Suppr超能文献

免疫治疗的脑肿瘤假性进展的磁共振灌注特征——与放化疗诱导的假性进展和放射性坏死的对比研究

MR perfusion characteristics of pseudoprogression in brain tumors treated with immunotherapy - a comparative study with chemo-radiation induced pseudoprogression and radiation necrosis.

作者信息

Chen Hongyan, Tan Guirong, Zhong Lijuan, Hu Yichuan, Han Wenjing, Huang Yi, Liang Qiong, Szekeres Denes, Jiang Haihui, Bharadwaj Rajnish, Smith Stephen M, Wang Henry Z, Liu Xiang

机构信息

Department of Radiology, Beijing Tiantan Hospital, Capital Medical University, Beijing, China.

Advanced Neuroimaging Laboratory, The Affiliated Yuebei People's Hospital of Shantou University Medical College, Shaoguan, Guangdong Province, China.

出版信息

J Neurooncol. 2025 Mar;172(1):239-247. doi: 10.1007/s11060-024-04910-0. Epub 2024 Dec 17.

Abstract

PURPOSE

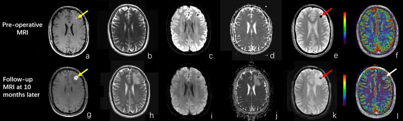
Pseudoprogression is an atypical imaging pattern of response to immunotherapy in patients with brain tumors. MR perfusion studies in this field are limited. The purpose of our study is to compare the perfusion features between pseudoprogression lesions in malignant gliomas and brain metastases treated with immunotherapy (iPsP) and the pseudoprogression after chemo-radiation therapy and radiation necrosis after radiation treatment (ChR-PsP & RN).

METHODS

We retrospectively reviewed 25 iPsP lesions in 16 brain tumor patients and 48 ChR-PsP & RN lesions in 35 patients. The cerebral blood volume (CBV) of MR dynamic susceptibility contrast (DSC) perfusion weighted imaging (PWI) was analyzed, and the mean and maximal values of the ratio of CBV (rCBV and rCBV) of iPsPs and ChR-PsP & RNs were calculated and compared between these two groups using the Mann-Whitney U test. A receiver operating characteristic curve analysis was conducted, and the optimal cutoff of perfusion parameters were determined using the area under the curve, sensitivity, and specificity.

RESULTS

The medians of rCBV and rCBV in iPsP group were significantly higher (0.94 and 1.39 respectively) than ChR-PsP & RN group (0.67, p < 0.01 and 1.1, p = 0.01 respectively). The rCBV value of 0.69 can differentiate the iPsP from ChR-PsP & RN with the area under the curve of 0.71, sensitivity of 0.72, and specificity of 0.56.

CONCLUSION

These findings may suggest immunotherapy-induced higher perfusion in the iPsP lesions compared to ChR-PsP & RN lesions in primary and metastatic brain tumors.

摘要

目的

假性进展是脑肿瘤患者免疫治疗反应的一种非典型影像学表现。该领域的磁共振灌注研究有限。我们研究的目的是比较接受免疫治疗的恶性胶质瘤和脑转移瘤中的假性进展病变(iPsP)与放化疗后假性进展及放疗后放射性坏死(ChR-PsP & RN)之间的灌注特征。

方法

我们回顾性分析了16例脑肿瘤患者中的25个iPsP病变以及35例患者中的48个ChR-PsP & RN病变。分析了磁共振动态磁敏感对比(DSC)灌注加权成像(PWI)的脑血容量(CBV),计算了iPsP和ChR-PsP & RN的CBV比值(rCBV和rCBV)的均值和最大值,并使用Mann-Whitney U检验在两组之间进行比较。进行了受试者工作特征曲线分析,并使用曲线下面积、敏感性和特异性确定了灌注参数的最佳截断值。

结果

iPsP组的rCBV和rCBV中位数显著高于ChR-PsP & RN组(分别为0.94和1.39)(分别为0.67,p < 0.01和1.1,p = 0.01)。rCBV值为0.69时可区分iPsP与ChR-PsP & RN,曲线下面积为0.71,敏感性为0.72,特异性为0.56。

结论

这些发现可能提示,与原发性和转移性脑肿瘤中的ChR-PsP & RN病变相比,免疫治疗可使iPsP病变的灌注更高。

https://cdn.ncbi.nlm.nih.gov/pmc/blobs/23de/11832695/8ae51d6699cb/11060_2024_4910_Fig1_HTML.jpg

文献检索

告别复杂PubMed语法,用中文像聊天一样搜索,搜遍4000万医学文献。AI智能推荐,让科研检索更轻松。

立即免费搜索

文件翻译

保留排版,准确专业,支持PDF/Word/PPT等文件格式,支持 12+语言互译。

免费翻译文档

深度研究

AI帮你快速写综述,25分钟生成高质量综述,智能提取关键信息,辅助科研写作。

立即免费体验