在冷冻保存前,精液样本用不同浓度的PQQ(0、50 μmol/L、100 μmol/L、150 μmol/L)进行稀释。冻融过程后,进行了全面评估,以评估精子活力、质膜完整性、顶体完整性以及活性氧(ROS)、丙二醛(MDA)和三磷酸腺苷(ATP)的水平。采用蛋白质印迹分析来检测包括PGAM2、CAPZB、CAT、SOD1和GPX1在内的蛋白质水平。值得注意的是,添加100 μmol/L PQQ显著提高了冻融后的精子活力、膜完整性和顶体完整性(<0.05)。此外,用100 μmol/L PQQ处理的组MDA和ROS水平降低(<0.05),而ATP水平显著升高(<0.05)。有趣的是,与对照组相比,用100 μmol/L PQQ处理导致冻融后精子中PGAM2、CAPZB、CAT、SOD1和GPX1蛋白的消耗减少(<0.05)。这些发现表明,PQQ处理可提高公牛精液质量,减轻氧化应激损伤,并最终提高精子冷冻保存的效果。

https://cdn.ncbi.nlm.nih.gov/pmc/blobs/5f81/11503688/01ac6335142a/animals-14-02940-g001.jpg

文献AI研究员

20分钟写一篇综述,助力文献阅读效率提升50倍。

立即体验

用中文搜PubMed

大模型驱动的PubMed中文搜索引擎

马上搜索

文档翻译

学术文献翻译模型,支持多种主流文档格式。

立即体验