Suppr超能文献

[右心室心内膜心肌纤维化:一种罕见疾病的非典型表现。病例报告]

[Right ventricular endomyocardial fibrosis: Atypical presentation of a rare disease. Case report].

作者信息

López Gutiérrez Laura Valentina, Murillo Moreno Mauricio Andrés, Durango Luisa Fernanda, Salamanca Montilla Jhon Fredy, Saldarriaga Giraldo Clara Inés

机构信息

Departamento de Cardiología, Clínica CardioVID, Medellín, Colombia. Departamento de Cardiología Clínica CardioVID Medellín Colombia.

Departamento de Medicina Interna, Universidad CES, Medellín, Colombia. Universidad CES Colombia.

出版信息

Arch Peru Cardiol Cir Cardiovasc. 2024 Dec 11;5(4):243-248. doi: 10.47487/apcyccv.v5i4.409. eCollection 2024 Oct-Dec.

Abstract

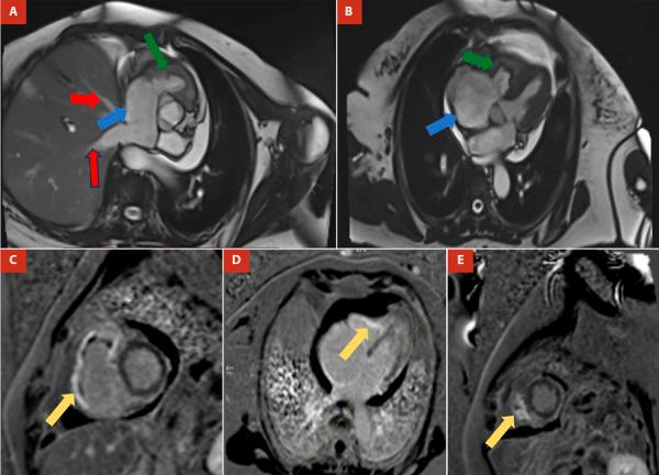
Endomyocardial fibrosis or Davies disease is a rare cause of restrictive cardiomyopathy. It is characterized by the deposit of fibrous material in the endocardium that leads to quickly progressive heart failure. It most frequently affects both ventricles, with isolated involvement of the right ventricle being the least common form. The clinical presentation of this entity is based on symptoms of right heart failure, although arrhythmias and conduction disorders may also be present. The treatment is determined by the management of congestion and surgical intervention in symptomatic patients. We present the first case of endomyocardial fibrosis isolated from the right ventricle in Colombia, we describe the clinical, etiological, imaging and management characteristics in order to deliver to the medical community an approximate understanding of this disease focusing on an unusual way of presentation.

摘要

心内膜心肌纤维化或戴维斯病是限制性心肌病的一种罕见病因。其特征是心内膜出现纤维物质沉积,导致心力衰竭快速进展。它最常累及双心室,孤立累及右心室是最不常见的形式。该疾病的临床表现基于右心衰竭症状,不过也可能出现心律失常和传导障碍。治疗取决于对充血的处理以及对有症状患者的手术干预。我们报告了哥伦比亚首例孤立性右心室心内膜心肌纤维化病例,描述了其临床、病因、影像学及治疗特点,以便让医学界对这种疾病以一种不寻常的呈现方式有大致了解。

https://cdn.ncbi.nlm.nih.gov/pmc/blobs/377f/12094070/ca8bd23dae98/apcyccv-5-04-243-gf1.jpg

文献检索

告别复杂PubMed语法,用中文像聊天一样搜索,搜遍4000万医学文献。AI智能推荐,让科研检索更轻松。

立即免费搜索

文件翻译

保留排版,准确专业,支持PDF/Word/PPT等文件格式,支持 12+语言互译。

免费翻译文档

深度研究

AI帮你快速写综述,25分钟生成高质量综述,智能提取关键信息,辅助科研写作。

立即免费体验