• 文献检索
  • 文档翻译
  • 深度研究
  • 学术资讯
  • Suppr Zotero 插件Zotero 插件
  • 邀请有礼
  • 套餐&价格
  • 历史记录
应用&插件
Suppr Zotero 插件Zotero 插件浏览器插件Mac 客户端Windows 客户端微信小程序
定价
高级版会员购买积分包购买API积分包
服务
文献检索文档翻译深度研究API 文档MCP 服务
关于我们
关于 Suppr公司介绍联系我们用户协议隐私条款
关注我们

Suppr 超能文献

核心技术专利:CN118964589B侵权必究
粤ICP备2023148730 号-1Suppr @ 2026

文献检索

告别复杂PubMed语法,用中文像聊天一样搜索,搜遍4000万医学文献。AI智能推荐,让科研检索更轻松。

立即免费搜索

文件翻译

保留排版,准确专业,支持PDF/Word/PPT等文件格式,支持 12+语言互译。

免费翻译文档

深度研究

AI帮你快速写综述,25分钟生成高质量综述,智能提取关键信息,辅助科研写作。

立即免费体验

RNF112的转录受KLF4调控,它通过促进NAA40的泛素依赖性降解来抑制结直肠癌的生长。

RNF112, whose transcription is regulated by KLF4, inhibits colorectal cancer growth via promoting ubiquitin-dependent degradation of NAA40.

作者信息

Li Chunfei, Guan Wenzheng, Geng Donghua, Feng Yong

机构信息

Department of General Surgery, Shengjing Hospital of China Medical University, 36 Sanhao Street, 110004, Shenyang, China.

Center of Reproductive Medicine, Shengjing Hospital of China Medical University, Shenyang, China.

出版信息

Cell Biol Toxicol. 2025 Jan 6;41(1):22. doi: 10.1007/s10565-024-09977-z.

DOI:10.1007/s10565-024-09977-z
PMID:39757327
原文链接:https://pmc.ncbi.nlm.nih.gov/articles/PMC11700914/
Abstract

BACKGROUND

RING finger protein 112 (RNF112) exerts a key role in human tumors. However, its biological function in colorectal cancer (CRC) has not been discussed. We aimed to explore the function and molecular mechanism of RNF112 in CRC.

RESULTS

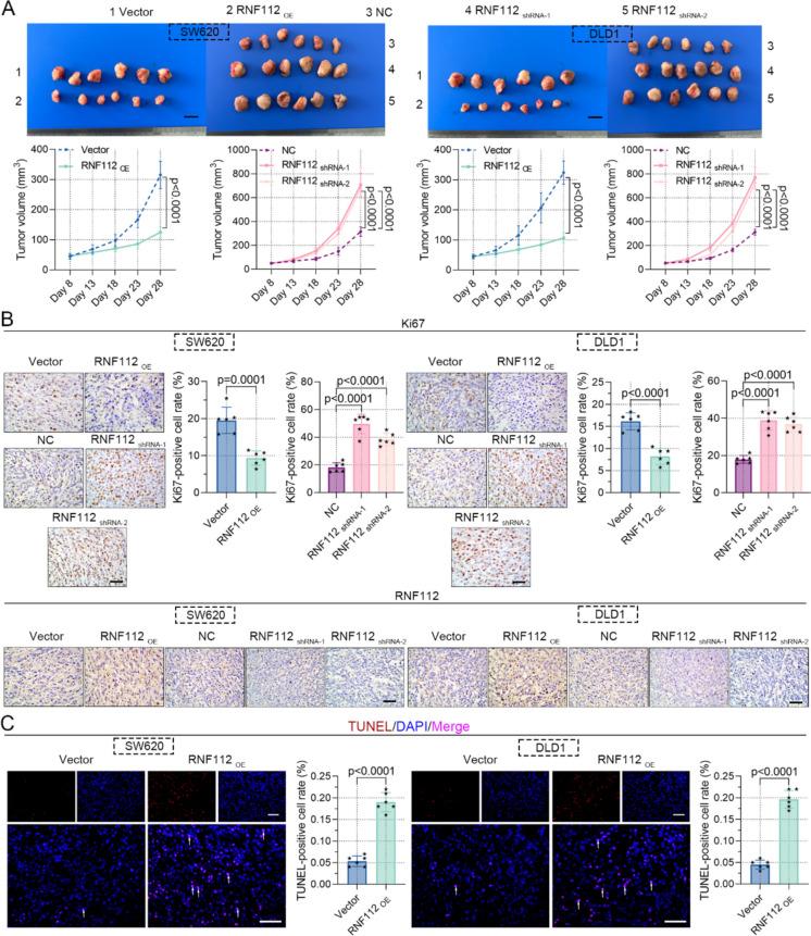
In this study, RNF112 expression was notably decreased in CRC tissues and cells. Clinical analysis revealed a significant association between low RNF112 expression and tumor size, N classification and TNM stage. In vitro experiments demonstrated that overexpression of RNF112 repressed cell viability, promoted cell cycle arrest and apoptosis, while knocking down RNF112 had the opposite function. The tumor formation results in nude mice supported that RNF112 overexpression exerted anti-tumor effects by inhibiting cell growth and promoting cell apoptosis. Mechanistically, Krüppel-like factor 4 (KLF4) acted as an upstream regulator of RNF112 by mediating its transcription. Furthermore, we explored the downstream mechanism of RNF112 and discovered that it promoted ubiquitination and degradation of oncoprotein N-alpha-acetyltransferase 40 (NAA40) through ubiquitin ligase activity. In addition, overexpression of NAA40 eliminated the effect of RNF112 overexpression on CRC tumorigenesis.

CONCLUSIONS

In summary, our findings confirm that RNF112, whose transcription is regulated by KLF4, inhibits CRC growth through promoting ubiquitin-dependent degradation of NAA40. We have unraveled the mechanism of KLF4-RNF112-NAA40 axis in CRC, which shed light on the therapeutic strategies for this disease.

摘要

背景

环指蛋白112(RNF112)在人类肿瘤中发挥关键作用。然而,其在结直肠癌(CRC)中的生物学功能尚未见讨论。我们旨在探讨RNF112在CRC中的功能及分子机制。

结果

在本研究中,CRC组织和细胞中RNF112表达显著降低。临床分析显示,RNF112低表达与肿瘤大小、N分期及TNM分期之间存在显著关联。体外实验表明,RNF112过表达抑制细胞活力,促进细胞周期阻滞和凋亡,而敲低RNF112则具有相反作用。裸鼠成瘤结果支持RNF112过表达通过抑制细胞生长和促进细胞凋亡发挥抗肿瘤作用。机制上,Krüppel样因子4(KLF4)通过介导RNF112的转录而作为其上游调节因子。此外,我们探究了RNF112的下游机制,发现它通过泛素连接酶活性促进癌蛋白N-α-乙酰转移酶40(NAA40)的泛素化和降解。另外,NAA40过表达消除了RNF112过表达对CRC肿瘤发生的影响。

结论

总之,我们的研究结果证实,转录受KLF4调控的RNF112通过促进NAA40的泛素依赖性降解来抑制CRC生长。我们揭示了CRC中KLF4-RNF112-NAA40轴的机制,为该疾病的治疗策略提供了线索。

https://cdn.ncbi.nlm.nih.gov/pmc/blobs/80eb/11700914/24faf5b23bbe/10565_2024_9977_Fig10_HTML.jpg
https://cdn.ncbi.nlm.nih.gov/pmc/blobs/80eb/11700914/eae8599928ce/10565_2024_9977_Fig1_HTML.jpg
https://cdn.ncbi.nlm.nih.gov/pmc/blobs/80eb/11700914/2808a12eece3/10565_2024_9977_Fig2_HTML.jpg
https://cdn.ncbi.nlm.nih.gov/pmc/blobs/80eb/11700914/157f1f26fb05/10565_2024_9977_Fig3_HTML.jpg
https://cdn.ncbi.nlm.nih.gov/pmc/blobs/80eb/11700914/59fb86ab9f1a/10565_2024_9977_Fig4_HTML.jpg
https://cdn.ncbi.nlm.nih.gov/pmc/blobs/80eb/11700914/d8897b3343af/10565_2024_9977_Fig5_HTML.jpg
https://cdn.ncbi.nlm.nih.gov/pmc/blobs/80eb/11700914/af6cc85a951f/10565_2024_9977_Fig6_HTML.jpg
https://cdn.ncbi.nlm.nih.gov/pmc/blobs/80eb/11700914/977f01d8019e/10565_2024_9977_Fig7_HTML.jpg
https://cdn.ncbi.nlm.nih.gov/pmc/blobs/80eb/11700914/93b260aa791e/10565_2024_9977_Fig8_HTML.jpg
https://cdn.ncbi.nlm.nih.gov/pmc/blobs/80eb/11700914/0a162e345065/10565_2024_9977_Fig9_HTML.jpg
https://cdn.ncbi.nlm.nih.gov/pmc/blobs/80eb/11700914/24faf5b23bbe/10565_2024_9977_Fig10_HTML.jpg
https://cdn.ncbi.nlm.nih.gov/pmc/blobs/80eb/11700914/eae8599928ce/10565_2024_9977_Fig1_HTML.jpg
https://cdn.ncbi.nlm.nih.gov/pmc/blobs/80eb/11700914/2808a12eece3/10565_2024_9977_Fig2_HTML.jpg
https://cdn.ncbi.nlm.nih.gov/pmc/blobs/80eb/11700914/157f1f26fb05/10565_2024_9977_Fig3_HTML.jpg
https://cdn.ncbi.nlm.nih.gov/pmc/blobs/80eb/11700914/59fb86ab9f1a/10565_2024_9977_Fig4_HTML.jpg
https://cdn.ncbi.nlm.nih.gov/pmc/blobs/80eb/11700914/d8897b3343af/10565_2024_9977_Fig5_HTML.jpg
https://cdn.ncbi.nlm.nih.gov/pmc/blobs/80eb/11700914/af6cc85a951f/10565_2024_9977_Fig6_HTML.jpg
https://cdn.ncbi.nlm.nih.gov/pmc/blobs/80eb/11700914/977f01d8019e/10565_2024_9977_Fig7_HTML.jpg
https://cdn.ncbi.nlm.nih.gov/pmc/blobs/80eb/11700914/93b260aa791e/10565_2024_9977_Fig8_HTML.jpg
https://cdn.ncbi.nlm.nih.gov/pmc/blobs/80eb/11700914/0a162e345065/10565_2024_9977_Fig9_HTML.jpg
https://cdn.ncbi.nlm.nih.gov/pmc/blobs/80eb/11700914/24faf5b23bbe/10565_2024_9977_Fig10_HTML.jpg

相似文献

1
RNF112, whose transcription is regulated by KLF4, inhibits colorectal cancer growth via promoting ubiquitin-dependent degradation of NAA40.RNF112的转录受KLF4调控,它通过促进NAA40的泛素依赖性降解来抑制结直肠癌的生长。
Cell Biol Toxicol. 2025 Jan 6;41(1):22. doi: 10.1007/s10565-024-09977-z.
2
KLF4 Induces Colorectal Cancer by Promoting EMT via STAT3 Activation.KLF4 通过激活 STAT3 促进 EMT 诱导结直肠癌。
Dig Dis Sci. 2024 Aug;69(8):2841-2855. doi: 10.1007/s10620-024-08473-y. Epub 2024 May 30.
3
FBXO32 suppresses breast cancer tumorigenesis through targeting KLF4 to proteasomal degradation.FBXO32 通过将 KLF4 靶向蛋白酶体降解来抑制乳腺癌的肿瘤发生。
Oncogene. 2017 Jun 8;36(23):3312-3321. doi: 10.1038/onc.2016.479. Epub 2017 Jan 9.
4
E3 Ubiquitination Ligase MYLIP Mediates the NKRF/SLC25A34 Axis to Suppress Malignant Progression in Colorectal Cancer.E3泛素连接酶MYLIP介导NKRF/SLC25A34轴以抑制结直肠癌的恶性进展。
Dig Dis Sci. 2025 Feb;70(2):581-597. doi: 10.1007/s10620-024-08735-9. Epub 2024 Dec 11.
5
FBXW11 contributes to stem-cell-like features and liver metastasis through regulating HIC1-mediated SIRT1 transcription in colorectal cancer.FBXW11 通过调节结直肠癌中 HIC1 介导的 SIRT1 转录促进干细胞样特征和肝转移。
Cell Death Dis. 2021 Oct 12;12(10):930. doi: 10.1038/s41419-021-04185-7.
6
TRIM16 overexpression inhibits the metastasis of colorectal cancer through mediating Snail degradation.TRIM16 通过介导 Snail 降解抑制结直肠癌细胞转移。
Exp Cell Res. 2021 Sep 1;406(1):112735. doi: 10.1016/j.yexcr.2021.112735. Epub 2021 Jul 13.
7
Cyanidin-3-O-glucoside inhibits the malignant progression of colorectal cancer by regulating Kruppel-like factor 4-mediated ERK/p38 signaling pathway.矢车菊素 - 3 - O - 葡萄糖苷通过调节Kruppel样因子4介导的ERK/p38信号通路抑制结直肠癌的恶性进展。
Toxicol Appl Pharmacol. 2025 Apr;497:117268. doi: 10.1016/j.taap.2025.117268. Epub 2025 Feb 17.
8
NAA40 contributes to colorectal cancer growth by controlling PRMT5 expression.NAA40 通过控制 PRMT5 的表达促进结直肠癌的生长。
Cell Death Dis. 2019 Mar 11;10(3):236. doi: 10.1038/s41419-019-1487-3.
9
RNF141 interacts with KRAS to promote colorectal cancer progression.RNF141 与 KRAS 相互作用促进结直肠癌的进展。
Oncogene. 2021 Sep;40(39):5829-5842. doi: 10.1038/s41388-021-01877-4. Epub 2021 Aug 3.
10
UBR5 Contributes to Colorectal Cancer Progression by Destabilizing the Tumor Suppressor ECRG4.UBR5通过使肿瘤抑制因子ECRG4不稳定来促进结直肠癌进展。
Dig Dis Sci. 2017 Oct;62(10):2781-2789. doi: 10.1007/s10620-017-4732-6. Epub 2017 Aug 30.

本文引用的文献

1
Prognostic value of oxidative stress-related genes in colorectal cancer and its correlation with tumor immunity.氧化应激相关基因在结直肠癌中的预后价值及其与肿瘤免疫的相关性。
BMC Genomics. 2024 Jan 2;25(1):8. doi: 10.1186/s12864-023-09879-0.
2
RNF112-mediated FOXM1 ubiquitination suppresses the proliferation and invasion of gastric cancer.RNF112 介导的 FOXM1 泛素化抑制胃癌的增殖和侵袭。
JCI Insight. 2023 Jun 8;8(11):e166698. doi: 10.1172/jci.insight.166698.
3
KLF4 transcription factor in tumorigenesis.肿瘤发生中的KLF4转录因子。
Cell Death Discov. 2023 Apr 8;9(1):118. doi: 10.1038/s41420-023-01416-y.
4
Transmembrane Protein 100 Inhibits the Progression of Colorectal Cancer by Promoting the Ubiquitin/Proteasome Degradation of HIF-1α.跨膜蛋白100通过促进缺氧诱导因子-1α(HIF-1α)的泛素/蛋白酶体降解来抑制结直肠癌的进展。
Front Oncol. 2022 Jul 19;12:899385. doi: 10.3389/fonc.2022.899385. eCollection 2022.
5
EZH2 Inhibitors Suppress Colorectal Cancer by Regulating Macrophage Polarization in the Tumor Microenvironment.EZH2 抑制剂通过调节肿瘤微环境中的巨噬细胞极化抑制结直肠癌。
Front Immunol. 2022 Apr 1;13:857808. doi: 10.3389/fimmu.2022.857808. eCollection 2022.
6
Histone N-terminal acetyltransferase NAA40 links one-carbon metabolism to chemoresistance.组蛋白 N 端乙酰转移酶 NAA40 将一碳代谢与化学抗性联系起来。
Oncogene. 2022 Jan;41(4):571-585. doi: 10.1038/s41388-021-02113-9. Epub 2021 Nov 16.
7
Diagnosis and Treatment of Metastatic Colorectal Cancer: A Review.转移性结直肠癌的诊断与治疗:综述
JAMA. 2021 Feb 16;325(7):669-685. doi: 10.1001/jama.2021.0106.
8
Transcription factors in colorectal cancer: molecular mechanism and therapeutic implications.结直肠癌中的转录因子:分子机制与治疗意义。
Oncogene. 2021 Mar;40(9):1555-1569. doi: 10.1038/s41388-020-01587-3. Epub 2020 Dec 15.
9
Incidence and management of patients with colorectal cancer and synchronous and metachronous colorectal metastases: a population-based study.结直肠癌患者以及同时性和异时性结直肠转移患者的发病情况和处理:一项基于人群的研究。
BJS Open. 2020 Aug;4(4):685-692. doi: 10.1002/bjs5.50299. Epub 2020 Jun 16.
10
Long non-coding RNA TUG1-mediated down-regulation of KLF4 contributes to metastasis and the epithelial-to-mesenchymal transition of colorectal cancer by miR-153-1.长链非编码RNA TUG1通过miR-153-1介导的KLF4下调促进结直肠癌的转移和上皮-间质转化。
Cancer Manag Res. 2019 Sep 24;11:8699-8710. doi: 10.2147/CMAR.S208508. eCollection 2019.