• 文献检索
  • 文档翻译
  • 深度研究
  • 学术资讯
  • Suppr Zotero 插件Zotero 插件
  • 邀请有礼
  • 套餐&价格
  • 历史记录
应用&插件
Suppr Zotero 插件Zotero 插件浏览器插件Mac 客户端Windows 客户端微信小程序
定价
高级版会员购买积分包购买API积分包
服务
文献检索文档翻译深度研究API 文档MCP 服务
关于我们
关于 Suppr公司介绍联系我们用户协议隐私条款
关注我们

Suppr 超能文献

核心技术专利:CN118964589B侵权必究
粤ICP备2023148730 号-1Suppr @ 2026

文献检索

告别复杂PubMed语法,用中文像聊天一样搜索,搜遍4000万医学文献。AI智能推荐,让科研检索更轻松。

立即免费搜索

文件翻译

保留排版,准确专业,支持PDF/Word/PPT等文件格式,支持 12+语言互译。

免费翻译文档

深度研究

AI帮你快速写综述,25分钟生成高质量综述,智能提取关键信息,辅助科研写作。

立即免费体验

坦索罗辛通过楔入TMEM16A的变构位点抑制氯离子释放,从而改善骨质流失。

Tamsulosin ameliorates bone loss by inhibiting the release of Cl through wedging into an allosteric site of TMEM16A.

作者信息

Li Shiliang, Sun Weijia, Li Shuang, Zhu Lili, Guo Shuai, He Jiaqi, Li Yuheng, Tian Chaoquan, Zhao Zhenjiang, Yu Tao, Li Jianwei, Zhang Yiqing, Hai Youlong, Wang Jiawen, Zheng Yongjun, Wang Rui, Hu Xiaoyong, Ling Shukuan, Li Honglin, Li Yingxian

机构信息

Innovation Center for AI and Drug Discovery, School of Pharmacy, East China Normal University, Shanghai 200062, China.

Shanghai Key Laboratory of New Drug Design, School of Pharmacy, East China University of Science and Technology, Shanghai 200237, China.

出版信息

Proc Natl Acad Sci U S A. 2025 Jan 7;122(1):e2407493121. doi: 10.1073/pnas.2407493121. Epub 2024 Dec 31.

DOI:10.1073/pnas.2407493121
PMID:39739807
原文链接:https://pmc.ncbi.nlm.nih.gov/articles/PMC11725887/
Abstract

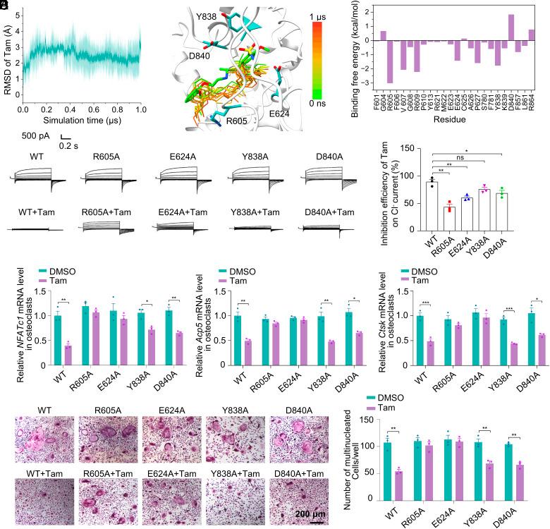
TMEM16A, a key calcium-activated chloride channel, is crucial for many physiological and pathological processes such as cancer, hypertension, and osteoporosis, etc. However, the regulatory mechanism of TMEM16A is poorly understood, limiting the discovery of effective modulators. Here, we unveil an allosteric gating mechanism by presenting a high-resolution cryo-EM structure of TMEM16A in complex with a channel inhibitor that we identified, Tamsulosin, which is resolved at 2.93 Å. Tamsulosin wedges itself into a pocket within the extracellular domain of TMEM16A, surrounded by α1-α2, α5-α6, and α9-α10 loops. This binding stabilizes a transient preopen conformation of TMEM16A, which is activated by Ca ions while still preserving a closed pore to prevent Cl permeation. Validation of this binding site through computational, electrophysiological, and functional experiments, along with site-directed mutagenesis, confirmed the pivotal roles of the pocket-lining residues R605 and E624 on α5-α6 loop in modulating Tamsulosin binding and pore activity. Tamsulosin induces significant positional shifts in extracellular loops, particularly the α5-α6 loop, which moves toward the extracellular exit of the pore, leading to noticeable structural rearrangements in pore-lining helices. The hinges induced by P595 in α5 and G711 in α7 introduce flexibility to the transmembrane helices, orienting Y593 to collaborate with I641 in effectively gating the preopening pore. Notably, Tamsulosin demonstrates significant antiosteoporotic effects by inhibiting TMEM16A, suggesting potential for its repurposing in new therapeutic indications. Our study not only enhances our understanding of the gating mechanism of TMEM16A inhibition but also facilitates structure-based drug design targeting TMEM16A.

摘要

跨膜蛋白16A(TMEM16A)是一种关键的钙激活氯离子通道,对许多生理和病理过程至关重要,如癌症、高血压和骨质疏松症等。然而,人们对TMEM16A的调节机制了解甚少,这限制了有效调节剂的发现。在此,我们通过展示TMEM16A与我们鉴定的一种通道抑制剂坦索罗辛形成复合物的高分辨率冷冻电镜结构,揭示了一种变构门控机制,该结构的分辨率为2.93埃。坦索罗辛楔入TMEM16A细胞外结构域内的一个口袋中,该口袋被α1-α2、α5-α6和α9-α10环包围。这种结合稳定了TMEM16A的一种瞬时预开放构象,该构象被钙离子激活,同时仍保持封闭的孔以防止氯离子渗透。通过计算、电生理和功能实验以及定点诱变对该结合位点进行验证,证实了α5-α6环上口袋内衬残基R605和E624在调节坦索罗辛结合和孔活性方面的关键作用。坦索罗辛诱导细胞外环,特别是α5-α6环发生显著的位置变化,该环向孔的细胞外出口移动,导致孔内衬螺旋发生明显的结构重排。α5中的P595和α7中的G711诱导的铰链为跨膜螺旋引入了灵活性,使Y593与I641协同作用以有效地门控预开放孔。值得注意的是,坦索罗辛通过抑制TMEM16A表现出显著的抗骨质疏松作用,表明其在新治疗适应症中的重新利用潜力。我们的研究不仅增进了我们对TMEM16A抑制门控机制的理解,还促进了针对TMEM16A的基于结构的药物设计。

https://cdn.ncbi.nlm.nih.gov/pmc/blobs/8fd5/11725887/4829b7d36f7f/pnas.2407493121fig06.jpg
https://cdn.ncbi.nlm.nih.gov/pmc/blobs/8fd5/11725887/243024d3fe87/pnas.2407493121fig01.jpg
https://cdn.ncbi.nlm.nih.gov/pmc/blobs/8fd5/11725887/37ca51bb2c22/pnas.2407493121fig02.jpg
https://cdn.ncbi.nlm.nih.gov/pmc/blobs/8fd5/11725887/c3fe9b602658/pnas.2407493121fig03.jpg
https://cdn.ncbi.nlm.nih.gov/pmc/blobs/8fd5/11725887/abb1e9e96772/pnas.2407493121fig04.jpg
https://cdn.ncbi.nlm.nih.gov/pmc/blobs/8fd5/11725887/10e056609866/pnas.2407493121fig05.jpg
https://cdn.ncbi.nlm.nih.gov/pmc/blobs/8fd5/11725887/4829b7d36f7f/pnas.2407493121fig06.jpg
https://cdn.ncbi.nlm.nih.gov/pmc/blobs/8fd5/11725887/243024d3fe87/pnas.2407493121fig01.jpg
https://cdn.ncbi.nlm.nih.gov/pmc/blobs/8fd5/11725887/37ca51bb2c22/pnas.2407493121fig02.jpg
https://cdn.ncbi.nlm.nih.gov/pmc/blobs/8fd5/11725887/c3fe9b602658/pnas.2407493121fig03.jpg
https://cdn.ncbi.nlm.nih.gov/pmc/blobs/8fd5/11725887/abb1e9e96772/pnas.2407493121fig04.jpg
https://cdn.ncbi.nlm.nih.gov/pmc/blobs/8fd5/11725887/10e056609866/pnas.2407493121fig05.jpg
https://cdn.ncbi.nlm.nih.gov/pmc/blobs/8fd5/11725887/4829b7d36f7f/pnas.2407493121fig06.jpg

相似文献

1
Tamsulosin ameliorates bone loss by inhibiting the release of Cl through wedging into an allosteric site of TMEM16A.坦索罗辛通过楔入TMEM16A的变构位点抑制氯离子释放,从而改善骨质流失。
Proc Natl Acad Sci U S A. 2025 Jan 7;122(1):e2407493121. doi: 10.1073/pnas.2407493121. Epub 2024 Dec 31.
2
Management of urinary stones by experts in stone disease (ESD 2025).结石病专家对尿路结石的管理(2025年结石病专家共识)
Arch Ital Urol Androl. 2025 Jun 30;97(2):14085. doi: 10.4081/aiua.2025.14085.
3
Signs and symptoms to determine if a patient presenting in primary care or hospital outpatient settings has COVID-19.在基层医疗机构或医院门诊环境中,如果患者出现以下症状和体征,可判断其是否患有 COVID-19。
Cochrane Database Syst Rev. 2022 May 20;5(5):CD013665. doi: 10.1002/14651858.CD013665.pub3.
4
Murine norovirus allosteric escape mutants mimic gut activation.鼠诺如病毒变构逃逸突变体模拟肠道激活。
J Virol. 2025 Jun 17;99(6):e0021925. doi: 10.1128/jvi.00219-25. Epub 2025 May 12.
5
Does Augmenting Irradiated Autografts With Free Vascularized Fibula Graft in Patients With Bone Loss From a Malignant Tumor Achieve Union, Function, and Complication Rate Comparably to Patients Without Bone Loss and Augmentation When Reconstructing Intercalary Resections in the Lower Extremity?对于因恶性肿瘤导致骨缺损的患者,在重建下肢节段性切除时,采用带血管游离腓骨移植来增强照射后的自体骨移植,其骨愈合、功能及并发症发生率与无骨缺损且未进行增强的患者相比是否相当?
Clin Orthop Relat Res. 2025 Jun 26. doi: 10.1097/CORR.0000000000003599.
6
Active body surface warming systems for preventing complications caused by inadvertent perioperative hypothermia in adults.用于预防成人围手术期意外低温引起并发症的主动体表升温系统。
Cochrane Database Syst Rev. 2016 Apr 21;4(4):CD009016. doi: 10.1002/14651858.CD009016.pub2.
7
Interventions for central serous chorioretinopathy: a network meta-analysis.中心性浆液性脉络膜视网膜病变的干预措施:一项网状Meta分析
Cochrane Database Syst Rev. 2025 Jun 16;6(6):CD011841. doi: 10.1002/14651858.CD011841.pub3.
8
Impact of residual disease as a prognostic factor for survival in women with advanced epithelial ovarian cancer after primary surgery.原发性手术后晚期上皮性卵巢癌患者残留病灶对生存预后的影响。
Cochrane Database Syst Rev. 2022 Sep 26;9(9):CD015048. doi: 10.1002/14651858.CD015048.pub2.
9
Psychological interventions for adults who have sexually offended or are at risk of offending.针对有性犯罪行为或有性犯罪风险的成年人的心理干预措施。
Cochrane Database Syst Rev. 2012 Dec 12;12(12):CD007507. doi: 10.1002/14651858.CD007507.pub2.
10
Brexanolone, zuranolone and related neurosteroid GABA receptor positive allosteric modulators for postnatal depression.用于产后抑郁症的布雷沙诺龙、祖拉诺龙及相关神经甾体GABA受体正变构调节剂。
Cochrane Database Syst Rev. 2025 Jun 26;6(6):CD014624. doi: 10.1002/14651858.CD014624.pub2.

引用本文的文献

1
Osteoporosis diagnosis and ingredients of prescription medications: a population-based study.骨质疏松症的诊断及处方药物成分:一项基于人群的研究。
Front Pharmacol. 2025 Jul 11;16:1522937. doi: 10.3389/fphar.2025.1522937. eCollection 2025.

本文引用的文献

1
Anoctamin 1 controls bone resorption by coupling Cl channel activation with RANKL-RANK signaling transduction.Anoctamin 1 通过将 Cl 通道激活与 RANKL-RANK 信号转导偶联来控制骨吸收。
Nat Commun. 2022 May 24;13(1):2899. doi: 10.1038/s41467-022-30625-9.
2
Inhibition mechanism of the chloride channel TMEM16A by the pore blocker 1PBC.氯离子通道 TMEM16A 的抑制机制由孔阻滞剂 1PBC 介导。
Nat Commun. 2022 May 19;13(1):2798. doi: 10.1038/s41467-022-30479-1.
3
TMEM16A (ANO1) as a therapeutic target in cystic fibrosis.TMEM16A(ANO1)作为囊性纤维化的治疗靶点。
Curr Opin Pharmacol. 2022 Jun;64:102206. doi: 10.1016/j.coph.2022.102206. Epub 2022 Mar 29.
4
Osteoporosis in 10 years time: a glimpse into the future of osteoporosis.十年后的骨质疏松症:展望骨质疏松症的未来
Ther Adv Musculoskelet Dis. 2022 Mar 20;14:1759720X221083541. doi: 10.1177/1759720X221083541. eCollection 2022.
5
The Ca2+-gated channel TMEM16A amplifies capillary pericyte contraction and reduces cerebral blood flow after ischemia.钙激活氯离子通道 TMEM16A 增强了缺血后毛细血管周细胞的收缩并减少了脑血流。
J Clin Invest. 2022 May 2;132(9). doi: 10.1172/JCI154118.
6
Improved prediction of protein-protein interactions using AlphaFold2.利用 AlphaFold2 提高蛋白质-蛋白质相互作用预测的准确性。
Nat Commun. 2022 Mar 10;13(1):1265. doi: 10.1038/s41467-022-28865-w.
7
Gating and Regulatory Mechanisms of TMEM16 Ion Channels and Scramblases.跨膜蛋白16(TMEM16)离子通道和翻转酶的门控与调节机制
Front Physiol. 2021 Nov 19;12:787773. doi: 10.3389/fphys.2021.787773. eCollection 2021.
8
Recent Progresses in the Treatment of Osteoporosis.骨质疏松症治疗的最新进展
Front Pharmacol. 2021 Jul 22;12:717065. doi: 10.3389/fphar.2021.717065. eCollection 2021.
9
Emerging Modulators of TMEM16A and Their Therapeutic Potential.TMEM16A的新型调节剂及其治疗潜力。
J Membr Biol. 2021 Aug;254(4):353-365. doi: 10.1007/s00232-021-00188-9. Epub 2021 Jul 14.
10
Gating the pore of the calcium-activated chloride channel TMEM16A.钙激活氯离子通道 TMEM16A 的孔门调控。
Nat Commun. 2021 Feb 4;12(1):785. doi: 10.1038/s41467-020-20787-9.