Suppr超能文献

膀胱肉瘤样尿路上皮细胞癌的脓毒症及心脏转移导致的多种心脏并发症:一例报告

Multiple cardiac complications due to sepsis and cardiac metastasis of a sarcomatoid urothelial cell carcinoma of the urinary bladder: A case report.

作者信息

Pouwels Sjaak, Fitski Wouter, Magro Michael, van der Linden-Foolen Yvette, Stavast Jeroen, Burger Desiree H C

机构信息

Department of Surgery, Bielefeld University - Campus Detmold, Klinikum Lippe, Detmold, NRW, Germany; Department of Intensive Care Medicine, Elisabeth-Tweesteden Hospital, Tilburg, the Netherlands.

Department of Cardiology, Elisabeth-Tweesteden Hospital, Tilburg, the Netherlands.

出版信息

Int J Surg Case Rep. 2025 Jun 14;133:111514. doi: 10.1016/j.ijscr.2025.111514.

Abstract

INTRODUCTION AND IMPORTANCE

Of all malignancies, urinary bladder cancer is one of the most diagnosed ones. Majority of the patients with bladder cancer have a non-muscle invasive type that can be treated with conservative approaches. The sarcomatoid urothelial cell carcinoma is rare and aggressive tumour that can develop in the urinary bladder, ureter or kidney. Hereby, we present a patient that developed a cardiogenic shock due to a large cardiac metastasis of a sarcomatoid urothelial cell carcinoma.

CASE PRESENTATION

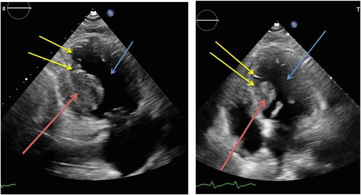
A seventy-one year old male was presented at our Emergency Department with complaints/ signs of dyspnoea, low blood pressure, tachycardia/atrial fibrillation, diarrhoea and general malaise. Trans Thoracic Echocardiography (TTE) was performed which showed a mass in the left ventricle suspect of malignant origin. After five days of hospital admission the patient died due to refractory shock. Autopsy reports showed extensive cardiac, spinal, peritoneal, peripheral fat and muscle tissue metastasis, due to the sarcomatoid urothelial cell carcinoma.

CLINICAL DISCUSSION

Urothelial carcinomas are one of the most common urinary cancers of which sarcomatoid urothelial carcinoma is a rare, highly malignant and very aggressive type. The low incidence of this variant inhibits the conduct of randomised clinical trials and makes clinical management difficult.

CONCLUSION

Due to its aggressive growth rate sarcomatoid urothelial cell carcinoma have a high probability of metastasizing, however cardiac metastasis are very rare.

摘要

引言与重要性

在所有恶性肿瘤中,膀胱癌是诊断最为常见的肿瘤之一。大多数膀胱癌患者为非肌层浸润性类型,可采用保守方法治疗。肉瘤样尿路上皮细胞癌是一种罕见且侵袭性强的肿瘤,可发生于膀胱、输尿管或肾脏。在此,我们报告一例因肉瘤样尿路上皮细胞癌发生大面积心脏转移而导致心源性休克的患者。

病例介绍

一名71岁男性因呼吸困难、低血压、心动过速/心房颤动、腹泻和全身不适等症状/体征就诊于我院急诊科。经胸超声心动图(TTE)检查显示左心室有一个疑似恶性起源的肿块。入院五天后,患者因顽固性休克死亡。尸检报告显示,由于肉瘤样尿路上皮细胞癌,心脏、脊柱、腹膜、外周脂肪和肌肉组织出现广泛转移。

临床讨论

尿路上皮癌是最常见的泌尿系统癌症之一,其中肉瘤样尿路上皮癌是一种罕见、高度恶性且侵袭性很强的类型。这种变体的低发病率阻碍了随机临床试验的开展,也使临床管理变得困难。

结论

由于肉瘤样尿路上皮细胞癌的侵袭性生长速度,其发生转移的可能性很高,然而心脏转移非常罕见。

https://cdn.ncbi.nlm.nih.gov/pmc/blobs/ae82/12212148/2e3e00303ea7/gr1.jpg

文献检索

告别复杂PubMed语法,用中文像聊天一样搜索,搜遍4000万医学文献。AI智能推荐,让科研检索更轻松。

立即免费搜索

文件翻译

保留排版,准确专业,支持PDF/Word/PPT等文件格式,支持 12+语言互译。

免费翻译文档

深度研究

AI帮你快速写综述,25分钟生成高质量综述,智能提取关键信息,辅助科研写作。

立即免费体验