Ortiz-Arrabal Olimpia, Rodriguez Mario Anibal, Chato-Astrain Jesús, Martín-Piedra Miguel Ángel, Garzón Ingrid, Carriel Víctor, Fernández-Valadés Ricardo, España-López Antonio, Alaminos Miguel, Rodriguez Ismael Angel
Tissue Engineering Group, Department of Histology, School of Medicine, University of Granada, Granada, Spain.
Instituto de Investigación Biosanitaria ibs.GRANADA, Granada, Spain.
PLoS One. 2025 May 19;20(5):e0323754. doi: 10.1371/journal.pone.0323754. eCollection 2025.
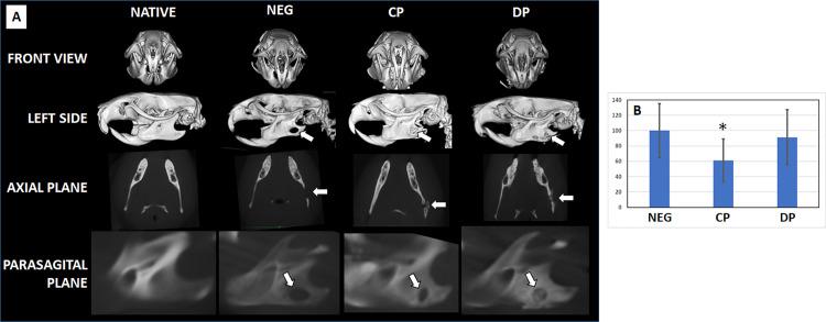
Regeneration of maxillofacial bone structures is challenging. One strategy for bone damage repair involves using bone filler particles. This study analyzed the regenerative potential of deproteinized bone particles (DP) and collagen-based bone particles (CP) to determine the effectiveness of each biomaterial in bone repair. Structural analysis using scanning electron microscopy and 3D scanning showed that DP and CP were structurally similar, comprising a heterogeneous mixture of bone particles of varying sizes and shapes. Ex vivo analyses, including morphological evaluation, LIVE & DEAD assays, and DNA quantification, demonstrated high biocompatibility of CP and DP with human cells in both direct and indirect contact at 24, 48, and 72 hours. Both particles were grafted onto Wistar rats with a critical mandibular defect for two months. Computed tomography revealed significant defect reduction in the CP group, but not in the DP group, compared to negative controls without any bone particles. Histological analysis showed biocompatibility of both particles in vivo and identified regenerative tissue with collagen fibers and mineralized spots in CP and DP, with more mineralized spots in DP. Histochemistry and immunohistochemistry confirmed collagen, proteoglycans, and osteocalcin presence in the regeneration area of CP and DP. These results confirm the biocompatibility and potential of both particle types for maxillofacial bone regeneration, particularly CP. Future studies should assess their clinical usefulness for patients with cleft palate, mandibular damage, and other maxillofacial applications involving tissue engineering techniques.
颌面部骨结构的再生具有挑战性。骨损伤修复的一种策略是使用骨填充颗粒。本研究分析了脱蛋白骨颗粒(DP)和胶原基骨颗粒(CP)的再生潜力,以确定每种生物材料在骨修复中的有效性。使用扫描电子显微镜和三维扫描进行的结构分析表明,DP和CP在结构上相似,均由大小和形状各异的骨颗粒组成的异质混合物。体外分析,包括形态学评估、活/死细胞检测和DNA定量分析,表明CP和DP在24、48和72小时时与人类细胞直接和间接接触时均具有高生物相容性。将两种颗粒移植到患有严重下颌骨缺损的Wistar大鼠身上两个月。计算机断层扫描显示,与未植入任何骨颗粒的阴性对照组相比,CP组的缺损显著减少,而DP组则没有。组织学分析表明两种颗粒在体内均具有生物相容性,并在CP和DP中识别出具有胶原纤维和矿化斑点的再生组织,DP中的矿化斑点更多。组织化学和免疫组织化学证实CP和DP的再生区域存在胶原蛋白、蛋白聚糖和骨钙素。这些结果证实了两种颗粒类型在颌面部骨再生方面的生物相容性和潜力,尤其是CP。未来的研究应评估它们对腭裂、下颌骨损伤以及其他涉及组织工程技术的颌面部应用患者的临床实用性。