• 文献检索
  • 文档翻译
  • 深度研究
  • 学术资讯
  • Suppr Zotero 插件Zotero 插件
  • 邀请有礼
  • 套餐&价格
  • 历史记录
应用&插件
Suppr Zotero 插件Zotero 插件浏览器插件Mac 客户端Windows 客户端微信小程序
定价
高级版会员购买积分包购买API积分包
服务
文献检索文档翻译深度研究API 文档MCP 服务
关于我们
关于 Suppr公司介绍联系我们用户协议隐私条款
关注我们

Suppr 超能文献

核心技术专利:CN118964589B侵权必究
粤ICP备2023148730 号-1Suppr @ 2026

文献检索

告别复杂PubMed语法,用中文像聊天一样搜索,搜遍4000万医学文献。AI智能推荐,让科研检索更轻松。

立即免费搜索

文件翻译

保留排版,准确专业,支持PDF/Word/PPT等文件格式,支持 12+语言互译。

免费翻译文档

深度研究

AI帮你快速写综述,25分钟生成高质量综述,智能提取关键信息,辅助科研写作。

立即免费体验

双层双能量CT对急性肺栓塞和慢性血栓栓塞性肺动脉高压中血栓成分的特征分析

Dual-layer dual-energy CT characterization of thrombus composition in acute pulmonary embolism and chronic thromboembolic pulmonary hypertension.

作者信息

Gertz Roman Johannes, Lennartz Simon, Kaya Kenan, Wawer Matos Reimer Robert Peter, Pennig Lenhard, Kottlors Jonathan, Kröger Jan Robert, Gietzen Carsten Herbert, Große Hokamp Nils, Rosenkranz Stephan, Fintelmann Florian Johannes, Pienn Michael, Bunck Alexander Christian

机构信息

Department of Radiology, Faculty of Medicine and University Hospital Cologne, University of Cologne, Kerpener Str. 62, 50937, Cologne, Germany.

Department of Radiology, Neuroradiology and Nuclear Medicine, Johannes Wesling University Hospital Minden, Ruhr University Bochum, Bochum, Germany.

出版信息

Int J Cardiovasc Imaging. 2025 Feb;41(2):303-314. doi: 10.1007/s10554-024-03309-2. Epub 2024 Dec 25.

DOI:10.1007/s10554-024-03309-2
PMID:39720959
原文链接:https://pmc.ncbi.nlm.nih.gov/articles/PMC11811430/
Abstract

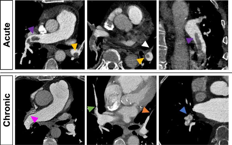
To evaluate dual-layer dual-energy computed tomography (dlDECT)-based characterization of thrombus composition for differentiation of acute pulmonary embolism (PE) and chronic thromboembolic pulmonary hypertension (CTEPH). This retrospective single center cohort study included 49 patients with acute PE and 33 patients with CTEPH who underwent CT pulmonary angiography on a dlDECT from 06/2016 to 06/2022. Conventional images), material specific images (virtual non-contrast [VNC], iodine density overlay [IDO], electron density [ED]), and virtual monoenergetic images (VMI) were analyzed. Regions-of-interest (ROIs) were manually placed in pulmonary artery thrombi, and morphological imaging characteristics for acute and chronic PE were assessed. Area under the receiver operating characteristics curve (AUC) of ROI measurements, morphological imaging features, and their combination in distinguishing between acute PE and CTEPH were evaluated. Compared to PE, thrombi in patients with CTEPH had lower attenuation on conventional images (Median [inter-quartile range]: 40 [35-47] HU vs 64 [52-83] HU) and VMI reconstructions (59 [46-72] HU vs 101 [80-123] HU) as well as decreased iodine uptake (IDO: 0.5 [0.2-1.0] vs 1.2 [0.5-1.8]; p for all < 0.001). Conventional images and VMI reconstructions were the most accurate for differentiating between acute and chronic thrombi (conventional: AUC 0.92, 95% CI 0.86-0.98; VMI: AUC 0.91, 95% CI 0.85-0.97). Main pulmonary artery (MPA) diameter combined with thrombus attenuation significantly increased the AUC compared to MPA diameter alone (p = 0.002 respectively). Thrombi in patients with CTEPH exhibit lower attenuation and reduced contrast enhancement. Analyzing attenuation in pulmonary thrombi may add diagnostic information to established morphological parameters in differentiating acute PE from CTEPH.

摘要

评估基于双层双能量计算机断层扫描(dlDECT)的血栓成分特征,以区分急性肺栓塞(PE)和慢性血栓栓塞性肺动脉高压(CTEPH)。这项回顾性单中心队列研究纳入了49例急性PE患者和33例CTEPH患者,这些患者在2016年6月至2022年6月期间接受了dlDECT的CT肺动脉造影检查。分析了常规图像、物质特异性图像(虚拟平扫[VNC]、碘密度叠加[IDO]、电子密度[ED])和虚拟单能量图像(VMI)。在肺动脉血栓中手动放置感兴趣区(ROIs),并评估急性和慢性PE的形态学成像特征。评估ROI测量的受试者操作特征曲线下面积(AUC)、形态学成像特征及其在区分急性PE和CTEPH中的组合。与PE相比,CTEPH患者的血栓在常规图像上的衰减较低(中位数[四分位间距]:40[35-47]HU对64[52-83]HU),在VMI重建上也较低(59[46-72]HU对101[80-123]HU),碘摄取减少(IDO:[0.2-1.0]对1.2[0.5-1.8];所有p<0.001)。常规图像和VMI重建在区分急性和慢性血栓方面最准确(常规:AUC 0.9, 95% CI 0.86-0.98;VMI:AUC 0.91, 95% CI 0.85-0.97)。与单独的主肺动脉(MPA)直径相比,MPA直径与血栓衰减相结合显著提高了AUC(分别为p = 0.002)。CTEPH患者的血栓表现出较低的衰减和对比增强减弱。分析肺血栓的衰减可能会为区分急性PE和CTEPH的既定形态学参数增加诊断信息。

https://cdn.ncbi.nlm.nih.gov/pmc/blobs/4505/11811430/84a80f3915bd/10554_2024_3309_Fig4_HTML.jpg
https://cdn.ncbi.nlm.nih.gov/pmc/blobs/4505/11811430/32f5d4af9e47/10554_2024_3309_Fig1_HTML.jpg
https://cdn.ncbi.nlm.nih.gov/pmc/blobs/4505/11811430/77aea855c84e/10554_2024_3309_Fig2_HTML.jpg
https://cdn.ncbi.nlm.nih.gov/pmc/blobs/4505/11811430/7a1f17edec76/10554_2024_3309_Fig3_HTML.jpg
https://cdn.ncbi.nlm.nih.gov/pmc/blobs/4505/11811430/84a80f3915bd/10554_2024_3309_Fig4_HTML.jpg
https://cdn.ncbi.nlm.nih.gov/pmc/blobs/4505/11811430/32f5d4af9e47/10554_2024_3309_Fig1_HTML.jpg
https://cdn.ncbi.nlm.nih.gov/pmc/blobs/4505/11811430/77aea855c84e/10554_2024_3309_Fig2_HTML.jpg
https://cdn.ncbi.nlm.nih.gov/pmc/blobs/4505/11811430/7a1f17edec76/10554_2024_3309_Fig3_HTML.jpg
https://cdn.ncbi.nlm.nih.gov/pmc/blobs/4505/11811430/84a80f3915bd/10554_2024_3309_Fig4_HTML.jpg

相似文献

1
Dual-layer dual-energy CT characterization of thrombus composition in acute pulmonary embolism and chronic thromboembolic pulmonary hypertension.双层双能量CT对急性肺栓塞和慢性血栓栓塞性肺动脉高压中血栓成分的特征分析
Int J Cardiovasc Imaging. 2025 Feb;41(2):303-314. doi: 10.1007/s10554-024-03309-2. Epub 2024 Dec 25.
2
Dual-layer dual-energy CT-derived pulmonary perfusion for the differentiation of acute pulmonary embolism and chronic thromboembolic pulmonary hypertension.双层双能量 CT 肺动脉灌注成像鉴别急性肺栓塞与慢性血栓栓塞性肺动脉高压。
Eur Radiol. 2024 May;34(5):2944-2956. doi: 10.1007/s00330-023-10337-4. Epub 2023 Nov 3.
3
Improved Opacification of a Suboptimally Enhanced Pulmonary Artery in Chest CT: Experience Using a Dual-Layer Detector Spectral CT.胸部 CT 中肺动脉低增强的改良显影:使用双层探测器光谱 CT 的经验。
AJR Am J Roentgenol. 2018 Apr;210(4):734-741. doi: 10.2214/AJR.17.18537. Epub 2018 Feb 15.
4
Usefulness of standard computed tomography pulmonary angiography performed for acute pulmonary embolism for identification of chronic thromboembolic pulmonary hypertension: results of the InShape III study.标准 CT 肺动脉造影在急性肺栓塞中对慢性血栓栓塞性肺动脉高压的诊断价值:InShape III 研究结果。
J Heart Lung Transplant. 2019 Jul;38(7):731-738. doi: 10.1016/j.healun.2019.03.003. Epub 2019 Mar 15.
5
Evaluation of Vascular Parameters in Patients With Pulmonary Thromboembolic Disease Using Dual-energy Computed Tomography.应用双能 CT 评价肺血栓栓塞症患者的血管参数。
J Thorac Imaging. 2019 Nov;34(6):367-372. doi: 10.1097/RTI.0000000000000383.
6
Imaging of Chronic Thromboembolic Pulmonary Hypertension.慢性血栓栓塞性肺动脉高压的影像学检查
Radiol Clin North Am. 2025 Mar;63(2):223-234. doi: 10.1016/j.rcl.2024.10.004. Epub 2024 Nov 12.
7
Laterality of CT-measured hepatic extracellular volume fraction in patients with chronic thromboembolic pulmonary hypertension.慢性血栓栓塞性肺动脉高压患者CT测量的肝脏细胞外容积分数的左右差异
Int J Cardiovasc Imaging. 2024 Jul;40(7):1423-1434. doi: 10.1007/s10554-024-03119-6. Epub 2024 May 26.
8
Prediction of chronic thromboembolic pulmonary hypertension with standardised evaluation of initial computed tomography pulmonary angiography performed for suspected acute pulmonary embolism.采用标准化评估方法对疑似急性肺栓塞行初始 CT 肺动脉造影预测慢性血栓栓塞性肺动脉高压。
Eur Radiol. 2022 Apr;32(4):2178-2187. doi: 10.1007/s00330-021-08364-0. Epub 2021 Dec 2.
9
Abnormal Pulmonary Venous Filling: An Adjunct Feature in the Computed Tomography Pulmonary Angiogram Assessment of Chronic Thromboembolic Pulmonary Hypertension.异常肺静脉充盈:慢性血栓栓塞性肺动脉高压 CT 肺动脉造影评估的辅助特征。
J Am Heart Assoc. 2020 Nov 3;9(21):e018075. doi: 10.1161/JAHA.120.018075. Epub 2020 Oct 29.
10
Densitometric CT evaluation of acute and chronic thromboembolic filling defects of the pulmonary arteries before and after contrast injection.CT 密度测定评估对比剂注射前后肺动脉急性和慢性血栓栓塞性充盈缺损。
Radiol Med. 2012 Sep;117(6):979-91. doi: 10.1007/s11547-012-0828-4. Epub 2012 May 14.

本文引用的文献

1
Dual-layer dual-energy CT-derived pulmonary perfusion for the differentiation of acute pulmonary embolism and chronic thromboembolic pulmonary hypertension.双层双能量 CT 肺动脉灌注成像鉴别急性肺栓塞与慢性血栓栓塞性肺动脉高压。
Eur Radiol. 2024 May;34(5):2944-2956. doi: 10.1007/s00330-023-10337-4. Epub 2023 Nov 3.
2
Dual-energy CT in assessment of thrombus perviousness and its application in predicting outcomes after intravenous thrombolysis in acute ischemic stroke.双能 CT 评估血栓通透性及其在急性缺血性脑卒中静脉溶栓后预后预测中的应用。
Eur J Radiol. 2023 Jul;164:110861. doi: 10.1016/j.ejrad.2023.110861. Epub 2023 May 5.
3
Preexisting Chronic Thromboembolic Pulmonary Hypertension in Acute Pulmonary Embolism.
急性肺栓塞中已存在的慢性血栓栓塞性肺动脉高压
Chest. 2023 Apr;163(4):923-932. doi: 10.1016/j.chest.2022.11.045. Epub 2023 Jan 5.
4
2022 ESC/ERS Guidelines for the diagnosis and treatment of pulmonary hypertension.2022年欧洲心脏病学会/欧洲呼吸学会肺动脉高压诊断和治疗指南。
Eur Heart J. 2022 Oct 11;43(38):3618-3731. doi: 10.1093/eurheartj/ehac237.
5
Acute on Chronic Thromboembolic Pulmonary Hypertension: Case Series and Review of Management.慢性血栓栓塞性肺动脉高压急性加重:病例系列及治疗综述
J Clin Med. 2022 Jul 21;11(14):4224. doi: 10.3390/jcm11144224.
6
Assessment of histological characteristics, imaging markers, and rt-PA susceptibility of ex vivo venous thrombi.评估静脉血栓的组织学特征、影像学标志物和 rt-PA 敏感性。
Sci Rep. 2021 Nov 23;11(1):22805. doi: 10.1038/s41598-021-02030-7.
7
Identification of chronic thromboembolic pulmonary hypertension on CTPAs performed for diagnosing acute pulmonary embolism depending on level of expertise.根据专业水平,在为诊断急性肺栓塞而进行的CTPA检查中识别慢性血栓栓塞性肺动脉高压。
Eur J Intern Med. 2021 Nov;93:64-70. doi: 10.1016/j.ejim.2021.07.001. Epub 2021 Jul 20.
8
Symptomatic subsegmental versus more central pulmonary embolism: Clinical outcomes during anticoagulation.有症状的亚段性与更中心性肺栓塞:抗凝治疗期间的临床结局
Res Pract Thromb Haemost. 2020 Nov 18;5(1):168-178. doi: 10.1002/rth2.12446. eCollection 2021 Jan.
9
Histopathologic analysis of extracted thrombi from deep venous thrombosis and pulmonary embolism: Mechanisms and timing.深静脉血栓和肺栓塞中提取血栓的组织病理学分析:机制和时间。
Catheter Cardiovasc Interv. 2021 Jun 1;97(7):1422-1429. doi: 10.1002/ccd.29500. Epub 2021 Feb 1.
10
Imaging of Pulmonary Hypertension in Adults: A Position Paper from the Fleischner Society.成人肺动脉高压影像学:弗勒施纳学会立场文件。
Radiology. 2021 Mar;298(3):531-549. doi: 10.1148/radiol.2020203108. Epub 2021 Jan 5.