Suppr超能文献

成年患者侵袭性眼眶横纹肌肉瘤的多学科管理:病例报告及文献综述

Multidisciplinary Management of Aggressive Orbital Rhabdomyosarcoma in an Adult Patient: A Case Report and Literature Review.

作者信息

Afani Leila, Baladi Anas, Assabban Nazih, Benchamkha Yassine, Belbaraka Rhizlane

机构信息

Department of Medical Oncology, Centre Hospitalo-Universitaire (CHU) Mohammed VI, Marrakech, MAR.

Department of Plastic Surgery, Centre Hospitalo-Universitaire (CHU) Mohammed VI, Marrakech, MAR.

出版信息

Cureus. 2025 Apr 7;17(4):e81828. doi: 10.7759/cureus.81828. eCollection 2025 Apr.

Abstract

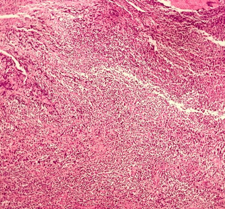
Embryonic rhabdomyosarcoma (RMS) is a common tumor in children. In adults, it is an extremely rare tumor. There are three histological subtypes: embryonic, alveolar, and pleomorphic RMS. Pleomorphic RMS is most common in adults. Orbital site is a common primary site in children. In adults, it is an unusual presentation site. Management of RMS is based on a multimodal approach, including surgery, radiotherapy, and chemotherapy. In the pediatric population, a multidisciplinary approach has been validated in prospective trials in Europe and the USA. In adults, there is no consensus on the management of these tumors in the absence of dedicated clinical trials. Management of adult RMS is based on pediatric guidelines and data from retrospective series of adults. The prognosis of RMS differs according to age. Adult RMS has worse survival than in children. We report a case of a 37-year-old female patient presenting with an orbital embryonic RMS. Treatment involved enucleation, but rapid local progression was observed. Chemotherapy was initiated, but evaluation after three cycles demonstrated significant tumor progression. Surgical intervention combined with radiotherapy was performed, followed by adjuvant chemotherapy. This case highlights the aggressive biology of embryonal RMS in adults and the role of a multimodal treatment approach.

摘要

胚胎性横纹肌肉瘤(RMS)是儿童常见的肿瘤。在成人中,它是一种极其罕见的肿瘤。有三种组织学亚型:胚胎型、腺泡型和多形性RMS。多形性RMS在成人中最为常见。眼眶部位是儿童常见的原发部位。在成人中,它是一种不常见的表现部位。RMS的治疗基于多模式方法,包括手术、放疗和化疗。在儿科人群中,多学科方法已在欧洲和美国的前瞻性试验中得到验证。在成人中,由于缺乏专门的临床试验,对于这些肿瘤的治疗尚无共识。成人RMS的治疗基于儿科指南和成人回顾性系列的数据。RMS的预后因年龄而异。成人RMS的生存率比儿童差。我们报告一例37岁女性患者,表现为眼眶胚胎性RMS。治疗包括眼球摘除,但观察到局部迅速进展。开始化疗,但三个周期后评估显示肿瘤明显进展。进行了手术干预联合放疗,随后进行辅助化疗。该病例突出了成人胚胎性RMS的侵袭性生物学特性以及多模式治疗方法的作用。

https://cdn.ncbi.nlm.nih.gov/pmc/blobs/6e1b/12057527/77afbdf5e00b/cureus-0017-00000081828-i01.jpg

文献检索

告别复杂PubMed语法,用中文像聊天一样搜索,搜遍4000万医学文献。AI智能推荐,让科研检索更轻松。

立即免费搜索

文件翻译

保留排版,准确专业,支持PDF/Word/PPT等文件格式,支持 12+语言互译。

免费翻译文档

深度研究

AI帮你快速写综述,25分钟生成高质量综述,智能提取关键信息,辅助科研写作。

立即免费体验