• 文献检索
  • 文档翻译
  • 深度研究
  • 学术资讯
  • Suppr Zotero 插件Zotero 插件
  • 邀请有礼
  • 套餐&价格
  • 历史记录
应用&插件
Suppr Zotero 插件Zotero 插件浏览器插件Mac 客户端Windows 客户端微信小程序
定价
高级版会员购买积分包购买API积分包
服务
文献检索文档翻译深度研究API 文档MCP 服务
关于我们
关于 Suppr公司介绍联系我们用户协议隐私条款
关注我们

Suppr 超能文献

核心技术专利:CN118964589B侵权必究
粤ICP备2023148730 号-1Suppr @ 2026

文献检索

告别复杂PubMed语法,用中文像聊天一样搜索,搜遍4000万医学文献。AI智能推荐,让科研检索更轻松。

立即免费搜索

文件翻译

保留排版,准确专业,支持PDF/Word/PPT等文件格式,支持 12+语言互译。

免费翻译文档

深度研究

AI帮你快速写综述,25分钟生成高质量综述,智能提取关键信息,辅助科研写作。

立即免费体验

生姜及其组合对大鼠实验性诱导糖尿病肾病的可能改善作用:组织学和免疫组织化学研究

The Possible Ameliorative Effect of , Ginger, and Their Combination on Experimentally Induced Diabetic Nephropathy in a Rat Model: Histological and Immunohistochemical Study.

作者信息

Elsayed Hoda M, Abdel-Aziz Hekmat Osman, Ahmed Ghada Mohammed, Adly Mohamed Arafa, Mohammed Sherine Ahmed

机构信息

Department of Histology, Faculty of Medicine, Sohag University, Sohag, Egypt.

Department of Zoology, Faculty of Science, Sohag University, Sohag, Egypt.

出版信息

J Microsc Ultrastruct. 2023 Jan 11;12(4):199-210. doi: 10.4103/jmau.jmau_62_22. eCollection 2024 Oct-Dec.

DOI:10.4103/jmau.jmau_62_22
PMID:39811596
原文链接:https://pmc.ncbi.nlm.nih.gov/articles/PMC11729022/
Abstract

BACKGROUND

Diabetes represents a chronic disease characterized by hyperglycemia. Several changes in the renal functions had been detected in diabetic patients.

AIM OF THE WORK

This study was conducted to compare the possible ameliorative role of both ginger and either alone or in combination upon experimentally induced diabetic nephropathy.

MATERIALS AND METHODS

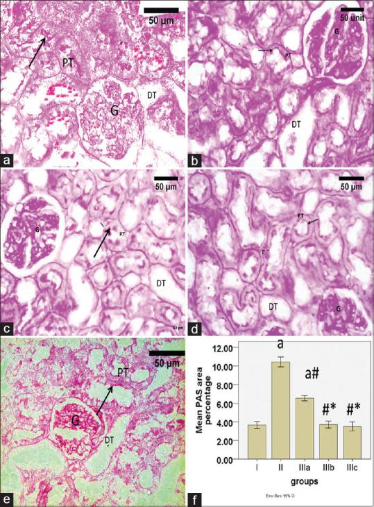
Sixty adult male albino rats were used in this study. Rats were divided into three groups. Control (group I) included 20 rats. Diabetic group (group II) included 10 rats. Group III included 30 rats subdivided into three subgroups 10 animals each: Subgroup IIIa diabetic treated with 100 mg/kg for 30 days. Subgroup IIIb diabetic treated with 400 mg/kg ginger for 30 days orally. Subgroup IIIc diabetic treated with both 100 mg/kg and 400 mg/kg ginger for 30 days orally. Hemotoxylin and eosin staining, Periodic acid Schiff and Masson trichrome were done. Ultrastructural examination was done. Immunohistochemical markers used were caspase-3 for apoptosis and CD68 for macrophages. Morphometric and statistical analyses were done.

RESULTS

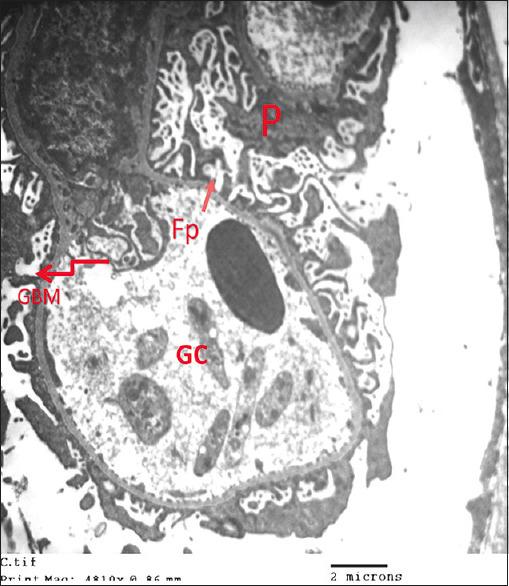
Diabetes caused a significant increase in collagen fibers in the renal cortex, the caspase-3 expression as well as the number of macrophages. Ultrastructurally, there was an irregularly thickened glomerular basement membrane and effacement of podocytes. Ginger treatment alone or in combination with exhibited more pronounced improvement of diabetes-induced degenerative changes and a significant decrease in collagen fibers, the caspase-3 expression as well as the number of macrophages compared to alone.

CONCLUSION

Ginger treatment alone or in combination with exhibited more pronounced improvement in diabetes nephropathy.

摘要

背景

糖尿病是一种以高血糖为特征的慢性疾病。在糖尿病患者中已检测到肾功能的若干变化。

工作目的

本研究旨在比较生姜单独或联合使用对实验性诱导的糖尿病肾病可能的改善作用。

材料与方法

本研究使用了60只成年雄性白化大鼠。大鼠分为三组。对照组(第一组)包括20只大鼠。糖尿病组(第二组)包括10只大鼠。第三组包括30只大鼠,再细分为三个亚组,每组10只动物:亚组IIIa为糖尿病大鼠,用100毫克/千克治疗30天。亚组IIIb为糖尿病大鼠,口服400毫克/千克生姜30天。亚组IIIc为糖尿病大鼠,口服100毫克/千克和400毫克/千克生姜30天。进行苏木精和伊红染色、过碘酸希夫染色和马松三色染色。进行超微结构检查。使用的免疫组织化学标记物为用于凋亡的半胱天冬酶 - 3和用于巨噬细胞的CD68。进行形态计量学和统计学分析。

结果

糖尿病导致肾皮质胶原纤维显著增加、半胱天冬酶 - 3表达以及巨噬细胞数量增加。在超微结构上,肾小球基底膜不规则增厚且足细胞消失。与单独使用相比,单独使用生姜或与联合使用对糖尿病诱导的退行性变化有更明显的改善,胶原纤维、半胱天冬酶 - 3表达以及巨噬细胞数量显著减少。

结论

单独使用生姜或与联合使用对糖尿病肾病有更明显的改善。

https://cdn.ncbi.nlm.nih.gov/pmc/blobs/3cd6/11729022/9faf0736d241/JMAU-12-199-g016.jpg
https://cdn.ncbi.nlm.nih.gov/pmc/blobs/3cd6/11729022/5541abfeb8d8/JMAU-12-199-g001.jpg
https://cdn.ncbi.nlm.nih.gov/pmc/blobs/3cd6/11729022/c7ebca07679a/JMAU-12-199-g002.jpg
https://cdn.ncbi.nlm.nih.gov/pmc/blobs/3cd6/11729022/887dcd91d9f6/JMAU-12-199-g003.jpg
https://cdn.ncbi.nlm.nih.gov/pmc/blobs/3cd6/11729022/0c5af3ec7521/JMAU-12-199-g004.jpg
https://cdn.ncbi.nlm.nih.gov/pmc/blobs/3cd6/11729022/77cc0c064fb0/JMAU-12-199-g005.jpg
https://cdn.ncbi.nlm.nih.gov/pmc/blobs/3cd6/11729022/687d81f6fdab/JMAU-12-199-g006.jpg
https://cdn.ncbi.nlm.nih.gov/pmc/blobs/3cd6/11729022/d99c25602b37/JMAU-12-199-g007.jpg
https://cdn.ncbi.nlm.nih.gov/pmc/blobs/3cd6/11729022/3547d78db9e6/JMAU-12-199-g008.jpg
https://cdn.ncbi.nlm.nih.gov/pmc/blobs/3cd6/11729022/610d421ec58b/JMAU-12-199-g009.jpg
https://cdn.ncbi.nlm.nih.gov/pmc/blobs/3cd6/11729022/d8b730bbf43a/JMAU-12-199-g010.jpg
https://cdn.ncbi.nlm.nih.gov/pmc/blobs/3cd6/11729022/9bf8dc336fe3/JMAU-12-199-g011.jpg
https://cdn.ncbi.nlm.nih.gov/pmc/blobs/3cd6/11729022/34fc71ddf7f1/JMAU-12-199-g012.jpg
https://cdn.ncbi.nlm.nih.gov/pmc/blobs/3cd6/11729022/fb4be484ec40/JMAU-12-199-g013.jpg
https://cdn.ncbi.nlm.nih.gov/pmc/blobs/3cd6/11729022/f301ebf31d52/JMAU-12-199-g014.jpg
https://cdn.ncbi.nlm.nih.gov/pmc/blobs/3cd6/11729022/1b00557fc1d0/JMAU-12-199-g015.jpg
https://cdn.ncbi.nlm.nih.gov/pmc/blobs/3cd6/11729022/9faf0736d241/JMAU-12-199-g016.jpg
https://cdn.ncbi.nlm.nih.gov/pmc/blobs/3cd6/11729022/5541abfeb8d8/JMAU-12-199-g001.jpg
https://cdn.ncbi.nlm.nih.gov/pmc/blobs/3cd6/11729022/c7ebca07679a/JMAU-12-199-g002.jpg
https://cdn.ncbi.nlm.nih.gov/pmc/blobs/3cd6/11729022/887dcd91d9f6/JMAU-12-199-g003.jpg
https://cdn.ncbi.nlm.nih.gov/pmc/blobs/3cd6/11729022/0c5af3ec7521/JMAU-12-199-g004.jpg
https://cdn.ncbi.nlm.nih.gov/pmc/blobs/3cd6/11729022/77cc0c064fb0/JMAU-12-199-g005.jpg
https://cdn.ncbi.nlm.nih.gov/pmc/blobs/3cd6/11729022/687d81f6fdab/JMAU-12-199-g006.jpg
https://cdn.ncbi.nlm.nih.gov/pmc/blobs/3cd6/11729022/d99c25602b37/JMAU-12-199-g007.jpg
https://cdn.ncbi.nlm.nih.gov/pmc/blobs/3cd6/11729022/3547d78db9e6/JMAU-12-199-g008.jpg
https://cdn.ncbi.nlm.nih.gov/pmc/blobs/3cd6/11729022/610d421ec58b/JMAU-12-199-g009.jpg
https://cdn.ncbi.nlm.nih.gov/pmc/blobs/3cd6/11729022/d8b730bbf43a/JMAU-12-199-g010.jpg
https://cdn.ncbi.nlm.nih.gov/pmc/blobs/3cd6/11729022/9bf8dc336fe3/JMAU-12-199-g011.jpg
https://cdn.ncbi.nlm.nih.gov/pmc/blobs/3cd6/11729022/34fc71ddf7f1/JMAU-12-199-g012.jpg
https://cdn.ncbi.nlm.nih.gov/pmc/blobs/3cd6/11729022/fb4be484ec40/JMAU-12-199-g013.jpg
https://cdn.ncbi.nlm.nih.gov/pmc/blobs/3cd6/11729022/f301ebf31d52/JMAU-12-199-g014.jpg
https://cdn.ncbi.nlm.nih.gov/pmc/blobs/3cd6/11729022/1b00557fc1d0/JMAU-12-199-g015.jpg
https://cdn.ncbi.nlm.nih.gov/pmc/blobs/3cd6/11729022/9faf0736d241/JMAU-12-199-g016.jpg

相似文献

1
The Possible Ameliorative Effect of , Ginger, and Their Combination on Experimentally Induced Diabetic Nephropathy in a Rat Model: Histological and Immunohistochemical Study.生姜及其组合对大鼠实验性诱导糖尿病肾病的可能改善作用:组织学和免疫组织化学研究
J Microsc Ultrastruct. 2023 Jan 11;12(4):199-210. doi: 10.4103/jmau.jmau_62_22. eCollection 2024 Oct-Dec.
2
Therapeutic efficacy of bone marrow derived mesenchymal stromal cells versus losartan on adriamycin-induced renal cortical injury in adult albino rats.骨髓间充质基质细胞与氯沙坦对成年白化病大鼠阿霉素诱导的肾皮质损伤的治疗效果比较
Cytotherapy. 2016 Aug;18(8):970-984. doi: 10.1016/j.jcyt.2016.05.004.
3
Ginger alleviates hyperglycemia-induced oxidative stress, inflammation and apoptosis and protects rats against diabetic nephropathy.生姜可减轻高血糖引起的氧化应激、炎症和细胞凋亡,对糖尿病肾病大鼠具有保护作用。
Biomed Pharmacother. 2018 Oct;106:381-389. doi: 10.1016/j.biopha.2018.06.148. Epub 2018 Jul 11.
4
The ginger extract could improve diabetic retinopathy by inhibiting the expression of e/iNOS and G6PDH, apoptosis, inflammation, and angiogenesis.姜提取物可以通过抑制 e/iNOS 和 G6PDH 的表达、细胞凋亡、炎症和血管生成来改善糖尿病视网膜病变。
J Food Biochem. 2022 May;46(5):e14084. doi: 10.1111/jfbc.14084. Epub 2022 Jan 20.
5
Fenofibrate and dipyridamole treatments in low-doses either alone or in combination blunted the development of nephropathy in diabetic rats.非诺贝特和双嘧达莫低剂量单独或联合治疗可减轻糖尿病大鼠肾病的发展。
Pharmacol Res. 2014 Dec;90:36-47. doi: 10.1016/j.phrs.2014.08.008. Epub 2014 Sep 27.
6
Synergistic Anti-inflammatory and Neuroprotective Effects of and Z Alleviate Diabetes-Induced Hippocampal Changes in Male Albino Rats: Structural and Molecular Evidence.和Z的协同抗炎和神经保护作用减轻雄性白化大鼠糖尿病诱导的海马变化:结构和分子证据。
Front Cell Dev Biol. 2021 Sep 8;9:727049. doi: 10.3389/fcell.2021.727049. eCollection 2021.
7
Immuno-antioxidative reno-modulatory effectiveness of Echinacea purpurea extract against bifenthrin-induced renal poisoning.紫锥菊提取物对联苯菊酯诱导的肾中毒的免疫抗氧化肾调节作用
Sci Rep. 2024 Mar 11;14(1):5892. doi: 10.1038/s41598-024-56494-4.
8
Ginger and echinacea extracts improve the quality and fertility potential of frozen-thawed ram epididymal spermatozoa.姜黄和松果菊提取物可提高冻融公羊附睾精子的质量和生育潜能。
Cryobiology. 2020 Feb 1;92:138-145. doi: 10.1016/j.cryobiol.2019.12.003. Epub 2019 Dec 27.
9
Ameliorative Potentials of Ginger (Z. officinale Roscoe) on Relative Organ Weights in Streptozotocin induced Diabetic Rats.生姜(姜科姜属植物)对链脲佐菌素诱导的糖尿病大鼠相对器官重量的改善潜力
Int J Biomed Sci. 2013 Jun;9(2):82-90.
10
The effects of angiotensin-II receptor blockers on podocyte damage and glomerular apoptosis in a rat model of experimental streptozotocin-induced diabetic nephropathy.血管紧张素-Ⅱ受体阻滞剂对实验性链脲佐菌素诱导糖尿病肾病大鼠模型足细胞损伤和肾小球细胞凋亡的影响。
Acta Histochem. 2011 Dec;113(8):826-32. doi: 10.1016/j.acthis.2010.12.003. Epub 2011 Jan 26.

本文引用的文献

1
Excessive Activation of Notch Signaling in Macrophages Promote Kidney Inflammation, Fibrosis, and Necroptosis.过度激活巨噬细胞中的 Notch 信号通路可促进肾脏炎症、纤维化和坏死性凋亡。
Front Immunol. 2022 Feb 25;13:835879. doi: 10.3389/fimmu.2022.835879. eCollection 2022.
2
Ginger Extract Decreases Susceptibility to Dextran Sulfate Sodium-Induced Colitis in Mice Following Early Antibiotic Exposure.生姜提取物可降低早期接触抗生素的小鼠对葡聚糖硫酸钠诱导的结肠炎的易感性。
Front Med (Lausanne). 2022 Jan 5;8:755969. doi: 10.3389/fmed.2021.755969. eCollection 2021.
3
Protective Effect of Keluoxin against Diabetic Nephropathy in Type 2 Diabetic Mellitus Models.
克络新对2型糖尿病模型中糖尿病肾病的保护作用
Evid Based Complement Alternat Med. 2021 Oct 19;2021:8455709. doi: 10.1155/2021/8455709. eCollection 2021.
4
Diabetic Nephropathy: Challenges in Pathogenesis, Diagnosis, and Treatment.糖尿病肾病:发病机制、诊断和治疗的挑战。
Biomed Res Int. 2021 Jul 8;2021:1497449. doi: 10.1155/2021/1497449. eCollection 2021.
5
Ethanol Extract Improves Male Reproductive Dysfunction With Streptozotocin-Nicotinamide-Induced Diabetic Rats.乙醇提取物改善链脲佐菌素-烟酰胺诱导的糖尿病大鼠的雄性生殖功能障碍。
Front Vet Sci. 2021 Apr 28;8:651286. doi: 10.3389/fvets.2021.651286. eCollection 2021.
6
Echinacea polysaccharide attenuates lipopolysaccharide‑induced acute kidney injury via inhibiting inflammation, oxidative stress and the MAPK signaling pathway.松果菊多糖通过抑制炎症、氧化应激和 MAPK 信号通路减轻脂多糖诱导的急性肾损伤。
Int J Mol Med. 2021 Jan;47(1):243-255. doi: 10.3892/ijmm.2020.4769. Epub 2020 Oct 23.
7
Tanshinone IIA Ameliorates Streptozotocin-Induced Diabetic Nephropathy, Partly by Attenuating PERK Pathway-Induced Fibrosis.丹参酮 IIA 可改善链脲佐菌素诱导的糖尿病肾病,部分是通过减轻 PERK 通路诱导的纤维化。
Drug Des Devel Ther. 2020 Dec 31;14:5773-5782. doi: 10.2147/DDDT.S257734. eCollection 2020.
8
Revisiting Experimental Models of Diabetic Nephropathy.重新审视糖尿病肾病的实验模型。
Int J Mol Sci. 2020 May 19;21(10):3587. doi: 10.3390/ijms21103587.
9
Long non-coding RNA Rpph1 promotes inflammation and proliferation of mesangial cells in diabetic nephropathy via an interaction with Gal-3.长链非编码 RNA Rpph1 通过与 Gal-3 相互作用促进糖尿病肾病系膜细胞的炎症和增殖。
Cell Death Dis. 2019 Jul 8;10(7):526. doi: 10.1038/s41419-019-1765-0.
10
Protective effect of Echinacea purpurea (Immulant) against cisplatin-induced immunotoxicity in rats.紫锥菊(免疫刺激剂)对顺铂诱导的大鼠免疫毒性的保护作用。
Daru. 2019 Jun;27(1):233-241. doi: 10.1007/s40199-019-00265-4. Epub 2019 May 27.