Suppr超能文献

一名年轻健康成年人的眼眶蜂窝织炎并发脑静脉血栓形成和脑膜炎

Orbital Cellulitis Complicated by Cerebral Vein Thrombosis and Meningitis in a Young, Healthy Adult.

作者信息

Carpintieri Sabrina, Uyar Elias, Gomez Veliz Alberto

机构信息

Medical School, Ross University School of Medicine, Miami, USA.

Internal Medicine, Ross University School of Medicine, Miami, USA.

出版信息

Cureus. 2024 Oct 31;16(10):e72770. doi: 10.7759/cureus.72770. eCollection 2024 Oct.

Abstract

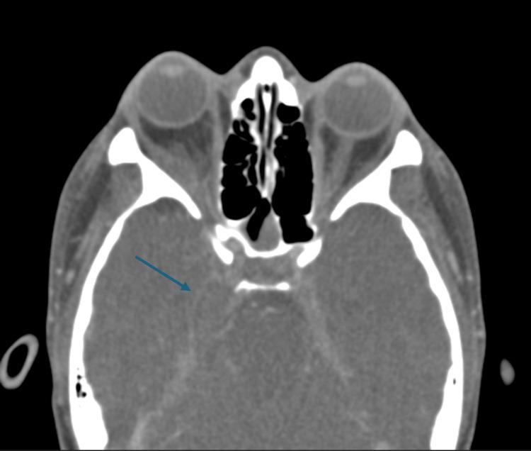
Orbital cellulitis is a serious infection that can lead to severe complications if not promptly diagnosed and treated. This case report describes an unusual presentation of bilateral orbital cellulitis in a previously healthy 29-year-old female, complicated by cerebral vein thrombosis and meningitis. The patient's young age and lack of significant medical history make this case particularly noteworthy. Initially presenting with a local infection over the right nose that rapidly progressed to bilateral orbital cellulitis, subsequent imaging revealed extensive complications including bilateral cavernous sinus thrombosis, sphenoid sinusitis, and intracranial abscesses. Blood cultures were positive for methicillin-resistant Staphylococcus aureus (MRSA), an uncommon finding in community-acquired orbital cellulitis. The patient underwent sinus endoscopy and bilateral sphenoidotomy, followed by a prolonged course of intravenous and oral antibiotics. This case highlights the potential for severe complications in orbital cellulitis, even in young, healthy individuals, and emphasizes the importance of prompt, aggressive treatment and multidisciplinary management. It is imperative for clinicians to maintain a high index of suspicion for atypical pathogens and rare complications in seemingly routine cases.

摘要

眼眶蜂窝织炎是一种严重的感染,如果不及时诊断和治疗,可能会导致严重的并发症。本病例报告描述了一名既往健康的29岁女性双侧眼眶蜂窝织炎的不寻常表现,并伴有脑静脉血栓形成和脑膜炎。患者年轻且无重大病史,使得该病例尤为值得关注。最初表现为右鼻局部感染,迅速发展为双侧眼眶蜂窝织炎,随后的影像学检查显示出广泛的并发症,包括双侧海绵窦血栓形成、蝶窦炎和颅内脓肿。血培养结果显示耐甲氧西林金黄色葡萄球菌(MRSA)呈阳性,这在社区获得性眼眶蜂窝织炎中并不常见。患者接受了鼻窦内窥镜检查和双侧蝶窦切开术,随后进行了长时间的静脉和口服抗生素治疗。本病例强调了眼眶蜂窝织炎即使在年轻健康个体中也可能出现严重并发症的可能性,并强调了及时、积极治疗和多学科管理的重要性。临床医生必须在看似常规的病例中对非典型病原体和罕见并发症保持高度的怀疑指数。

https://cdn.ncbi.nlm.nih.gov/pmc/blobs/5821/11608073/4ef11522ace7/cureus-0016-00000072770-i01.jpg

文献检索

告别复杂PubMed语法,用中文像聊天一样搜索,搜遍4000万医学文献。AI智能推荐,让科研检索更轻松。

立即免费搜索

文件翻译

保留排版,准确专业,支持PDF/Word/PPT等文件格式,支持 12+语言互译。

免费翻译文档

深度研究

AI帮你快速写综述,25分钟生成高质量综述,智能提取关键信息,辅助科研写作。

立即免费体验