Suppr超能文献

利用磁粒子成像对结肠炎小鼠体内移植的间充质基质细胞进行长期监测。

Long-term in vivo monitoring of transplanted mesenchymal stromal cells in colitis mice with magnetic particle imaging.

作者信息

Shao Tuo, Gu Zelin, Liu Yuzhu, Wang Xiaoyi, Tang Chao, Chen Nannan, Wang Mengqi, Liu Xueqin, Song Huanhuan, Chen Siye, Li Weihua, Hui Hui, Jia Xiaohua, Mao Hui, Chung Raymond T, Liang Steven, Xiong Sidong, Tian Jie

机构信息

The First Affiliated Hospital of Soochow University, Institutes of Biology and Medical Sciences, Suzhou Medical College of Soochow University, Soochow University, Suzhou, China; Jiangsu Key Laboratory of Infection and Immunity, Soochow University, Suzhou, China.

The First Affiliated Hospital of Soochow University, Institutes of Biology and Medical Sciences, Suzhou Medical College of Soochow University, Soochow University, Suzhou, China; Jiangsu Key Laboratory of Infection and Immunity, Soochow University, Suzhou, China.

出版信息

EBioMedicine. 2025 Jun;116:105775. doi: 10.1016/j.ebiom.2025.105775. Epub 2025 May 27.

Abstract

BACKGROUND

The successful development of mesenchymal stromal cells (MSCs)-based therapeutic strategies in inflammatory bowel disease (IBD) hinges on the ability to assess the influence of the administration route, while also tracking the cells' in vivo location, distribution, and long-term viability. Moreover, understanding the biological fate of these cells-particularly their activation, differentiation, and interaction within the host environment-is crucial to optimising their therapeutic potential.

METHODS

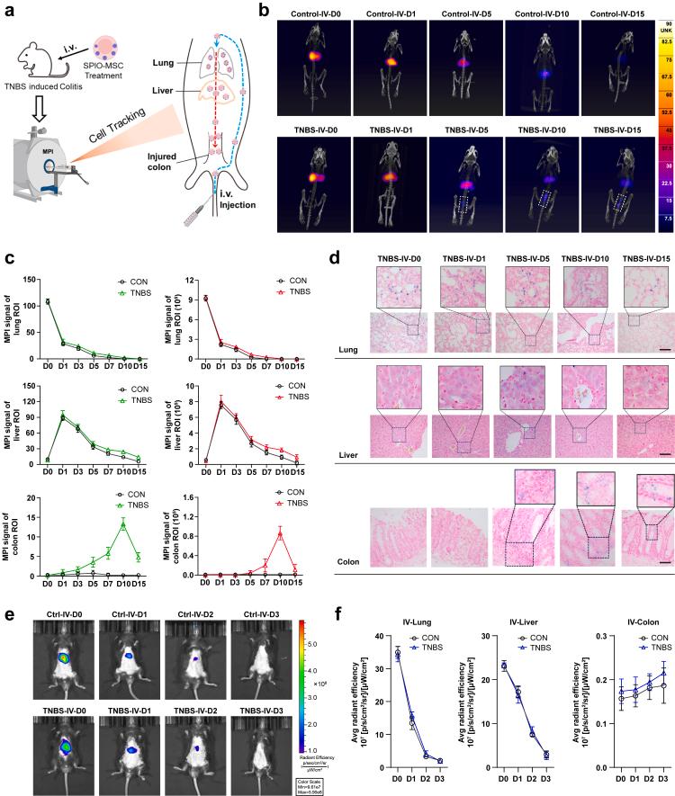
This study explores the use of magnetic particle imaging (MPI) with superparamagnetic iron oxide nanoparticles (SPIONs) to track MSCs in colitis mice. SPION-labelled MSCs were administered through intravenous (IV), intraperitoneal (IP), and intrarectal (IR) routes. MPI was employed to track MSCs.

FINDINGS

MPI provided dynamic tracking of MSC distribution, viability, and homing, revealing that IP injections led to more targeted and sustained delivery to inflamed colon tissues, with higher cell survival and efficacy in modulating inflammation. Other administration routes also demonstrated specific distribution patterns, but with shorter retention times. The prolonged survival of MSCs following IP injection may be attributed to the immune environment in the peritoneal cavity, which significantly impacts MSCs, influencing their survival and migration. Further analyses showed that MSCs exposed to inflammatory peritoneal fluid exhibited enhanced homing capabilities, and IFN-γ pretreatment significantly improved MSC retention in the inflamed colon, as detected by MPI/CT imaging.

INTERPRETATION

Our findings, observed through MPI, highlight the potential of IP injection as a preferred method for MSC-based therapies, offering strategies to improve treatment outcomes specifically in IBD and potentially in other inflammatory conditions.

FUNDING

The National Natural Science Foundation of China (62027901, 82372144), the Natural Science Foundation of Jiangsu Province (BK20230491), a Project Funded by the Priority Academic Program Development of Jiangsu Higher Education Institutions.

摘要

背景

基于间充质基质细胞(MSCs)的治疗策略在炎症性肠病(IBD)中的成功开发取决于评估给药途径影响的能力,同时还要追踪细胞在体内的位置、分布和长期存活情况。此外,了解这些细胞的生物学命运,尤其是它们在宿主环境中的激活、分化和相互作用,对于优化其治疗潜力至关重要。

方法

本研究探索使用磁粒子成像(MPI)和超顺磁性氧化铁纳米颗粒(SPIONs)来追踪结肠炎小鼠体内的MSCs。通过静脉内(IV)、腹腔内(IP)和直肠内(IR)途径给予SPION标记的MSCs。采用MPI追踪MSCs。

结果

MPI提供了对MSC分布、存活和归巢的动态追踪,结果显示腹腔内注射导致更有针对性和持续地递送至炎症结肠组织,具有更高的细胞存活率和调节炎症的功效。其他给药途径也表现出特定的分布模式,但保留时间较短。腹腔内注射后MSCs的存活时间延长可能归因于腹腔内的免疫环境,这对MSCs有显著影响,影响它们的存活和迁移。进一步分析表明,暴露于炎性腹腔液的MSCs表现出增强的归巢能力,并且通过MPI/CT成像检测到,γ干扰素预处理显著改善了MSCs在炎症结肠中的保留。

解读

我们通过MPI观察到的结果突出了腹腔内注射作为基于MSCs治疗的首选方法的潜力,为改善治疗结果提供了策略,特别是在IBD中,也可能适用于其他炎症性疾病。

资助

中国国家自然科学基金(62027901, 82372144)、江苏省自然科学基金(BK20230491)、江苏高校优势学科建设工程资助项目。

https://cdn.ncbi.nlm.nih.gov/pmc/blobs/17e8/12159497/4a799a1b4fae/gr1.jpg

文献检索

告别复杂PubMed语法,用中文像聊天一样搜索,搜遍4000万医学文献。AI智能推荐,让科研检索更轻松。

立即免费搜索

文件翻译

保留排版,准确专业,支持PDF/Word/PPT等文件格式,支持 12+语言互译。

免费翻译文档

深度研究

AI帮你快速写综述,25分钟生成高质量综述,智能提取关键信息,辅助科研写作。

立即免费体验