• 文献检索
  • 文档翻译
  • 深度研究
  • 学术资讯
  • Suppr Zotero 插件Zotero 插件
  • 邀请有礼
  • 套餐&价格
  • 历史记录
应用&插件
Suppr Zotero 插件Zotero 插件浏览器插件Mac 客户端Windows 客户端微信小程序
定价
高级版会员购买积分包购买API积分包
服务
文献检索文档翻译深度研究API 文档MCP 服务
关于我们
关于 Suppr公司介绍联系我们用户协议隐私条款
关注我们

Suppr 超能文献

核心技术专利:CN118964589B侵权必究
粤ICP备2023148730 号-1Suppr @ 2026

文献检索

告别复杂PubMed语法,用中文像聊天一样搜索,搜遍4000万医学文献。AI智能推荐,让科研检索更轻松。

立即免费搜索

文件翻译

保留排版,准确专业,支持PDF/Word/PPT等文件格式,支持 12+语言互译。

免费翻译文档

深度研究

AI帮你快速写综述,25分钟生成高质量综述,智能提取关键信息,辅助科研写作。

立即免费体验

纯化马铃薯蛋白酶抑制剂的抗黑色素瘤活性及潜在机制

Anti-Melanoma Activity and Potential Mechanism of Purified Potato Protease Inhibitor.

作者信息

Li Qiuyan, Jiang Lu, Chen Ni, Wang Xingzhi, Yao Jiajun, Su Zhien, Zhao Suqing

机构信息

Department of Pharmaceutical Engineering, School of Biomedical and Pharmaceutical Sciences, Guangdong University of Technology, Guangzhou 510006, China.

Department of Biomedical Engineering, School of Biomedical and Pharmaceutical Sciences, Guangdong University of Technology, Guangzhou 510006, China.

出版信息

Foods. 2025 Mar 18;14(6):1026. doi: 10.3390/foods14061026.

DOI:10.3390/foods14061026
PMID:40232104
原文链接:https://pmc.ncbi.nlm.nih.gov/articles/PMC11941659/
Abstract

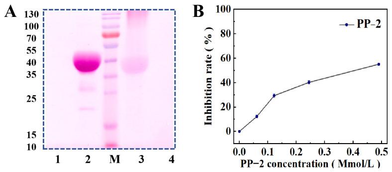
Melanoma is one of the most lethal cancers originating from melanocytes. Its incidence and mortality have been rising rapidly for several decades and have posed a serious threat to human health. Current melanoma treatments are hindered by the scope of application, low efficiency, high cost, and toxic side effects. Due to their affordability and minimal side effects, natural bioactive compounds derived from plants are promising candidates for melanoma treatment. This study aims to delve into the isolation, purification, and characterization of potato proteins and to explore their potential in melanoma treatment. Two potato proteins, patatin PP-1 and aspartate protease inhibitor PP-2, were isolated and purified by a newly developed method in this work, and their physicochemical properties were systematically characterized. Both potato proteins showed great antiproliferative activities and migration inhibition effects on melanoma cells. Meanwhile, Western blotting results illustrated that they could induce endogenous cell apoptosis by regulating the Bax/Bcl-2 pathway. Notably, aspartate protease inhibitor PP-2 demonstrated the best performance in inhibiting the growth and migration of melanoma cells, which might be attributed to the combined effect of its significant antioxidative activity and the inhibition effect of certain necessary protease activities in melanoma. This study provides valuable insights for developing nutraceuticals and therapeutic strategies against melanoma, which can lead to breakthroughs in melanoma treatment.

摘要

黑色素瘤是起源于黑素细胞的最致命癌症之一。几十年来,其发病率和死亡率一直在迅速上升,对人类健康构成了严重威胁。目前的黑色素瘤治疗受到应用范围、效率低、成本高和毒副作用等因素的阻碍。由于植物来源的天然生物活性化合物价格低廉且副作用最小,它们是治疗黑色素瘤的有前途的候选物。本研究旨在深入探讨马铃薯蛋白的分离、纯化和特性,并探索它们在黑色素瘤治疗中的潜力。在这项工作中,通过一种新开发的方法分离并纯化了两种马铃薯蛋白,即马铃薯块茎蛋白PP-1和天冬氨酸蛋白酶抑制剂PP-2,并系统地表征了它们的物理化学性质。两种马铃薯蛋白对黑色素瘤细胞均表现出很强的抗增殖活性和迁移抑制作用。同时,蛋白质印迹结果表明,它们可以通过调节Bax/Bcl-2途径诱导内源性细胞凋亡。值得注意的是,天冬氨酸蛋白酶抑制剂PP-2在抑制黑色素瘤细胞的生长和迁移方面表现最佳,这可能归因于其显著的抗氧化活性和对黑色素瘤中某些必需蛋白酶活性的抑制作用的综合效应。本研究为开发抗黑色素瘤的营养保健品和治疗策略提供了有价值的见解,有望在黑色素瘤治疗方面取得突破。

https://cdn.ncbi.nlm.nih.gov/pmc/blobs/6a47/11941659/4c8d705124a1/foods-14-01026-g013.jpg
https://cdn.ncbi.nlm.nih.gov/pmc/blobs/6a47/11941659/94ff1884259b/foods-14-01026-g001.jpg
https://cdn.ncbi.nlm.nih.gov/pmc/blobs/6a47/11941659/211319ef7fd6/foods-14-01026-g002.jpg
https://cdn.ncbi.nlm.nih.gov/pmc/blobs/6a47/11941659/bef306e3bce5/foods-14-01026-g003.jpg
https://cdn.ncbi.nlm.nih.gov/pmc/blobs/6a47/11941659/b569518d490f/foods-14-01026-g004.jpg
https://cdn.ncbi.nlm.nih.gov/pmc/blobs/6a47/11941659/991a4e01dffc/foods-14-01026-g005.jpg
https://cdn.ncbi.nlm.nih.gov/pmc/blobs/6a47/11941659/d3a4515ad70e/foods-14-01026-g006.jpg
https://cdn.ncbi.nlm.nih.gov/pmc/blobs/6a47/11941659/fd5dc4356f82/foods-14-01026-g007.jpg
https://cdn.ncbi.nlm.nih.gov/pmc/blobs/6a47/11941659/dd6fe17e79ce/foods-14-01026-g008.jpg
https://cdn.ncbi.nlm.nih.gov/pmc/blobs/6a47/11941659/408d4617c358/foods-14-01026-g009.jpg
https://cdn.ncbi.nlm.nih.gov/pmc/blobs/6a47/11941659/397c0b717c77/foods-14-01026-g010.jpg
https://cdn.ncbi.nlm.nih.gov/pmc/blobs/6a47/11941659/88919c97e454/foods-14-01026-g011.jpg
https://cdn.ncbi.nlm.nih.gov/pmc/blobs/6a47/11941659/70b2a0cffc4e/foods-14-01026-g012.jpg
https://cdn.ncbi.nlm.nih.gov/pmc/blobs/6a47/11941659/4c8d705124a1/foods-14-01026-g013.jpg
https://cdn.ncbi.nlm.nih.gov/pmc/blobs/6a47/11941659/94ff1884259b/foods-14-01026-g001.jpg
https://cdn.ncbi.nlm.nih.gov/pmc/blobs/6a47/11941659/211319ef7fd6/foods-14-01026-g002.jpg
https://cdn.ncbi.nlm.nih.gov/pmc/blobs/6a47/11941659/bef306e3bce5/foods-14-01026-g003.jpg
https://cdn.ncbi.nlm.nih.gov/pmc/blobs/6a47/11941659/b569518d490f/foods-14-01026-g004.jpg
https://cdn.ncbi.nlm.nih.gov/pmc/blobs/6a47/11941659/991a4e01dffc/foods-14-01026-g005.jpg
https://cdn.ncbi.nlm.nih.gov/pmc/blobs/6a47/11941659/d3a4515ad70e/foods-14-01026-g006.jpg
https://cdn.ncbi.nlm.nih.gov/pmc/blobs/6a47/11941659/fd5dc4356f82/foods-14-01026-g007.jpg
https://cdn.ncbi.nlm.nih.gov/pmc/blobs/6a47/11941659/dd6fe17e79ce/foods-14-01026-g008.jpg
https://cdn.ncbi.nlm.nih.gov/pmc/blobs/6a47/11941659/408d4617c358/foods-14-01026-g009.jpg
https://cdn.ncbi.nlm.nih.gov/pmc/blobs/6a47/11941659/397c0b717c77/foods-14-01026-g010.jpg
https://cdn.ncbi.nlm.nih.gov/pmc/blobs/6a47/11941659/88919c97e454/foods-14-01026-g011.jpg
https://cdn.ncbi.nlm.nih.gov/pmc/blobs/6a47/11941659/70b2a0cffc4e/foods-14-01026-g012.jpg
https://cdn.ncbi.nlm.nih.gov/pmc/blobs/6a47/11941659/4c8d705124a1/foods-14-01026-g013.jpg

相似文献

1
Anti-Melanoma Activity and Potential Mechanism of Purified Potato Protease Inhibitor.纯化马铃薯蛋白酶抑制剂的抗黑色素瘤活性及潜在机制
Foods. 2025 Mar 18;14(6):1026. doi: 10.3390/foods14061026.
2
Alantolactone Inhibits Melanoma Cell Culture Viability and Migration and Promotes Apoptosis by Inhibiting Wnt/β-Catenin Signaling.土木香内酯通过抑制 Wnt/β-连环蛋白信号通路抑制黑素瘤细胞活力和迁移并促进细胞凋亡。
Anticancer Agents Med Chem. 2023;23(1):94-104. doi: 10.2174/1871520622666220519100054.
3
Zebra chip disease decreases tuber (Solanum tuberosum L.) protein content by attenuating protease inhibitor levels and increasing protease activities.马铃薯斑纹片病通过降低蛋白酶抑制剂水平和增加蛋白酶活性来降低块茎(Solanum tuberosum L.)的蛋白质含量。
Planta. 2015 Nov;242(5):1153-66. doi: 10.1007/s00425-015-2346-9. Epub 2015 Jun 20.
4
Partial characterization, in vitro antioxidant and antiproliferative activities of patatin purified from potato fruit juice.从马铃薯果汁中纯化的 patatin 的部分特性、体外抗氧化和抗增殖活性。
Food Funct. 2013 Oct;4(10):1502-11. doi: 10.1039/c3fo60248f.
5
Relative abundance and inhibitory distribution of protease inhibitors in potato juice from cv. Elkana.来自埃尔卡纳品种马铃薯汁中蛋白酶抑制剂的相对丰度和抑制分布
J Agric Food Chem. 2001 Jun;49(6):2864-74. doi: 10.1021/jf010126v.
6
Developmentally linked changes in proteases and protease inhibitors suggest a role for potato multicystatin in regulating protein content of potato tubers.蛋白酶和蛋白酶抑制剂与发育相关的变化表明马铃薯多聚半胱氨酸蛋白酶抑制剂在调节马铃薯块茎蛋白质含量方面发挥作用。
Planta. 2009 Jun;230(1):73-84. doi: 10.1007/s00425-009-0928-0. Epub 2009 Apr 5.
7
Potato protein isolates: recovery and characterization of their properties.马铃薯蛋白分离物:其性能的回收与特性描述。
Food Chem. 2014 Jan 1;142:373-82. doi: 10.1016/j.foodchem.2013.07.060. Epub 2013 Jul 20.
8
Prosopis juliflora (Sw.) DC phytochemicals induce apoptosis and inhibit cell proliferation signaling pathways, EMT, migration, invasion, angiogenesis and stem cell markers in melanoma cell lines.普那菊苣(Sw.)DC 植物化学物质可诱导黑色素瘤细胞系细胞凋亡并抑制细胞增殖信号通路、上皮间质转化、迁移、侵袭、血管生成和干细胞标志物。
J Ethnopharmacol. 2023 Aug 10;312:116472. doi: 10.1016/j.jep.2023.116472. Epub 2023 Apr 14.
9
Antifungal and antimicrobial proteins and peptides of potato (Solanum tuberosum L.) tubers and their applications.马铃薯(Solanum tuberosum L.)块茎中的抗真菌和抗菌蛋白和肽及其应用。
Appl Microbiol Biotechnol. 2019 Jul;103(14):5533-5547. doi: 10.1007/s00253-019-09887-9. Epub 2019 May 29.
10
Pharmacological inhibition of USP7 suppresses growth and metastasis of melanoma cells in vitro and in vivo.USP7 的药理学抑制作用可抑制黑色素瘤细胞在体外和体内的生长和转移。
J Cell Mol Med. 2021 Oct;25(19):9228-9240. doi: 10.1111/jcmm.16834. Epub 2021 Sep 1.

本文引用的文献

1
Global trends in melanoma burden: A comprehensive analysis from the Global Burden of Disease Study, 1990-2021.黑色素瘤负担的全球趋势:1990 - 2021年全球疾病负担研究的综合分析
J Am Acad Dermatol. 2025 Jan;92(1):100-107. doi: 10.1016/j.jaad.2024.09.035. Epub 2024 Sep 27.
2
Proteasome inhibition enhances the anti-leukemic efficacy of chimeric antigen receptor (CAR) expressing NK cells against acute myeloid leukemia.蛋白酶体抑制增强了嵌合抗原受体 (CAR) 表达 NK 细胞对急性髓系白血病的抗白血病疗效。
J Hematol Oncol. 2024 Sep 16;17(1):85. doi: 10.1186/s13045-024-01604-y.
3
Millets: A Nutritional Powerhouse With Anti-cancer Potential.
小米:具有抗癌潜力的营养宝库。
Cureus. 2023 Oct 26;15(10):e47769. doi: 10.7759/cureus.47769. eCollection 2023 Oct.
4
Current Treatment Approaches and Global Consensus Guidelines for Brain Metastases in Melanoma.黑色素瘤脑转移的当前治疗方法和全球共识指南
Front Oncol. 2022 May 5;12:885472. doi: 10.3389/fonc.2022.885472. eCollection 2022.
5
Recent Advances in the Antiproliferative and Proapoptotic Activity of Various Plant Extracts and Constituents against Murine Malignant Melanoma.各种植物提取物和成分对鼠恶性黑色素瘤的抗增殖和促凋亡活性的最新进展。
Molecules. 2022 Apr 17;27(8):2585. doi: 10.3390/molecules27082585.
6
Global Burden of Cutaneous Melanoma in 2020 and Projections to 2040.2020 年全球皮肤黑色素瘤负担及 2040 年预测。
JAMA Dermatol. 2022 May 1;158(5):495-503. doi: 10.1001/jamadermatol.2022.0160.
7
Flow cytometric detection of hyper-polarized mitochondria in regulated and accidental cell death processes.流式细胞术检测调控性和意外性细胞死亡过程中超极化线粒体。
Apoptosis. 2020 Aug;25(7-8):548-557. doi: 10.1007/s10495-020-01613-5.
8
Stability of trypsin inhibitor isolated from potato fruit juice against pH and heating treatment and in vitro gastrointestinal digestion.从马铃薯果汁中分离的胰蛋白酶抑制剂在 pH 值和热处理以及体外胃肠道消化中的稳定性。
Food Chem. 2020 Oct 30;328:127152. doi: 10.1016/j.foodchem.2020.127152. Epub 2020 May 26.
9
New Systematic Therapies and Trends in Cutaneous Melanoma Deaths Among US Whites, 1986-2016.1986-2016 年美国白人皮肤黑色素瘤死亡的新系统治疗方法和趋势。
Am J Public Health. 2020 May;110(5):731-733. doi: 10.2105/AJPH.2020.305567. Epub 2020 Mar 19.
10
Burden of melanoma in China, 1990-2017: Findings from the 2017 global burden of disease study.中国 1990-2017 年黑色素瘤负担:2017 年全球疾病负担研究的结果。
Int J Cancer. 2020 Aug 1;147(3):692-701. doi: 10.1002/ijc.32764. Epub 2019 Nov 21.