• 文献检索
  • 文档翻译
  • 深度研究
  • 学术资讯
  • Suppr Zotero 插件Zotero 插件
  • 邀请有礼
  • 套餐&价格
  • 历史记录
应用&插件
Suppr Zotero 插件Zotero 插件浏览器插件Mac 客户端Windows 客户端微信小程序
定价
高级版会员购买积分包购买API积分包
服务
文献检索文档翻译深度研究API 文档MCP 服务
关于我们
关于 Suppr公司介绍联系我们用户协议隐私条款
关注我们

Suppr 超能文献

核心技术专利:CN118964589B侵权必究
粤ICP备2023148730 号-1Suppr @ 2026

文献检索

告别复杂PubMed语法,用中文像聊天一样搜索,搜遍4000万医学文献。AI智能推荐,让科研检索更轻松。

立即免费搜索

文件翻译

保留排版,准确专业,支持PDF/Word/PPT等文件格式,支持 12+语言互译。

免费翻译文档

深度研究

AI帮你快速写综述,25分钟生成高质量综述,智能提取关键信息,辅助科研写作。

立即免费体验

一名患有急性重症胰腺炎且SPINK 1基因杂合突变的斯里兰卡患者的急性肺栓塞非典型病例。

An Atypical Case of Acute Pulmonary Embolism in a Sri Lankan Patient With Acute Severe Pancreatitis With Heterozygosity for the SPINK 1 Mutation.

作者信息

Aponso Tilan, Wanninayake Athri, Peiris Ranjith

机构信息

Gastroenterology and Hepatology, National Hospital of Sri Lanka, Colombo, LKA.

Medicine, National Hospital of Sri Lanka, Colombo, LKA.

出版信息

Cureus. 2024 Nov 16;16(11):e73800. doi: 10.7759/cureus.73800. eCollection 2024 Nov.

DOI:10.7759/cureus.73800
PMID:39687810
原文链接:https://pmc.ncbi.nlm.nih.gov/articles/PMC11648039/
Abstract

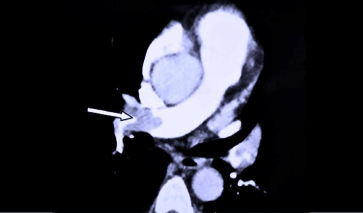
Acute pancreatitis is a disease characterized by local destruction of the pancreatic gland due to premature activation of pancreatic enzymes within the acinar cells. Tissue damage can activate an inflammatory cascade, which can lead to systemic complications. Although vascular complications are uncommon, they significantly contribute to mortality and morbidity. Pulmonary embolism being an exceptionally rare complication of acute pancreatitis is reported in only a few cases, and cases of pulmonary embolism without associated deep vein thrombosis in the lower limbs are extraordinarily rare and unreported in the literature. This article presents the case of a 22-year-old Sri Lankan woman diagnosed with severe acute pancreatitis. On the fifth day of her illness, she developed sudden-onset dyspnea, and imaging revealed a large pulmonary artery embolism affecting the right pulmonary artery and segmental branches in the right lower lobe, with a normal venous duplex scan of the lower limbs. We started her on anticoagulation and supportive care for her acute severe pancreatitis. Her dyspnea and pancreatitis improved with time. She was later diagnosed as heterozygous for the serine peptidase inhibitor Kazal type 1 (SPINK 1) mutation.

摘要

急性胰腺炎是一种由于腺泡细胞内胰酶过早激活导致胰腺局部破坏的疾病。组织损伤可激活炎症级联反应,进而导致全身并发症。尽管血管并发症并不常见,但它们对死亡率和发病率有显著影响。肺栓塞是急性胰腺炎极其罕见的并发症,仅有少数病例报道,而无下肢相关深静脉血栓形成的肺栓塞病例极为罕见,文献中未见报道。本文介绍了一名22岁斯里兰卡女性被诊断为重症急性胰腺炎的病例。在患病的第五天,她突然出现呼吸困难,影像学检查显示右肺动脉及右下叶节段性分支有一大块肺动脉栓塞,下肢静脉双功超声扫描正常。我们开始对她进行抗凝治疗并对其急性重症胰腺炎进行支持治疗。随着时间推移,她的呼吸困难和胰腺炎症状有所改善。她后来被诊断为丝氨酸蛋白酶抑制剂Kazal 1型(SPINK 1)突变的杂合子。

https://cdn.ncbi.nlm.nih.gov/pmc/blobs/d2af/11648039/8cab7096dd47/cureus-0016-00000073800-i02.jpg
https://cdn.ncbi.nlm.nih.gov/pmc/blobs/d2af/11648039/453a38932169/cureus-0016-00000073800-i01.jpg
https://cdn.ncbi.nlm.nih.gov/pmc/blobs/d2af/11648039/8cab7096dd47/cureus-0016-00000073800-i02.jpg
https://cdn.ncbi.nlm.nih.gov/pmc/blobs/d2af/11648039/453a38932169/cureus-0016-00000073800-i01.jpg
https://cdn.ncbi.nlm.nih.gov/pmc/blobs/d2af/11648039/8cab7096dd47/cureus-0016-00000073800-i02.jpg

相似文献

1
An Atypical Case of Acute Pulmonary Embolism in a Sri Lankan Patient With Acute Severe Pancreatitis With Heterozygosity for the SPINK 1 Mutation.一名患有急性重症胰腺炎且SPINK 1基因杂合突变的斯里兰卡患者的急性肺栓塞非典型病例。
Cureus. 2024 Nov 16;16(11):e73800. doi: 10.7759/cureus.73800. eCollection 2024 Nov.
2
Acute pancreatitis complicated with deep vein thrombosis and pulmonary embolism: a case report.急性胰腺炎合并深静脉血栓形成和肺栓塞:一例报告
J Med Case Rep. 2016 Jun 23;10(1):182. doi: 10.1186/s13256-016-0968-6.
3
Pulmonary embolism with acute pancreatitis: a case report and literature review.肺栓塞合并急性胰腺炎:病例报告及文献复习。
World J Gastroenterol. 2012 Feb 14;18(6):583-6. doi: 10.3748/wjg.v18.i6.583.
4
Hyperlipidaemic acute pancreatitis complicated with multiple deep vein thromboses and pulmonary embolism: a case successfully salvaged by radiologic intervention.高脂血症性急性胰腺炎并发多发性深静脉血栓形成和肺栓塞:经放射介入成功救治 1 例
Curr Med Res Opin. 2021 Jan;37(1):53-57. doi: 10.1080/03007995.2020.1854702. Epub 2020 Dec 3.
5
Emphysematous pancreatitis with pulmonary embolism: A case report.伴有肺栓塞的气肿性胰腺炎:一例报告
Respir Med Case Rep. 2023 Jan 16;42:101813. doi: 10.1016/j.rmcr.2023.101813. eCollection 2023.
6
Pulmonary embolism as a complication of an electrophysiological study: a case report.电生理检查并发肺栓塞:一例报告
J Med Case Rep. 2016 Apr 11;10:89. doi: 10.1186/s13256-016-0872-0.
7
Persistent Risk of Pulmonary Embolism in Acute Pancreatitis Despite Prophylactic Anticoagulation.尽管进行了预防性抗凝治疗,急性胰腺炎患者仍存在肺栓塞的持续风险。
Cureus. 2024 Nov 22;16(11):e74249. doi: 10.7759/cureus.74249. eCollection 2024 Nov.
8
Hereditary Pancreatitis Related to SPINK-1 Mutation. Is There an Increased Risk of Developing Pancreatic Cancer?与 SPINK-1 基因突变相关的遗传性胰腺炎。是否会增加患胰腺癌的风险?
J Gastrointest Cancer. 2023 Mar;54(1):268-269. doi: 10.1007/s12029-021-00729-4. Epub 2021 Nov 22.
9
A Good Prognosis of Patients with Acute Pancreatitis Combined with Pulmonary Embolism: Early Identification and Intervention.急性胰腺炎合并肺栓塞患者预后良好:早期识别和干预。
Curr Med Imaging. 2024;20:1-8. doi: 10.2174/0115734056275789231129102057.
10
Pulmonary Embolism: A Rare Presentation of Acute-on-Chronic Pancreatitis in Children.肺栓塞:儿童慢性胰腺炎急性发作的一种罕见表现。
Cureus. 2025 Jan 1;17(1):e76768. doi: 10.7759/cureus.76768. eCollection 2025 Jan.

本文引用的文献

1
Functional Roles of SPINK1 in Cancers.丝氨酸蛋白酶抑制剂Kazal型1(SPINK1)在癌症中的功能作用
Int J Mol Sci. 2021 Apr 7;22(8):3814. doi: 10.3390/ijms22083814.
2
Acute pancreatitis with pulmonary embolism: A case report.急性胰腺炎合并肺栓塞:一例病例报告。
World J Clin Cases. 2021 Feb 6;9(4):904-911. doi: 10.12998/wjcc.v9.i4.904.
3
Acute Pancreatitis: Genetic Risk and Clinical Implications.急性胰腺炎:遗传风险与临床意义
J Clin Med. 2021 Jan 7;10(2):190. doi: 10.3390/jcm10020190.
4
Natural history of SPINK1 germline mutation related-pancreatitis.SPINK1 种系突变相关性胰腺炎的自然病史。
EBioMedicine. 2019 Oct;48:581-591. doi: 10.1016/j.ebiom.2019.09.032. Epub 2019 Oct 15.
5
Infection increases mortality in necrotizing pancreatitis: A systematic review and meta-analysis.感染增加坏死性胰腺炎的死亡率:一项系统评价和荟萃分析。
Pancreatology. 2016 Sep-Oct;16(5):698-707. doi: 10.1016/j.pan.2016.07.004. Epub 2016 Jul 9.
6
Classification of acute pancreatitis--2012: revision of the Atlanta classification and definitions by international consensus.急性胰腺炎的分类-2012:亚特兰大分类修订和国际共识定义。
Gut. 2013 Jan;62(1):102-11. doi: 10.1136/gutjnl-2012-302779. Epub 2012 Oct 25.
7
Vascular complications of pancreatitis.胰腺炎的血管并发症
ANZ J Surg. 2005 Dec;75(12):1073-9. doi: 10.1111/j.1445-2197.2005.03607.x.
8
SPINK1/PSTI polymorphisms act as disease modifiers in familial and idiopathic chronic pancreatitis.SPINK1/PSTI基因多态性在家族性和特发性慢性胰腺炎中作为疾病修饰因子发挥作用。
Gastroenterology. 2000 Sep;119(3):615-23. doi: 10.1053/gast.2000.18017.
9
A population-based perspective of the hospital incidence and case-fatality rates of deep vein thrombosis and pulmonary embolism. The Worcester DVT Study.基于人群视角的深静脉血栓形成和肺栓塞的医院发病率及病死率。伍斯特深静脉血栓形成研究
Arch Intern Med. 1991 May;151(5):933-8.