Suppr超能文献

纳米羟基磷灰石/β-磷酸三钙复合材料与自体骨移植在骨再生应用中的比较:生化机制与形态学分析

Comparison Between Nano-Hydroxyapatite/Beta-Tricalcium Phosphate Composite and Autogenous Bone Graft in Bone Regeneration Applications: Biochemical Mechanisms and Morphological Analysis.

作者信息

Brum Igor da Silva, Frigo Lucio, Ribeiro da Silva Jemima Fuentes, Ciambarella Bianca Torres, Nascimento Ana Lucia Rosa, Pereira Mario José Dos Santos, Elias Carlos Nelson, de Carvalho Jorge José

机构信息

Department of Implantology, School of Dentistry, State University of Rio de Janeiro, 157, 28 de Setembro, Boulevard, Rio de Janeiro 20551-030, Brazil.

Department of Basic Sciences, Faculdade de Odontologia da Associação Paulista de Cirurgiões Dentistas, 457, Voluntarios da Patria, St. São Paulo 02011-000, Brazil.

出版信息

Int J Mol Sci. 2024 Dec 24;26(1):52. doi: 10.3390/ijms26010052.

Abstract

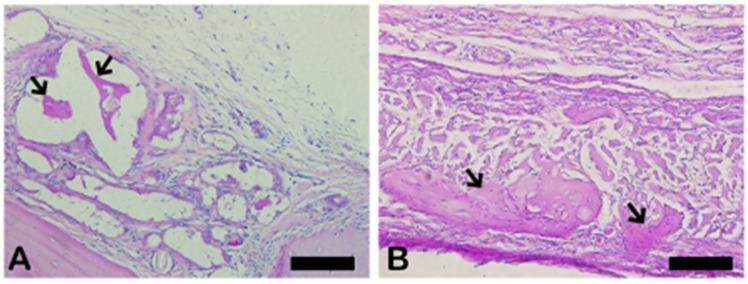
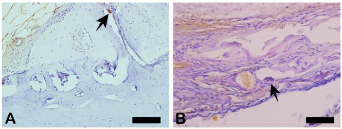
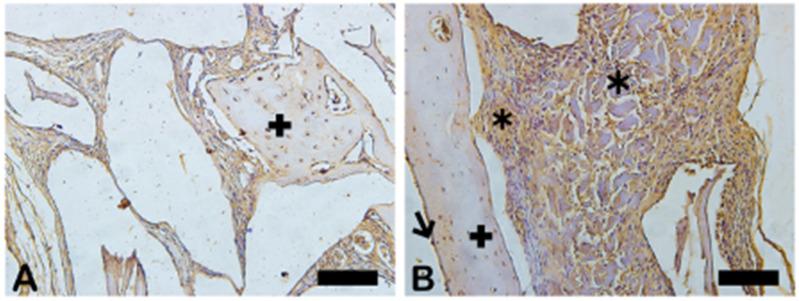
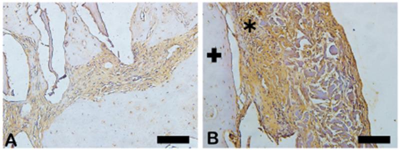
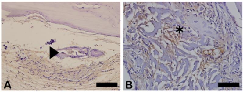
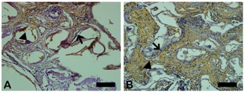
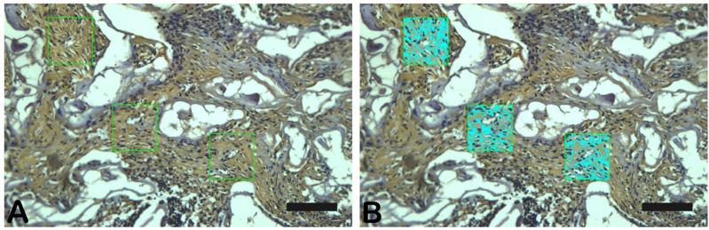
It was assumed that only autogenous bone had appropriate osteoconductive and osteoindutive properties for bone regeneration, but this assumption has been challenged. Many studies have shown that synthetic biomaterials must be considered as the best choice for guided bone regeneration. The objective of this work is to compare the performances of nanohydroxyapatite/β-tricalcium phosphate (n-HA/β-TCP) composite and autogenous bone grafting in bone regeneration applications. The composite was characterized by scanning electron microscopy (SEM) and used as an allograft in bone defects formed in adult Wistar rats. The bone defects in the dorsal cranium were grafted with autogenous bone on one side and the n-HA/β-TCP composite on the other. Histomorphometry evaluation via different staining methods (Goldner trichrome, PAS, and Sirius red) and TRAP histochemistry were performed. Immunohistomorphometries of OPN, Cathepsin K, TRAP, acid phosphatase, VEGF, NFκ-β, MMP-2, MMP-9, and TGF-β were carried out. The RT-PCR method was also applied to to , , , , and . The results showed that for all morphometric evaluations with the different staining methods, histochemistry, and immunohistochemistry, VEGF and NFκ-β were higher in the n-HA/β-TCP composite group than in the autogenous bone graft group. The RT-PCR markers were higher in the autogenous bone group than in the n-HA/β-TCP composite group. The n-HA/β-TCP composite exhibited enhanced cell-matrix interactions in bone remodeling, higher adhesion, proliferation, and differentiation, and increased vascularization. These results suggest that the n-HA/β-TCP composite induces faster bone formation than autogenous bone grafting.

摘要

人们曾认为只有自体骨具有适合骨再生的骨传导性和骨诱导性,但这一假设受到了挑战。许多研究表明,合成生物材料必须被视为引导骨再生的最佳选择。这项工作的目的是比较纳米羟基磷灰石/β-磷酸三钙(n-HA/β-TCP)复合材料和自体骨移植在骨再生应用中的性能。通过扫描电子显微镜(SEM)对该复合材料进行了表征,并将其作为同种异体移植物用于成年Wistar大鼠形成的骨缺损。颅骨背侧的骨缺损一侧移植自体骨,另一侧移植n-HA/β-TCP复合材料。通过不同的染色方法(戈德纳三色染色法、PAS染色法和天狼星红染色法)和TRAP组织化学进行组织形态计量学评估。对骨桥蛋白、组织蛋白酶K、TRAP、酸性磷酸酶、血管内皮生长因子、NFκ-β、基质金属蛋白酶-2、基质金属蛋白酶-9和转化生长因子-β进行免疫组织形态计量学分析。RT-PCR方法也应用于……。结果表明,对于所有采用不同染色方法、组织化学和免疫组织化学的形态计量学评估,n-HA/β-TCP复合材料组中的血管内皮生长因子和NFκ-β高于自体骨移植组。RT-PCR标志物在自体骨组中高于n-HA/β-TCP复合材料组。n-HA/β-TCP复合材料在骨重塑中表现出增强的细胞-基质相互作用、更高的粘附、增殖和分化以及增加血管生成。这些结果表明,n-HA/β-TCP复合材料比自体骨移植诱导更快的骨形成。

https://cdn.ncbi.nlm.nih.gov/pmc/blobs/8195/11720495/88aaa6a06fa0/ijms-26-00052-g001.jpg

文献检索

告别复杂PubMed语法,用中文像聊天一样搜索,搜遍4000万医学文献。AI智能推荐,让科研检索更轻松。

立即免费搜索

文件翻译

保留排版,准确专业,支持PDF/Word/PPT等文件格式,支持 12+语言互译。

免费翻译文档

深度研究

AI帮你快速写综述,25分钟生成高质量综述,智能提取关键信息,辅助科研写作。

立即免费体验