• 文献检索
  • 文档翻译
  • 深度研究
  • 学术资讯
  • Suppr Zotero 插件Zotero 插件
  • 邀请有礼
  • 套餐&价格
  • 历史记录
应用&插件
Suppr Zotero 插件Zotero 插件浏览器插件Mac 客户端Windows 客户端微信小程序
定价
高级版会员购买积分包购买API积分包
服务
文献检索文档翻译深度研究API 文档MCP 服务
关于我们
关于 Suppr公司介绍联系我们用户协议隐私条款
关注我们

Suppr 超能文献

核心技术专利:CN118964589B侵权必究
粤ICP备2023148730 号-1Suppr @ 2026

文献检索

告别复杂PubMed语法,用中文像聊天一样搜索,搜遍4000万医学文献。AI智能推荐,让科研检索更轻松。

立即免费搜索

文件翻译

保留排版,准确专业,支持PDF/Word/PPT等文件格式,支持 12+语言互译。

免费翻译文档

深度研究

AI帮你快速写综述,25分钟生成高质量综述,智能提取关键信息,辅助科研写作。

立即免费体验

碘乙酸钠诱导的大鼠骨关节炎模型中槲皮素和异鼠李素提取物的抗骨关节炎作用及机制评估

Evaluation of the anti-osteoarthritic effects and mechanisms of extract containing quercetin and isorhamnetin in a rat model of monosodium iodoacetate-induced osteoarthritis.

作者信息

Choi Yean-Jung, Jung Jae In, Bae Jaewoo, Lee Jae Kyoung, Kim Eun Ji

机构信息

Department of Food and Nutrition, Sahmyook University, Seoul, Republic of Korea.

Industry Coupled Cooperation Center for Bio Healthcare Materials, Hallym University, Chuncheon, Republic of Korea.

出版信息

Food Nutr Res. 2025 Apr 15;69. doi: 10.29219/fnr.v69.12173. eCollection 2025.

DOI:10.29219/fnr.v69.12173
PMID:40264489
原文链接:https://pmc.ncbi.nlm.nih.gov/articles/PMC12013599/
Abstract

BACKGROUND

Osteoarthritis (OA) is a degenerative joint disease characterized by cartilage degradation, subchondral bone erosion, and chronic inflammation. Current treatments primarily focus on symptom relief and have significant side effects, highlighting the need for safer, more effective alternatives. extract (CQE), containing bioactive flavonoids quercetin and isorhamnetin, has shown potential anti-inflammatory and cartilage-protective properties.

OBJECTIVE

This study aimed to investigate the anti-osteoarthritic effects and mechanisms of action of CQE in a monosodium iodoacetate (MIA)-induced OA rat model.

DESIGN

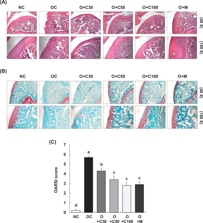
Sprague-Dawley (SD) rats were induced with OA through intra-articular injection of MIA and treated with CQE at doses of 30, 50, and 100 mg/kg body weight (BW)/day. The effects of CQE on knee joint damage, subchondral bone erosion, cartilage structure, proteoglycan content, and the expression of inflammatory mediators and matrix metalloproteinases (MMPs) were assessed using micro-computed tomography (micro-CT), histological staining, immunofluorescence, and real-time reverse transcription-polymerase chain reaction (RT-PCR).

RESULTS

CQE significantly mitigated knee joint damage, reduced subchondral bone erosion, and enhanced bone volume and trabecular structure in MIA-induced OA rats. It also preserved cartilage integrity by maintaining proteoglycan content and the expression of collagen type II alpha 1 (COL2A1) and aggrecan. Moreover, CQE suppressed the mRNA expression of inflammatory mediators [inducible nitric oxide synthase (iNOS), cyclooxygenase-2 (COX-2), and 5-lipoxygenase (5-LOX)], pro-inflammatory cytokines [interleukin (IL)-1β, IL-6, and tumor necrosis factor-α (TNF-α)], and MMPs (MMP-2, MMP-3, MMP-9, and MMP-13), indicating strong anti-inflammatory and cartilage-protective effects.

CONCLUSIONS

CQE exhibits significant therapeutic potential in managing OA by targeting multiple aspects of disease progression, including inflammation, cartilage degradation, and bone erosion. Further research is needed to explore long-term efficacy, safety, and the molecular mechanisms of CQE, as well as to validate these findings in human clinical trials.

摘要

背景

骨关节炎(OA)是一种退行性关节疾病,其特征为软骨降解、软骨下骨侵蚀和慢性炎症。目前的治疗主要集中于缓解症状且有显著副作用,这凸显了对更安全、更有效替代方案的需求。含有生物活性黄酮类化合物槲皮素和异鼠李素的提取物(CQE)已显示出潜在的抗炎和软骨保护特性。

目的

本研究旨在探讨CQE在碘乙酸钠(MIA)诱导的OA大鼠模型中的抗骨关节炎作用及作用机制。

设计

通过关节内注射MIA诱导Sprague-Dawley(SD)大鼠患OA,并以30、50和100毫克/千克体重(BW)/天的剂量用CQE进行治疗。使用微型计算机断层扫描(micro-CT)、组织学染色、免疫荧光和实时逆转录-聚合酶链反应(RT-PCR)评估CQE对膝关节损伤、软骨下骨侵蚀、软骨结构、蛋白聚糖含量以及炎症介质和基质金属蛋白酶(MMPs)表达的影响。

结果

CQE显著减轻了MIA诱导的OA大鼠的膝关节损伤,减少了软骨下骨侵蚀,并增加了骨体积和小梁结构。它还通过维持蛋白聚糖含量以及Ⅱ型胶原α1(COL2A1)和聚集蛋白聚糖的表达来保持软骨完整性。此外,CQE抑制了炎症介质[诱导型一氧化氮合酶(iNOS)、环氧化酶-2(COX-2)和5-脂氧合酶(5-LOX)]、促炎细胞因子[白细胞介素(IL)-1β、IL-6和肿瘤坏死因子-α(TNF-α)]以及MMPs(MMP-2、MMP-3、MMP-9和MMP-13)的mRNA表达,表明其具有强大的抗炎和软骨保护作用。

结论

CQE通过针对疾病进展的多个方面,包括炎症、软骨降解和骨侵蚀,在治疗OA方面展现出显著的治疗潜力。需要进一步研究以探索CQE的长期疗效、安全性及其分子机制,并在人类临床试验中验证这些发现。

https://cdn.ncbi.nlm.nih.gov/pmc/blobs/bdd0/12013599/581baa5f7265/FNR-69-12173-g007.jpg
https://cdn.ncbi.nlm.nih.gov/pmc/blobs/bdd0/12013599/8383aa380723/FNR-69-12173-g001.jpg
https://cdn.ncbi.nlm.nih.gov/pmc/blobs/bdd0/12013599/5794a47a9b4a/FNR-69-12173-g002.jpg
https://cdn.ncbi.nlm.nih.gov/pmc/blobs/bdd0/12013599/b0bb0a18ac90/FNR-69-12173-g003.jpg
https://cdn.ncbi.nlm.nih.gov/pmc/blobs/bdd0/12013599/fa7028557425/FNR-69-12173-g004.jpg
https://cdn.ncbi.nlm.nih.gov/pmc/blobs/bdd0/12013599/98b0dafdbbc7/FNR-69-12173-g005.jpg
https://cdn.ncbi.nlm.nih.gov/pmc/blobs/bdd0/12013599/d6c8081dc889/FNR-69-12173-g006.jpg
https://cdn.ncbi.nlm.nih.gov/pmc/blobs/bdd0/12013599/581baa5f7265/FNR-69-12173-g007.jpg
https://cdn.ncbi.nlm.nih.gov/pmc/blobs/bdd0/12013599/8383aa380723/FNR-69-12173-g001.jpg
https://cdn.ncbi.nlm.nih.gov/pmc/blobs/bdd0/12013599/5794a47a9b4a/FNR-69-12173-g002.jpg
https://cdn.ncbi.nlm.nih.gov/pmc/blobs/bdd0/12013599/b0bb0a18ac90/FNR-69-12173-g003.jpg
https://cdn.ncbi.nlm.nih.gov/pmc/blobs/bdd0/12013599/fa7028557425/FNR-69-12173-g004.jpg
https://cdn.ncbi.nlm.nih.gov/pmc/blobs/bdd0/12013599/98b0dafdbbc7/FNR-69-12173-g005.jpg
https://cdn.ncbi.nlm.nih.gov/pmc/blobs/bdd0/12013599/d6c8081dc889/FNR-69-12173-g006.jpg
https://cdn.ncbi.nlm.nih.gov/pmc/blobs/bdd0/12013599/581baa5f7265/FNR-69-12173-g007.jpg

相似文献

1
Evaluation of the anti-osteoarthritic effects and mechanisms of extract containing quercetin and isorhamnetin in a rat model of monosodium iodoacetate-induced osteoarthritis.碘乙酸钠诱导的大鼠骨关节炎模型中槲皮素和异鼠李素提取物的抗骨关节炎作用及机制评估
Food Nutr Res. 2025 Apr 15;69. doi: 10.29219/fnr.v69.12173. eCollection 2025.
2
Evaluating the Anti-Osteoarthritis Potential of Standardized Gum Resin Extract in Alleviating Knee Joint Pathology and Inflammation in Osteoarthritis-Induced Models.评估标准化 Gum 树脂提取物缓解骨关节炎模型膝关节病理和炎症的抗骨关节炎潜力。
Int J Mol Sci. 2024 Mar 12;25(6):3218. doi: 10.3390/ijms25063218.
3
Resveratrol, a natural antioxidant, protects monosodium iodoacetate-induced osteoarthritic pain in rats.白藜芦醇,一种天然抗氧化剂,可保护大鼠碘酸钠诱导的骨关节炎疼痛。
Biomed Pharmacother. 2016 Oct;83:763-770. doi: 10.1016/j.biopha.2016.06.050. Epub 2016 Jul 30.
4
Isorhamnetin ameliorates inflammatory responses and articular cartilage damage in the rats of monosodium iodoacetate-induced osteoarthritis.异鼠李素可改善碘乙酸钠诱导的骨关节炎大鼠的炎症反应和关节软骨损伤。
Immunopharmacol Immunotoxicol. 2019 Aug;41(4):504-512. doi: 10.1080/08923973.2019.1641723. Epub 2019 Jul 25.
5
Time-Dependent Effect of Eggshell Membrane on Monosodium-Iodoacetate-Induced Osteoarthritis: Early-Stage Inflammation Control and Late-Stage Cartilage Protection.蛋壳膜对碘乙酸单钠诱导的骨关节炎的时间依赖性影响:早期炎症控制和晚期软骨保护。
Nutrients. 2024 Jun 14;16(12):1885. doi: 10.3390/nu16121885.
6
A Blend of and Extracts Alleviates Monosodium Iodoacetate (MIA)-Induced Osteoarthritic Pain and Joint Inflammation in Rats.和提取物的混合物可缓解碘乙酸单钠(MIA)诱导的大鼠骨关节炎性疼痛和关节炎症。
J Am Nutr Assoc. 2024 Jan;43(1):48-58. doi: 10.1080/27697061.2023.2209880. Epub 2023 May 24.
7
Root Extract Attenuates Osteoarthritis Progression by Inhibiting Inflammation and Cartilage Degradation in Interleukin-1β and Monosodium Iodoacetate-Induced Osteoarthritis Models.根提取物通过抑制白细胞介素 1β和碘酸钠诱导的骨关节炎模型中的炎症和软骨降解来减轻骨关节炎的进展。
Nutrients. 2024 Nov 14;16(22):3882. doi: 10.3390/nu16223882.
8
Transglutaminase 2 inhibitors attenuate osteoarthritic degeneration of TMJ-osteoarthritis by suppressing NF-κB activation.转谷氨酰胺酶2抑制剂通过抑制核因子κB激活减轻颞下颌关节骨关节炎的骨关节炎性退变。
Int Immunopharmacol. 2023 Jan;114:109486. doi: 10.1016/j.intimp.2022.109486. Epub 2022 Dec 9.
9
Cartilage protective and anti-analgesic effects of ALM16 on monosodium iodoacetate induced osteoarthritis in rats.ALM16 对碘乙酸钠诱导的大鼠骨关节炎的软骨保护和抗镇痛作用。
BMC Complement Altern Med. 2019 Nov 21;19(1):325. doi: 10.1186/s12906-019-2746-7.
10
FlexPro MD®, a Combination of Krill Oil, Astaxanthin and Hyaluronic Acid, Reduces Pain Behavior and Inhibits Inflammatory Response in Monosodium Iodoacetate-Induced Osteoarthritis in Rats.FlexPro MD ® ,一种磷虾油、虾青素和透明质酸的组合,可减轻大鼠碘乙酸钠诱导的骨关节炎的疼痛行为并抑制炎症反应。
Nutrients. 2020 Mar 30;12(4):956. doi: 10.3390/nu12040956.

本文引用的文献

1
Quercetin-3-O-β-D-glucuronide attenuates osteoarthritis by inhibiting cartilage extracellular matrix degradation and inflammation.槲皮素-3-O-β-D-葡萄糖醛酸苷通过抑制软骨细胞外基质降解和炎症反应来减轻骨关节炎。
J Orthop Translat. 2024 Apr 5;45:236-246. doi: 10.1016/j.jot.2024.01.007. eCollection 2024 Mar.
2
Evaluating the Anti-Osteoarthritis Potential of Standardized Gum Resin Extract in Alleviating Knee Joint Pathology and Inflammation in Osteoarthritis-Induced Models.评估标准化 Gum 树脂提取物缓解骨关节炎模型膝关节病理和炎症的抗骨关节炎潜力。
Int J Mol Sci. 2024 Mar 12;25(6):3218. doi: 10.3390/ijms25063218.
3
Recent Advances in Potential Health Benefits of Quercetin.
槲皮素潜在健康益处的最新进展
Pharmaceuticals (Basel). 2023 Jul 18;16(7):1020. doi: 10.3390/ph16071020.
4
Osteoarthritis, part of life or a curable disease? A bird's-eye view.骨关节炎,生命的一部分还是可治愈的疾病?鸟瞰全局。
J Intern Med. 2023 Jun;293(6):681-693. doi: 10.1111/joim.13634. Epub 2023 Apr 2.
5
Quercetin prevents osteoarthritis progression possibly via regulation of local and systemic inflammatory cascades.槲皮素可能通过调节局部和全身炎症级联反应来预防骨关节炎的进展。
J Cell Mol Med. 2023 Feb;27(4):515-528. doi: 10.1111/jcmm.17672. Epub 2023 Feb 1.
6
Overview of Anti-Inflammatory and Anti-Nociceptive Effects of Polyphenols to Halt Osteoarthritis: From Preclinical Studies to New Clinical Insights.多酚类物质抑制骨关节炎炎症和镇痛作用的概述:从临床前研究到新的临床见解。
Int J Mol Sci. 2022 Dec 13;23(24):15861. doi: 10.3390/ijms232415861.
7
Microbial biocatalysis of quercetin-3-glucoside and isorhamnetin-3-glucoside in and their contribution to improved anti-inflammatory activity.槲皮素-3-葡萄糖苷和异鼠李素-3-葡萄糖苷在体内的微生物生物催化作用及其对改善抗炎活性的贡献。
RSC Adv. 2020 Feb 3;10(9):5339-5350. doi: 10.1039/c9ra08059g. eCollection 2020 Jan 29.
8
Anti-inflammatory activity of palmitoylethanolamide ameliorates osteoarthritis induced by monosodium iodoacetate in Sprague-Dawley rats.棕榈酰乙醇酰胺的抗炎活性可改善碘乙酸单钠诱导的 Sprague-Dawley 大鼠骨关节炎。
Inflammopharmacology. 2021 Oct;29(5):1475-1486. doi: 10.1007/s10787-021-00870-3. Epub 2021 Sep 1.
9
Cissus quadrangularis L: A comprehensive multidisciplinary review.四方藤(Cissus quadrangularis L.):全面的多学科综述。
J Ethnopharmacol. 2021 Oct 28;279:114355. doi: 10.1016/j.jep.2021.114355. Epub 2021 Jun 25.
10
Quercetin as an Agent for Protecting the Bone: A Review of the Current Evidence.槲皮素作为一种保护骨骼的药物:对现有证据的综述。
Int J Mol Sci. 2020 Sep 3;21(17):6448. doi: 10.3390/ijms21176448.