Suppr超能文献

具有不确定恶性潜能的前列腺间质瘤:一名年轻患者的外科治疗

Prostatic stromal tumour of uncertain malignant potential: surgical treatment in a young patient.

作者信息

Fernandez-Alberti Joaquin, Villaalta López Alex R, Scolari Guillermo, Iotti Alejandro, Featherston Marcelo

机构信息

Urology Department, Hospital Británico de Buenos Aires, Perdriel 74, CABA, 1280, Buenos Aires, Argentina.

https://orcid.org/0000-0002-1827-7361.

出版信息

Ecancermedicalscience. 2025 May 27;19:1913. doi: 10.3332/ecancer.2025.1913. eCollection 2025.

Abstract

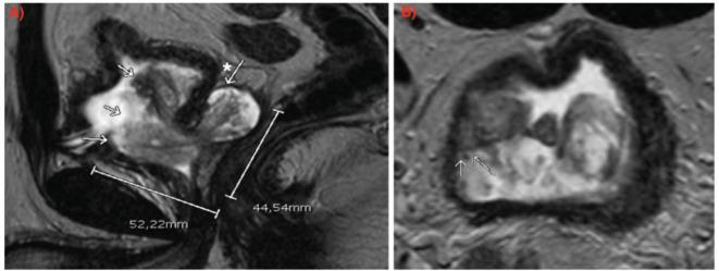
Prostate stromal tumour of uncertain malignant potential is a term used to describe a specialised proliferation of stromal cells within the prostate, most tend to be benign, but some can present with local invasion or progress to prostatic stromal sarcoma with distant metastasis. Fortunately, they represent less than 1% of prostate cancers and only a few cases have been described in the literature. We report a case of a 39-year-old male patient who was referred to our centre with this recent diagnosis in the context of acute urinary retention. After an interdisciplinary consideration, a radical prostatectomy was decided for treatment.

摘要

前列腺恶性潜能不确定的间质瘤是一个用于描述前列腺内间质细胞特殊增殖的术语,大多数倾向于良性,但有些可出现局部浸润或进展为伴有远处转移的前列腺间质肉瘤。幸运的是,它们占前列腺癌的比例不到1%,文献中仅描述了少数病例。我们报告一例39岁男性患者,因近期在急性尿潴留情况下诊断为此病而转诊至我们中心。经过多学科会诊后,决定行根治性前列腺切除术进行治疗。

https://cdn.ncbi.nlm.nih.gov/pmc/blobs/ef73/12185863/5d62bf622938/can-19-1913fig1.jpg

文献检索

告别复杂PubMed语法,用中文像聊天一样搜索,搜遍4000万医学文献。AI智能推荐,让科研检索更轻松。

立即免费搜索

文件翻译

保留排版,准确专业,支持PDF/Word/PPT等文件格式,支持 12+语言互译。

免费翻译文档

深度研究

AI帮你快速写综述,25分钟生成高质量综述,智能提取关键信息,辅助科研写作。

立即免费体验