• 文献检索
  • 文档翻译
  • 深度研究
  • 学术资讯
  • Suppr Zotero 插件Zotero 插件
  • 邀请有礼
  • 套餐&价格
  • 历史记录
应用&插件
Suppr Zotero 插件Zotero 插件浏览器插件Mac 客户端Windows 客户端微信小程序
定价
高级版会员购买积分包购买API积分包
服务
文献检索文档翻译深度研究API 文档MCP 服务
关于我们
关于 Suppr公司介绍联系我们用户协议隐私条款
关注我们

Suppr 超能文献

核心技术专利:CN118964589B侵权必究
粤ICP备2023148730 号-1Suppr @ 2026

文献检索

告别复杂PubMed语法,用中文像聊天一样搜索,搜遍4000万医学文献。AI智能推荐,让科研检索更轻松。

立即免费搜索

文件翻译

保留排版,准确专业,支持PDF/Word/PPT等文件格式,支持 12+语言互译。

免费翻译文档

深度研究

AI帮你快速写综述,25分钟生成高质量综述,智能提取关键信息,辅助科研写作。

立即免费体验

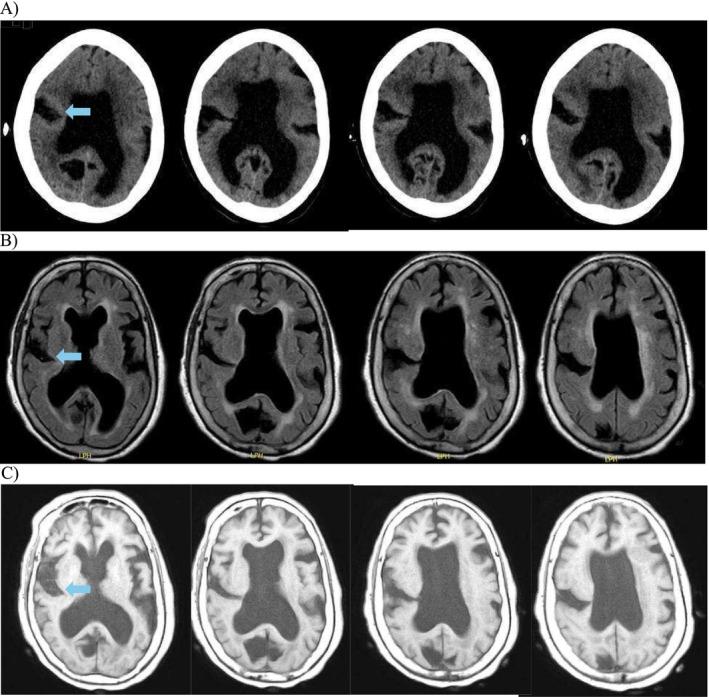
85岁老人开放性唇裂脑畸形被误诊为小儿麻痹后遗症:一例报告

Open Lip Schizencephaly Misdiagnosed as Paralytic Poliomyelitis in an 85-Year-Old: A Case Report.

作者信息

Guo Zihan, Scripko Patricia D, Gertz Alida M

机构信息

Wellstar Douglas Medical Center - Family Medicine Residency Program US.

Division of Neurology University of Maryland Medical System - Capital Region US.

出版信息

Clin Case Rep. 2025 Jun 18;13(6):e70556. doi: 10.1002/ccr3.70556. eCollection 2025 Jun.

DOI:10.1002/ccr3.70556
PMID:40538707
原文链接:https://pmc.ncbi.nlm.nih.gov/articles/PMC12176691/
Abstract

The variable clinical presentations of open lip schizencephaly can lead to misdiagnosis, as occurred in this case originally misdiagnosed as polio in the 1930s. This case demonstrates the possible presence of confirmation bias, as the original poliomyelitis diagnosis remained unquestioned despite developments in the fields of Radiology and Neurology.

摘要

开放性唇裂脑畸形的临床表现多样,可能导致误诊,就像本例在20世纪30年代最初被误诊为小儿麻痹症一样。该病例显示了确认偏误可能存在,因为尽管放射学和神经学领域有了进展,但最初的小儿麻痹症诊断仍未受到质疑。

https://cdn.ncbi.nlm.nih.gov/pmc/blobs/8810/12176691/8ec127605ca5/CCR3-13-e70556-g001.jpg
https://cdn.ncbi.nlm.nih.gov/pmc/blobs/8810/12176691/8ec127605ca5/CCR3-13-e70556-g001.jpg
https://cdn.ncbi.nlm.nih.gov/pmc/blobs/8810/12176691/8ec127605ca5/CCR3-13-e70556-g001.jpg

相似文献

1
Open Lip Schizencephaly Misdiagnosed as Paralytic Poliomyelitis in an 85-Year-Old: A Case Report.85岁老人开放性唇裂脑畸形被误诊为小儿麻痹后遗症:一例报告
Clin Case Rep. 2025 Jun 18;13(6):e70556. doi: 10.1002/ccr3.70556. eCollection 2025 Jun.
2
Report of the Australian National Polio Reference Laboratory. 1 January 1999 to 30 June 1999. Towards WHO certification as wild poliovirus-free: laboratory surveillance in Australia.澳大利亚国家脊髓灰质炎参考实验室报告。1999年1月1日至1999年6月30日。迈向世界卫生组织无野生脊髓灰质炎病毒认证:澳大利亚的实验室监测。
Commun Dis Intell. 1999 Nov 25;23(12):324-7. doi: 10.33321/cdi.1999.23.43.
3
Endovascular treatment for ruptured abdominal aortic aneurysm.破裂性腹主动脉瘤的血管内治疗
Cochrane Database Syst Rev. 2017 May 26;5(5):CD005261. doi: 10.1002/14651858.CD005261.pub4.
4
Interventions targeted at women to encourage the uptake of cervical screening.针对女性的干预措施,以鼓励她们接受宫颈癌筛查。
Cochrane Database Syst Rev. 2021 Sep 6;9(9):CD002834. doi: 10.1002/14651858.CD002834.pub3.
5
Renal hydatid cyst mimicking malignancy: a case report.酷似恶性肿瘤的肾包虫囊肿:一例报告
Int J Surg Case Rep. 2025 Jul;132:111506. doi: 10.1016/j.ijscr.2025.111506. Epub 2025 Jun 13.
6
Diagnosis and management of dental caries throughout life.一生当中龋齿的诊断与管理。
NIH Consens Statement. 2001;18(1):1-23.
7
Interventions for the treatment of brain radionecrosis after radiotherapy or radiosurgery.放疗或放射外科手术后脑放射性坏死的治疗干预措施。
Cochrane Database Syst Rev. 2018 Jul 9;7(7):CD011492. doi: 10.1002/14651858.CD011492.pub2.
8
Signs and symptoms to determine if a patient presenting in primary care or hospital outpatient settings has COVID-19.在基层医疗机构或医院门诊环境中,如果患者出现以下症状和体征,可判断其是否患有 COVID-19。
Cochrane Database Syst Rev. 2022 May 20;5(5):CD013665. doi: 10.1002/14651858.CD013665.pub3.
9
An aggressive, unresected pineoblastoma in an adult woman: the role of exclusive radiotherapy - a case report and literature review.一名成年女性的侵袭性、未切除松果体母细胞瘤:单纯放疗的作用——病例报告及文献综述
Ecancermedicalscience. 2025 May 15;19:1909. doi: 10.3332/ecancer.2025.1909. eCollection 2025.
10
Orthodontic treatment for crowded teeth in children.儿童牙齿拥挤的正畸治疗。
Cochrane Database Syst Rev. 2021 Dec 31;12(12):CD003453. doi: 10.1002/14651858.CD003453.pub2.

本文引用的文献

1
Polio.脊髓灰质炎
CMAJ. 2022 Nov 15;194(44):E1509. doi: 10.1503/cmaj.221320.
2
Schizencephaly revisited.再探脑裂畸形。
Neuroradiology. 2018 Sep;60(9):945-960. doi: 10.1007/s00234-018-2056-7. Epub 2018 Jul 19.
3
Schizencephaly in children: A single medical center retrospective study.
Pediatr Neonatol. 2018 Dec;59(6):573-580. doi: 10.1016/j.pedneo.2018.01.009. Epub 2018 Jan 6.
4
Neuroepidemiology of Porencephaly, Schizencephaly, and Hydranencephaly in Miyagi Prefecture, Japan.日本宫城县脑穿通畸形、脑裂畸形和积水性无脑畸形的神经流行病学
Pediatr Neurol. 2016 Jan;54:39-42.e1. doi: 10.1016/j.pediatrneurol.2015.08.016. Epub 2015 Aug 28.
5
Central nervous system injury in utero: selected entities.子宫内的中枢神经系统损伤:特定实体
Pediatr Radiol. 2015 Sep;45 Suppl 3:S454-62. doi: 10.1007/s00247-015-3344-6. Epub 2015 Sep 7.
6
Epidemiology and clinical spectrum of schizencephaly in south-eastern Hungary.匈牙利东南部脑裂畸形的流行病学及临床谱系
J Child Neurol. 2010 Nov;25(11):1335-9. doi: 10.1177/0883073810364854. Epub 2010 Mar 31.
7
Schizencephaly: heterogeneous etiologies in a population of 4 million California births.脑裂畸形:加利福尼亚州400万例出生人口中的病因异质性。
Am J Med Genet A. 2005 Aug 30;137(2):181-9. doi: 10.1002/ajmg.a.30862.
8
The incubation period of poliomyelitis.脊髓灰质炎的潜伏期。
Am J Public Health Nations Health. 1952 Nov;42(11):1403-8. doi: 10.2105/ajph.42.11.1403.
9
Perspectives on holoprosencephaly: Part II. Central nervous system, craniofacial anatomy, syndrome commentary, diagnostic approach, and experimental studies.全前脑畸形的观点:第二部分。中枢神经系统、颅面解剖、综合征评注、诊断方法及实验研究。
J Craniofac Genet Dev Biol. 1992 Oct-Dec;12(4):196-244.
10
Schizencephaly: a clinical study and review.脑裂畸形:一项临床研究与综述
Childs Brain. 1975;1(6):348-58. doi: 10.1159/000119586.