Suppr超能文献

与子宫内膜异位症相关的努克管囊肿:一例报告

Nuck's Canal Cyst Associated With Endometriosis: A Case Report.

作者信息

Ortiz-Monasterio Catalina, Carvallo-Maiocco Piero, Vega-de Jesús Martín, Rábago-Sánchez Paulina P, Decanini-Terán César O

机构信息

Surgery Department, ABC Medical Center, Mexico City, MEX.

出版信息

Cureus. 2025 May 16;17(5):e84231. doi: 10.7759/cureus.84231. eCollection 2025 May.

Abstract

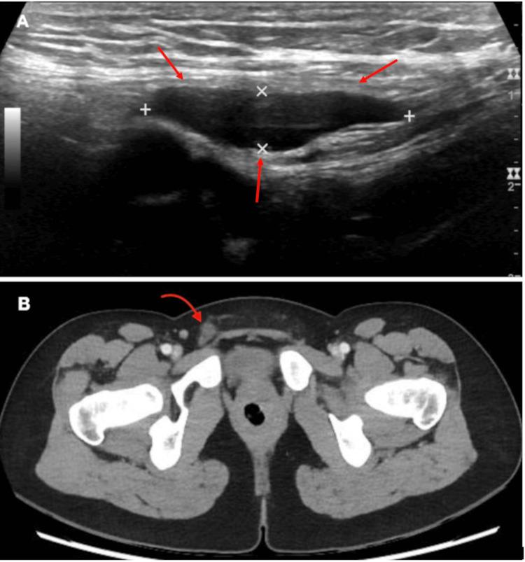
Nuck's canal is the incomplete obliteration of the processus vaginalis, and it is a rare condition that should consider inguinodynia and an increased volume in the inguinal region as a differential diagnosis. Endometriosis is a systemic disease that affects young women. This condition has many clinical presentations, and it is exceptional to find it associated with a Nuck's canal cyst. We present the case of a 20-year-old woman who presented with right inguinal pain associated with increased volume. An inguinal ultrasound and abdominopelvic computed tomography (CT) were performed, and a right Nuck's canal cyst was diagnosed. The condition was managed surgically with resection of the Nuck's canal cyst and transabdominal preperitoneal plasty (TAPP) for inguinal hernia laparoscopic reconstruction, with a satisfactory outcome.

摘要

努克管是鞘突未完全闭锁,这是一种罕见情况,鉴别诊断时应考虑腹股沟疼痛和腹股沟区肿物增大。子宫内膜异位症是一种影响年轻女性的全身性疾病。这种疾病有多种临床表现,与努克管囊肿相关的情况很罕见。我们报告一例20岁女性,她因右侧腹股沟疼痛伴肿物增大前来就诊。进行了腹股沟超声和腹盆腔计算机断层扫描(CT)检查,诊断为右侧努克管囊肿。通过手术切除努克管囊肿并采用经腹腹膜前修补术(TAPP)进行腹腔镜下腹股沟疝重建,治疗效果满意。

https://cdn.ncbi.nlm.nih.gov/pmc/blobs/e6b6/12168713/a16b7e4737f2/cureus-0017-00000084231-i01.jpg

文献检索

告别复杂PubMed语法,用中文像聊天一样搜索,搜遍4000万医学文献。AI智能推荐,让科研检索更轻松。

立即免费搜索

文件翻译

保留排版,准确专业,支持PDF/Word/PPT等文件格式,支持 12+语言互译。

免费翻译文档

深度研究

AI帮你快速写综述,25分钟生成高质量综述,智能提取关键信息,辅助科研写作。

立即免费体验