• 文献检索
  • 文档翻译
  • 深度研究
  • 学术资讯
  • Suppr Zotero 插件Zotero 插件
  • 邀请有礼
  • 套餐&价格
  • 历史记录
应用&插件
Suppr Zotero 插件Zotero 插件浏览器插件Mac 客户端Windows 客户端微信小程序
定价
高级版会员购买积分包购买API积分包
服务
文献检索文档翻译深度研究API 文档MCP 服务
关于我们
关于 Suppr公司介绍联系我们用户协议隐私条款
关注我们

Suppr 超能文献

核心技术专利:CN118964589B侵权必究
粤ICP备2023148730 号-1Suppr @ 2026

文献检索

告别复杂PubMed语法,用中文像聊天一样搜索,搜遍4000万医学文献。AI智能推荐,让科研检索更轻松。

立即免费搜索

文件翻译

保留排版,准确专业,支持PDF/Word/PPT等文件格式,支持 12+语言互译。

免费翻译文档

深度研究

AI帮你快速写综述,25分钟生成高质量综述,智能提取关键信息,辅助科研写作。

立即免费体验

膀胱孤立性纤维瘤:成年男性膀胱出口梗阻的罕见原因。

Solitary fibrous tumor of the bladder: A rare cause of bladder outlet obstruction in an adult male.

作者信息

van Jaarsveld Návan, Aldera Alessandro Pietro, John Jeff

机构信息

Division of Urology, Department of Surgery Frere Hospital and Walter Sisulu University East London South Africa.

JWD Pathology Inc Cape Town South Africa.

出版信息

IJU Case Rep. 2024 Nov 19;8(1):11-14. doi: 10.1002/iju5.12789. eCollection 2025 Jan.

DOI:10.1002/iju5.12789
PMID:39749296
原文链接:https://pmc.ncbi.nlm.nih.gov/articles/PMC11693105/
Abstract

INTRODUCTION

Solitary fibrous bladder tumors are extremely uncommon, with only a few cases reported. These fibroblastic mesenchymal neoplasms are typically benign, indolent, and slow growing.

CASE PRESENTATION

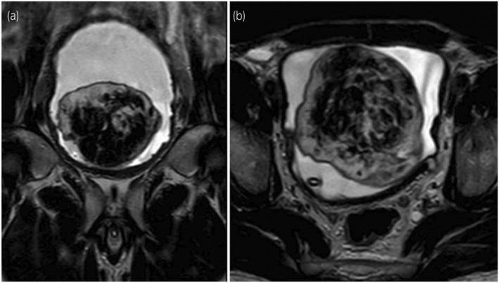
A 44-year-old male patient with obstructive uropathy was referred to our unit for workup. Ultrasonography and MRI of the pelvis showed a large, well-circumscribed bladder mass, also visualized cystoscopically. This mass was excised en bloc using the Pfannenstiel approach. Histopathological and immunohistochemical analyses revealed a solitary fibrous tumor.

CONCLUSION

The management of SFTs can be challenging due to the lack of established guidelines. Hence, we offered our patient long-term follow-up. Twelve months postoperatively, no recurrence or metastases were found on the follow-up imaging.

摘要

引言

孤立性纤维性膀胱肿瘤极为罕见,仅有少数病例报道。这些成纤维细胞性间叶肿瘤通常为良性,生长缓慢且惰性。

病例报告

一名患有梗阻性尿路病的44岁男性患者被转诊至我科进行检查。骨盆的超声和磁共振成像显示一个大的、边界清晰的膀胱肿块,膀胱镜检查也可见到。采用Pfannenstiel入路将该肿块整块切除。组织病理学和免疫组织化学分析显示为孤立性纤维瘤。

结论

由于缺乏既定的指南,孤立性纤维瘤的治疗可能具有挑战性。因此,我们对患者进行了长期随访。术后12个月,随访影像学检查未发现复发或转移。

https://cdn.ncbi.nlm.nih.gov/pmc/blobs/0627/11693105/a261e34a4134/IJU5-8-11-g002.jpg
https://cdn.ncbi.nlm.nih.gov/pmc/blobs/0627/11693105/da98b410002c/IJU5-8-11-g004.jpg
https://cdn.ncbi.nlm.nih.gov/pmc/blobs/0627/11693105/9ed4d31b8a5e/IJU5-8-11-g001.jpg
https://cdn.ncbi.nlm.nih.gov/pmc/blobs/0627/11693105/5590653e342e/IJU5-8-11-g003.jpg
https://cdn.ncbi.nlm.nih.gov/pmc/blobs/0627/11693105/a261e34a4134/IJU5-8-11-g002.jpg
https://cdn.ncbi.nlm.nih.gov/pmc/blobs/0627/11693105/da98b410002c/IJU5-8-11-g004.jpg
https://cdn.ncbi.nlm.nih.gov/pmc/blobs/0627/11693105/9ed4d31b8a5e/IJU5-8-11-g001.jpg
https://cdn.ncbi.nlm.nih.gov/pmc/blobs/0627/11693105/5590653e342e/IJU5-8-11-g003.jpg
https://cdn.ncbi.nlm.nih.gov/pmc/blobs/0627/11693105/a261e34a4134/IJU5-8-11-g002.jpg

相似文献

1
Solitary fibrous tumor of the bladder: A rare cause of bladder outlet obstruction in an adult male.膀胱孤立性纤维瘤:成年男性膀胱出口梗阻的罕见原因。
IJU Case Rep. 2024 Nov 19;8(1):11-14. doi: 10.1002/iju5.12789. eCollection 2025 Jan.
2
Diagnosis and management of an extremely rare solitary fibrous tumor in the retropubic space of Retzius: A case report.耻骨后间隙极为罕见的孤立性纤维瘤的诊断与治疗:一例报告
Int J Surg Case Rep. 2023 Sep;110:108717. doi: 10.1016/j.ijscr.2023.108717. Epub 2023 Aug 25.
3
Solitary fibrous tumor of the bladder: Diagnostic challenges and surgical management in an elderly male, a case report and literature review.膀胱孤立性纤维瘤:老年男性患者的诊断挑战与手术治疗,病例报告及文献综述
Int J Surg Case Rep. 2025 Mar;128:111053. doi: 10.1016/j.ijscr.2025.111053. Epub 2025 Feb 12.
4
Intracranial solitary fibrous tumour with rhabdomyosarcomatous differentiation: A diagnostic challenge of a rare presentation.具有横纹肌肉瘤分化的颅内孤立性纤维瘤:一种罕见表现的诊断挑战。
Int J Surg Case Rep. 2024 Dec;125:110586. doi: 10.1016/j.ijscr.2024.110586. Epub 2024 Nov 12.
5
Uncommon presentation of a rare tumour - incidental finding in an asymptomatic patient: case report and comprehensive review of the literature on intrapericardial solitary fibrous tumours.罕见肿瘤的不常见表现——无症状患者的偶然发现:心包内孤立性纤维瘤的病例报告及文献综述。
BMC Cancer. 2017 Sep 2;17(1):612. doi: 10.1186/s12885-017-3574-0.
6
Large Solitary Fibrous Tumor (SFT) of the penis- a case report and review of literature.阴茎巨大孤立性纤维瘤(SFT)——病例报告及文献复习。
BMC Urol. 2023 Aug 2;23(1):131. doi: 10.1186/s12894-023-01302-w.
7
Massive malignant solitary fibrous tumor arising from the bladder serosa: a case report.起源于膀胱浆膜的巨大恶性孤立性纤维瘤:一例报告
J Med Case Rep. 2015 Mar 1;9:46. doi: 10.1186/s13256-014-0505-4.
8
Solitary fibrous tumor surrounding the carotid sheath.颈动脉鞘周围孤立性纤维瘤。
Med Oral Patol Oral Cir Bucal. 2010 Mar 1;15(2):e395-7. doi: 10.4317/medoral.15.e395.
9
A Rare Case of Solitary Fibrous Tumour of the Pelvis in an 18-Year-Old Young Man: CT and MRI Features with Pathologic Correlations.一名18岁青年男性骨盆孤立性纤维瘤罕见病例:CT及MRI表现与病理对照
Res Rep Urol. 2020 Dec 29;12:687-690. doi: 10.2147/RRU.S284777. eCollection 2020.
10
Giant Perineal Solitary Fibrous Tumor: A Rare Case Report.巨大会阴孤立性纤维瘤:一例罕见病例报告
Case Rep Urol. 2017;2017:4876494. doi: 10.1155/2017/4876494. Epub 2017 Mar 2.

本文引用的文献

1
Solitary fibrous tumour of the urinary bladder - A rare and potentially malignant neoplasm.膀胱孤立性纤维瘤——一种罕见的潜在恶性肿瘤。
Urol Case Rep. 2023 Jul 17;50:102501. doi: 10.1016/j.eucr.2023.102501. eCollection 2023 Sep.
2
Solitary fibrous tumor of the urinary bladder: An unusual case report with literature review.膀胱孤立性纤维瘤:一例罕见病例报告并文献复习
Radiol Case Rep. 2021 Oct 14;16(12):3898-3902. doi: 10.1016/j.radcr.2021.09.037. eCollection 2021 Dec.
3
[Solitary Fibrous Tumor of the Urinary Bladder which was Incidentally Found by MRI : A Case Report].
[MRI偶然发现的膀胱孤立性纤维瘤:病例报告]
Hinyokika Kiyo. 2021 Aug;67(8):385-389. doi: 10.14989/ActaUrolJap_67_8_385.
4
Solitary fibrous tumor involving urinary bladder: a case report and literature review.膀胱孤立性纤维瘤:一例报告及文献复习
Transl Androl Urol. 2020 Apr;9(2):766-775. doi: 10.21037/tau.2020.01.09.
5
Solitary Fibrous Tumor of the Urinary Bladder Associated with Hypoglycemia: An Unusual Case of Doege-Potter Syndrome.膀胱孤立性纤维瘤伴低血糖:一例罕见的多伊格-波特综合征病例
Urol Int. 2019;103(1):120-124. doi: 10.1159/000499942. Epub 2019 Apr 30.
6
Two Cases of Solitary Fibrous Tumor Involving Urinary Bladder and a Review of the Literature.两例累及膀胱的孤立性纤维瘤及文献复习
Case Rep Urol. 2016;2016:5145789. doi: 10.1155/2016/5145789. Epub 2016 Oct 4.
7
Postoperative recurrence solitary fibrous tumor of the pelvic with malignant transformation.盆腔孤立性纤维瘤术后复发伴恶性转化。
Int J Clin Exp Med. 2015 Sep 15;8(9):16827-33. eCollection 2015.
8
Nuclear expression of STAT6 distinguishes solitary fibrous tumor from histologic mimics.STAT6 的核表达可将孤立性纤维性肿瘤与组织学模拟物区分开来。
Mod Pathol. 2014 Mar;27(3):390-5. doi: 10.1038/modpathol.2013.164. Epub 2013 Sep 13.
9
Malignant solitary fibrous tumor of the urinary bladder.膀胱恶性孤立性纤维瘤。
J Chin Med Assoc. 2012 Sep;75(9):479-82. doi: 10.1016/j.jcma.2012.06.021. Epub 2012 Aug 11.
10
Somatic and visceral solitary fibrous tumors in the abdomen and pelvis: cross-sectional imaging spectrum.腹部和骨盆的躯体和内脏孤立性纤维性肿瘤:影像学表现。
Radiographics. 2011 Mar-Apr;31(2):393-408. doi: 10.1148/rg.312105080.