• 文献检索
  • 文档翻译
  • 深度研究
  • 学术资讯
  • Suppr Zotero 插件Zotero 插件
  • 邀请有礼
  • 套餐&价格
  • 历史记录
应用&插件
Suppr Zotero 插件Zotero 插件浏览器插件Mac 客户端Windows 客户端微信小程序
定价
高级版会员购买积分包购买API积分包
服务
文献检索文档翻译深度研究API 文档MCP 服务
关于我们
关于 Suppr公司介绍联系我们用户协议隐私条款
关注我们

Suppr 超能文献

核心技术专利:CN118964589B侵权必究
粤ICP备2023148730 号-1Suppr @ 2026

文献检索

告别复杂PubMed语法,用中文像聊天一样搜索,搜遍4000万医学文献。AI智能推荐,让科研检索更轻松。

立即免费搜索

文件翻译

保留排版,准确专业,支持PDF/Word/PPT等文件格式,支持 12+语言互译。

免费翻译文档

深度研究

AI帮你快速写综述,25分钟生成高质量综述,智能提取关键信息,辅助科研写作。

立即免费体验

胆管癌发生的超声预测因素:来自一个地方病流行区的队列研究。

Sonographic Predictors for Developing Cholangiocarcinoma: A Cohort Study from an Endemic Area.

作者信息

Thanakijsombat Natcha, Soonklang Kamonwan, Hiranrat Pantajaree, Limpisook Poemporn, Siripongsakun Surachate

机构信息

Sonographer School, Faculty of Health Science Technology, Chulabhorn Royal Academy, Bangkok, Thailand.

Department of Emergency Medicine, Police General Hospital, Bangkok, Thailand.

出版信息

Asian Pac J Cancer Prev. 2024 Dec 1;25(12):4229-4236. doi: 10.31557/APJCP.2024.25.12.4229.

DOI:10.31557/APJCP.2024.25.12.4229
PMID:39733414
原文链接:https://pmc.ncbi.nlm.nih.gov/articles/PMC12008351/
Abstract

BACKGROUND AND AIM

Cholangiocarcinoma (CCA) is an aggressive malignancy with a poor prognosis. Bile duct and peribiliary changes related to CCA may present on ultrasound (US) findings. This study aims to evaluate US findings that could be used as predictors for developing CCA through our surveillance program in an endemic area of Thailand.

METHODS

The study population was 4,337 villagers in Northern Thailand with a 5-year abdominal US surveillance. Patient demographics data and ultrasound findings of calcifications/granulomas, periductal fibrosis, and diffuse bile duct dilatation were included. A logistic regression model was used to determine significant predictors.

RESULTS

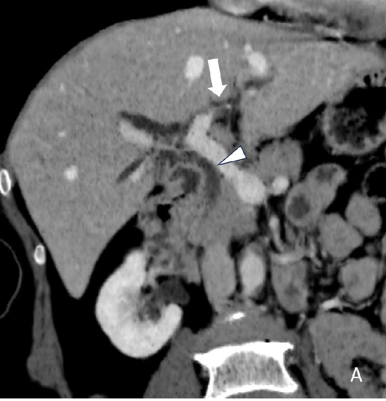
There were 4,225 people included with an average age of 45.49±7.66 years. Prevalence of calcifications/granulomas, periductal fibrosis, and diffuse bile duct dilatation detected on baseline sonographic surveillance was 11.7%, 20.5%, and 11.3%, respectively. The univariate analysis for significant predictors for CCA include age (Relative Risk; RR = 1.12), family history of CCA (RR = 2.29), periductal fibrosis (RR=2.38), and diffuse bile duct dilatation  (RR = 7.59). The multivariate analysis the independent predictors were age (RR = 1.12), family history of CCA (RR = 1.92), and diffuse bile duct dilatation (RR = 5.94), respectively.

CONCLUSIONS

The sonographic predictor for CCA surveillance in endemic areas is diffuse bile duct dilatation.  Age and family history of CCA are also helpful clinical markers.

摘要

背景与目的

胆管癌(CCA)是一种侵袭性恶性肿瘤,预后较差。与CCA相关的胆管及胆管周围改变可能在超声(US)检查结果中呈现。本研究旨在评估在泰国一个地方病流行区通过我们的监测项目可作为CCA发生预测指标的超声检查结果。

方法

研究人群为泰国北部4337名村民,进行了为期5年的腹部超声监测。纳入患者人口统计学数据以及钙化/肉芽肿、导管周围纤维化和弥漫性胆管扩张的超声检查结果。采用逻辑回归模型确定显著预测指标。

结果

共纳入4225人,平均年龄45.49±7.66岁。基线超声监测发现的钙化/肉芽肿、导管周围纤维化和弥漫性胆管扩张的患病率分别为11.7%、20.5%和11.3%。CCA显著预测指标的单因素分析包括年龄(相对风险;RR = 1.12)、CCA家族史(RR = 2.29)、导管周围纤维化(RR = 2.38)和弥漫性胆管扩张(RR = 7.59)。多因素分析中独立预测指标分别为年龄(RR = 1.12)、CCA家族史(RR = 1.92)和弥漫性胆管扩张(RR = 5.94)。

结论

地方病流行区CCA监测的超声预测指标是弥漫性胆管扩张。年龄和CCA家族史也是有用的临床标志物。

https://cdn.ncbi.nlm.nih.gov/pmc/blobs/fae9/12008351/846ad06a1d7c/APJCP-25-4229-g007.jpg
https://cdn.ncbi.nlm.nih.gov/pmc/blobs/fae9/12008351/451d0c15c72b/APJCP-25-4229-g001.jpg
https://cdn.ncbi.nlm.nih.gov/pmc/blobs/fae9/12008351/69ffbe3010f5/APJCP-25-4229-g002.jpg
https://cdn.ncbi.nlm.nih.gov/pmc/blobs/fae9/12008351/130fac38aac2/APJCP-25-4229-g003.jpg
https://cdn.ncbi.nlm.nih.gov/pmc/blobs/fae9/12008351/b1e2d6edb950/APJCP-25-4229-g004.jpg
https://cdn.ncbi.nlm.nih.gov/pmc/blobs/fae9/12008351/ac07eff060ce/APJCP-25-4229-g005.jpg
https://cdn.ncbi.nlm.nih.gov/pmc/blobs/fae9/12008351/cc19ef5acc51/APJCP-25-4229-g006.jpg
https://cdn.ncbi.nlm.nih.gov/pmc/blobs/fae9/12008351/846ad06a1d7c/APJCP-25-4229-g007.jpg
https://cdn.ncbi.nlm.nih.gov/pmc/blobs/fae9/12008351/451d0c15c72b/APJCP-25-4229-g001.jpg
https://cdn.ncbi.nlm.nih.gov/pmc/blobs/fae9/12008351/69ffbe3010f5/APJCP-25-4229-g002.jpg
https://cdn.ncbi.nlm.nih.gov/pmc/blobs/fae9/12008351/130fac38aac2/APJCP-25-4229-g003.jpg
https://cdn.ncbi.nlm.nih.gov/pmc/blobs/fae9/12008351/b1e2d6edb950/APJCP-25-4229-g004.jpg
https://cdn.ncbi.nlm.nih.gov/pmc/blobs/fae9/12008351/ac07eff060ce/APJCP-25-4229-g005.jpg
https://cdn.ncbi.nlm.nih.gov/pmc/blobs/fae9/12008351/cc19ef5acc51/APJCP-25-4229-g006.jpg
https://cdn.ncbi.nlm.nih.gov/pmc/blobs/fae9/12008351/846ad06a1d7c/APJCP-25-4229-g007.jpg

相似文献

1
Sonographic Predictors for Developing Cholangiocarcinoma: A Cohort Study from an Endemic Area.胆管癌发生的超声预测因素:来自一个地方病流行区的队列研究。
Asian Pac J Cancer Prev. 2024 Dec 1;25(12):4229-4236. doi: 10.31557/APJCP.2024.25.12.4229.
2
Association between periductal fibrosis and bile duct dilatation among a population at high risk of cholangiocarcinoma: a cross-sectional study of cholangiocarcinoma screening in Northeast Thailand.在泰国东北部进行的胆管癌筛查的一项横断面研究中,高风险人群中胆管周围纤维化与胆管扩张之间的关联。
BMJ Open. 2019 Mar 20;9(3):e023217. doi: 10.1136/bmjopen-2018-023217.
3
Ultrasound surveillance for cholangiocarcinoma in an endemic area: A prove of survival benefits.在胆管癌高发地区进行超声监测:生存获益的证据。
J Gastroenterol Hepatol. 2018 Jul;33(7):1383-1388. doi: 10.1111/jgh.14074.
4
Histological confirmation of periductal fibrosis from ultrasound diagnosis in cholangiocarcinoma patients.胆管癌患者经超声诊断的导管周围纤维化的组织学确认。
J Hepatobiliary Pancreat Sci. 2014 May;21(5):316-22. doi: 10.1002/jhbp.64. Epub 2014 Jan 13.
5
Spatial analysis of hepatobiliary abnormalities in a population at high-risk of cholangiocarcinoma in Thailand.泰国高危胆管癌人群肝胆异常的空间分析。
Sci Rep. 2020 Oct 8;10(1):16855. doi: 10.1038/s41598-020-73771-0.
6
Associations between ultrasound screening findings and cholangiocarcinoma diagnosis in an at-risk population.在高危人群中,超声筛查结果与胆管癌诊断之间的关联。
Sci Rep. 2022 Aug 6;12(1):13513. doi: 10.1038/s41598-022-17794-9.
7
Surveillance of Populations at Risk of Cholangiocarcinoma Development in Rural Communities of Thailand Using the Korat-CCA Verbal Screening Test.使用呵叻胆管癌语言筛查测试对泰国农村社区胆管癌高危人群进行监测。
Asian Pac J Cancer Prev. 2016;17(4):2205-9. doi: 10.7314/apjcp.2016.17.4.2205.
8
Ultrasound screening for cholangiocarcinoma could detect premalignant lesions and early-stage diseases with survival benefits: a population-based prospective study of 4,225 subjects in an endemic area.超声筛查胆管癌可检测出癌前病变和早期疾病并带来生存获益:一项针对流行地区4225名受试者的基于人群的前瞻性研究。
BMC Cancer. 2016 Jun 2;16:346. doi: 10.1186/s12885-016-2390-2.
9
Factors Associated with Periductal Fibrosis Diagnosed by Ultrasonography Screening among a High Risk Population for Cholangiocarcinoma in Northeast Thailand.泰国东北部胆管癌高危人群中经超声筛查诊断的导管周围纤维化相关因素
Asian Pac J Cancer Prev. 2016;17(8):4131-6.
10
Association of Cholangiocarcinoma among People with Periductal Fibrosis.胆管癌与胆管周围纤维化患者相关。
Asian Pac J Cancer Prev. 2023 Dec 1;24(12):4147-4154. doi: 10.31557/APJCP.2023.24.12.4147.

本文引用的文献

1
Cost-Effectiveness Analysis of Ultrasound Surveillance for Cholangiocarcinoma in an Endemic Area of Thailand.泰国胆管癌高发地区超声筛查的成本效益分析。
Asian Pac J Cancer Prev. 2023 Dec 1;24(12):4117-4125. doi: 10.31557/APJCP.2023.24.12.4117.
2
Risk Factors for Opisthorchis Viverrini Infection: A Systematic Review.华支睾吸虫感染的危险因素:系统评价。
J Infect Public Health. 2020 Sep;13(9):1265-1273. doi: 10.1016/j.jiph.2020.05.028. Epub 2020 Jun 18.
3
A comparison of the proportion of early stage cholangiocarcinoma found in an ultrasound-screening program compared to walk-in patients.
超声筛查项目中与门诊患者相比早期胆管癌的检出比例比较。
HPB (Oxford). 2020 Jun;22(6):874-883. doi: 10.1016/j.hpb.2019.10.010. Epub 2019 Oct 26.
4
Association between periductal fibrosis and bile duct dilatation among a population at high risk of cholangiocarcinoma: a cross-sectional study of cholangiocarcinoma screening in Northeast Thailand.在泰国东北部进行的胆管癌筛查的一项横断面研究中,高风险人群中胆管周围纤维化与胆管扩张之间的关联。
BMJ Open. 2019 Mar 20;9(3):e023217. doi: 10.1136/bmjopen-2018-023217.
5
Premalignant lesions of cholangiocarcinoma: characteristics on ultrasonography and MRI.胆管癌的癌前病变:超声和 MRI 的特征。
Abdom Radiol (NY). 2019 Jun;44(6):2133-2146. doi: 10.1007/s00261-019-01951-2.
6
Cholangiocarcinoma Trends, Incidence, and Relative Survival in Khon Kaen, Thailand From 1989 Through 2013: A Population-Based Cancer Registry Study.泰国孔敬府胆管癌的趋势、发病率和相对生存率:1989 年至 2013 年的一项基于人群的癌症登记研究。
J Epidemiol. 2019 May 5;29(5):197-204. doi: 10.2188/jea.JE20180007. Epub 2018 Aug 4.
7
Risk Factors for Cholangiocarcinoma in Thailand: A Systematic Review and Meta-Analysis.泰国胆管癌的危险因素:系统评价与荟萃分析
Asian Pac J Cancer Prev. 2018 Mar 27;19(3):605-614. doi: 10.22034/APJCP.2018.19.3.605.
8
Ultrasound surveillance for cholangiocarcinoma in an endemic area: A prove of survival benefits.在胆管癌高发地区进行超声监测:生存获益的证据。
J Gastroenterol Hepatol. 2018 Jul;33(7):1383-1388. doi: 10.1111/jgh.14074.
9
Cholangiocarcinoma: Current Knowledge and New Developments.胆管癌:当前认知与新进展
Gut Liver. 2017 Jan 15;11(1):13-26. doi: 10.5009/gnl15568.
10
Ultrasound screening for cholangiocarcinoma could detect premalignant lesions and early-stage diseases with survival benefits: a population-based prospective study of 4,225 subjects in an endemic area.超声筛查胆管癌可检测出癌前病变和早期疾病并带来生存获益:一项针对流行地区4225名受试者的基于人群的前瞻性研究。
BMC Cancer. 2016 Jun 2;16:346. doi: 10.1186/s12885-016-2390-2.