• 文献检索
  • 文档翻译
  • 深度研究
  • 学术资讯
  • Suppr Zotero 插件Zotero 插件
  • 邀请有礼
  • 套餐&价格
  • 历史记录
应用&插件
Suppr Zotero 插件Zotero 插件浏览器插件Mac 客户端Windows 客户端微信小程序
定价
高级版会员购买积分包购买API积分包
服务
文献检索文档翻译深度研究API 文档MCP 服务
关于我们
关于 Suppr公司介绍联系我们用户协议隐私条款
关注我们

Suppr 超能文献

核心技术专利:CN118964589B侵权必究
粤ICP备2023148730 号-1Suppr @ 2026

文献检索

告别复杂PubMed语法,用中文像聊天一样搜索,搜遍4000万医学文献。AI智能推荐,让科研检索更轻松。

立即免费搜索

文件翻译

保留排版,准确专业,支持PDF/Word/PPT等文件格式,支持 12+语言互译。

免费翻译文档

深度研究

AI帮你快速写综述,25分钟生成高质量综述,智能提取关键信息,辅助科研写作。

立即免费体验

DAPK-1在口腔白斑和口腔鳞状细胞癌中的免疫组化表达:一项初步研究

Immunohistochemical Expression of DAPK-1 in Oral Leukoplakia And Oral Squamous Cell Carcinoma: A Preliminary Study.

作者信息

Papadopoulos Petros, Zisis Vasileios, Andreadis Dimitrios, Poulopoulos Konstantinos, Parlitsis Dimitrios, Paraskevopoulos Konstantinos, Anastasiadou Pinelopi A, Anagnostou Eleftherios, Vahtsevanos Konstantinos, Poulopoulos Athanasios

机构信息

Oral Medicine/ Pathology, Aristotle University of Thessaloniki, Thessaloniki, GRC.

Oral and Maxillofacial Surgery, Papanikolaou Hospital, Aristotle University of Thessaloniki, Thessaloniki, GRC.

出版信息

Cureus. 2025 Feb 16;17(2):e79085. doi: 10.7759/cureus.79085. eCollection 2025 Feb.

DOI:10.7759/cureus.79085
PMID:40104466
原文链接:https://pmc.ncbi.nlm.nih.gov/articles/PMC11916529/
Abstract

INTRODUCTION

The silencing of death-associated protein kinase 1 (DAPK-1) is an effective way of inactivating a tumor-suppressing mechanism. The aim of this study was to investigate the immunohistochemical expression of DAPK-1 in oral leukoplakia (OL) and oral squamous cell carcinoma (OSCC).

METHODS

The immunohistochemical (IHC) detection of DAPK-1 was carried out in cases of OLs and OSCCs. DAPK-1 molecules' tissue distribution in OLs/OSCCs tissues was evaluated using semiquantitative immunohistochemistry in representative paraffin-embedded tissue samples (57 in total) from 2004-2019, retrieved from the archives of the Department of Oral Medicine/Pathology, School of Dentistry, Aristotle University of Thessaloniki, Greece and the St Lukas Hospital of Thessaloniki, Greece. The inclusion criterion was the presence of sufficient precancerous or cancerous biological material (estimated as more than 70% per tissue specimen) in the paraffin cubes. The exclusion criterion was the opposite, i.e. the lack of sufficient material due to previous sections. Statistics for IHC were evaluated by a non-parametric Mann-Whitney U Test. A two-sided p-value < 0.05 was considered statistically significant.

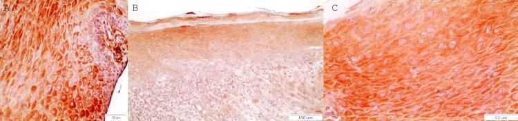
RESULTS

DAPK-1 IHC expression was increased in OLs without dysplasia and with OLs with mild dysplasia compared to moderate/severe dysplasia (p=0.019, Mann-Whitney U Test) and OSCCs (p=0.003, Mann-Whitney U Test).  Conclusions: DAPK-1 seemed to function as an oncosuppressor molecular biomarker, as its expression was decreased in areas of cellular dysplasia in OLs and in areas of OSCCs composed of less differentiated cells. The clinical application of this biomarker is that the positively stained, potentially malignant lesions are less likely to transition into malignancy, and cancerous lesions are more likely to behave non-aggressively. On the other hand, the lack of staining could signify the loss of this oncosuppressing ability, and it could be a potential prognostic biomarker for OSCC's aggressive biologic behavior if considered with other clinical parameters and a prognostic factor of malignant transformation of potentially malignant lesions. Since this is a preliminary study, more studies with larger sample sizes are required to support these conclusions.

摘要

引言

死亡相关蛋白激酶1(DAPK-1)的沉默是使肿瘤抑制机制失活的一种有效方式。本研究的目的是调查DAPK-1在口腔白斑(OL)和口腔鳞状细胞癌(OSCC)中的免疫组化表达情况。

方法

对OL和OSCC病例进行DAPK-1的免疫组化(IHC)检测。使用半定量免疫组化方法评估DAPK-1分子在OL/OSCC组织中的组织分布情况,这些组织样本来自2004年至2019年希腊塞萨洛尼基亚里士多德大学牙科学院口腔医学/病理学系档案以及希腊塞萨洛尼基圣卢卡斯医院,共57个代表性石蜡包埋组织样本。纳入标准是石蜡块中存在足够的癌前或癌性生物材料(每个组织标本估计超过70%)。排除标准则相反,即由于先前切片导致缺乏足够的材料。通过非参数曼-惠特尼U检验评估IHC的统计学结果。双侧p值<0.05被认为具有统计学意义。

结果

与中度/重度发育异常的OL和OSCC相比,DAPK-1的IHC表达在无发育异常的OL和轻度发育异常的OL中有所增加(曼-惠特尼U检验,p = 0.019)以及在OSCC中(曼-惠特尼U检验,p = 0.003)。结论:DAPK-1似乎作为一种肿瘤抑制分子生物标志物发挥作用,因为其在OL的细胞发育异常区域以及由分化程度较低的细胞组成的OSCC区域中表达降低。这种生物标志物的临床应用在于,阳性染色的潜在恶性病变转变为恶性的可能性较小,而癌性病变的侵袭性可能较低。另一方面,缺乏染色可能表明这种肿瘤抑制能力的丧失,如果与其他临床参数一起考虑,它可能是OSCC侵袭性生物学行为的潜在预后生物标志物,也是潜在恶性病变恶性转化的预后因素。由于这是一项初步研究,需要更多样本量更大的研究来支持这些结论。

https://cdn.ncbi.nlm.nih.gov/pmc/blobs/0505/11916529/0b8ac746c727/cureus-0017-00000079085-i04.jpg
https://cdn.ncbi.nlm.nih.gov/pmc/blobs/0505/11916529/8cbc05733a23/cureus-0017-00000079085-i01.jpg
https://cdn.ncbi.nlm.nih.gov/pmc/blobs/0505/11916529/8ad4fcff2979/cureus-0017-00000079085-i02.jpg
https://cdn.ncbi.nlm.nih.gov/pmc/blobs/0505/11916529/d8f70b9d4389/cureus-0017-00000079085-i03.jpg
https://cdn.ncbi.nlm.nih.gov/pmc/blobs/0505/11916529/0b8ac746c727/cureus-0017-00000079085-i04.jpg
https://cdn.ncbi.nlm.nih.gov/pmc/blobs/0505/11916529/8cbc05733a23/cureus-0017-00000079085-i01.jpg
https://cdn.ncbi.nlm.nih.gov/pmc/blobs/0505/11916529/8ad4fcff2979/cureus-0017-00000079085-i02.jpg
https://cdn.ncbi.nlm.nih.gov/pmc/blobs/0505/11916529/d8f70b9d4389/cureus-0017-00000079085-i03.jpg
https://cdn.ncbi.nlm.nih.gov/pmc/blobs/0505/11916529/0b8ac746c727/cureus-0017-00000079085-i04.jpg

相似文献

1
Immunohistochemical Expression of DAPK-1 in Oral Leukoplakia And Oral Squamous Cell Carcinoma: A Preliminary Study.DAPK-1在口腔白斑和口腔鳞状细胞癌中的免疫组化表达:一项初步研究
Cureus. 2025 Feb 16;17(2):e79085. doi: 10.7759/cureus.79085. eCollection 2025 Feb.
2
Investigation of the Vascular-Endothelial Pattern of Expression of DAPK-1 in Oral Squamous Cell Carcinoma and Oral Potentially Malignant Disorders Through Immunohistochemistry.通过免疫组织化学法研究口腔鳞状细胞癌和口腔潜在恶性疾病中DAPK-1的血管内皮表达模式
Cureus. 2024 Jun 30;16(6):e63519. doi: 10.7759/cureus.63519. eCollection 2024 Jun.
3
DAPK-1 as a Potential Early Marker for Malignant Transformation Risk of Oral Lichen Planus.DAPK-1作为口腔扁平苔藓恶性转化风险的潜在早期标志物。
Cureus. 2024 Oct 17;16(10):e71714. doi: 10.7759/cureus.71714. eCollection 2024 Oct.
4
Expression of the Embryonic Cancer Stem Cells' Biomarkers SOX2 and OCT3/4 in Oral Leukoplakias and Squamous Cell Carcinomas: A Preliminary Study.胚胎癌干细胞生物标志物SOX2和OCT3/4在口腔白斑和鳞状细胞癌中的表达:一项初步研究。
Cureus. 2023 Sep 18;15(9):e45482. doi: 10.7759/cureus.45482. eCollection 2023 Sep.
5
Preliminary Study of the Cancer Stem Cells' Biomarker CD147 in Leukoplakia: Dysplasia and Squamous Cell Carcinoma of Oral Epithelial Origin.口腔上皮来源的白斑、发育异常及鳞状细胞癌中癌症干细胞生物标志物CD147的初步研究
Cureus. 2023 May 9;15(5):e38807. doi: 10.7759/cureus.38807. eCollection 2023 May.
6
Altered Presence of Cancer Stem Cell ALDH1/2 in Oral Leukoplakias and Squamous Cell Carcinomas.口腔白斑和鳞状细胞癌中癌症干细胞醛脱氢酶1/2的表达改变
Cureus. 2023 Jun 22;15(6):e40836. doi: 10.7759/cureus.40836. eCollection 2023 Jun.
7
A Preliminary Study of the Role of Endothelial-Mesenchymal Transitory Factor SOX 2 and CD147 in the Microvascularization of Oral Squamous Cell Carcinoma.内皮-间充质转化因子SOX 2和CD147在口腔鳞状细胞癌微血管生成中作用的初步研究
Cureus. 2024 Jan 14;16(1):e52265. doi: 10.7759/cureus.52265. eCollection 2024 Jan.
8
A Comparison of Podoplanin Expression in Oral Leukoplakia and Oral Squamous Cell Carcinoma: An Immunohistochemical Study.口腔白斑病与口腔鳞状细胞癌中血小板源性生长因子受体α表达的比较:一项免疫组织化学研究。 (注:原文中是Podoplanin,译文里前面误写成血小板源性生长因子受体α,正确译文应为:口腔白斑病与口腔鳞癌中足板蛋白表达的比较:一项免疫组化研究。)
Cureus. 2023 May 2;15(5):e38467. doi: 10.7759/cureus.38467. eCollection 2023 May.
9
An immunohistochemical evaluation of podoplanin expression in oral leukoplakia and oral squamous cell carcinoma to explore its potential to be used as a predictor for malignant transformation.对口腔白斑和口腔鳞状细胞癌中血小板内皮细胞黏附分子-1表达进行免疫组织化学评估,以探讨其作为恶性转化预测指标的潜力。
J Oral Maxillofac Pathol. 2019 Jan-Apr;23(1):159. doi: 10.4103/jomfp.JOMFP_272_17.
10
Evaluation of salivary MMP-9 in oral squamous cell carcinoma and oral leukoplakia using ELISA.使用酶联免疫吸附测定法评估口腔鳞状细胞癌和口腔白斑中唾液基质金属蛋白酶-9的含量。
J Oral Maxillofac Pathol. 2023 Oct-Dec;27(4):649-654. doi: 10.4103/jomfp.jomfp_426_23. Epub 2023 Dec 20.

本文引用的文献

1
DAPK-1 as a Potential Early Marker for Malignant Transformation Risk of Oral Lichen Planus.DAPK-1作为口腔扁平苔藓恶性转化风险的潜在早期标志物。
Cureus. 2024 Oct 17;16(10):e71714. doi: 10.7759/cureus.71714. eCollection 2024 Oct.
2
Crossing epigenetic frontiers: the intersection of novel histone modifications and diseases.跨越表观遗传学前沿:新型组蛋白修饰与疾病的交汇点。
Signal Transduct Target Ther. 2024 Sep 16;9(1):232. doi: 10.1038/s41392-024-01918-w.
3
Investigation of the Vascular-Endothelial Pattern of Expression of DAPK-1 in Oral Squamous Cell Carcinoma and Oral Potentially Malignant Disorders Through Immunohistochemistry.
通过免疫组织化学法研究口腔鳞状细胞癌和口腔潜在恶性疾病中DAPK-1的血管内皮表达模式
Cureus. 2024 Jun 30;16(6):e63519. doi: 10.7759/cureus.63519. eCollection 2024 Jun.
4
Promoter DNA methylation patterns in oral, laryngeal and oropharyngeal anatomical regions are associated with tumor differentiation, nodal involvement and survival.口腔、喉和口咽解剖区域的启动子DNA甲基化模式与肿瘤分化、淋巴结受累及生存情况相关。
Oncol Lett. 2024 Jan 8;27(3):89. doi: 10.3892/ol.2024.14223. eCollection 2024 Mar.
5
Cancer epigenetics: from laboratory studies and clinical trials to precision medicine.癌症表观遗传学:从实验室研究、临床试验到精准医学
Cell Death Discov. 2024 Jan 15;10(1):28. doi: 10.1038/s41420-024-01803-z.
6
Epigenetic Regulation in Oral Squamous Cell Carcinoma Microenvironment: A Comprehensive Review.口腔鳞状细胞癌微环境中的表观遗传调控:综述
Cancers (Basel). 2023 Nov 27;15(23):5600. doi: 10.3390/cancers15235600.
7
Epidemiology, Risk Factors, and Prevention of Head and Neck Squamous Cell Carcinoma.头颈部鳞状细胞癌的流行病学、危险因素和预防。
Med Sci (Basel). 2023 Jun 13;11(2):42. doi: 10.3390/medsci11020042.
8
Targeting epigenetic regulation for cancer therapy using small molecule inhibitors.针对癌症治疗的表观遗传调控的小分子抑制剂。
Adv Cancer Res. 2023;158:73-161. doi: 10.1016/bs.acr.2023.01.001. Epub 2023 Feb 16.
9
Salivary-Based Cell-Free Mitochondrial DNA Level Is an Independent Prognostic Biomarker for Patients with Head and Neck Squamous Cell Carcinoma.基于唾液的无细胞线粒体DNA水平是头颈部鳞状细胞癌患者的独立预后生物标志物。
J Pers Med. 2023 Feb 8;13(2):301. doi: 10.3390/jpm13020301.
10
Oral brush biopsy using liquid-based cytology is a reliable tool for oral cancer screening: A cost-utility analysis: Oral brush biopsy for oral cancer screening.口腔刷检联合液基细胞学检查用于口腔癌筛查的可靠性评价:一种基于成本效用的分析
Cancer Cytopathol. 2022 Sep;130(9):740-748. doi: 10.1002/cncy.22599. Epub 2022 Jun 15.