Suppr超能文献

减毒型盖塔病毒可对多种致关节炎甲病毒提供保护。

Attenuated Getah virus confers protection against multiple arthritogenic alphaviruses.

作者信息

Jiang Zhiwen, Merits Andres, Qin Ying, Xing Gang, Zhang Letian, Chen Jie, Wang Ningning, Varjak Margus, Zhai Xiaofeng, Li Dongyan, Song Wanjie, Su Shuo

机构信息

Sanya Institute of Nanjing Agricultural University, Academy for Advanced Interdisciplinary Studies, Jiangsu Engineering Laboratory of Animal Immunology, Institute of Immunology and College of Veterinary Medicine, Nanjing Agricultural University, Nanjing, China.

Institute of Bioengineering, University of Tartu, Tartu, Estonia.

出版信息

PLoS Pathog. 2024 Nov 18;20(11):e1012700. doi: 10.1371/journal.ppat.1012700. eCollection 2024 Nov.

Abstract

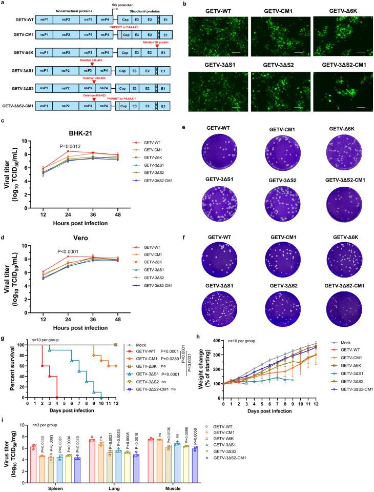
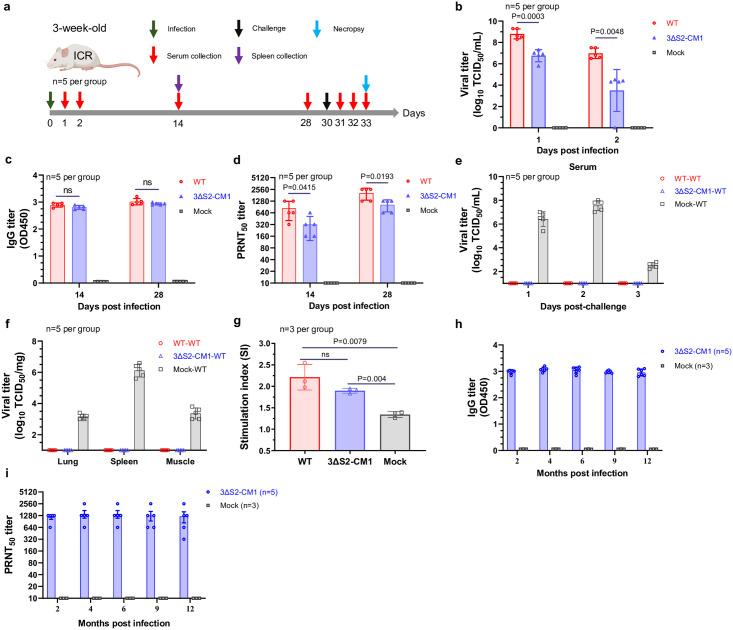
Alphaviruses are important arthropod-transmitted pathogens of humans and livestock. Getah virus (GETV) is an arthritogenic alphavirus that causes disease in horses and piglets; it also poses a potential threat to humans. A live attenuated vaccine candidate named GETV-3ΔS2-CM1, harbouring a deletion in nonstructural protein 3 and substitutions in the capsid protein, is genetically stable and exhibits robust immunogenicity. It was shown to confer passive protection to piglets born to immunized sows. In mice, a single dose of GETV-3ΔS2-CM1 protected against infection with different strains of GETV, Semliki Forest virus, Ross River virus, o'nyong'nyong virus, chikungunya virus, and Barmah Forest virus. Chimaeras based on the GETV-3ΔS2-CM1 backbone maintained both the attenuated phenotype and high immunogenicity. The safety, efficacy, and ability to induce protection against multiple alphaviruses highlights the potential of GETV-3ΔS2-CM1 and chimaeras using this backbone as promising vaccine candidates. By contributing simultaneously to the wellbeing of animals and humans, our universal next generation vaccine strategy helps to achieve "One Health" goals.

摘要

甲病毒是重要的节肢动物传播的人类和家畜病原体。盖塔病毒(GETV)是一种致关节炎的甲病毒,可导致马和仔猪发病;它也对人类构成潜在威胁。一种名为GETV-3ΔS2-CM1的减毒活疫苗候选株,在非结构蛋白3中存在缺失,衣壳蛋白中有替换,具有遗传稳定性并表现出强大的免疫原性。它被证明可为免疫母猪所生的仔猪提供被动保护。在小鼠中,单剂量的GETV-3ΔS2-CM1可保护其免受不同株的GETV、塞姆利基森林病毒、罗斯河病毒、奥尼永永病毒、基孔肯雅病毒和巴马森林病毒的感染。基于GETV-3ΔS2-CM1主干的嵌合体保持了减毒表型和高免疫原性。其安全性、有效性以及诱导针对多种甲病毒的保护能力突出了GETV-3ΔS2-CM1以及使用该主干的嵌合体作为有前景的疫苗候选株的潜力。通过同时促进动物和人类的健康,我们的通用下一代疫苗策略有助于实现“同一健康”目标。

https://cdn.ncbi.nlm.nih.gov/pmc/blobs/9c80/11630583/46d92f00cf62/ppat.1012700.g001.jpg

文献检索

告别复杂PubMed语法,用中文像聊天一样搜索,搜遍4000万医学文献。AI智能推荐,让科研检索更轻松。

立即免费搜索

文件翻译

保留排版,准确专业,支持PDF/Word/PPT等文件格式,支持 12+语言互译。

免费翻译文档

深度研究

AI帮你快速写综述,25分钟生成高质量综述,智能提取关键信息,辅助科研写作。

立即免费体验