• 文献检索
  • 文档翻译
  • 深度研究
  • 学术资讯
  • Suppr Zotero 插件Zotero 插件
  • 邀请有礼
  • 套餐&价格
  • 历史记录
应用&插件
Suppr Zotero 插件Zotero 插件浏览器插件Mac 客户端Windows 客户端微信小程序
定价
高级版会员购买积分包购买API积分包
服务
文献检索文档翻译深度研究API 文档MCP 服务
关于我们
关于 Suppr公司介绍联系我们用户协议隐私条款
关注我们

Suppr 超能文献

核心技术专利:CN118964589B侵权必究
粤ICP备2023148730 号-1Suppr @ 2026

文献检索

告别复杂PubMed语法,用中文像聊天一样搜索,搜遍4000万医学文献。AI智能推荐,让科研检索更轻松。

立即免费搜索

文件翻译

保留排版,准确专业,支持PDF/Word/PPT等文件格式,支持 12+语言互译。

免费翻译文档

深度研究

AI帮你快速写综述,25分钟生成高质量综述,智能提取关键信息,辅助科研写作。

立即免费体验

1例格雷夫斯病患者伴侵袭性同步性乳头状及可能的滤泡性甲状腺癌

Aggressive Synchronous Papillary and Likely Follicular Thyroid Carcinomas in a Patient with Graves' Disease.

作者信息

Ren Gerald Sng Gui, Tse Sarah Tan Ying, Chen Edwin Chew Jun, Mantoo Sangeeta, Ling Chng Chiaw

机构信息

Department of Endocrinology, Singapore General Hospital.

Department of Pathology, Singapore General Hospital.

出版信息

J ASEAN Fed Endocr Soc. 2024;39(2):119-123. doi: 10.15605/jafes.039.02.08. Epub 2024 Aug 1.

DOI:10.15605/jafes.039.02.08
PMID:39620175
原文链接:https://pmc.ncbi.nlm.nih.gov/articles/PMC11604363/
Abstract

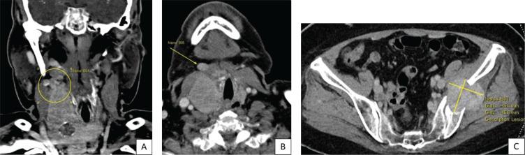
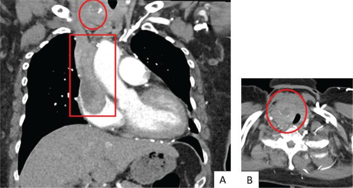
We report a case of an uncommonly aggressive presentation of the rare entity of synchronous papillary (PTC) and follicular thyroid carcinomas (FTC) in a 67-year-old female initially presenting with thyrotoxicosis from Graves' disease. She was found to have two thyroid nodules with extensive intra-cardiac tumour thrombus, symptomatic left pelvis bony metastasis with pathological fracture, pulmonary metastases and mediastinal lymph node metastases. Further investigations suggested a diagnosis of synchronous papillary and metastatic follicular thyroid cancer. Treatment with radical surgery followed by adjuvant therapeutic radioiodine ablation was proposed, but the patient declined all forms of cancer-specific therapy and was elected solely for a palliative approach to treatment. We discuss the diagnostic considerations in arriving at the diagnosis of synchronous thyroid malignancy - in this case the clear features of PTC and the strong probability of FTC due to invasiveness and metastatic follicular lesions. This case underscores potential limitations of the ACR TI-RADS system, notably with certain ultrasonographic features suggesting malignancy that might not be adequately captured. Notably, the aggressive presentation of DTC in this case may be contributed by the concurrent presence of Graves' Disease, suggesting heightened vigilance when assessing potential thyroid malignancies in such patients.

摘要

我们报告了一例67岁女性罕见的同步性乳头状甲状腺癌(PTC)和滤泡状甲状腺癌(FTC)的侵袭性病例,该患者最初因格雷夫斯病出现甲状腺毒症。她被发现有两个甲状腺结节,伴有广泛的心脏内肿瘤血栓、有症状的左骨盆骨转移伴病理性骨折、肺转移和纵隔淋巴结转移。进一步检查提示诊断为同步性乳头状和转移性滤泡状甲状腺癌。建议采用根治性手术,随后进行辅助性放射性碘消融治疗,但患者拒绝了所有形式的癌症特异性治疗,仅选择姑息性治疗方法。我们讨论了诊断同步性甲状腺恶性肿瘤时的诊断要点——在本病例中,PTC的明显特征以及由于侵袭性和转移性滤泡病变导致FTC的高可能性。该病例强调了美国放射学会甲状腺影像报告和数据系统(ACR TI-RADS)的潜在局限性,特别是某些提示恶性的超声特征可能未被充分捕捉。值得注意的是,本病例中分化型甲状腺癌的侵袭性表现可能与格雷夫斯病的并存有关,这表明在评估此类患者的潜在甲状腺恶性肿瘤时需要提高警惕。

https://cdn.ncbi.nlm.nih.gov/pmc/blobs/5d80/11604363/04a54a1901a4/JAFES-39-2-119-g005.jpg
https://cdn.ncbi.nlm.nih.gov/pmc/blobs/5d80/11604363/55ee3265f583/JAFES-39-2-119-g001.jpg
https://cdn.ncbi.nlm.nih.gov/pmc/blobs/5d80/11604363/d6a86a208732/JAFES-39-2-119-g002.jpg
https://cdn.ncbi.nlm.nih.gov/pmc/blobs/5d80/11604363/f43db96fe71d/JAFES-39-2-119-g003.jpg
https://cdn.ncbi.nlm.nih.gov/pmc/blobs/5d80/11604363/03958ed99ee4/JAFES-39-2-119-g004.jpg
https://cdn.ncbi.nlm.nih.gov/pmc/blobs/5d80/11604363/04a54a1901a4/JAFES-39-2-119-g005.jpg
https://cdn.ncbi.nlm.nih.gov/pmc/blobs/5d80/11604363/55ee3265f583/JAFES-39-2-119-g001.jpg
https://cdn.ncbi.nlm.nih.gov/pmc/blobs/5d80/11604363/d6a86a208732/JAFES-39-2-119-g002.jpg
https://cdn.ncbi.nlm.nih.gov/pmc/blobs/5d80/11604363/f43db96fe71d/JAFES-39-2-119-g003.jpg
https://cdn.ncbi.nlm.nih.gov/pmc/blobs/5d80/11604363/03958ed99ee4/JAFES-39-2-119-g004.jpg
https://cdn.ncbi.nlm.nih.gov/pmc/blobs/5d80/11604363/04a54a1901a4/JAFES-39-2-119-g005.jpg

相似文献

1
Aggressive Synchronous Papillary and Likely Follicular Thyroid Carcinomas in a Patient with Graves' Disease.1例格雷夫斯病患者伴侵袭性同步性乳头状及可能的滤泡性甲状腺癌
J ASEAN Fed Endocr Soc. 2024;39(2):119-123. doi: 10.15605/jafes.039.02.08. Epub 2024 Aug 1.
2
A case of metastatic follicular thyroid carcinoma complicated with Graves' disease after total thyroidectomy.1例甲状腺全切除术后转移性滤泡状甲状腺癌合并格雷夫斯病。
Endocr J. 2017 Dec 28;64(12):1143-1147. doi: 10.1507/endocrj.EJ17-0220. Epub 2017 Sep 5.
3
Synchronous colon cancer with pulmonary metastasis and follicular variant of papillary thyroid cancer metastasising to kidney.同步性结肠癌伴肺转移及甲状腺乳头状癌滤泡变体转移至肾脏。
BMJ Case Rep. 2018 Aug 9;2018:bcr-2018-225922. doi: 10.1136/bcr-2018-225922.
4
Prevalence and aggressiveness of papillary thyroid carcinoma in surgically-treated graves' disease patients: a retrospective matched cohort study.在接受手术治疗的格雷夫斯病患者中,甲状腺乳头状癌的患病率和侵袭性:一项回顾性匹配队列研究。
J Otolaryngol Head Neck Surg. 2019 Aug 28;48(1):40. doi: 10.1186/s40463-019-0364-5.
5
Metastatic papillary carcinoma of the thyroid in a patient previously treated for Graves' disease.一名曾接受格雷夫斯病治疗的患者发生了甲状腺转移性乳头状癌。
Ann Afr Med. 2014 Apr-Jun;13(2):91-4. doi: 10.4103/1596-3519.129891.
6
Synchronous and Metastatic Papillary and Follicular Thyroid Carcinomas with Unique Molecular Signatures.同步和转移性甲状腺乳头状和滤泡状癌的独特分子特征。
Endocr Pathol. 2018 Mar;29(1):9-14. doi: 10.1007/s12022-017-9491-6.
7
Higher incidence of tall cell variant of papillary thyroid carcinoma in Graves' Disease.Graves 病中高细胞型甲状腺乳头状癌的发生率更高。
Thyroid. 2014 Feb;24(2):347-54. doi: 10.1089/thy.2013.0133. Epub 2013 Sep 11.
8
Follicular variant of papillary thyroid carcinoma is a unique clinical entity: a population-based study of 10,740 cases.滤泡型甲状腺乳头状癌是一种独特的临床实体:基于人群的 10740 例病例研究。
Thyroid. 2013 Oct;23(10):1263-8. doi: 10.1089/thy.2012.0453. Epub 2013 Sep 11.
9
Thyroid carcinoma in patients with Graves' disease: an institutional experience.格雷夫斯病患者的甲状腺癌:机构经验。
Endocr Pathol. 2015 Mar;26(1):48-53. doi: 10.1007/s12022-014-9343-6.
10
Thyroid cancer in Graves' disease: is surgery the best treatment for Graves' disease?格雷夫斯病中的甲状腺癌:手术是格雷夫斯病的最佳治疗方法吗?
ANZ J Surg. 2014 Apr;84(4):231-4. doi: 10.1111/j.1445-2197.2012.06233.x. Epub 2012 Sep 17.

本文引用的文献

1
The 2022 WHO classification of thyroid tumors: novel concepts in nomenclature and grading.《2022年世界卫生组织甲状腺肿瘤分类:命名和分级的新概念》
Endocr Relat Cancer. 2022 Dec 22;30(2). doi: 10.1530/ERC-22-0293. Print 2023 Feb 1.
2
Synchronous papillary thyroid carcinoma and follicular thyroid carcinoma: case report and review of literature.同步性甲状腺乳头状癌和甲状腺滤泡癌:病例报告及文献复习
Int J Clin Exp Pathol. 2020 Nov 1;13(11):2767-2771. eCollection 2020.
3
Simultaneous occurrence of follicular and papillary thyroid carcinomas in same thyroid lobe: A case series of six patients from Qatar.
同一甲状腺叶内滤泡性和乳头状甲状腺癌同时发生:来自卡塔尔的6例病例系列
Int J Surg Case Rep. 2020;73:65-70. doi: 10.1016/j.ijscr.2020.06.070. Epub 2020 Jun 20.
4
ACR Thyroid Imaging, Reporting and Data System (TI-RADS): White Paper of the ACR TI-RADS Committee.美国放射学会甲状腺影像报告和数据系统(TI-RADS):美国放射学会TI-RADS委员会白皮书
J Am Coll Radiol. 2017 May;14(5):587-595. doi: 10.1016/j.jacr.2017.01.046. Epub 2017 Apr 2.
5
Thyroid carcinoma in Graves' disease: A meta-analysis.格雷夫斯病中的甲状腺癌:一项荟萃分析。
Int J Surg. 2016 Mar;27:118-125. doi: 10.1016/j.ijsu.2015.11.027. Epub 2015 Nov 26.
6
2015 American Thyroid Association Management Guidelines for Adult Patients with Thyroid Nodules and Differentiated Thyroid Cancer: The American Thyroid Association Guidelines Task Force on Thyroid Nodules and Differentiated Thyroid Cancer.2015年美国甲状腺协会成人甲状腺结节和分化型甲状腺癌管理指南:美国甲状腺协会甲状腺结节和分化型甲状腺癌指南工作组
Thyroid. 2016 Jan;26(1):1-133. doi: 10.1089/thy.2015.0020.
7
Simultaneous occurrence of medullary and papillary thyroid microcarcinomas: a case series and review of the literature.甲状腺髓样癌和乳头状微小癌同时发生:病例系列及文献复习
J Med Case Rep. 2013 Jan 21;7:26. doi: 10.1186/1752-1947-7-26.
8
Molecular genetics and diagnosis of thyroid cancer.甲状腺癌的分子遗传学与诊断。
Nat Rev Endocrinol. 2011 Aug 30;7(10):569-80. doi: 10.1038/nrendo.2011.142.
9
Tumor thrombus of thyroid malignancies in veins: importance of detection by ultrasonography.甲状腺恶性肿瘤静脉中的瘤栓:超声检测的重要性。
Thyroid. 2011 May;21(5):527-31. doi: 10.1089/thy.2010.0099. Epub 2011 Apr 10.
10
Thyroid carcinoma with extensive tumor thrombus in the atrium.甲状腺癌伴心房广泛肿瘤血栓形成。
Gen Thorac Cardiovasc Surg. 2008 Nov;56(11):555-8. doi: 10.1007/s11748-008-0307-y. Epub 2008 Nov 12.