• 文献检索
  • 文档翻译
  • 深度研究
  • 学术资讯
  • Suppr Zotero 插件Zotero 插件
  • 邀请有礼
  • 套餐&价格
  • 历史记录
应用&插件
Suppr Zotero 插件Zotero 插件浏览器插件Mac 客户端Windows 客户端微信小程序
定价
高级版会员购买积分包购买API积分包
服务
文献检索文档翻译深度研究API 文档MCP 服务
关于我们
关于 Suppr公司介绍联系我们用户协议隐私条款
关注我们

Suppr 超能文献

核心技术专利:CN118964589B侵权必究
粤ICP备2023148730 号-1Suppr @ 2026

文献检索

告别复杂PubMed语法,用中文像聊天一样搜索,搜遍4000万医学文献。AI智能推荐,让科研检索更轻松。

立即免费搜索

文件翻译

保留排版,准确专业,支持PDF/Word/PPT等文件格式,支持 12+语言互译。

免费翻译文档

深度研究

AI帮你快速写综述,25分钟生成高质量综述,智能提取关键信息,辅助科研写作。

立即免费体验

诊断纵隔原发性食管腺样囊性癌的两种方法。

Two Roads to Diagnose Primary Esophageal Adenoid Cystic Carcinoma in the Mediastinum.

作者信息

Baez Pedro Juan, Mercader-Pérez Mariana, Cantres-Fonseca Onix, Magno-Pagatzaurtundua Priscilla, Rodríguez-Cintrón William

机构信息

Division of Pulmonary and Critical Care Medicine, Department of Medicine, Veterans Administration Hospital, VA Caribbean Health Care System, San Juan, Puerto Rico.

Division of Gastroenterology, Department of Medicine, Veterans Administration Hospital, VA Caribbean Health Care System, San Juan, Puerto Rico.

出版信息

Ann Thorac Surg Short Rep. 2022 Nov 21;1(1):157-160. doi: 10.1016/j.atssr.2022.11.008. eCollection 2023 Mar.

DOI:10.1016/j.atssr.2022.11.008
PMID:39790503
原文链接:https://pmc.ncbi.nlm.nih.gov/articles/PMC11708623/
Abstract

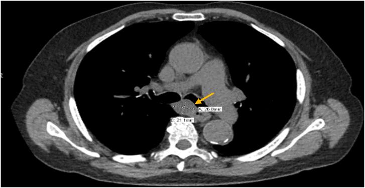
Adenoid cystic carcinoma (ACC) is a malignant epithelial tumor that predominantly originates in the salivary glands of the head and neck. However, ACC arising in the thoracic cavity is a rare entity. Diagnosis of primary esophageal ACC (EACC) involves use of gastrointestinal endoscopic ultrasound fine-needle aspiration; however a low diagnostic yield has been reported in the literature. We describe an uncommon presentation of EACC debuting with predominant airway obstructive symptoms and diagnosed through endobronchial ultrasound-guided fine-needle aspiration. We propose the use of an endobronchial sonographic approach to diagnose EACC and other esophageal malignant neoplasms with mediastinal involvement and airway proximity.

摘要

腺样囊性癌(ACC)是一种主要起源于头颈部唾液腺的恶性上皮性肿瘤。然而,发生在胸腔的ACC是一种罕见的实体。原发性食管腺样囊性癌(EACC)的诊断涉及使用胃肠内镜超声细针穿刺;然而,文献报道其诊断率较低。我们描述了一例罕见的EACC表现,以主要的气道阻塞症状首发,并通过支气管内超声引导下细针穿刺确诊。我们建议使用支气管内超声检查方法来诊断EACC以及其他累及纵隔和靠近气道的食管恶性肿瘤。

https://cdn.ncbi.nlm.nih.gov/pmc/blobs/eea6/11708623/e9837c8d642c/gr3.jpg
https://cdn.ncbi.nlm.nih.gov/pmc/blobs/eea6/11708623/8cad6acffc6e/gr1.jpg
https://cdn.ncbi.nlm.nih.gov/pmc/blobs/eea6/11708623/f5765499a20f/gr2.jpg
https://cdn.ncbi.nlm.nih.gov/pmc/blobs/eea6/11708623/e9837c8d642c/gr3.jpg
https://cdn.ncbi.nlm.nih.gov/pmc/blobs/eea6/11708623/8cad6acffc6e/gr1.jpg
https://cdn.ncbi.nlm.nih.gov/pmc/blobs/eea6/11708623/f5765499a20f/gr2.jpg
https://cdn.ncbi.nlm.nih.gov/pmc/blobs/eea6/11708623/e9837c8d642c/gr3.jpg

相似文献

1
Two Roads to Diagnose Primary Esophageal Adenoid Cystic Carcinoma in the Mediastinum.诊断纵隔原发性食管腺样囊性癌的两种方法。
Ann Thorac Surg Short Rep. 2022 Nov 21;1(1):157-160. doi: 10.1016/j.atssr.2022.11.008. eCollection 2023 Mar.
2
Combined endobronchial and esophageal endosonography for the diagnosis and staging of lung cancer: European Society of Gastrointestinal Endoscopy (ESGE) Guideline, in cooperation with the European Respiratory Society (ERS) and the European Society of Thoracic Surgeons (ESTS).支气管内与食管内超声联合用于肺癌诊断及分期:欧洲胃肠内镜学会(ESGE)指南,与欧洲呼吸学会(ERS)及欧洲胸外科医师学会(ESTS)合作制定
Endoscopy. 2015 Jun;47(6):545-59. doi: 10.1055/s-0034-1392040. Epub 2015 Jun 1.
3
Evaluation of mediastinal lymph nodes with endobronchial ultrasound: the thoracic surgeon's perspective.经支气管超声评估纵隔淋巴结:胸外科医生的视角。
J Thorac Cardiovasc Surg. 2010 Mar;139(3):578-82; discussion 582-3. doi: 10.1016/j.jtcvs.2009.11.017.
4
Application of endobronchial ultrasound-guided transbronchial needle aspiration in the diagnosis of mediastinal lesions.经支气管超声引导针吸活检术在纵隔病变诊断中的应用。
Chin Med J (Engl). 2011 Dec;124(23):3988-92.
5
Primary pulmonary adenoid cystic carcinoma: report of a case diagnosed by fine-needle aspiration cytology.原发性肺腺样囊性癌:一例经细针穿刺细胞学诊断的病例报告
Diagn Cytopathol. 2004 Jan;30(1):51-6. doi: 10.1002/dc.10422.
6
Primary adenoid cystic carcinoma in the esophagus.食管原发性腺样囊性癌。
Medicina (B Aires). 2024;84(5):983-986.
7
Mediastinal Lymph Node Metastasis of Esophageal Cancer with Esophageal Stenosis Diagnosed via Transesophageal Endoscopic Ultrasound with Bronchoscope-guided Fine-needle Aspiration.经支气管镜引导下经食管超声内镜细针穿刺诊断食管狭窄的食管癌纵隔淋巴结转移。
Intern Med. 2022 Apr 1;61(7):1007-1010. doi: 10.2169/internalmedicine.8214-21. Epub 2021 Sep 11.
8
Cytomorphologic features of malignant solitary fibrous tumor with mediastinal involvement sampled by endoscopic and endobronchial ultrasound-guided fine-needle aspiration: A comparison of two cases.经内镜及支气管内超声引导下细针穿刺取样的累及纵隔的恶性孤立性纤维瘤的细胞形态学特征:两例病例比较
Diagn Cytopathol. 2019 Aug;47(8):821-827. doi: 10.1002/dc.24192. Epub 2019 Apr 24.
9
Adenoid Cystic Carcinoma of Esophagus with Lung Metastasis: Case Report.食管腺样囊性癌伴肺转移:病例报告。
Ann Ital Chir. 2024;95(1):6-12.
10
Cytologic diagnosis of adenoid cystic carcinoma of salivary glands.涎腺腺样囊性癌的细胞学诊断
Diagn Cytopathol. 1999 Jun;20(6):358-66. doi: 10.1002/(sici)1097-0339(199906)20:6<358::aid-dc6>3.0.co;2-x.

本文引用的文献

1
Radiation Therapy for Adenoid Cystic Carcinoma of the Head and Neck.头颈部腺样囊性癌的放射治疗
Cancers (Basel). 2021 Dec 17;13(24):6335. doi: 10.3390/cancers13246335.
2
Adenoid cystic carcinoma. An indolent but aggressive tumour. Part A: from aetiopathogenesis to diagnosis.腺样囊性癌。一种生长缓慢但具有侵袭性的肿瘤。A部分:从病因发病机制到诊断。
Acta Otorhinolaryngol Ital. 2021 Jun;41(3):206-214. doi: 10.14639/0392-100X-N1379.
3
A case of adenoid cystic carcinoma of the esophagus.一例食管腺样囊性癌
Surg Case Rep. 2015 Dec;1(1):119. doi: 10.1186/s40792-015-0122-5. Epub 2015 Nov 27.
4
A clinicopathologic study of esophageal 860 benign and malignant lesions in 910 cases of consecutive esophageal biopsies.对910例连续食管活检病例中的860例食管良恶性病变进行的临床病理研究。
Int J Clin Exp Pathol. 2013;6(2):191-8. Epub 2013 Jan 15.
5
Adenoid cystic carcinoma of the esophagus: report of two cases and review of the Chinese literature.食管腺样囊性癌:两例报告并复习中文文献。
Diagn Pathol. 2012 Dec 13;7:179. doi: 10.1186/1746-1596-7-179.
6
Primary esophageal adenoid cystic carcinoma.原发性食管腺样囊性癌。
Gut Liver. 2007 Dec;1(2):178-81. doi: 10.5009/gnl.2007.1.2.178. Epub 2007 Dec 31.
7
Adenoid cystic carcinoma of the esophagus. A clinicopathologic study of three cases.食管腺样囊性癌。三例临床病理研究。
Cancer. 1991 Apr 15;67(8):2159-64. doi: 10.1002/1097-0142(19910415)67:8<2159::aid-cncr2820670826>3.0.co;2-e.