• 文献检索
  • 文档翻译
  • 深度研究
  • 学术资讯
  • Suppr Zotero 插件Zotero 插件
  • 邀请有礼
  • 套餐&价格
  • 历史记录
应用&插件
Suppr Zotero 插件Zotero 插件浏览器插件Mac 客户端Windows 客户端微信小程序
定价
高级版会员购买积分包购买API积分包
服务
文献检索文档翻译深度研究API 文档MCP 服务
关于我们
关于 Suppr公司介绍联系我们用户协议隐私条款
关注我们

Suppr 超能文献

核心技术专利:CN118964589B侵权必究
粤ICP备2023148730 号-1Suppr @ 2026

文献检索

告别复杂PubMed语法,用中文像聊天一样搜索,搜遍4000万医学文献。AI智能推荐,让科研检索更轻松。

立即免费搜索

文件翻译

保留排版,准确专业,支持PDF/Word/PPT等文件格式,支持 12+语言互译。

免费翻译文档

深度研究

AI帮你快速写综述,25分钟生成高质量综述,智能提取关键信息,辅助科研写作。

立即免费体验

鹿茸芽基祖细胞工程化细胞外囊泡:脊髓损伤的一种治疗选择

Engineered Extracellular Vesicles from Antler Blastema Progenitor Cells: A Therapeutic Choice for Spinal Cord Injury.

作者信息

Yang Shijie, Xue Borui, Zhang Yongfeng, Wu Haining, Yu Beibei, Li Shengyou, Ma Teng, Gao Xue, Hao Yiming, Guo Lingli, Liu Qi, Gao Xueli, Yang Yujie, Wang Zhenguo, Qin Mingze, Tian Yunze, Fu Longhui, Zhou Bisheng, Li Luyao, Li Jianzhong, Gong Shouping, Xia Bing, Huang Jinghui

机构信息

Department of Orthopaedics, Xijing Hospital, The Fourth Military Medical University, Xi'an 710032, P.R. China.

Department of Neurosurgery, The Second Affiliated Hospital of Xi'an Jiao Tong University, Xi'an 710004, P.R. China.

出版信息

ACS Nano. 2025 Feb 18;19(6):5995-6013. doi: 10.1021/acsnano.4c10298. Epub 2025 Jan 22.

DOI:10.1021/acsnano.4c10298
PMID:39841785
原文链接:https://pmc.ncbi.nlm.nih.gov/articles/PMC11841045/
Abstract

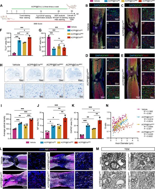
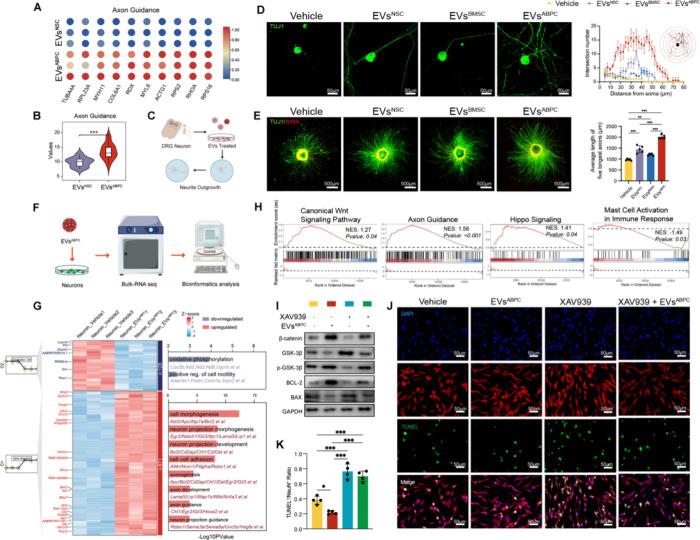
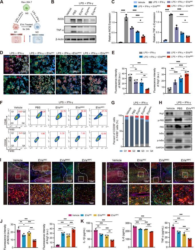
Deer antler blastema progenitor cells (ABPCs) are promising for regenerative medicine due to their role in annual antler regeneration, the only case of complete organ regeneration in mammals. ABPC-derived signals show great potential for promoting regeneration in tissues with limited natural regenerative ability. Our findings demonstrate the capability of extracellular vesicles from ABPCs (EVs) to repair spinal cord injury (SCI), a condition with low regenerative capacity. EVs significantly enhanced the proliferation of neural stem cells (NSCs) and activated neuronal regenerative potential, resulting in a 5.2-fold increase in axonal length. Additionally, EVs exhibited immunomodulatory effects, shifting macrophages from M1 to M2. Engineered with activated cell-penetrating peptides (ACPPs), EVs significantly outperformed EVs from rat bone marrow stem cells (EVs) and neural stem cells (EVs), promoting a 1.3-fold increase in axonal growth, a 30.6% reduction in neuronal apoptosis, and a 2.6-fold improvement in motor function recovery. These findings support ABPC-derived EVs as a promising therapeutic candidate for SCI repair.

摘要

鹿茸芽基祖细胞(ABPCs)因其在每年鹿茸再生中的作用而在再生医学领域具有广阔前景,鹿茸再生是哺乳动物中唯一完全器官再生的案例。ABPCs衍生的信号在促进天然再生能力有限的组织再生方面具有巨大潜力。我们的研究结果证明了ABPCs来源的细胞外囊泡(EVs)修复脊髓损伤(SCI)的能力,脊髓损伤的再生能力较低。EVs显著增强了神经干细胞(NSCs)的增殖并激活了神经元再生潜能,导致轴突长度增加了5.2倍。此外,EVs表现出免疫调节作用,使巨噬细胞从M1型转变为M2型。用活化的细胞穿透肽(ACPPs)进行工程改造后,EVs的表现明显优于大鼠骨髓干细胞来源的EVs和神经干细胞来源的EVs,促进轴突生长增加1.3倍,神经元凋亡减少30.6%,运动功能恢复改善2.6倍。这些研究结果支持ABPCs来源的EVs作为脊髓损伤修复的一种有前景的治疗候选物。

https://cdn.ncbi.nlm.nih.gov/pmc/blobs/a1a1/11841045/d3be2d3a571c/nn4c10298_0007.jpg
https://cdn.ncbi.nlm.nih.gov/pmc/blobs/a1a1/11841045/eeddb77ad951/nn4c10298_0008.jpg
https://cdn.ncbi.nlm.nih.gov/pmc/blobs/a1a1/11841045/e4728ff69975/nn4c10298_0001.jpg
https://cdn.ncbi.nlm.nih.gov/pmc/blobs/a1a1/11841045/c5a91a3f268f/nn4c10298_0002.jpg
https://cdn.ncbi.nlm.nih.gov/pmc/blobs/a1a1/11841045/db80c1ce7199/nn4c10298_0003.jpg
https://cdn.ncbi.nlm.nih.gov/pmc/blobs/a1a1/11841045/f22ae7f0d013/nn4c10298_0004.jpg
https://cdn.ncbi.nlm.nih.gov/pmc/blobs/a1a1/11841045/66a7f9404164/nn4c10298_0005.jpg
https://cdn.ncbi.nlm.nih.gov/pmc/blobs/a1a1/11841045/60fbedc2516a/nn4c10298_0006.jpg
https://cdn.ncbi.nlm.nih.gov/pmc/blobs/a1a1/11841045/d3be2d3a571c/nn4c10298_0007.jpg
https://cdn.ncbi.nlm.nih.gov/pmc/blobs/a1a1/11841045/eeddb77ad951/nn4c10298_0008.jpg
https://cdn.ncbi.nlm.nih.gov/pmc/blobs/a1a1/11841045/e4728ff69975/nn4c10298_0001.jpg
https://cdn.ncbi.nlm.nih.gov/pmc/blobs/a1a1/11841045/c5a91a3f268f/nn4c10298_0002.jpg
https://cdn.ncbi.nlm.nih.gov/pmc/blobs/a1a1/11841045/db80c1ce7199/nn4c10298_0003.jpg
https://cdn.ncbi.nlm.nih.gov/pmc/blobs/a1a1/11841045/f22ae7f0d013/nn4c10298_0004.jpg
https://cdn.ncbi.nlm.nih.gov/pmc/blobs/a1a1/11841045/66a7f9404164/nn4c10298_0005.jpg
https://cdn.ncbi.nlm.nih.gov/pmc/blobs/a1a1/11841045/60fbedc2516a/nn4c10298_0006.jpg
https://cdn.ncbi.nlm.nih.gov/pmc/blobs/a1a1/11841045/d3be2d3a571c/nn4c10298_0007.jpg

相似文献

1
Engineered Extracellular Vesicles from Antler Blastema Progenitor Cells: A Therapeutic Choice for Spinal Cord Injury.鹿茸芽基祖细胞工程化细胞外囊泡:脊髓损伤的一种治疗选择
ACS Nano. 2025 Feb 18;19(6):5995-6013. doi: 10.1021/acsnano.4c10298. Epub 2025 Jan 22.
2
Extracellular vesicles from antler blastema progenitor cells reverse bone loss and mitigate aging-related phenotypes in mice and macaques.鹿茸芽基祖细胞来源的细胞外囊泡可逆转小鼠和猕猴的骨质流失并减轻衰老相关表型。
Nat Aging. 2025 Jul 14. doi: 10.1038/s43587-025-00918-x.
3
Combination of induced pluripotent stem cell-derived motor neuron progenitor cells with irradiated brain-derived neurotrophic factor over-expressing engineered mesenchymal stem cells enhanced restoration of axonal regeneration in a chronic spinal cord injury rat model.诱导多能干细胞衍生的运动神经元祖细胞与辐照过的脑源性神经营养因子过表达工程间充质干细胞联合应用增强了慢性脊髓损伤大鼠模型中轴突再生的恢复。
Stem Cell Res Ther. 2024 Jun 18;15(1):173. doi: 10.1186/s13287-024-03770-9.
4
Biological characteristics of tissue engineered-nerve grafts enhancing peripheral nerve regeneration.组织工程化神经移植物增强周围神经再生的生物学特性。
Stem Cell Res Ther. 2024 Jul 18;15(1):215. doi: 10.1186/s13287-024-03827-9.
5
Therapeutic potential of NGF-enriched extracellular vesicles in modulating neuroinflammation and enhancing peripheral nerve remyelination.富含神经生长因子的细胞外囊泡在调节神经炎症和促进周围神经再髓鞘化方面的治疗潜力。
Acta Neuropathol Commun. 2025 May 27;13(1):118. doi: 10.1186/s40478-025-02033-9.
6
Association between neural stem/progenitor cells and biomaterials in spinal cord injury therapies: A systematic review and network meta-analysis.神经干细胞/祖细胞与生物材料在脊髓损伤治疗中的相关性:系统评价和网络荟萃分析。
Acta Biomater. 2024 Jul 15;183:50-60. doi: 10.1016/j.actbio.2024.06.011. Epub 2024 Jun 12.
7
Extracellular vesicles derived from Schwann cells to enhance bone and dental tissue regeneration: a literature review.源自雪旺细胞的细胞外囊泡促进骨和牙组织再生:文献综述
J Nanobiotechnology. 2025 Jul 11;23(1):502. doi: 10.1186/s12951-025-03585-7.
8
Three-dimensional cell culture-derived extracellular vesicles loaded alginate/hyaluronic acid composite scaffold as an optimal therapy for cartilage defect regeneration.三维细胞培养衍生的细胞外囊泡负载藻酸盐/透明质酸复合支架作为软骨缺损再生的最佳治疗方法。
Biomed Mater. 2025 Feb 13;20(2). doi: 10.1088/1748-605X/adb22e.
9
A Novel Deer Antler-Inspired Bone Graft Triggers Rapid Bone Regeneration.一种新型受鹿茸启发的骨移植材料可引发快速骨再生。
Adv Mater. 2025 Feb;37(6):e2411571. doi: 10.1002/adma.202411571. Epub 2024 Dec 20.
10
In-vitro immunomodulatory efficacy of extracellular vesicles derived from TGF-β1/IFN-γ dual licensed human bone marrow mesenchymal stromal cells.转化生长因子-β1/干扰素-γ双许可的人骨髓间充质基质细胞衍生的细胞外囊泡的体外免疫调节功效
Stem Cell Res Ther. 2025 Jul 9;16(1):357. doi: 10.1186/s13287-025-04476-2.

引用本文的文献

1
Emerging regenerative strategies for spinal cord injury: exosome-derived mechanisms and therapeutic insights.脊髓损伤的新兴再生策略:外泌体衍生机制与治疗见解。
Front Neurosci. 2025 Aug 25;19:1652196. doi: 10.3389/fnins.2025.1652196. eCollection 2025.

本文引用的文献

1
Single-cell and spatial atlases of spinal cord injury in the Tabulae Paralytica.Tabulae Paralytica 脊髓损伤的单细胞和空间图谱。
Nature. 2024 Jul;631(8019):150-163. doi: 10.1038/s41586-024-07504-y. Epub 2024 Jun 19.
2
Minimal information for studies of extracellular vesicles (MISEV2023): From basic to advanced approaches.细胞外囊泡研究的最低信息要求(MISEV2023):从基础到先进方法。
J Extracell Vesicles. 2024 Feb;13(2):e12404. doi: 10.1002/jev2.12404.
3
Clinical applications of stem cell-derived exosomes.干细胞衍生的外泌体的临床应用。
Signal Transduct Target Ther. 2024 Jan 12;9(1):17. doi: 10.1038/s41392-023-01704-0.
4
Local delivery of EGFRNSCs-derived exosomes promotes neural regeneration post spinal cord injury via miR-34a-5p/HDAC6 pathway.表皮生长因子受体神经干细胞衍生外泌体的局部递送通过miR-34a-5p/组蛋白去乙酰化酶6途径促进脊髓损伤后的神经再生。
Bioact Mater. 2023 Nov 28;33:424-443. doi: 10.1016/j.bioactmat.2023.11.013. eCollection 2024 Mar.
5
Restoring neuronal iron homeostasis revitalizes neurogenesis after spinal cord injury.脊髓损伤后,神经元铁稳态的恢复可使神经发生重获活力。
Proc Natl Acad Sci U S A. 2023 Nov 14;120(46):e2220300120. doi: 10.1073/pnas.2220300120. Epub 2023 Nov 10.
6
Schwann Cell-Derived Exosomes and Methylprednisolone Composite Patch for Spinal Cord Injury Repair.雪旺细胞衍生外泌体与甲泼尼龙复合贴剂修复脊髓损伤。
ACS Nano. 2023 Nov 28;17(22):22928-22943. doi: 10.1021/acsnano.3c08046. Epub 2023 Nov 10.
7
YAP Signaling Regulates the Cellular Uptake and Therapeutic Effect of Nanoparticles.YAP 信号通路调控纳米颗粒的细胞摄取和治疗效果。
Adv Sci (Weinh). 2024 Jan;11(2):e2302965. doi: 10.1002/advs.202302965. Epub 2023 Nov 9.
8
A Novel Magnetic Responsive miR-26a@SPIONs-OECs for Spinal Cord Injury: Triggering Neural Regeneration Program and Orienting Axon Guidance in Inhibitory Astrocytic Environment.一种新型的磁响应 miR-26a@SPIONs-OECs 用于治疗脊髓损伤:在抑制性星形胶质细胞环境中触发神经再生程序和定向轴突导向。
Adv Sci (Weinh). 2023 Nov;10(32):e2304487. doi: 10.1002/advs.202304487. Epub 2023 Oct 3.
9
A Novel Superparamagnetic Multifunctional Nerve Scaffold: A Remote Actuation Strategy to Boost In Situ Extracellular Vesicles Production for Enhanced Peripheral Nerve Repair.一种新型超顺磁多功能神经支架:一种远程驱动策略,以促进原位细胞外囊泡的产生,增强周围神经修复。
Adv Mater. 2024 Jan;36(3):e2305374. doi: 10.1002/adma.202305374. Epub 2023 Dec 3.
10
Spinal cord injury: molecular mechanisms and therapeutic interventions.脊髓损伤:分子机制与治疗干预。
Signal Transduct Target Ther. 2023 Jun 26;8(1):245. doi: 10.1038/s41392-023-01477-6.