Suppr超能文献

病例报告:使用三维计算机辅助部分右肝切除术治疗儿童先天性肝内门体分流伴门静脉瘤

Case Report: Management of a congenital intrahepatic portosystemic shunt with portal vein aneurysm in a child using 3D computer-assisted partial right hepatectomy.

作者信息

Liu Yao, Arief Johan, Xiu Wenli, Hao Xiwei, Wang Feifei, Xia Nan, Dong Qian

机构信息

Department of Pediatric Surgery, The Affiliated Hospital of Qingdao University, Qingdao, China.

Shandong Provincial Key Laboratory of Digital Medicine and Computer-Assisted Surgery, Qingdao, China.

出版信息

Front Pediatr. 2024 Oct 28;12:1429537. doi: 10.3389/fped.2024.1429537. eCollection 2024.

Abstract

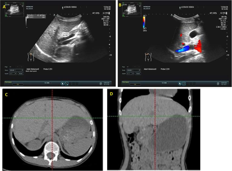
Congenital portosystemic shunts (CPSS) are rare pediatric vascular malformations characterized by abnormal development of the portal vein, which is attributed to incomplete embryonic remodeling of the hepatic and surrounding vasculature. CPSS manifests in two main forms: intrahepatic and extrahepatic. This study details the management of a pediatric patient diagnosed with Congenital Intrahepatic Portosystemic Shunt (CIPS) who was referred to our institution. By using a computer-assisted surgical system, the right hepatectomy was successfully performed, guided by precise intraoperative navigation based on three-dimensional reconstructions of enhanced CT imagery. The patient exhibited a favorable postoperative recovery trajectory, with the absence of complications or recurrence throughout the monitoring period.

摘要

先天性门体分流(CPSS)是一种罕见的儿科血管畸形,其特征为门静脉发育异常,这归因于肝脏及周围血管系统胚胎期重塑不完全。CPSS主要有两种表现形式:肝内型和肝外型。本研究详细介绍了一名被诊断为先天性肝内门体分流(CIPS)并转诊至我院的儿科患者的治疗情况。通过使用计算机辅助手术系统,在基于增强CT图像三维重建的精确术中导航引导下,成功实施了右半肝切除术。患者术后恢复良好,在整个监测期内未出现并发症或复发情况。

https://cdn.ncbi.nlm.nih.gov/pmc/blobs/8b3c/11550969/61a6e031032f/fped-12-1429537-g001.jpg

文献AI研究员

20分钟写一篇综述,助力文献阅读效率提升50倍。

立即体验

用中文搜PubMed

大模型驱动的PubMed中文搜索引擎

马上搜索

文档翻译

学术文献翻译模型,支持多种主流文档格式。

立即体验