Suppr超能文献

源自GC的外泌体circMAN1A2通过抑制FBXW11介导的SFPQ降解促进癌症进展并抑制T细胞抗肿瘤免疫。

GC-derived exosomal circMAN1A2 promotes cancer progression and suppresses T-cell antitumour immunity by inhibiting FBXW11-mediated SFPQ degradation.

作者信息

Shen Yikai, Lin Jie, Jiang Tianlu, Shen Xusheng, Li Ying, Fu Yiwang, Xu Penghui, Fang Lang, Chen Zetian, Huang Hongxin, Xia Yiwen, Xu Zekuan, Wang Linjun

机构信息

Gastric Cancer Center, The First Affiliated Hospital of Nanjing Medical University, Nanjing, Jiangsu Province, China.

The Affiliated Wuxi People's Hospital of Nanjing Medical University, Wuxi Medical Center, Nanjing Medical University, Wuxi People's Hospital, Wuxi, Jiangsu Province, China.

出版信息

J Exp Clin Cancer Res. 2025 Jan 25;44(1):24. doi: 10.1186/s13046-025-03288-9.

Abstract

BACKGROUND

Exosomes, as extracellular membrane vesicles, play important roles in intercellular communication and can influence tumour progression. Circular RNAs (circRNAs) have been reported in various malignancies and are also important components of exosomes. However, the role of exosomal circRNAs in gastric cancer (GC) progression has not been completely clarified.

METHODS

The exosomal circRNAs enriched in GC were identified using exosomal circRNA sequencing. The biological function of circMAN1A2 in GC was investigated using a series of in vitro and in vivo experiments. PKH-67 staining was used to label the exosomes. The molecular mechanism of exosomal circMAN1A2 was investigated via mass spectrometry, immunoprecipitation, Western blot, and single-cell RNA-sequencing data analyses.

RESULTS

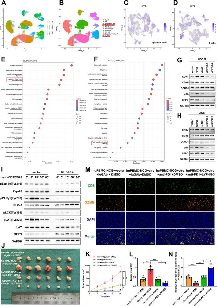
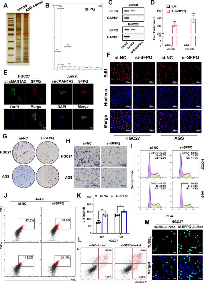
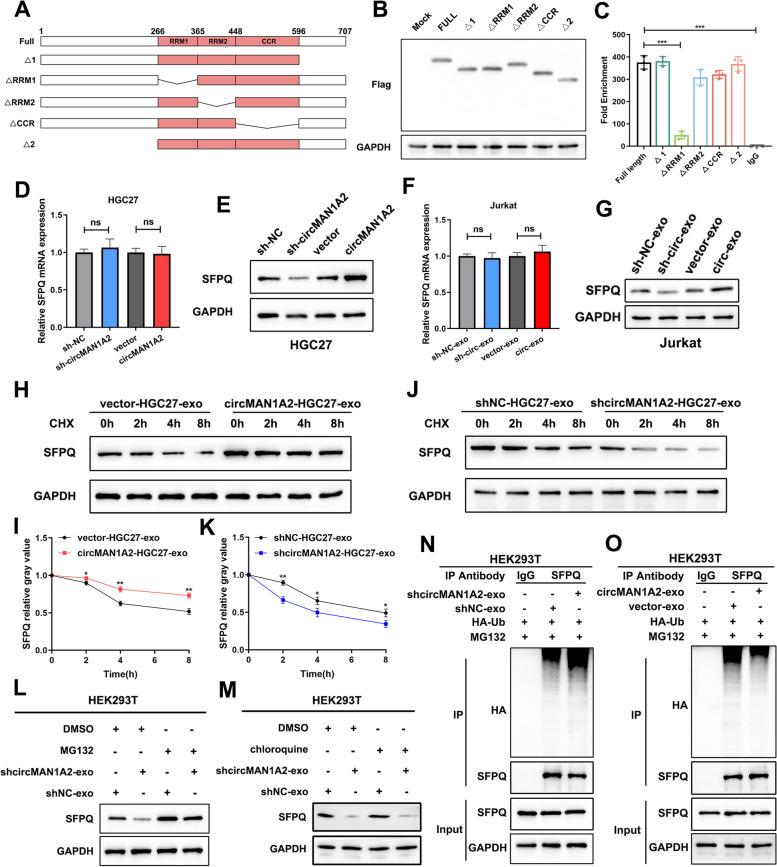
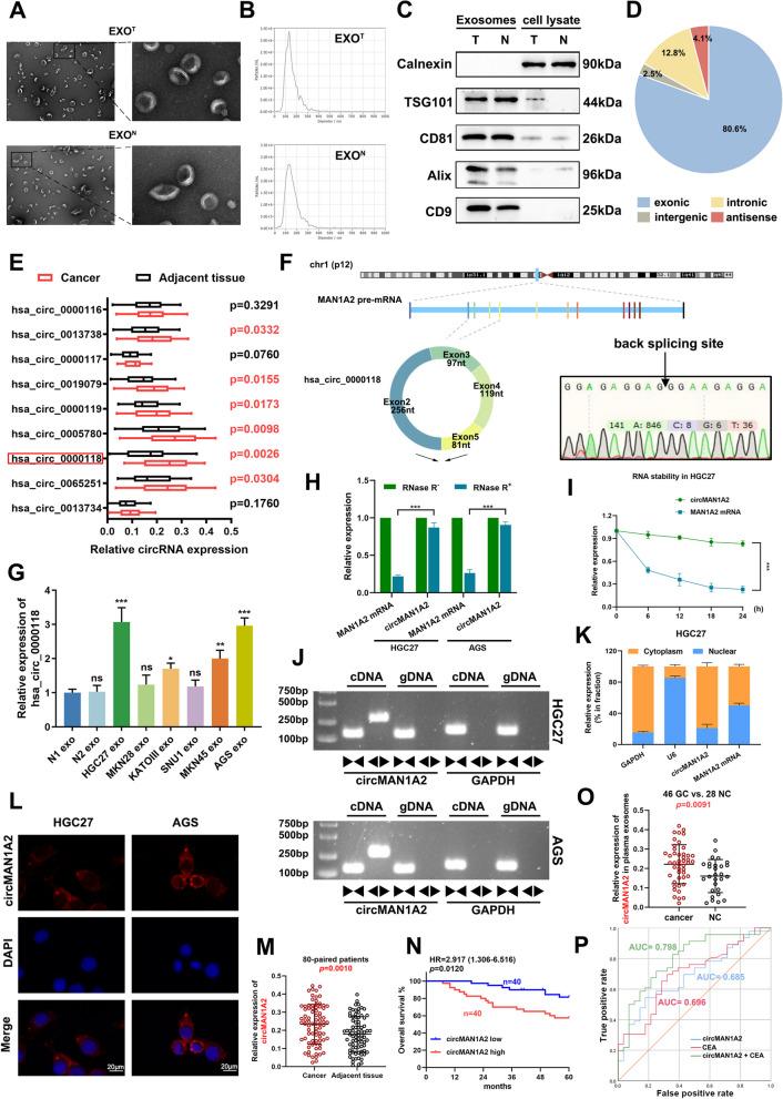
In our study, we determined that circMAN1A2 (hsa_circ_0000118) was enriched in GC-derived exosomes. Higher circMAN1A2 expression was related to poor survival in GC patients (HR = 2.917, p = 0.0120). Exosomal circMAN1A2 promoted GC progression in vitro and in vivo and suppressed the antitumour activity of T cells. Moreover, circMAN1A2 bound to SFPQ in GC cells and T cells, promoting the G1/S phase transition of the cell cycle in GC cells while inhibiting the activation of the T cell receptor signalling pathway in T cells to decrease antitumour activity. Mechanistically, circMAN1A2 competed with FBXW11 for binding to SFPQ, preventing FBXW11-mediated k48-linked ubiquitination and SFPQ protein degradation, thereby stabilizing SFPQ expression.

CONCLUSIONS

Our work confirms the critical role of exosomal circMAN1A2 in the progression and immunosuppression of GC. This novel axis of circMAN1A2-SFPQ provides new insights into exosomal circRNA-based GC diagnostic and therapeutic strategies.

摘要

背景

外泌体作为细胞外膜泡,在细胞间通讯中发挥重要作用,并可影响肿瘤进展。环状RNA(circRNAs)已在多种恶性肿瘤中被报道,也是外泌体的重要组成部分。然而,外泌体circRNAs在胃癌(GC)进展中的作用尚未完全阐明。

方法

使用外泌体circRNA测序鉴定富集于GC的外泌体circRNAs。通过一系列体外和体内实验研究circMAN1A2在GC中的生物学功能。PKH-67染色用于标记外泌体。通过质谱、免疫沉淀、蛋白质印迹和单细胞RNA测序数据分析研究外泌体circMAN1A2的分子机制。

结果

在我们的研究中,我们确定circMAN1A2(hsa_circ_0000118)在GC来源的外泌体中富集。circMAN1A2表达升高与GC患者的不良生存相关(HR = 2.917,p = 0.0120)。外泌体circMAN1A2在体外和体内促进GC进展,并抑制T细胞的抗肿瘤活性。此外,circMAN1A2在GC细胞和T细胞中与SFPQ结合,促进GC细胞中细胞周期的G1/S期转变,同时抑制T细胞中T细胞受体信号通路的激活,从而降低抗肿瘤活性。机制上,circMAN1A2与FBXW11竞争结合SFPQ,阻止FBXW11介导的k48连接的泛素化和SFPQ蛋白降解,从而稳定SFPQ表达。

结论

我们的工作证实了外泌体circMAN1A2在GC进展和免疫抑制中的关键作用。这个新的circMAN1A2-SFPQ轴为基于外泌体circRNA的GC诊断和治疗策略提供了新的见解。

https://cdn.ncbi.nlm.nih.gov/pmc/blobs/4200/11762487/c5d6f280ab9b/13046_2025_3288_Fig1_HTML.jpg

文献检索

告别复杂PubMed语法,用中文像聊天一样搜索,搜遍4000万医学文献。AI智能推荐,让科研检索更轻松。

立即免费搜索

文件翻译

保留排版,准确专业,支持PDF/Word/PPT等文件格式,支持 12+语言互译。

免费翻译文档

深度研究

AI帮你快速写综述,25分钟生成高质量综述,智能提取关键信息,辅助科研写作。

立即免费体验