• 文献检索
  • 文档翻译
  • 深度研究
  • 学术资讯
  • Suppr Zotero 插件Zotero 插件
  • 邀请有礼
  • 套餐&价格
  • 历史记录
应用&插件
Suppr Zotero 插件Zotero 插件浏览器插件Mac 客户端Windows 客户端微信小程序
定价
高级版会员购买积分包购买API积分包
服务
文献检索文档翻译深度研究API 文档MCP 服务
关于我们
关于 Suppr公司介绍联系我们用户协议隐私条款
关注我们

Suppr 超能文献

核心技术专利:CN118964589B侵权必究
粤ICP备2023148730 号-1Suppr @ 2026

文献检索

告别复杂PubMed语法,用中文像聊天一样搜索,搜遍4000万医学文献。AI智能推荐,让科研检索更轻松。

立即免费搜索

文件翻译

保留排版,准确专业,支持PDF/Word/PPT等文件格式,支持 12+语言互译。

免费翻译文档

深度研究

AI帮你快速写综述,25分钟生成高质量综述,智能提取关键信息,辅助科研写作。

立即免费体验

STOX1亚型A通过细胞周期蛋白B1转录上调和ROS依赖的PTEN/AKT1信号激活的双重机制促进肝细胞癌的增殖和进展。

STOX1 Isoform A Promotes Proliferation and Progression of Hepatocellular Carcinoma by Dual Mechanisms of Transcriptionally Upregulation of Cyclin B1 and Activation of ROS-Dependent PTEN/AKT1 Signaling.

作者信息

Jiang Chunlin, Wang Chong, Ao Jian, Liu Yangping, Sun Fengjie, Shi Wangpan, Guo Zeyi, Wu Yanping, Gan Luxiang, Wu Meimei, Zhi Yaofeng, Meng Zijie, Wu Wanting, Wu Juanhua, Ye Yong, Zhang Xin, Ren Dong, Pan Mingxin

机构信息

Department of Hepatobiliary Surgery II, Zhujiang Hospital, Southern Medical University, Guangzhou, P. R. China.

General Surgery, The Fifth Affiliated Hospital of Guangzhou Medical University, Guangzhou, P. R. China.

出版信息

Cancer Med. 2025 Jul;14(13):e70958. doi: 10.1002/cam4.70958.

DOI:10.1002/cam4.70958
PMID:40567110
原文链接:https://pmc.ncbi.nlm.nih.gov/articles/PMC12198656/
Abstract

BACKGROUND

Dysregulation of transcription factors is one of the most common factors for the pathogenesis of hepatocellular carcinoma (HCC). To the best of our knowledge, no study has yet investigated the clinical significance and functional role of STOX1 in HCC.

METHODS

Real-time PCR, Western blotting and immunohistochemistry were performed to examine the expression of STOX1-A in HCC specimens. Animal experiment in vivo and functional cell assays in vitro were used to investigate the tumorigenic and proliferative ability of HCC cells. Luciferase and ROS assays were depolyed to investigate the molecular mechanisms underlying the biologic role of STOX1-A in HCC.

RESULTS

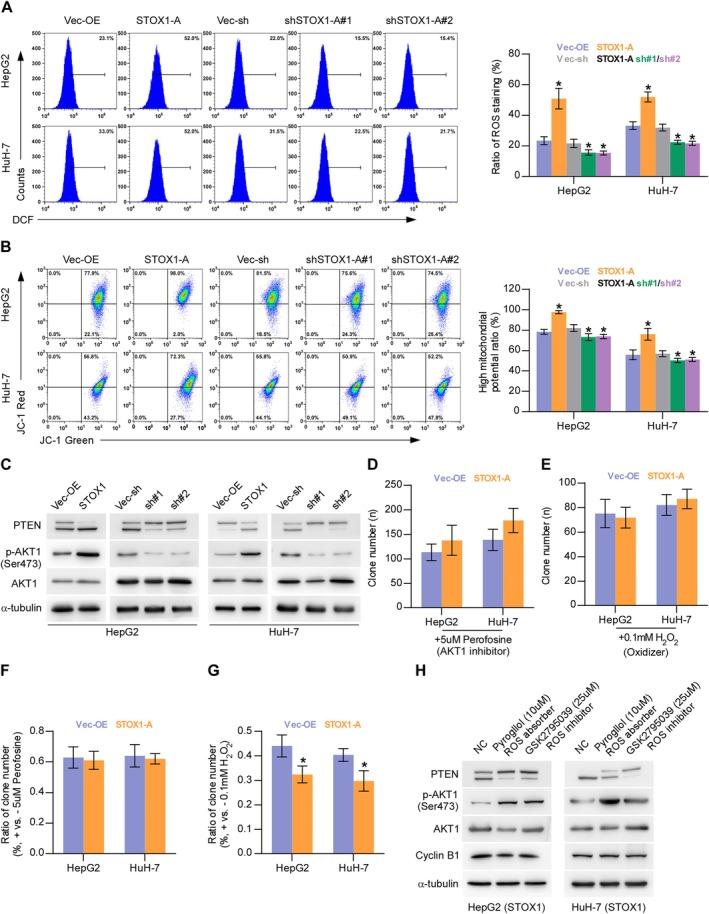
In this study, we report that STOX1 isoform A (STOX1-A) is significantly upregulated in HCC tissues, and elevated STOX1-A levels are associated with poorer overall survival and progression-free survival in HCC patients. Functional assays demonstrated that STOX1-A upregulation promotes, whereas its silencing suppresses, HCC cell proliferation and growth both in vitro and in vivo. Mechanistic investigations revealed a dual mechanism by which STOX1-A drives HCC progression. First, STOX1-A transcriptionally upregulates cyclin B1, promoting cell proliferation. Second, it activates the AKT1 signaling pathway through reactive oxygen species (ROS)-mediated deactivation of PTEN. Furthermore, a positive correlation between STOX1-A expression and the levels of cyclin B1 and phosphorylated AKT1 (p-AKT1 Ser473) was observed in clinical HCC samples.

CONCLUSION

Our findings identify a novel dual mechanism by which STOX1-A promotes HCC proliferation and growth, offering potential avenues for the development of anti-tumor therapeutic strategies targeting STOX1-A in HCC.

摘要

背景

转录因子失调是肝细胞癌(HCC)发病机制中最常见的因素之一。据我们所知,尚无研究探讨STOX1在HCC中的临床意义和功能作用。

方法

采用实时PCR、蛋白质印迹法和免疫组织化学法检测HCC标本中STOX1-A的表达。利用体内动物实验和体外细胞功能实验研究HCC细胞的致瘤和增殖能力。采用荧光素酶和活性氧(ROS)检测法探讨STOX1-A在HCC中生物学作用的分子机制。

结果

在本研究中,我们发现STOX1同工型A(STOX1-A)在HCC组织中显著上调,且STOX1-A水平升高与HCC患者较差的总生存期和无进展生存期相关。功能实验表明,STOX1-A上调促进HCC细胞增殖和生长,而其沉默则抑制体外和体内的HCC细胞增殖和生长。机制研究揭示了STOX1-A驱动HCC进展的双重机制。首先,STOX1-A转录上调细胞周期蛋白B1,促进细胞增殖。其次,它通过活性氧(ROS)介导的PTEN失活激活AKT1信号通路。此外,在临床HCC样本中观察到STOX1-A表达与细胞周期蛋白B1和磷酸化AKT1(p-AKT1 Ser473)水平之间呈正相关。

结论

我们的研究结果确定了STOX1-A促进HCC增殖和生长的一种新的双重机制,为开发针对HCC中STOX1-A的抗肿瘤治疗策略提供了潜在途径。

https://cdn.ncbi.nlm.nih.gov/pmc/blobs/8077/12198656/85b54c279374/CAM4-14-e70958-g002.jpg
https://cdn.ncbi.nlm.nih.gov/pmc/blobs/8077/12198656/7b3f46e8c4ba/CAM4-14-e70958-g006.jpg
https://cdn.ncbi.nlm.nih.gov/pmc/blobs/8077/12198656/a3209a6b97b9/CAM4-14-e70958-g004.jpg
https://cdn.ncbi.nlm.nih.gov/pmc/blobs/8077/12198656/681f97bd5ca9/CAM4-14-e70958-g005.jpg
https://cdn.ncbi.nlm.nih.gov/pmc/blobs/8077/12198656/83d01a071fd3/CAM4-14-e70958-g007.jpg
https://cdn.ncbi.nlm.nih.gov/pmc/blobs/8077/12198656/e7f489710b3b/CAM4-14-e70958-g003.jpg
https://cdn.ncbi.nlm.nih.gov/pmc/blobs/8077/12198656/54f3a1ed9321/CAM4-14-e70958-g001.jpg
https://cdn.ncbi.nlm.nih.gov/pmc/blobs/8077/12198656/85b54c279374/CAM4-14-e70958-g002.jpg
https://cdn.ncbi.nlm.nih.gov/pmc/blobs/8077/12198656/7b3f46e8c4ba/CAM4-14-e70958-g006.jpg
https://cdn.ncbi.nlm.nih.gov/pmc/blobs/8077/12198656/a3209a6b97b9/CAM4-14-e70958-g004.jpg
https://cdn.ncbi.nlm.nih.gov/pmc/blobs/8077/12198656/681f97bd5ca9/CAM4-14-e70958-g005.jpg
https://cdn.ncbi.nlm.nih.gov/pmc/blobs/8077/12198656/83d01a071fd3/CAM4-14-e70958-g007.jpg
https://cdn.ncbi.nlm.nih.gov/pmc/blobs/8077/12198656/e7f489710b3b/CAM4-14-e70958-g003.jpg
https://cdn.ncbi.nlm.nih.gov/pmc/blobs/8077/12198656/54f3a1ed9321/CAM4-14-e70958-g001.jpg
https://cdn.ncbi.nlm.nih.gov/pmc/blobs/8077/12198656/85b54c279374/CAM4-14-e70958-g002.jpg

相似文献

1
STOX1 Isoform A Promotes Proliferation and Progression of Hepatocellular Carcinoma by Dual Mechanisms of Transcriptionally Upregulation of Cyclin B1 and Activation of ROS-Dependent PTEN/AKT1 Signaling.STOX1亚型A通过细胞周期蛋白B1转录上调和ROS依赖的PTEN/AKT1信号激活的双重机制促进肝细胞癌的增殖和进展。
Cancer Med. 2025 Jul;14(13):e70958. doi: 10.1002/cam4.70958.
2
Hepatoma-Derived Growth Factor Promotes Liver Carcinogenesis by Inducing Phosphatase and Tensin Homolog Inactivation.肝癌衍生生长因子通过诱导磷酸酶和张力蛋白同源物失活促进肝癌发生。
Lab Invest. 2025 Jun;105(6):104127. doi: 10.1016/j.labinv.2025.104127. Epub 2025 Mar 11.
3
RPL35A Downregulation Suppresses Hepatocellular Carcinoma Cell Proliferation via NCAPG2 Inactivation.RPL35A下调通过NCAPG2失活抑制肝癌细胞增殖。
Cancer Med. 2025 Jun;14(12):e70985. doi: 10.1002/cam4.70985.
4
ARID1A deficiency promotes malignant proliferation of hepatocellular carcinoma by activating HDAC7/ENO1 signaling pathway.ARID1A缺陷通过激活HDAC7/ENO1信号通路促进肝细胞癌的恶性增殖。
Hepatol Commun. 2025 Jun 19;9(7). doi: 10.1097/HC9.0000000000000738. eCollection 2025 Jul 1.
5
Sirtuin 5 inhibits mitochondrial metabolism in liver cancer cells and promotes apoptosis by mediating the desuccinylation of CS.沉默调节蛋白5抑制肝癌细胞中的线粒体代谢,并通过介导柠檬酸合酶的去琥珀酰化促进细胞凋亡。
Front Immunol. 2025 Jun 10;16:1560989. doi: 10.3389/fimmu.2025.1560989. eCollection 2025.
6
Fbxw7 regulates hepatocellular carcinoma migration and invasion via Notch1 signaling pathway.Fbxw7通过Notch1信号通路调控肝细胞癌的迁移和侵袭。
Int J Oncol. 2015 Jul;47(1):231-43. doi: 10.3892/ijo.2015.2981. Epub 2015 May 4.
7
Inactivation of the Reactive Oxygen Species-Dependent PI3K/Akt/Mtor Signaling Pathway by Phloroglucinol Contributes to Cytotoxicity in Hep3B Human Hepatocellular Carcinoma Cells.间苯三酚使活性氧依赖的PI3K/Akt/Mtor信号通路失活,从而导致Hep3B人肝癌细胞产生细胞毒性。
Cell Physiol Biochem. 2025 Jun 13;59(3):389-403. doi: 10.33594/000000781.
8
Suppression of Hepatocellular Carcinoma by Deletion of SIRT2 in Hepatocytes via Elevated C/EBPβ/GADD45γ.通过升高C/EBPβ/GADD45γ,肝细胞中SIRT2缺失抑制肝细胞癌
Cell Mol Gastroenterol Hepatol. 2025;19(7):101494. doi: 10.1016/j.jcmgh.2025.101494. Epub 2025 Mar 11.
9
Spliced exon9 ADRM1 promotes liver oncogenicity via selective degradation of tumor suppressor FBXW7.剪接的外显子9 ADRM1通过选择性降解肿瘤抑制因子FBXW7促进肝脏致癌性。
J Hepatol. 2025 Jul;83(1):92-104. doi: 10.1016/j.jhep.2024.12.037. Epub 2025 Jan 7.
10
Upregulated SAE1 Drives Tumorigenesis and Is Associated with Poor Clinical Outcomes in Breast Cancer.SAE1上调驱动肿瘤发生并与乳腺癌不良临床预后相关。
Breast J. 2024 Jun 30;2024:2981722. doi: 10.1155/2024/2981722. eCollection 2024.

本文引用的文献

1
N6-methyladenosine with immune infiltration and PD-L1 in hepatocellular carcinoma: novel perspective to personalized diagnosis and treatment.N6-甲基腺苷与肝癌中的免疫浸润和 PD-L1:个性化诊断和治疗的新视角。
Front Endocrinol (Lausanne). 2023 Jul 3;14:1153802. doi: 10.3389/fendo.2023.1153802. eCollection 2023.
2
Hsa_circ_0137652 Regulates miR-1205/CCNB1 Axis to Accelerate the Malignancy of Breast Cancer.Hsa_circ_0137652 通过调控 miR-1205/CCNB1 轴促进乳腺癌的恶性进展。
Mol Biotechnol. 2023 Nov;65(11):1824-1835. doi: 10.1007/s12033-023-00684-4. Epub 2023 Feb 20.
3
Single-cell tumor-immune microenvironment of BRCA1/2 mutated high-grade serous ovarian cancer.
BRCA1/2 突变型高级别浆液性卵巢癌的单细胞肿瘤免疫微环境。
Nat Commun. 2022 Feb 11;13(1):835. doi: 10.1038/s41467-022-28389-3.
4
Downregulation of is a novel prognostic biomarker for glioma patients.[具体基因名称]的下调是胶质瘤患者一种新的预后生物标志物。 (注:原文中“Downregulation of ”缺少具体基因等相关内容,这里用[具体基因名称]表示需补充完整的部分)
Open Life Sci. 2021 Oct 25;16(1):1164-1174. doi: 10.1515/biol-2021-0119. eCollection 2021.
5
MYC-targeted WDR4 promotes proliferation, metastasis, and sorafenib resistance by inducing CCNB1 translation in hepatocellular carcinoma.WDR4 靶向 MYC 通过诱导肝癌细胞中 CCNB1 翻译促进增殖、转移和索拉非尼耐药。
Cell Death Dis. 2021 Jul 9;12(7):691. doi: 10.1038/s41419-021-03973-5.
6
Urothelial Cancer Associated 1 (UCA1) and miR-193 Are Two Non-coding RNAs Involved in Trophoblast Fusion and Placental Diseases.尿路上皮癌相关1(UCA1)和miR-193是两种参与滋养层融合和胎盘疾病的非编码RNA。
Front Cell Dev Biol. 2021 May 13;9:633937. doi: 10.3389/fcell.2021.633937. eCollection 2021.
7
In silico development and clinical validation of novel 8 gene signature based on lipid metabolism related genes in colon adenocarcinoma.基于脂质代谢相关基因的新型 8 基因标志物在结肠腺癌中的计算机开发和临床验证。
Pharmacol Res. 2021 Jul;169:105644. doi: 10.1016/j.phrs.2021.105644. Epub 2021 Apr 30.
8
Redox Regulation of PTEN by Peroxiredoxins.过氧化物酶对PTEN的氧化还原调节
Antioxidants (Basel). 2021 Feb 16;10(2):302. doi: 10.3390/antiox10020302.
9
UBE2S interacting with TRIM28 in the nucleus accelerates cell cycle by ubiquitination of p27 to promote hepatocellular carcinoma development.UBE2S 在核内与 TRIM28 相互作用,通过泛素化 p27 来加速细胞周期,从而促进肝细胞癌的发展。
Signal Transduct Target Ther. 2021 Feb 16;6(1):64. doi: 10.1038/s41392-020-00432-z.
10
The main anthocyanin monomer of Lycium ruthenicum Murray induces apoptosis through the ROS/PTEN/PI3K/Akt/caspase 3 signaling pathway in prostate cancer DU-145 cells.黑果枸杞中主要的花色苷单体通过 ROS/PTEN/PI3K/Akt/caspase 3 信号通路诱导前列腺癌细胞 DU-145 凋亡。
Food Funct. 2021 Feb 21;12(4):1818-1828. doi: 10.1039/d0fo02382e. Epub 2021 Feb 2.