Suppr超能文献

II级损伤保守治疗后慢性创伤性主动脉峡部假性动脉瘤:为何必须持续随访?

Chronic Post-Traumatic Aortic Isthmus Pseudoaneurysm After Conservative Management of Grade II Injury: Why Is Continuous Follow-Up Mandatory?

作者信息

Sica Simona, Tinelli Giovanni, Borghese Ottavia, Dimri Manav, Dvir May, Minelli Fabrizio, Rizza Antonio, Bruno Piergiorgio, Massetti Massimo, Tshomba Yamume

机构信息

Faculty of Medicine and Surgery, Università Cattolica del Sacro Cuore, 00168 Rome, Italy.

Unit of Vascular Surgery, Fondazione Policlinico Universitario A. Gemelli-IRCCS, 00168 Rome, Italy.

出版信息

J Clin Med. 2025 Feb 10;14(4):1133. doi: 10.3390/jcm14041133.

Abstract

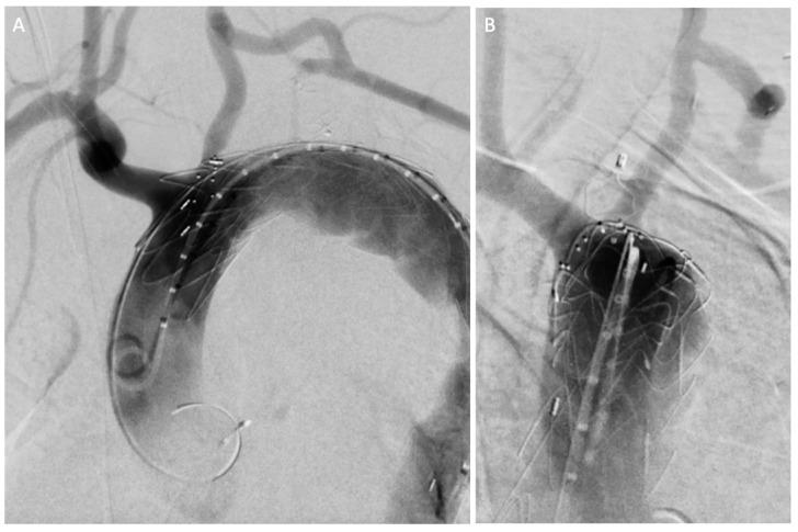
Grade I-II blunt traumatic aortic injuries (BTAIs) are typically managed conservatively, but their long-term progression is poorly understood. Chronic pseudoaneurysms may develop years after the injury, often remaining asymptomatic and being incidentally diagnosed. Two cases of post-traumatic aortic pseudoaneurysms, detected 20 and 25 years following conservatively managed BTAIs, are reported. Additionally, a comprehensive review of all post-traumatic pseudoaneurysms reported in the MedLine (PubMed.gov, U.S. National Library of Medicine, National Institute of Health) database between January 1984 and December 2024 was performed. Both our patients underwent successful hybrid procedures, with no complications at the 1- and 4-year follow-ups. Our literature review identified 37 patients across 22 studies, with 32.4% presenting asymptomatically or incidentally diagnosed through routine imaging, between 1 month and 50 years after the initial trauma. In 37.8% of cases, the patients underwent open or endovascular repair. This case series and literature review emphasize the importance of long-term follow-up for patients with conservatively managed BTAIs, as chronic complications such as aortic pseudoaneurysms can arise decades later. Continuous surveillance is critical to ensure early detection and management.

摘要

I-II级钝性创伤性主动脉损伤(BTAIs)通常采用保守治疗,但其长期进展情况尚不清楚。慢性假性动脉瘤可能在损伤数年之后形成,常常没有症状,而是在偶然检查时被诊断出来。本文报告了两例在保守治疗BTAIs后20年和25年发现的创伤后主动脉假性动脉瘤病例。此外,还对1984年1月至2024年12月期间MedLine(美国国立医学图书馆、美国国立卫生研究院的PubMed.gov)数据库中报告的所有创伤后假性动脉瘤进行了全面综述。我们的两名患者均成功接受了杂交手术,在1年和4年随访时均无并发症。我们的文献综述在22项研究中确定了37例患者,其中32.4%在初次创伤后1个月至50年之间没有症状或通过常规影像学检查偶然被诊断出来。在37.8%的病例中,患者接受了开放手术或血管腔内修复。这个病例系列和文献综述强调了对接受保守治疗的BTAIs患者进行长期随访的重要性,因为诸如主动脉假性动脉瘤等慢性并发症可能在数十年后出现。持续监测对于确保早期发现和治疗至关重要。

https://cdn.ncbi.nlm.nih.gov/pmc/blobs/233c/11857003/9e318fd1adc0/jcm-14-01133-g001.jpg

文献AI研究员

20分钟写一篇综述,助力文献阅读效率提升50倍。

立即体验

用中文搜PubMed

大模型驱动的PubMed中文搜索引擎

马上搜索

文档翻译

学术文献翻译模型,支持多种主流文档格式。

立即体验