Suppr超能文献

基质辅助激光解吸电离成像质谱法鉴别基底细胞癌与毛母细胞瘤和毛发上皮瘤:一项原理验证研究。

MALDI imaging mass spectrometry differentiates basal cell carcinoma from trichoblastoma and trichoepithelioma: A proof of principle study.

作者信息

Ranes Jennifer M C, Moore Jessica L, Patterson Nathan H, Nicholson Sarah P, Kantrow Sara, Robbins Jason, Caprioloi Richard M, Norris Jeremy L, Al-Rohil Rami N

机构信息

St. George's University School of Medicine, True Blue, Grenada.

Frontier Diagnostics, LLC, Nashville, Tennessee, United States of America.

出版信息

PLoS One. 2025 May 12;20(5):e0323475. doi: 10.1371/journal.pone.0323475. eCollection 2025.

Abstract

BACKGROUND

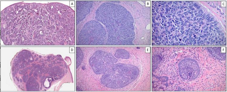
Basal cell carcinoma (BCC) comprises a large portion of dermatopathology specimens; however, benign mimics such as trichoblastoma/trichoepithelioma (TB/TE) place accurate diagnosis at risk and consequently lead to inappropriate clinical management and overuse of healthcare resources. This study aims to address the challenges of traditional histopathological evaluation by utilizing matrix-assisted laser desorption ionization imaging mass spectrometry (MALDI IMS).

METHODS AND FINDINGS

Formalin-fixed paraffin-embedded BCC and TB/TE tissue blocks were taken from archival tissue. A cohort of 69 BCC and TB/TE specimens were identified, each having three concordant diagnoses given by Dermatopathologists after a blinded analysis. H&E stained sections of each specimen were imaged for pathological analysis and uploaded to a digital annotation software with the following classifications: BCC, TB, TE, BCC stroma, TB stroma, and TE stroma. Mass spectra were collected from unstained serial sections guided by the areas annotated by the Dermatopathologists on the H&E stained serial sections. Before informatics, the data from the cohort were divided randomly into a training set (n = 55) and a validation set (n = 14). Prediction models were developed using a support vector machine (SVM) classification model from the training set data. The platform predicted BCC and TB/TE in model 2 (tumor nests alone) with a sensitivity of 98.9% (95% CI 98.3-99.4%) and specificity of 88.4% (95% CI 78.4-94.5%) at the spectral level in the validation set. Model 1 (stroma alone) had a sensitivity of 46.1% (95% CI 43.0-49.1%) and specificity of 99.2% (95% CI 97.1-99.9%). A combined model 3 (tumor nests and stroma) had a sensitivity of 90.26% (95% CI 89.1%-91.3%) and a specificity of 97.1% (95% CI 94.6% to 98.7%). The limitations of this study included a small sample set, which included easily identifiable cases obtained from a single tissue source.

CONCLUSIONS

Our study proves that BCC and TB/TE exhibit different proteomic profiles that one can use to enable accurate differential diagnosis. While our findings are not yet validated for clinical use, this merits further research to support IMS as an ancillary diagnostic tool for adequately and efficiently identifying the most common cutaneous malignancy in the United States. We recommend that future studies obtain a more extensive set of histologically challenging cases from multiple institutions and adequate clinical follow-up to confirm diagnostic accuracy.

摘要

背景

基底细胞癌(BCC)在皮肤病理学标本中占很大比例;然而,诸如毛母细胞瘤/毛发上皮瘤(TB/TE)等良性模仿病变会使准确诊断面临风险,从而导致不适当的临床管理和医疗资源的过度使用。本研究旨在通过利用基质辅助激光解吸电离成像质谱(MALDI IMS)来应对传统组织病理学评估的挑战。

方法和结果

从存档组织中获取福尔马林固定石蜡包埋的BCC和TB/TE组织块。确定了一组69例BCC和TB/TE标本,在盲法分析后,皮肤科病理学家对每个标本给出了三个一致的诊断。对每个标本的苏木精和伊红(H&E)染色切片进行成像以进行病理分析,并上传到具有以下分类的数字注释软件:BCC、TB、TE、BCC基质、TB基质和TE基质。在皮肤科病理学家在H&E染色连续切片上标注的区域的引导下,从不染色的连续切片中收集质谱。在进行信息学分析之前,将该队列的数据随机分为训练集(n = 55)和验证集(n = 14)。使用支持向量机(SVM)分类模型从训练集数据中开发预测模型。该平台在验证集中的模型2(仅肿瘤巢)中预测BCC和TB/TE时,在光谱水平上的灵敏度为98.9%(95%可信区间98.3 - 99.4%),特异性为88.4%(95%可信区间78.4 - 94.5%)。模型1(仅基质)的灵敏度为46.1%(95%可信区间43.0 - 49.1%),特异性为99.2%(95%可信区间97.1 - 99.9%)。组合模型3(肿瘤巢和基质)的灵敏度为90.26%(95%可信区间89.1% - 91.3%),特异性为97.1%(95%可信区间94.6%至98.7%)。本研究的局限性包括样本量小,其中包括从单一组织来源获得的易于识别的病例。

结论

我们的研究证明,BCC和TB/TE表现出不同的蛋白质组学特征,可用于进行准确的鉴别诊断。虽然我们的发现尚未在临床应用中得到验证,但这值得进一步研究,以支持IMS作为一种辅助诊断工具,用于充分且高效地识别美国最常见的皮肤恶性肿瘤。我们建议未来的研究从多个机构获取更广泛的一组组织学上具有挑战性的病例,并进行充分的临床随访以确认诊断准确性。

https://cdn.ncbi.nlm.nih.gov/pmc/blobs/8c75/12068704/5e20d02830fc/pone.0323475.g001.jpg

文献检索

告别复杂PubMed语法,用中文像聊天一样搜索,搜遍4000万医学文献。AI智能推荐,让科研检索更轻松。

立即免费搜索

文件翻译

保留排版,准确专业,支持PDF/Word/PPT等文件格式,支持 12+语言互译。

免费翻译文档

深度研究

AI帮你快速写综述,25分钟生成高质量综述,智能提取关键信息,辅助科研写作。

立即免费体验