• 文献检索
  • 文档翻译
  • 深度研究
  • 学术资讯
  • Suppr Zotero 插件Zotero 插件
  • 邀请有礼
  • 套餐&价格
  • 历史记录
应用&插件
Suppr Zotero 插件Zotero 插件浏览器插件Mac 客户端Windows 客户端微信小程序
定价
高级版会员购买积分包购买API积分包
服务
文献检索文档翻译深度研究API 文档MCP 服务
关于我们
关于 Suppr公司介绍联系我们用户协议隐私条款
关注我们

Suppr 超能文献

核心技术专利:CN118964589B侵权必究
粤ICP备2023148730 号-1Suppr @ 2026

文献检索

告别复杂PubMed语法,用中文像聊天一样搜索,搜遍4000万医学文献。AI智能推荐,让科研检索更轻松。

立即免费搜索

文件翻译

保留排版,准确专业,支持PDF/Word/PPT等文件格式,支持 12+语言互译。

免费翻译文档

深度研究

AI帮你快速写综述,25分钟生成高质量综述,智能提取关键信息,辅助科研写作。

立即免费体验

埃及东部省牛群中牛乳头瘤病毒-1的分子分析与病理评估

Molecular Profiling and Pathological Evaluation of Bovine Papillomavirus-1 in Cattle in Al-Sharkia, Egypt.

作者信息

Shehata Ayman Ahmed, Fawzi Elshaima Mohamed, Abd El-Emam Mahran Mohamed, Abdullah Shimaa M, Hassan Wafaa, Eldin Asmaa Lbrahim Abdelaziz Zin, Elsheikh Hend E M

机构信息

Department of Animal Medicine, Infectious Diseases, Faculty of Veterinary Medicine, Zagazig University, Zagazig 44511, Egypt.

Department of Biochemistry and Molecular Biology, Faculty of Veterinary Medicine, Zagazig University, Zagazig 44511, Egypt.

出版信息

Vet Med Int. 2025 May 8;2025:9808789. doi: 10.1155/vmi/9808789. eCollection 2025.

DOI:10.1155/vmi/9808789
PMID:40376030
原文链接:https://pmc.ncbi.nlm.nih.gov/articles/PMC12081143/
Abstract

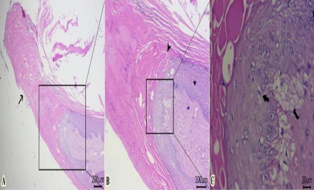
Bovine papillomatosis virus (BPV) is a prevalent cutaneous oncogenic viral disease in cattle, causing economic losses due to reduced milk production, poor carcass quality, and hide damage. Despite BPV's economic significance, molecular information on current strains, genetic relationships, and origins in Egypt is limited, with most studies focusing on electron microscopy and histopathological analysis. The study aimed to genetically analyze BPV-1 circulation in Al-Sharkia, Egypt, and characterize viral strains compared with local and global papillomaviruses isolates. A total of 27 crossbred cattle with clinical symptoms of papillomatosis, such as wart-like lesions on various body parts, were examined. The collected tissue samples underwent histological analysis, revealing typical benign neoplasms such as hyperkeratosis and koilocytes. Polymerase chain reaction (PCR) confirmed the presence of BPV-1 in all samples, with partial amplification of the L1 gene. Sequencing and phylogenetic analysis of three representative samples indicated high similarity to BPV-1 strains from Egypt, Iraq, Turkey, and Belgium, suggesting livestock trading may play a role in disease transmission. The isolates were found to be linked to equine Delta papillomavirus 4 (DPV4) strains, indicating cross-species transmission between cattle and equines. The study marks one of the first reports of BPV-1 infection in cattle in Al-Sharkia, providing crucial molecular insights into Egypt's circulating strains and emphasizing the need for stronger biosecurity protocols in animal trading.

摘要

牛乳头瘤病病毒(BPV)是牛中一种常见的皮肤致癌性病毒疾病,由于产奶量减少、胴体质量差和皮革受损而造成经济损失。尽管BPV具有经济重要性,但关于埃及当前毒株、遗传关系和起源的分子信息有限,大多数研究集中在电子显微镜和组织病理学分析上。该研究旨在对埃及东部省BPV - 1的传播进行基因分析,并与本地和全球乳头瘤病毒分离株相比对病毒毒株进行特征描述。共检查了27头有乳头瘤病临床症状的杂交牛,如身体各部位出现疣状病变。收集的组织样本进行了组织学分析,发现了典型的良性肿瘤,如角化过度和空泡细胞。聚合酶链反应(PCR)证实所有样本中都存在BPV - 1,并对L1基因进行了部分扩增。对三个代表性样本的测序和系统发育分析表明,它们与来自埃及、伊拉克、土耳其和比利时的BPV - 1毒株高度相似,这表明牲畜交易可能在疾病传播中起作用。发现这些分离株与马的δ乳头瘤病毒4型(DPV4)毒株有关,表明牛和马之间存在跨物种传播。该研究是关于埃及东部省牛感染BPV - 1的首批报告之一,为埃及流行毒株提供了关键的分子见解,并强调了在动物交易中加强生物安全协议的必要性。

https://cdn.ncbi.nlm.nih.gov/pmc/blobs/8afc/12081143/3030100efda3/VMI2025-9808789.005.jpg
https://cdn.ncbi.nlm.nih.gov/pmc/blobs/8afc/12081143/05112f5d2b72/VMI2025-9808789.001.jpg
https://cdn.ncbi.nlm.nih.gov/pmc/blobs/8afc/12081143/b2de882de27c/VMI2025-9808789.002.jpg
https://cdn.ncbi.nlm.nih.gov/pmc/blobs/8afc/12081143/273d159512b3/VMI2025-9808789.003.jpg
https://cdn.ncbi.nlm.nih.gov/pmc/blobs/8afc/12081143/f6c7508c780f/VMI2025-9808789.004.jpg
https://cdn.ncbi.nlm.nih.gov/pmc/blobs/8afc/12081143/3030100efda3/VMI2025-9808789.005.jpg
https://cdn.ncbi.nlm.nih.gov/pmc/blobs/8afc/12081143/05112f5d2b72/VMI2025-9808789.001.jpg
https://cdn.ncbi.nlm.nih.gov/pmc/blobs/8afc/12081143/b2de882de27c/VMI2025-9808789.002.jpg
https://cdn.ncbi.nlm.nih.gov/pmc/blobs/8afc/12081143/273d159512b3/VMI2025-9808789.003.jpg
https://cdn.ncbi.nlm.nih.gov/pmc/blobs/8afc/12081143/f6c7508c780f/VMI2025-9808789.004.jpg
https://cdn.ncbi.nlm.nih.gov/pmc/blobs/8afc/12081143/3030100efda3/VMI2025-9808789.005.jpg

相似文献

1
Molecular Profiling and Pathological Evaluation of Bovine Papillomavirus-1 in Cattle in Al-Sharkia, Egypt.埃及东部省牛群中牛乳头瘤病毒-1的分子分析与病理评估
Vet Med Int. 2025 May 8;2025:9808789. doi: 10.1155/vmi/9808789. eCollection 2025.
2
Molecular Characterization and Developing a Point-of-Need Molecular Test for Diagnosis of Bovine Papillomavirus (BPV) Type 1 in Cattle from Egypt.埃及牛群中1型牛乳头瘤病毒(BPV)的分子特征分析及即时诊断分子检测方法的开发
Animals (Basel). 2020 Oct 21;10(10):1929. doi: 10.3390/ani10101929.
3
Bovine papillomavirus in Egypt: clinico-pathological features and molecular evolutionary analysis.埃及牛乳头瘤病毒:临床病理特征和分子进化分析。
Vet Ital. 2023 Sep 30;59(3). doi: 10.12834/VetIt.3088.21173.2.
4
Phylogenetic analysis and searching bovine papillomaviruses in teat papillomatosis cases in cattle by performing histopathology, immunohistochemistry, and transmission electron microscopy.通过进行组织病理学、免疫组织化学和透射电子显微镜检查,对牛乳头瘤病病例中的牛乳头瘤病毒进行系统发育分析和搜索。
Microb Pathog. 2022 Sep;170:105713. doi: 10.1016/j.micpath.2022.105713. Epub 2022 Aug 14.
5
Phylogenetic analysis of a partial L1 gene from bovine papillomavirus type 1 isolated from naturally occurring papilloma cases in the northwestern region of Turkey.对从土耳其西北部自然发生的乳头瘤病例中分离出的1型牛乳头瘤病毒部分L1基因进行系统发育分析。
Onderstepoort J Vet Res. 2017 Jun 28;84(1):e1-e6. doi: 10.4102/ojvr.v84i1.1450.
6
Molecular characterization and pathological identification of a novel strain of delta papillomavirus-4 (bovine papillomavirus-2) in Egypt.埃及一种新型δ乳头瘤病毒4型(牛乳头瘤病毒2型)的分子特征及病理鉴定
Vet World. 2021 Sep;14(9):2296-2305. doi: 10.14202/vetworld.2021.2296-2305. Epub 2021 Sep 3.
7
Detection and genomic characterization of Bovine papillomavirus isolated from Chinese native cattle.从中国本土牛中分离的牛乳头瘤病毒的检测和基因组特征分析。
Transbound Emerg Dis. 2019 Nov;66(6):2197-2203. doi: 10.1111/tbed.13285. Epub 2019 Jul 19.
8
Electron microscopy and phylogenetic analysis of Bovine papillomavirus infection in cattle from four Egyptian governorates.电子显微镜检查和埃及四个省牛的牛乳头瘤病毒感染的系统发育分析。
Trop Anim Health Prod. 2021 Feb 12;53(1):160. doi: 10.1007/s11250-021-02607-4.
9
Diagnosis and phylogenetic analysis of bovine papillomaviruses in cattle papillomatosis cases by different methods.采用不同方法对牛乳头瘤病例中的牛乳头瘤病毒进行诊断和系统进化分析。
Trop Anim Health Prod. 2023 May 4;55(3):191. doi: 10.1007/s11250-023-03610-7.
10
Molecular and Phylogenetic Analysis of Bovine Papillomavirus Type 1: First Report in Iraqi Cattle.牛乳头瘤病毒1型的分子与系统发育分析:伊拉克牛群中的首次报告
Adv Virol. 2016;2016:2143024. doi: 10.1155/2016/2143024. Epub 2016 Jun 20.

本文引用的文献

1
Complete genomic characterization of bovine papillomavirus type 1 and 2 strains infers ongoing cross-species transmission between cattle and horses.牛乳头瘤病毒 1 型和 2 型的完整基因组特征表明牛和马之间存在持续的跨种传播。
Vet J. 2023 Aug-Sep;298-299:106011. doi: 10.1016/j.tvjl.2023.106011. Epub 2023 Jun 17.
2
Diagnosis and phylogenetic analysis of bovine papillomaviruses in cattle papillomatosis cases by different methods.采用不同方法对牛乳头瘤病例中的牛乳头瘤病毒进行诊断和系统进化分析。
Trop Anim Health Prod. 2023 May 4;55(3):191. doi: 10.1007/s11250-023-03610-7.
3
Phylogenetic analysis and searching bovine papillomaviruses in teat papillomatosis cases in cattle by performing histopathology, immunohistochemistry, and transmission electron microscopy.
通过进行组织病理学、免疫组织化学和透射电子显微镜检查,对牛乳头瘤病病例中的牛乳头瘤病毒进行系统发育分析和搜索。
Microb Pathog. 2022 Sep;170:105713. doi: 10.1016/j.micpath.2022.105713. Epub 2022 Aug 14.
4
Molecular detection of Papillomavirus and immunohistochemical investigation of p53 gene expressions in bovine papillomas and fibropapillomas.牛乳头瘤和纤维乳头瘤中乳头瘤病毒的分子检测及p53基因表达的免疫组织化学研究
Arch Microbiol. 2022 Apr 24;204(5):278. doi: 10.1007/s00203-022-02902-0.
5
Molecular characterization and pathological identification of a novel strain of delta papillomavirus-4 (bovine papillomavirus-2) in Egypt.埃及一种新型δ乳头瘤病毒4型(牛乳头瘤病毒2型)的分子特征及病理鉴定
Vet World. 2021 Sep;14(9):2296-2305. doi: 10.14202/vetworld.2021.2296-2305. Epub 2021 Sep 3.
6
The human papillomavirus oncoproteins: a review of the host pathways targeted on the road to transformation.人类乳头瘤病毒致癌蛋白:转化道路上靶向宿主通路的综述。
J Gen Virol. 2021 Mar;102(3). doi: 10.1099/jgv.0.001540. Epub 2021 Jan 11.
7
Molecular Characterization and Developing a Point-of-Need Molecular Test for Diagnosis of Bovine Papillomavirus (BPV) Type 1 in Cattle from Egypt.埃及牛群中1型牛乳头瘤病毒(BPV)的分子特征分析及即时诊断分子检测方法的开发
Animals (Basel). 2020 Oct 21;10(10):1929. doi: 10.3390/ani10101929.
8
Genomic characterization of a novel bovine papillomavirus type 28.新型牛乳头瘤病毒 28 型的基因组特征。
Virus Genes. 2020 Oct;56(5):594-599. doi: 10.1007/s11262-020-01779-9. Epub 2020 Jul 7.
9
Clinico-Histopathological and Immunohistochemical Study of Ruminant's Cutaneous Papillomavirus in Iraq.伊拉克反刍动物皮肤乳头瘤病毒的临床组织病理学和免疫组织化学研究
Vet Med Int. 2020 Feb 21;2020:5691974. doi: 10.1155/2020/5691974. eCollection 2020.
10
Teat papillomatosis in dairy herds: First detection of bovine papillomavirus type 10 in China.奶牛场乳头瘤病:中国首次检测到牛乳头瘤病毒10型
J Vet Med Sci. 2019 Jul 19;81(7):1063-1066. doi: 10.1292/jvms.18-0449. Epub 2019 May 24.