Suppr超能文献

一种使用中等脂肪饮食、果糖和链脲佐菌素构建的2型糖尿病新型小鼠模型,用于研究人类疾病的并发症。

A Novel Mouse Model of Type 2 Diabetes Using a Medium-Fat Diet, Fructose, and Streptozotocin to Study the Complications of Human Disease.

作者信息

Mazzocco Yanina Luciana, Bergero Gastón, Del Rosso Sebastián, Gallardo Zoé M Cejas, Canalis Alejandra, Baigorri Ruth Eliana, Mezzano Luciana, Mladin Juan Javier, Diaz Gustavo Tomas, Martinez Claudia Erika, Cano Roxana Carolina, Aoki Maria Pilar

机构信息

Consejo Nacional de Investigaciones Científicas y Técnicas (CONICET), Centro de Investigaciones en Bioquímica Clínica e Inmunología (CIBICI).

Instituto de Biología Celular, Facultad de Ciencias Médicas, Universidad Nacional de Córdoba.

出版信息

Res Sq. 2025 Mar 12:rs.3.rs-5920886. doi: 10.21203/rs.3.rs-5920886/v1.

Abstract

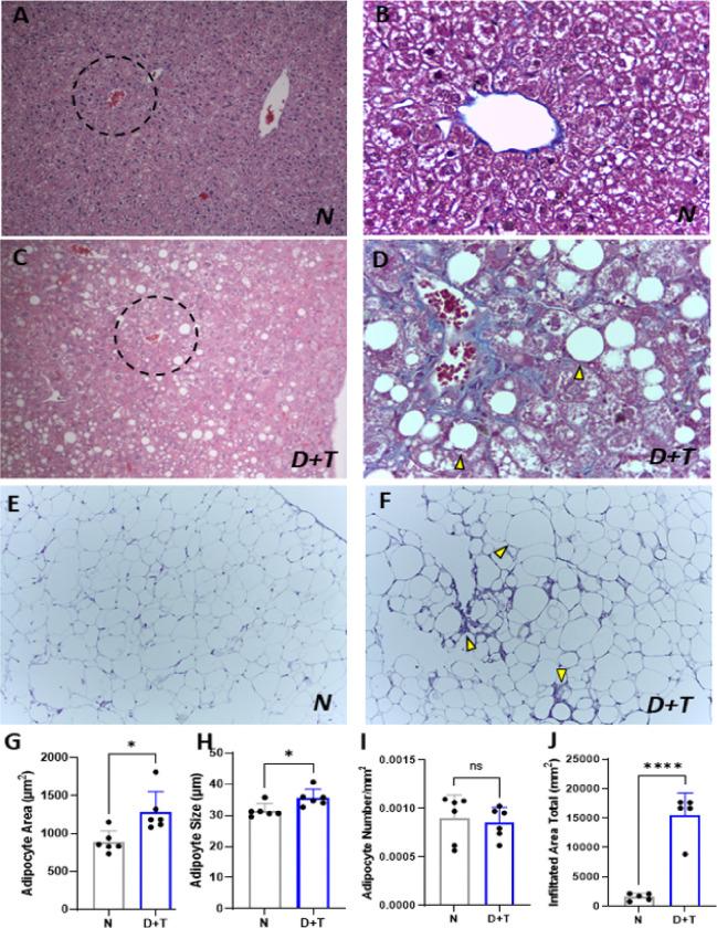
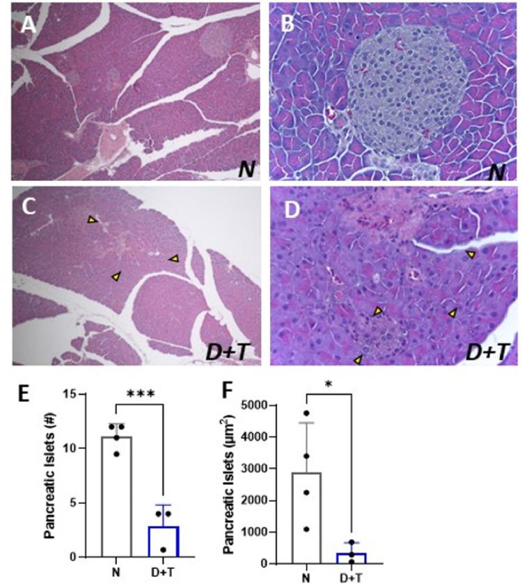
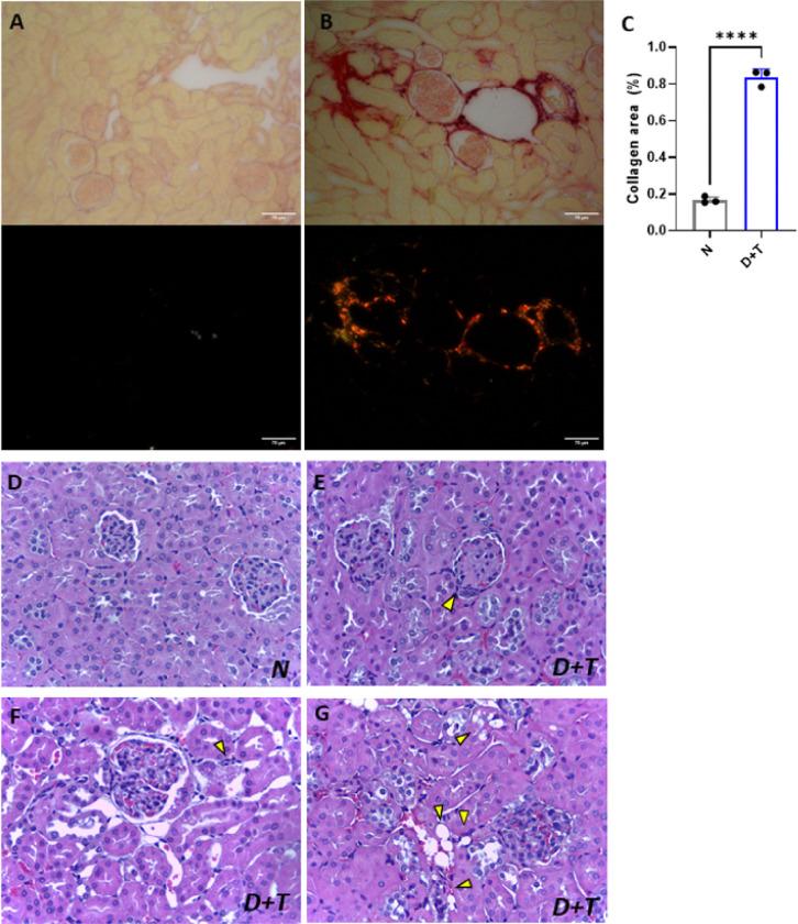
The study of type 2 diabetes mellitus (T2DM) pathophysiology relies mainly on the use of animal models, the most common of which involves the consumption of high-fat diets comprising 60% calories from fat. Although these models reproduce the onset and most complications associated with T2DM, they do not accurately mimic human dietary patterns, as they lack the addition of carbohydrates such as fructose. This study aimed to develop a C57BL/6 mouse model of T2DM that mimics the disease, as occurs in younger individuals, via a medium-fat diet (34.5% kcal from fat) combined with a 20% fructose solution as drinking water and a single low-dose of streptozotocin (STZ) (100 mg/kg), a diabetogenic drug. At week 20, D + T mice exhibited significant weight gain and elevated fasting blood glucose levels compared with those of control mice and the development of insulin resistance. Similarly, the circulating levels of hepatic enzymes (GPT, GOT, and alkaline phosphatase), total cholesterol, and LDL increased. Multi-organ damage, including reduced pancreatic islet size and number, severe hepatic steatosis, inflammatory infiltration in visceral adipose tissue, and cardiac and renal dysfunction, were also detected. The proposed model replicates T2DM in young mice by combining a medium-fat diet with fructose and STZ.

摘要

2型糖尿病(T2DM)病理生理学的研究主要依赖于动物模型的使用,其中最常见的是食用脂肪含量占60%热量的高脂肪饮食。尽管这些模型再现了与T2DM相关的发病过程和大多数并发症,但它们不能准确模拟人类的饮食模式,因为它们缺乏果糖等碳水化合物的添加。本研究旨在通过将中等脂肪饮食(脂肪提供34.5%千卡热量)与20%果糖溶液作为饮用水以及单次低剂量链脲佐菌素(STZ)(100毫克/千克)(一种致糖尿病药物)相结合,建立一种模仿年轻个体中发生的T2DM疾病的C57BL/6小鼠模型。在第20周时,与对照小鼠相比,D + T组小鼠体重显著增加,空腹血糖水平升高,且出现胰岛素抵抗。同样,肝酶(谷丙转氨酶、谷草转氨酶和碱性磷酸酶)、总胆固醇和低密度脂蛋白的循环水平也升高。还检测到多器官损伤,包括胰岛大小和数量减少、严重肝脂肪变性、内脏脂肪组织炎症浸润以及心脏和肾功能障碍。所提出的模型通过将中等脂肪饮食与果糖和STZ相结合,在年轻小鼠中复制了T2DM。

https://cdn.ncbi.nlm.nih.gov/pmc/blobs/0033/11952668/4abd95c3c2ee/nihpp-rs5920886v1-f0001.jpg

文献AI研究员

20分钟写一篇综述,助力文献阅读效率提升50倍。

立即体验

用中文搜PubMed

大模型驱动的PubMed中文搜索引擎

马上搜索

文档翻译

学术文献翻译模型,支持多种主流文档格式。

立即体验