• 文献检索
  • 文档翻译
  • 深度研究
  • 学术资讯
  • Suppr Zotero 插件Zotero 插件
  • 邀请有礼
  • 套餐&价格
  • 历史记录
应用&插件
Suppr Zotero 插件Zotero 插件浏览器插件Mac 客户端Windows 客户端微信小程序
定价
高级版会员购买积分包购买API积分包
服务
文献检索文档翻译深度研究API 文档MCP 服务
关于我们
关于 Suppr公司介绍联系我们用户协议隐私条款
关注我们

Suppr 超能文献

核心技术专利:CN118964589B侵权必究
粤ICP备2023148730 号-1Suppr @ 2026

文献检索

告别复杂PubMed语法,用中文像聊天一样搜索,搜遍4000万医学文献。AI智能推荐,让科研检索更轻松。

立即免费搜索

文件翻译

保留排版,准确专业,支持PDF/Word/PPT等文件格式,支持 12+语言互译。

免费翻译文档

深度研究

AI帮你快速写综述,25分钟生成高质量综述,智能提取关键信息,辅助科研写作。

立即免费体验

集成机器学习构建了一种与昼夜节律相关的模型,以评估肝细胞癌的临床结局和治疗优势。

Integrated machine learning constructed a circadian-rhythm-related model to assess clinical outcomes and therapeutic advantages in hepatocellular carcinoma.

作者信息

Xu Ziyuan, Huang Wei, Zou Xi, Liu Shenlin

机构信息

Department of Oncology, Affiliated Hospital of Nanjing University of Chinese Medicine, Nanjing, China.

No. 1 Clinical Medical College, Nanjing University of Chinese Medicine, Nanjing, China.

出版信息

Transl Cancer Res. 2025 Mar 30;14(3):1799-1823. doi: 10.21037/tcr-24-1155. Epub 2025 Mar 18.

DOI:10.21037/tcr-24-1155
PMID:40224982
原文链接:https://pmc.ncbi.nlm.nih.gov/articles/PMC11985180/
Abstract

BACKGROUND

Circadian rhythm (CR) coordinates a variety of internal biological processes with the external daily cycles of light and dark. However, the implications of CR-related regulator in hepatocellular carcinoma (HCC) are quite obscure. Here, we aimed to identify pivotal CR-related markers in HCC for predicting survival and treatment outcomes.

METHODS

The prognostic value of CR regulators in HCC was analyzed. Multi-step machine learning feature selection approaches were employed to establish a model. Thereafter, we evaluated its capacity of clinical prediction and treatment guidance.

RESULTS

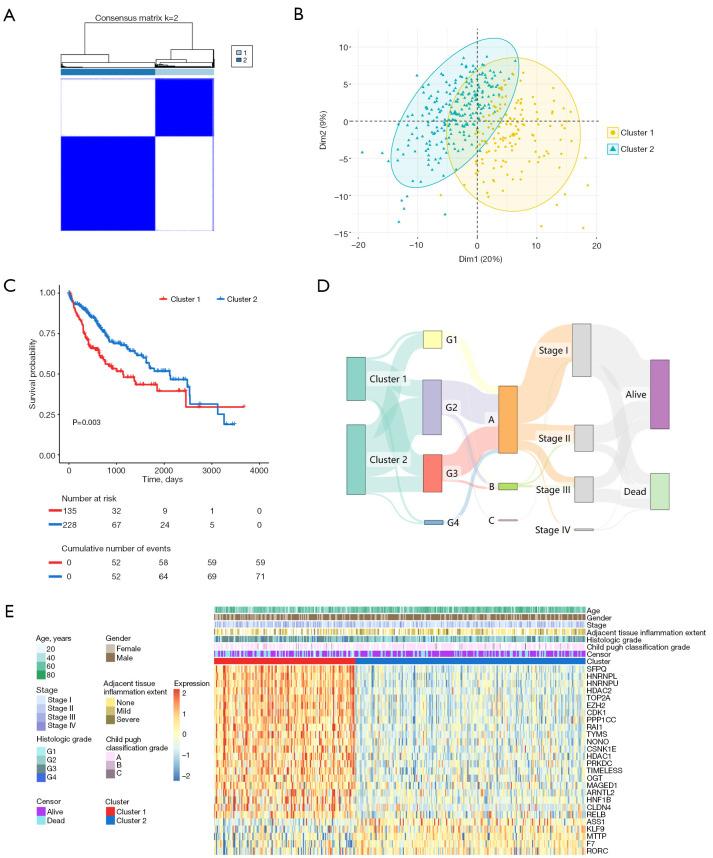
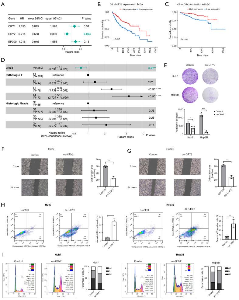
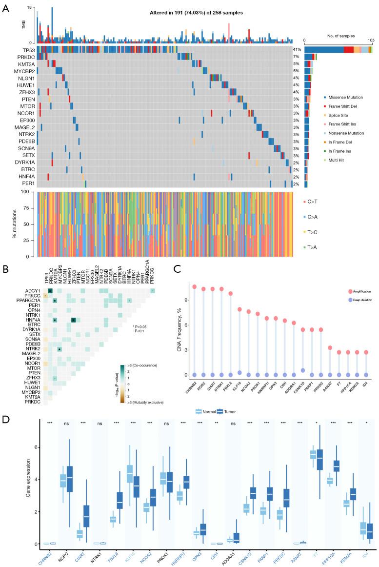
First, we depicted the prognostic stratification value of CR regulators in HCC. Two CR-related phenotypes were identified, revealing a distinct clinical outcome, biological pathways and drug sensitivity. Subsequently, via four topological approaches and differentially expressed genes (DEGs) from real-world cohorts, we screened out CRY2 as the pivotal CR regulator with significant prognostic value in HCC. We performed the relevant basic assay validation for CRY2. Overexpression of CRY2 inhibited the proliferation and migration abilities of Huh7 and Hep3B cells. Moreover, three machine learning algorithms [random forest (RF), extreme gradient boosting (XGBoost) and least absolute shrinkage and selection operator (LASSO)] were implemented to construct a risk-scoring model named CR predictor, which exhibited clinical benefits and therapeutic advantages for HCC. An online nomogram based on CR predictor was developed for predicting individualized survival (https://lihc.shinyapps.io/CR_predictor/). Finally, Mendelian randomization (MR) was performed. Among model genes in CR predictor, PPARGC1A revealed a significant causal effect on HCC.

CONCLUSIONS

We proposed a CR-related risk classifier in HCC, to predict patients' overall survival (OS) and therapeutic response. Targeting CR could be a promising treatment modality against HCC.

摘要

背景

昼夜节律(CR)将各种内部生物过程与外部的昼夜光暗循环协调起来。然而,CR相关调节因子在肝细胞癌(HCC)中的意义尚不清楚。在此,我们旨在识别HCC中关键的CR相关标志物,以预测生存和治疗结果。

方法

分析CR调节因子在HCC中的预后价值。采用多步机器学习特征选择方法建立模型。此后,我们评估了其临床预测和治疗指导能力。

结果

首先,我们描述了CR调节因子在HCC中的预后分层价值。识别出两种CR相关表型,揭示了不同的临床结果、生物学途径和药物敏感性。随后,通过四种拓扑方法和来自真实世界队列的差异表达基因(DEG),我们筛选出CRY2作为在HCC中具有显著预后价值的关键CR调节因子。我们对CRY2进行了相关的基础实验验证。CRY2的过表达抑制了Huh7和Hep3B细胞的增殖和迁移能力。此外,实施了三种机器学习算法[随机森林(RF)、极端梯度提升(XGBoost)和最小绝对收缩和选择算子(LASSO)]来构建一个名为CR预测器的风险评分模型,该模型对HCC具有临床益处和治疗优势。开发了一个基于CR预测器的在线列线图,用于预测个体生存(https://lihc.shinyapps.io/CR_predictor/)。最后,进行了孟德尔随机化(MR)分析。在CR预测器的模型基因中,PPARGC1A对HCC显示出显著的因果效应。

结论

我们提出了一种HCC中与CR相关的风险分类器,以预测患者的总生存期(OS)和治疗反应。靶向CR可能是一种有前景的HCC治疗方式。

https://cdn.ncbi.nlm.nih.gov/pmc/blobs/96c7/11985180/d2a908eda7d6/tcr-14-03-1799-f12.jpg
https://cdn.ncbi.nlm.nih.gov/pmc/blobs/96c7/11985180/ac79140267e2/tcr-14-03-1799-f1.jpg
https://cdn.ncbi.nlm.nih.gov/pmc/blobs/96c7/11985180/86aeb4bfd6cf/tcr-14-03-1799-f2.jpg
https://cdn.ncbi.nlm.nih.gov/pmc/blobs/96c7/11985180/51f918d9a4ff/tcr-14-03-1799-f3.jpg
https://cdn.ncbi.nlm.nih.gov/pmc/blobs/96c7/11985180/7402cc32607d/tcr-14-03-1799-f4.jpg
https://cdn.ncbi.nlm.nih.gov/pmc/blobs/96c7/11985180/c7967ec5a27b/tcr-14-03-1799-f5.jpg
https://cdn.ncbi.nlm.nih.gov/pmc/blobs/96c7/11985180/68c9017f4eeb/tcr-14-03-1799-f6.jpg
https://cdn.ncbi.nlm.nih.gov/pmc/blobs/96c7/11985180/a11de432e74e/tcr-14-03-1799-f7.jpg
https://cdn.ncbi.nlm.nih.gov/pmc/blobs/96c7/11985180/04ff43686f0d/tcr-14-03-1799-f8.jpg
https://cdn.ncbi.nlm.nih.gov/pmc/blobs/96c7/11985180/64950bf6e4a0/tcr-14-03-1799-f9.jpg
https://cdn.ncbi.nlm.nih.gov/pmc/blobs/96c7/11985180/29832d85c469/tcr-14-03-1799-f10.jpg
https://cdn.ncbi.nlm.nih.gov/pmc/blobs/96c7/11985180/2ed4bcd17560/tcr-14-03-1799-f11.jpg
https://cdn.ncbi.nlm.nih.gov/pmc/blobs/96c7/11985180/d2a908eda7d6/tcr-14-03-1799-f12.jpg
https://cdn.ncbi.nlm.nih.gov/pmc/blobs/96c7/11985180/ac79140267e2/tcr-14-03-1799-f1.jpg
https://cdn.ncbi.nlm.nih.gov/pmc/blobs/96c7/11985180/86aeb4bfd6cf/tcr-14-03-1799-f2.jpg
https://cdn.ncbi.nlm.nih.gov/pmc/blobs/96c7/11985180/51f918d9a4ff/tcr-14-03-1799-f3.jpg
https://cdn.ncbi.nlm.nih.gov/pmc/blobs/96c7/11985180/7402cc32607d/tcr-14-03-1799-f4.jpg
https://cdn.ncbi.nlm.nih.gov/pmc/blobs/96c7/11985180/c7967ec5a27b/tcr-14-03-1799-f5.jpg
https://cdn.ncbi.nlm.nih.gov/pmc/blobs/96c7/11985180/68c9017f4eeb/tcr-14-03-1799-f6.jpg
https://cdn.ncbi.nlm.nih.gov/pmc/blobs/96c7/11985180/a11de432e74e/tcr-14-03-1799-f7.jpg
https://cdn.ncbi.nlm.nih.gov/pmc/blobs/96c7/11985180/04ff43686f0d/tcr-14-03-1799-f8.jpg
https://cdn.ncbi.nlm.nih.gov/pmc/blobs/96c7/11985180/64950bf6e4a0/tcr-14-03-1799-f9.jpg
https://cdn.ncbi.nlm.nih.gov/pmc/blobs/96c7/11985180/29832d85c469/tcr-14-03-1799-f10.jpg
https://cdn.ncbi.nlm.nih.gov/pmc/blobs/96c7/11985180/2ed4bcd17560/tcr-14-03-1799-f11.jpg
https://cdn.ncbi.nlm.nih.gov/pmc/blobs/96c7/11985180/d2a908eda7d6/tcr-14-03-1799-f12.jpg

相似文献

1
Integrated machine learning constructed a circadian-rhythm-related model to assess clinical outcomes and therapeutic advantages in hepatocellular carcinoma.集成机器学习构建了一种与昼夜节律相关的模型,以评估肝细胞癌的临床结局和治疗优势。
Transl Cancer Res. 2025 Mar 30;14(3):1799-1823. doi: 10.21037/tcr-24-1155. Epub 2025 Mar 18.
2
Establishment and Validation of the Novel Necroptosis-related Genes for Predicting Stemness and Immunity of Hepatocellular Carcinoma Machine-learning Algorithm.用于预测肝细胞癌干性和免疫性的新型坏死性凋亡相关基因的建立与验证 机器学习算法
Comb Chem High Throughput Screen. 2025;28(1):146-165. doi: 10.2174/0113862073271292231108113547.
3
Prognosis prediction and risk stratification of transarterial chemoembolization or intraarterial chemotherapy for unresectable hepatocellular carcinoma based on machine learning.基于机器学习的经动脉化疗栓塞术或动脉内化疗对不可切除肝细胞癌的预后预测及风险分层
Eur Radiol. 2024 Aug;34(8):5094-5107. doi: 10.1007/s00330-024-10581-2. Epub 2024 Jan 30.
4
Prognostic model for hepatocellular carcinoma based on anoikis-related genes: immune landscape analysis and prediction of drug sensitivity.基于失巢凋亡相关基因的肝细胞癌预后模型:免疫景观分析与药物敏感性预测
Front Med (Lausanne). 2023 Jul 12;10:1232814. doi: 10.3389/fmed.2023.1232814. eCollection 2023.
5
Gadoxetic acid-enhanced MRI for identifying cholangiocyte phenotype hepatocellular carcinoma by interpretable machine learning: individual application of SHAP.钆塞酸增强磁共振成像通过可解释机器学习识别胆管细胞型肝细胞癌:SHAP的个体应用
BMC Cancer. 2025 Apr 28;25(1):788. doi: 10.1186/s12885-025-14147-3.
6
A prognostic model based on seven immune-related genes predicts the overall survival of patients with hepatocellular carcinoma.基于七个免疫相关基因的预后模型可预测肝细胞癌患者的总生存期。
BioData Min. 2021 May 7;14(1):29. doi: 10.1186/s13040-021-00261-y.
7
Comprehensive analysis of immune-related gene signature based on ssGSEA algorithms in the prognosis and immune landscape of hepatocellular carcinoma.基于单样本基因集富集分析(ssGSEA)算法的免疫相关基因特征在肝细胞癌预后及免疫格局中的综合分析
Front Genet. 2022 Dec 9;13:1064432. doi: 10.3389/fgene.2022.1064432. eCollection 2022.
8
Mitochondrial permeability transition drives the expression, identification and validation of necrosis-related genes in prognostic risk models of hepatocellular carcinoma.线粒体通透性转换驱动肝细胞癌预后风险模型中坏死相关基因的表达、鉴定及验证。
Transl Cancer Res. 2025 Feb 28;14(2):1037-1052. doi: 10.21037/tcr-24-1442. Epub 2025 Feb 26.
9
Development and validation of a basement membrane-associated immune prognostic model for hepatocellular carcinoma.一种用于肝细胞癌的基底膜相关免疫预后模型的开发与验证
Transl Gastroenterol Hepatol. 2025 Feb 23;10:28. doi: 10.21037/tgh-24-89. eCollection 2025.
10
Comprehensive analysis to identify the neurotransmitter receptor-related genes as prognostic and therapeutic biomarkers in hepatocellular carcinoma.综合分析以鉴定神经递质受体相关基因作为肝细胞癌的预后和治疗生物标志物。
Front Cell Dev Biol. 2022 Aug 5;10:887076. doi: 10.3389/fcell.2022.887076. eCollection 2022.

本文引用的文献

1
Circadian tumor infiltration and function of CD8 T cells dictate immunotherapy efficacy.昼夜节律性肿瘤浸润和 CD8 T 细胞功能决定免疫治疗效果。
Cell. 2024 May 23;187(11):2690-2702.e17. doi: 10.1016/j.cell.2024.04.015. Epub 2024 May 8.
2
Global cancer statistics 2022: GLOBOCAN estimates of incidence and mortality worldwide for 36 cancers in 185 countries.2022 年全球癌症统计数据:全球 185 个国家和地区 36 种癌症的发病率和死亡率全球估计数。
CA Cancer J Clin. 2024 May-Jun;74(3):229-263. doi: 10.3322/caac.21834. Epub 2024 Apr 4.
3
Association of Peroxisome Proliferator-Activated Receptor Gamma Coactivator 1 Alpha Coding Variants with Hepatocellular Carcinoma Risk in the Moroccan Population: A Case-Control Study.
过氧化物酶体增殖物激活受体 γ 共激活因子 1α 编码变异与摩洛哥人群肝细胞癌风险的关联:一项病例对照研究。
Asian Pac J Cancer Prev. 2023 Nov 1;24(11):3689-3696. doi: 10.31557/APJCP.2023.24.11.3689.
4
Circadian Clock Regulation via Biomaterials for Nucleus Pulposus.生物钟调控生物材料在椎间盘的应用
Adv Mater. 2023 Aug;35(32):e2301037. doi: 10.1002/adma.202301037. Epub 2023 May 28.
5
Metabolism and exercise: the skeletal muscle clock takes centre stage.新陈代谢与运动:骨骼肌生物钟成为焦点。
Nat Rev Endocrinol. 2023 May;19(5):272-284. doi: 10.1038/s41574-023-00805-8. Epub 2023 Feb 1.
6
GSCA: an integrated platform for gene set cancer analysis at genomic, pharmacogenomic and immunogenomic levels.GSCA:一个用于在基因组、药物基因组学和免疫基因组学水平进行基因集癌症分析的综合平台。
Brief Bioinform. 2023 Jan 19;24(1). doi: 10.1093/bib/bbac558.
7
Dendritic cells direct circadian anti-tumour immune responses.树突状细胞指导昼夜节律抗肿瘤免疫反应。
Nature. 2023 Feb;614(7946):136-143. doi: 10.1038/s41586-022-05605-0. Epub 2022 Dec 5.
8
Global epidemiology of alcohol-associated cirrhosis and HCC: trends, projections and risk factors.全球酒精性肝硬化和 HCC 的流行病学:趋势、预测和危险因素。
Nat Rev Gastroenterol Hepatol. 2023 Jan;20(1):37-49. doi: 10.1038/s41575-022-00688-6. Epub 2022 Oct 18.
9
CRY2 isoform selectivity of a circadian clock modulator with antiglioblastoma efficacy.具有抗神经胶质瘤功效的生物钟调节剂对 CRY2 异构体的选择性。
Proc Natl Acad Sci U S A. 2022 Oct 4;119(40):e2203936119. doi: 10.1073/pnas.2203936119. Epub 2022 Sep 26.
10
The metastatic spread of breast cancer accelerates during sleep.乳腺癌的转移在睡眠期间加速。
Nature. 2022 Jul;607(7917):156-162. doi: 10.1038/s41586-022-04875-y. Epub 2022 Jun 22.