Suppr超能文献

以孤立性颅内高压为表现的莱姆病神经疏螺旋体病:一例报告

Lyme Neuroborreliosis Presenting with Isolated Intracranial Hypertension: A Case Report.

作者信息

Bourcier Dax, Beshara Joyce, Pauli Griffin, Henry Tyler, Peckford Michael, Huntsman Richard, Bata Bashar M, Kollmann Tobias R

机构信息

Department of Pediatrics, IWK Health Centre, Halifax, NS, Canada.

Faculty of Medicine, Queen's University Belfast, Belfast, UK.

出版信息

Case Rep Neurol. 2025 May 26;17(1):72-78. doi: 10.1159/000546097. eCollection 2025 Jan-Dec.

Abstract

BACKGROUND

Lyme borreliosis, a tick-borne illness caused by , is increasingly prevalent in Nova Scotia, Canada, which has the highest incidence in North America. While most cases present as early localized disease, approximately 20% develop early disseminated disease, which can include neurological symptoms, an entity called Lyme neuroborreliosis (LNB). This case report describes an unusual LNB presentation with isolated intracranial hypertension (IH).

CASE PRESENTATION

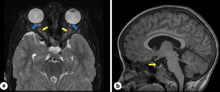
A 6-year-old female presented to our pediatric hospital with binocular horizontal diplopia, headache, fever, malaise, and suspected papilledema 47 days after an embedded tick bite. A diagnosis of Lyme disease had been made 10 days prior in the community based on positive serologies and erythema migrans, but she developed a Jarisch-Herxheimer reaction within 24 h of oral doxycycline, leading to an antibiotic change to amoxicillin. During the hospital admission, an ophthalmological examination revealed papilledema and IH was evidenced by an opening pressure of 36 mm Hg and brain MRI findings. The lumbar puncture revealed pleocytosis and positive cerebrospinal fluid antibodies for . The patient was initially treated with 2 days of ceftriaxone, followed by a 12-day outpatient course of doxycycline for LNB. High doses of acetazolamide (500 mg TID) were needed to achieve symptom control. Two months after her hospital discharge, there was resolution of papilledema and the acetazolamide was weaned.

CONCLUSION

This case highlights the importance of considering Lyme disease in the differential diagnosis of IH, particularly in endemic regions. Early recognition, diagnostic workup, and appropriate treatment are crucial for optimal outcomes in LNB.

摘要

背景

莱姆病是一种由蜱传播的疾病,在加拿大新斯科舍省日益普遍,该省发病率在北美最高。虽然大多数病例表现为早期局限性疾病,但约20%会发展为早期播散性疾病,其中可能包括神经症状,即莱姆神经疏螺旋体病(LNB)。本病例报告描述了一例罕见的以孤立性颅内高压(IH)为表现的LNB。

病例介绍

一名6岁女性在蜱虫叮咬并嵌入皮肤47天后,因双眼水平复视、头痛、发热、不适以及疑似视乳头水肿就诊于我院儿科医院。10天前在社区根据血清学阳性和游走性红斑诊断为莱姆病,但她在口服强力霉素24小时内出现了赫克斯海默反应,导致抗生素更换为阿莫西林。住院期间,眼科检查发现视乳头水肿,脑MRI检查结果及腰穿初压36 mmHg证实存在颅内高压。腰椎穿刺显示脑脊液有核细胞增多以及脑脊液抗体阳性。患者最初接受了2天的头孢曲松治疗,随后门诊接受了为期12天的强力霉素治疗LNB。需要高剂量的乙酰唑胺(500 mg,每日三次)来控制症状。出院两个月后,视乳头水肿消退,乙酰唑胺逐渐减量。

结论

本病例强调了在颅内高压的鉴别诊断中考虑莱姆病的重要性,特别是在流行地区。早期识别、诊断检查和适当治疗对于LNB的最佳治疗效果至关重要。

https://cdn.ncbi.nlm.nih.gov/pmc/blobs/31f0/12187110/0cc089dbc715/crn-2025-0017-0001-546097_F01.jpg

文献AI研究员

20分钟写一篇综述,助力文献阅读效率提升50倍。

立即体验

用中文搜PubMed

大模型驱动的PubMed中文搜索引擎

马上搜索

文档翻译

学术文献翻译模型,支持多种主流文档格式。

立即体验