• 文献检索
  • 文档翻译
  • 深度研究
  • 学术资讯
  • Suppr Zotero 插件Zotero 插件
  • 邀请有礼
  • 套餐&价格
  • 历史记录
应用&插件
Suppr Zotero 插件Zotero 插件浏览器插件Mac 客户端Windows 客户端微信小程序
定价
高级版会员购买积分包购买API积分包
服务
文献检索文档翻译深度研究API 文档MCP 服务
关于我们
关于 Suppr公司介绍联系我们用户协议隐私条款
关注我们

Suppr 超能文献

核心技术专利:CN118964589B侵权必究
粤ICP备2023148730 号-1Suppr @ 2026

文献检索

告别复杂PubMed语法,用中文像聊天一样搜索,搜遍4000万医学文献。AI智能推荐,让科研检索更轻松。

立即免费搜索

文件翻译

保留排版,准确专业,支持PDF/Word/PPT等文件格式,支持 12+语言互译。

免费翻译文档

深度研究

AI帮你快速写综述,25分钟生成高质量综述,智能提取关键信息,辅助科研写作。

立即免费体验

弥漫性胸膜间皮瘤:早期诊断的挑战

Diffuse Pleural Mesothelioma: A Challenge in Early Diagnosis.

作者信息

Constantin Ancuta-Alina, Mihaltan Florin Dumitru, Marghescu Angela-Stefania, Craciunica Gabriela Andreea

机构信息

Pulmonology, Institute of Pneumology "Marius Nasta", Bucharest, ROU.

Respiratory Medicine, University of Medicine and Pharmacy "Carol Davila", Bucharest, ROU.

出版信息

Cureus. 2024 Dec 2;16(12):e74998. doi: 10.7759/cureus.74998. eCollection 2024 Dec.

DOI:10.7759/cureus.74998
PMID:39629295
原文链接:https://pmc.ncbi.nlm.nih.gov/articles/PMC11612037/
Abstract

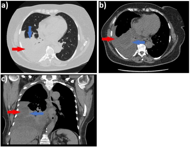
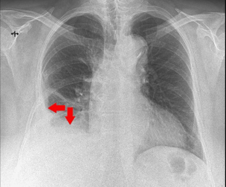
We present the clinical case of a 58-year-old female patient, a smoker with occupational exposure to respiratory toxins, who was admitted to our clinic following evaluation in an emergency department, where she was diagnosed with a moderate right pleural effusion. Upon admission, the patient exhibited respiratory symptoms, including progressive dyspnea with a moderate exertion threshold, right posterior pleuritic chest pain radiating anteriorly, occasional episodes of low-grade fever, and persistent febrile symptoms lasting approximately two weeks. In this clinical context, the diagnostic process was guided by the presence of right pleural effusion syndrome, which was refractory to conservative medical therapy. This necessitated a careful and stepwise expansion of investigations, ultimately leading to the diagnosis of malignant pleural mesothelioma. This case underscores the diagnostic challenges posed by pleural effusion, the necessity of adhering to the diagnostic algorithm, and the critical role of the multidisciplinary team. The diagnostic approach, often complex and challenging, necessitates a multidimensional strategy that integrates the correlation and synthesis of data obtained through anamnesis, alongside advanced diagnostic procedures such as pleural biopsy, which remains the gold standard. This comprehensive process is essential for formulating a diagnostic suspicion, with the final diagnosis intended to be one of exclusion.

摘要

我们介绍了一名58岁女性患者的临床病例,该患者有吸烟史且职业性接触呼吸道毒素,在急诊科评估后被收治入我院,在急诊科她被诊断为中度右侧胸腔积液。入院时,患者出现呼吸道症状,包括中度活动量时逐渐加重的呼吸困难、放射至前胸的右侧后胸膜炎性胸痛、偶尔的低热发作以及持续约两周的发热症状。在此临床背景下,诊断过程以右侧胸腔积液综合征的存在为指导,该综合征对保守药物治疗无效。这就需要谨慎且逐步地扩大检查范围,最终确诊为恶性胸膜间皮瘤。该病例强调了胸腔积液带来的诊断挑战、遵循诊断流程的必要性以及多学科团队的关键作用。诊断方法通常复杂且具有挑战性,需要一种多维策略,将通过问诊获得的数据的相关性和综合分析与先进的诊断程序(如胸膜活检,其仍是金标准)相结合。这一全面的过程对于形成诊断怀疑至关重要,最终诊断旨在排除其他可能。

https://cdn.ncbi.nlm.nih.gov/pmc/blobs/5bf6/11612037/6d6f510f0878/cureus-0016-00000074998-i06.jpg
https://cdn.ncbi.nlm.nih.gov/pmc/blobs/5bf6/11612037/0b941ee1dece/cureus-0016-00000074998-i01.jpg
https://cdn.ncbi.nlm.nih.gov/pmc/blobs/5bf6/11612037/e481a3eb94e1/cureus-0016-00000074998-i02.jpg
https://cdn.ncbi.nlm.nih.gov/pmc/blobs/5bf6/11612037/40e46efa03eb/cureus-0016-00000074998-i03.jpg
https://cdn.ncbi.nlm.nih.gov/pmc/blobs/5bf6/11612037/db1d15d85092/cureus-0016-00000074998-i04.jpg
https://cdn.ncbi.nlm.nih.gov/pmc/blobs/5bf6/11612037/3bbfc92262a6/cureus-0016-00000074998-i05.jpg
https://cdn.ncbi.nlm.nih.gov/pmc/blobs/5bf6/11612037/6d6f510f0878/cureus-0016-00000074998-i06.jpg
https://cdn.ncbi.nlm.nih.gov/pmc/blobs/5bf6/11612037/0b941ee1dece/cureus-0016-00000074998-i01.jpg
https://cdn.ncbi.nlm.nih.gov/pmc/blobs/5bf6/11612037/e481a3eb94e1/cureus-0016-00000074998-i02.jpg
https://cdn.ncbi.nlm.nih.gov/pmc/blobs/5bf6/11612037/40e46efa03eb/cureus-0016-00000074998-i03.jpg
https://cdn.ncbi.nlm.nih.gov/pmc/blobs/5bf6/11612037/db1d15d85092/cureus-0016-00000074998-i04.jpg
https://cdn.ncbi.nlm.nih.gov/pmc/blobs/5bf6/11612037/3bbfc92262a6/cureus-0016-00000074998-i05.jpg
https://cdn.ncbi.nlm.nih.gov/pmc/blobs/5bf6/11612037/6d6f510f0878/cureus-0016-00000074998-i06.jpg

相似文献

1
Diffuse Pleural Mesothelioma: A Challenge in Early Diagnosis.弥漫性胸膜间皮瘤:早期诊断的挑战
Cureus. 2024 Dec 2;16(12):e74998. doi: 10.7759/cureus.74998. eCollection 2024 Dec.
2
Pleural Mesothelioma: A Rapid Evolution of an Indolent Disease.胸膜间皮瘤:一种惰性疾病的快速演变
Cureus. 2023 Jan 19;15(1):e33965. doi: 10.7759/cureus.33965. eCollection 2023 Jan.
3
Challenging the Norm: Occurrence of Synchronous Pleural and Peritoneal Mesothelioma in a Female Patient.挑战常规:一名女性患者出现同步性胸膜和腹膜间皮瘤
Cureus. 2024 Aug 18;16(8):e67118. doi: 10.7759/cureus.67118. eCollection 2024 Aug.
4
Diagnosis and treatment of malignant pleural mesothelioma.恶性胸膜间皮瘤的诊断与治疗
Arch Bronconeumol. 2015 Apr;51(4):177-84. doi: 10.1016/j.arbres.2014.06.005. Epub 2014 Jul 22.
5
Case report: Steroid responsive mesothelioma-related pleural effusion.病例报告:类固醇反应性间皮瘤相关胸腔积液。
Respir Med Case Rep. 2018 Dec 19;26:131-135. doi: 10.1016/j.rmcr.2018.12.006. eCollection 2019.
6
Multimodality approach to malignant pleural mesothelioma. A case report.恶性胸膜间皮瘤的多模态治疗方法。病例报告。
Ann Ital Chir. 2010 Jan-Feb;81(1):37-40.
7
Usefulness of malignant pleural effusion for early cytological diagnosis of mesothelioma : A case report.恶性胸腔积液在间皮瘤早期细胞学诊断中的应用:一例报告
Oncol Lett. 2022 Oct 25;24(6):440. doi: 10.3892/ol.2022.13560. eCollection 2022 Dec.
8
A case of surgically treated bilateral metachronous malignant pleural mesothelioma.一例经手术治疗的双侧异时性恶性胸膜间皮瘤病例。
Turk Gogus Kalp Damar Cerrahisi Derg. 2019 Jan 1;27(1):121-124. doi: 10.5606/tgkdc.dergisi.2019.16162. eCollection 2019 Jan.
9
Malignant pleural mesothelioma in a 17-year old boy: A case report and literature review.一名17岁男孩的恶性胸膜间皮瘤:病例报告及文献综述
Respir Med Case Rep. 2016 Jan 20;17:57-60. doi: 10.1016/j.rmcr.2016.01.005. eCollection 2016.
10
[A case of desmoplastic malignant mesothelioma with elevated serum CYFRA 21-1].[1例血清CYFRA 21-1升高的促纤维增生性恶性间皮瘤]
Nihon Kokyuki Gakkai Zasshi. 2002 Apr;40(4):337-40.

本文引用的文献

1
Malignant pleural mesothelioma: an update.恶性胸膜间皮瘤:最新进展。
J Bras Pneumol. 2021 Dec 13;47(6):e20210129. doi: 10.36416/1806-3756/e20210129. eCollection 2021.
2
Epidemiology and Clinical Aspects of Malignant Pleural Mesothelioma.恶性胸膜间皮瘤的流行病学与临床特征
Cancers (Basel). 2021 Aug 20;13(16):4194. doi: 10.3390/cancers13164194.
3
Update on biology and management of mesothelioma.间皮瘤的生物学和治疗进展。
Eur Respir Rev. 2021 Jan 19;30(159). doi: 10.1183/16000617.0226-2020. Print 2021 Mar 31.
4
Prediction modelling using routine clinical parameters to stratify survival in Malignant Pleural Mesothelioma patients undergoing cytoreductive surgery.使用常规临床参数对接受细胞减灭术的恶性胸膜间皮瘤患者进行分层以预测生存。
J Thorac Oncol. 2019 Feb;14(2):288-293. doi: 10.1016/j.jtho.2018.10.005. Epub 2018 Oct 24.
5
ERS/EACTS statement on the management of malignant pleural effusions.ERS/EACTS 声明:恶性胸腔积液的管理
Eur Respir J. 2018 Jul 27;52(1). doi: 10.1183/13993003.00349-2018. Print 2018 Jul.
6
Longevity and pleural mesothelioma: age-period-cohort analysis of incidence data from the Surveillance, Epidemiology, and End Results (SEER) Program, 1973-2013.长寿与胸膜间皮瘤:1973 - 2013年监测、流行病学和最终结果(SEER)计划发病率数据的年龄-时期-队列分析
BMC Res Notes. 2018 May 23;11(1):337. doi: 10.1186/s13104-018-3436-0.
7
Comparison of fibulin-3 and mesothelin as markers in malignant mesothelioma.纤维结合蛋白-3 和间皮素在恶性间皮瘤中的比较。
Thorax. 2014 Oct;69(10):895-902. doi: 10.1136/thoraxjnl-2014-205205. Epub 2014 Jul 18.
8
Malignant pleural mesothelioma: an epidemiological perspective.恶性胸膜间皮瘤:一种流行病学视角。
Ann Cardiothorac Surg. 2012 Nov;1(4):491-6. doi: 10.3978/j.issn.2225-319X.2012.11.04.
9
Chronic inflammation in tumor stroma is an independent predictor of prolonged survival in epithelioid malignant pleural mesothelioma patients.肿瘤基质中的慢性炎症是上皮样恶性胸膜间皮瘤患者生存时间延长的独立预测因子。
Cancer Immunol Immunother. 2011 Dec;60(12):1721-8. doi: 10.1007/s00262-011-1073-8. Epub 2011 Jul 19.
10
Serum soluble mesothelin concentrations in malignant pleural mesothelioma: relationship to tumor volume, clinical stage and changes in tumor burden.恶性胸膜间皮瘤患者血清可溶性间皮素浓度与肿瘤体积、临床分期和肿瘤负荷变化的关系。
Clin Cancer Res. 2011 Mar 1;17(5):1181-9. doi: 10.1158/1078-0432.CCR-10-1929. Epub 2010 Dec 21.