• 文献检索
  • 文档翻译
  • 深度研究
  • 学术资讯
  • Suppr Zotero 插件Zotero 插件
  • 邀请有礼
  • 套餐&价格
  • 历史记录
应用&插件
Suppr Zotero 插件Zotero 插件浏览器插件Mac 客户端Windows 客户端微信小程序
定价
高级版会员购买积分包购买API积分包
服务
文献检索文档翻译深度研究API 文档MCP 服务
关于我们
关于 Suppr公司介绍联系我们用户协议隐私条款
关注我们

Suppr 超能文献

核心技术专利:CN118964589B侵权必究
粤ICP备2023148730 号-1Suppr @ 2026

文献检索

告别复杂PubMed语法,用中文像聊天一样搜索,搜遍4000万医学文献。AI智能推荐,让科研检索更轻松。

立即免费搜索

文件翻译

保留排版,准确专业,支持PDF/Word/PPT等文件格式,支持 12+语言互译。

免费翻译文档

深度研究

AI帮你快速写综述,25分钟生成高质量综述,智能提取关键信息,辅助科研写作。

立即免费体验

高毒力肺炎克雷伯菌肝脓肿病例中尽管实现局部控制仍出现反复播散:一例报告

Recurrent Dissemination Despite Local Control in a Case of Hypervirulent Klebsiella pneumoniae Liver Abscess: A Case Report.

作者信息

Oka Kohei, Yamamoto Natsumi, Amano Shiho, Sano Chiaki, Ohta Ryuichi

机构信息

Community Care, Unnan City Hospital, Unnan, JPN.

Community Medicine Management, Faculty of Medicine, Shimane University, Izumo, JPN.

出版信息

Cureus. 2025 Jun 5;17(6):e85438. doi: 10.7759/cureus.85438. eCollection 2025 Jun.

DOI:10.7759/cureus.85438
PMID:40621340
原文链接:https://pmc.ncbi.nlm.nih.gov/articles/PMC12228582/
Abstract

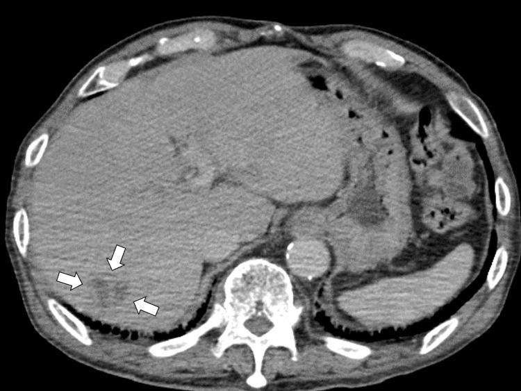
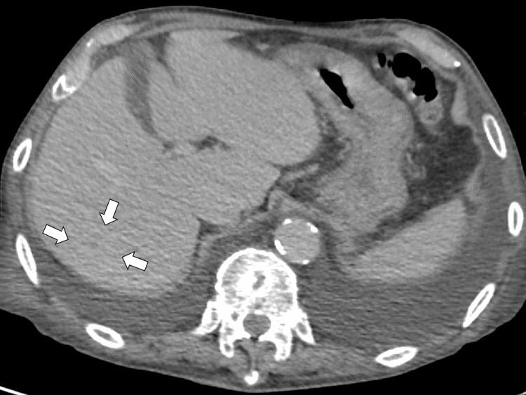
An 82-year-old man with multiple comorbidities presented to a rural hospital with fever and reduced mobility and was diagnosed with a liver abscess due to hypervirulent  (HVKP). Initial treatment with intravenous antibiotics led to radiological improvement, but the patient experienced recurrent bacteremia, low back pain, and eventually developed an epidural abscess, infectious endocarditis, and cerebral septic emboli. Despite antibiotic escalation and supportive care, his condition deteriorated, and surgical intervention was deemed unfeasible due to advanced sepsis and heart failure. He died on hospital day 27. This case highlights the diagnostic and therapeutic challenges of HVKP infections, especially in older adults with underlying illnesses. Even with early treatment and apparent control of the primary abscess, HVKP can disseminate hematogenously, leading to severe complications. Clinicians should maintain a high index of suspicion for systemic spread and consider prolonged treatment and closer monitoring, particularly in elderly or immunocompromised patients.

摘要

一名患有多种合并症的82岁男性因发热和活动能力下降前往一家乡村医院就诊,被诊断为高毒力肺炎克雷伯菌(HVKP)所致的肝脓肿。最初采用静脉抗生素治疗使影像学表现有所改善,但患者出现复发性菌血症、腰痛,最终发展为硬膜外脓肿、感染性心内膜炎和脑脓毒性栓子。尽管升级了抗生素治疗并给予支持治疗,但其病情仍恶化,由于严重脓毒症和心力衰竭,手术干预被认为不可行。他于住院第27天死亡。该病例凸显了HVKP感染的诊断和治疗挑战,尤其是在患有基础疾病的老年人中。即使早期治疗且原发性脓肿得到明显控制,HVKP仍可经血行播散,导致严重并发症。临床医生应高度怀疑其发生全身播散,并考虑延长治疗时间和加强监测,尤其是在老年或免疫功能低下的患者中。

https://cdn.ncbi.nlm.nih.gov/pmc/blobs/11ac/12228582/06b05e141594/cureus-0017-00000085438-i06.jpg
https://cdn.ncbi.nlm.nih.gov/pmc/blobs/11ac/12228582/1cb95d5a6143/cureus-0017-00000085438-i01.jpg
https://cdn.ncbi.nlm.nih.gov/pmc/blobs/11ac/12228582/236a01054001/cureus-0017-00000085438-i02.jpg
https://cdn.ncbi.nlm.nih.gov/pmc/blobs/11ac/12228582/65d98f262de3/cureus-0017-00000085438-i03.jpg
https://cdn.ncbi.nlm.nih.gov/pmc/blobs/11ac/12228582/d421af7d3825/cureus-0017-00000085438-i04.jpg
https://cdn.ncbi.nlm.nih.gov/pmc/blobs/11ac/12228582/c33417b1d9b5/cureus-0017-00000085438-i05.jpg
https://cdn.ncbi.nlm.nih.gov/pmc/blobs/11ac/12228582/06b05e141594/cureus-0017-00000085438-i06.jpg
https://cdn.ncbi.nlm.nih.gov/pmc/blobs/11ac/12228582/1cb95d5a6143/cureus-0017-00000085438-i01.jpg
https://cdn.ncbi.nlm.nih.gov/pmc/blobs/11ac/12228582/236a01054001/cureus-0017-00000085438-i02.jpg
https://cdn.ncbi.nlm.nih.gov/pmc/blobs/11ac/12228582/65d98f262de3/cureus-0017-00000085438-i03.jpg
https://cdn.ncbi.nlm.nih.gov/pmc/blobs/11ac/12228582/d421af7d3825/cureus-0017-00000085438-i04.jpg
https://cdn.ncbi.nlm.nih.gov/pmc/blobs/11ac/12228582/c33417b1d9b5/cureus-0017-00000085438-i05.jpg
https://cdn.ncbi.nlm.nih.gov/pmc/blobs/11ac/12228582/06b05e141594/cureus-0017-00000085438-i06.jpg

相似文献

1
Recurrent Dissemination Despite Local Control in a Case of Hypervirulent Klebsiella pneumoniae Liver Abscess: A Case Report.高毒力肺炎克雷伯菌肝脓肿病例中尽管实现局部控制仍出现反复播散:一例报告
Cureus. 2025 Jun 5;17(6):e85438. doi: 10.7759/cureus.85438. eCollection 2025 Jun.
2
Spinal Epidural Abscess: Raising the Index of Suspicion.脊柱硬膜外脓肿:提高警惕性
Cureus. 2025 Jun 6;17(6):e85465. doi: 10.7759/cureus.85465. eCollection 2025 Jun.
3
Predictors of hypervirulent Klebsiella pneumoniae infections: a systematic review and meta-analysis.高毒力肺炎克雷伯菌感染的预测因素:系统评价和荟萃分析。
J Hosp Infect. 2023 Apr;134:153-160. doi: 10.1016/j.jhin.2023.02.005. Epub 2023 Feb 21.
4
A Rare Case of Cerebral Abscess due to with Native Aortic Valve Infective Endocarditis and Pyogenic Liver Abscess.罕见的由 引起的脑脓肿合并 native aortic valve infective endocarditis 和化脓性肝脓肿。
J Investig Med High Impact Case Rep. 2024 Jan-Dec;12:23247096241272014. doi: 10.1177/23247096241272014.
5
A case of fatal disseminated infection with masticator space abscess caused by ESBL-producing K57-ST412 hypervirulent Klebsiella pneumoniae.一例由产超广谱β-内酰胺酶的K57-ST412高毒力肺炎克雷伯菌引起的伴有咀嚼肌间隙脓肿的致命性播散性感染病例。
J Infect Chemother. 2025 Mar;31(3):102584. doi: 10.1016/j.jiac.2024.12.013. Epub 2024 Dec 15.
6
A Rare Case of Rapidly Progressive Haemophilus Parainfluenzae Endocarditis With Cerebral Emboli.一例罕见的伴有脑栓塞的快速进展性副流感嗜血杆菌性心内膜炎
Cureus. 2025 Jun 4;17(6):e85347. doi: 10.7759/cureus.85347. eCollection 2025 Jun.
7
Systemic antibiotics for symptomatic apical periodontitis and acute apical abscess in adults.用于成人症状性根尖周炎和急性根尖脓肿的全身用抗生素。
Cochrane Database Syst Rev. 2018 Sep 27;9(9):CD010136. doi: 10.1002/14651858.CD010136.pub3.
8
Intracavity lavage and wound irrigation for prevention of surgical site infection.腔内灌洗和伤口冲洗预防手术部位感染
Cochrane Database Syst Rev. 2017 Oct 30;10(10):CD012234. doi: 10.1002/14651858.CD012234.pub2.
9
Management of urinary stones by experts in stone disease (ESD 2025).结石病专家对尿路结石的管理(2025年结石病专家共识)
Arch Ital Urol Androl. 2025 Jun 30;97(2):14085. doi: 10.4081/aiua.2025.14085.
10
Emergence of ST11-KL64 carbapenem-resistant hypervirulent Klebsiella Pneumoniae isolates harboring bla and iucA from a tertiary teaching hospital in Western China.中国西部一家三级教学医院中携带bla和iucA的ST11-KL64碳青霉烯耐药高毒力肺炎克雷伯菌分离株的出现。
BMC Infect Dis. 2025 Jul 1;25(1):880. doi: 10.1186/s12879-025-11241-6.

本文引用的文献

1
Decoding virulence and resistance in Klebsiella pneumoniae: Pharmacological insights, immunological dynamics, and in silico therapeutic strategies.解读肺炎克雷伯菌的毒力与耐药性:药理学见解、免疫动力学及计算机模拟治疗策略
Microb Pathog. 2025 Aug;205:107691. doi: 10.1016/j.micpath.2025.107691. Epub 2025 May 10.
2
A Comprehensive Overview of : Resistance Dynamics, Clinical Manifestations, and Therapeutic Options.《耐药动态、临床表现及治疗选择综述》
Infect Drug Resist. 2025 Mar 25;18:1611-1628. doi: 10.2147/IDR.S502175. eCollection 2025.
3
Hypervirulent (hv): Overview, Epidemiology, and Laboratory Detection.
高毒力(hv):概述、流行病学及实验室检测
Pathog Immun. 2025 Jan 24;10(1):80-119. doi: 10.20411/pai.v10i1.777. eCollection 2024.
4
The Rapid Emergence of Hypervirulent Species and as Major Health Threats in Southeast Asia: The Urgent Need for Recognition as Neglected Tropical Diseases.高毒力物种的迅速出现及其作为东南亚主要健康威胁的情况:迫切需要将其认定为被忽视的热带病。
Trop Med Infect Dis. 2024 Apr 8;9(4):80. doi: 10.3390/tropicalmed9040080.
5
A unique case of hypervirulent acute cholecystitis complicated by portal vein thrombophlebitis: A case report and literature review.1例高毒力急性胆囊炎合并门静脉血栓性静脉炎的罕见病例:病例报告及文献综述
IDCases. 2024 Apr 1;36:e01935. doi: 10.1016/j.idcr.2024.e01935. eCollection 2024.
6
Decision-Making in the Admission of Older Patients: A Thematic Analysis From Multiple-Stakeholder Perspectives.老年患者入院决策:多利益相关者视角的主题分析
Cureus. 2024 Jan 9;16(1):e51966. doi: 10.7759/cureus.51966. eCollection 2024 Jan.
7
Multiple Prostatic Abscesses Caused by Staphylococcus aureus Without Physical Findings in an Immunosuppressed Older Patient.一名免疫抑制老年患者金黄色葡萄球菌引起的多发性前列腺脓肿且无体格检查发现
Cureus. 2023 Jan 9;15(1):e33555. doi: 10.7759/cureus.33555. eCollection 2023 Jan.
8
Interconnections between Inflammageing and Immunosenescence during Ageing.衰老过程中炎症与免疫衰老的相互关系。
Cells. 2022 Jan 21;11(3):359. doi: 10.3390/cells11030359.
9
Fatal fulminant community-acquired pneumonia caused by hypervirulent Klebsiella pneumoniae K2-ST86: Case report.高毒力肺炎克雷伯菌K2-ST86引起的致死性暴发性社区获得性肺炎:病例报告
Medicine (Baltimore). 2020 May 22;99(21):e20360. doi: 10.1097/MD.0000000000020360.
10
Hypervirulent Klebsiella pneumoniae - clinical and molecular perspectives.高毒力肺炎克雷伯菌:临床与分子视角
J Intern Med. 2020 Mar;287(3):283-300. doi: 10.1111/joim.13007. Epub 2019 Nov 21.