Suppr超能文献

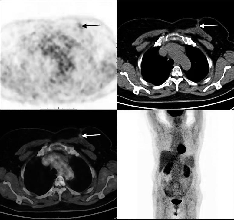
Unusual breast metastasis from follicular thyroid carcinoma 17 years after thyroidectomy: a case description and literature analysis.

作者信息

Chen Kexu, Jiang Xu, Wang Guiling, Yuan Minggang, Qin Song, Zhuang Longchuan

机构信息

Department of Nuclear Medicine, Qingdao Central Hospital, University of Health and Rehabilitation Sciences (Qingdao Central Hospital), Qingdao, China.

Yantai Institute of Coastal Zone Research, Chinese Academy of Sciences, Yantai, China.

出版信息

Quant Imaging Med Surg. 2024 Dec 5;14(12):9796-9804. doi: 10.21037/qims-24-1260. Epub 2024 Nov 29.

Abstract
摘要
https://cdn.ncbi.nlm.nih.gov/pmc/blobs/a744/11652007/2e811b53b089/qims-14-12-9796-f1.jpg

文献检索

告别复杂PubMed语法,用中文像聊天一样搜索,搜遍4000万医学文献。AI智能推荐,让科研检索更轻松。

立即免费搜索

文件翻译

保留排版,准确专业,支持PDF/Word/PPT等文件格式,支持 12+语言互译。

免费翻译文档

深度研究

AI帮你快速写综述,25分钟生成高质量综述,智能提取关键信息,辅助科研写作。

立即免费体验