• 文献检索
  • 文档翻译
  • 深度研究
  • 学术资讯
  • Suppr Zotero 插件Zotero 插件
  • 邀请有礼
  • 套餐&价格
  • 历史记录
应用&插件
Suppr Zotero 插件Zotero 插件浏览器插件Mac 客户端Windows 客户端微信小程序
定价
高级版会员购买积分包购买API积分包
服务
文献检索文档翻译深度研究API 文档MCP 服务
关于我们
关于 Suppr公司介绍联系我们用户协议隐私条款
关注我们

Suppr 超能文献

核心技术专利:CN118964589B侵权必究
粤ICP备2023148730 号-1Suppr @ 2026

文献检索

告别复杂PubMed语法,用中文像聊天一样搜索,搜遍4000万医学文献。AI智能推荐,让科研检索更轻松。

立即免费搜索

文件翻译

保留排版,准确专业,支持PDF/Word/PPT等文件格式,支持 12+语言互译。

免费翻译文档

深度研究

AI帮你快速写综述,25分钟生成高质量综述,智能提取关键信息,辅助科研写作。

立即免费体验

Double-Outlet Right Ventricle in an Adult With a Univentricular Heart and Total Situs Inversus.

作者信息

Arenas-Fabbri Vincenzo, Andrade-Cuellar Elias Noel, Guillot-Castillo Saúl Yair, Monroy-Jiménez Maria Alejandra, Maldonado-Tenesaca Andrea Paulina, Aceves-Millan Rocio, Solis-Gómez Juan Carlos, Robledo-Nolasco Rogelio, de Jesús Encinos-Méndez Diego, Elizalde-Uribe Ivan Alejandro

机构信息

Department of Cardiovascular Imaging, National Medical Center "November 20th," Institute of Social Security and Services for State Workers, Mexico City, Mexico.

Clinical Cardiology, National Medical Center "November 20th," Institute of Social Security and Services for State Workers, Mexico City, Mexico; Cardiac Electrophysiology, National Medical Center "November 20th," Institute of Social Security and Services for State Workers, Mexico City, Mexico.

出版信息

JACC Case Rep. 2025 Jul 9;30(18):103958. doi: 10.1016/j.jaccas.2025.103958.

DOI:10.1016/j.jaccas.2025.103958
PMID:40645705
原文链接:https://pmc.ncbi.nlm.nih.gov/articles/PMC12441456/
Abstract

BACKGROUND

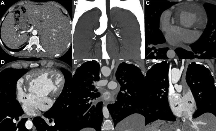
Double-outlet right ventricle is a complex conotruncal anomaly in which both great arteries arise predominantly from the right ventricle. The coexistence of total situs inversus and univentricular physiology is exceedingly rare.

CASE SUMMARY

A 38-year-old man presented with severe chronic cyanosis (baseline oxygen saturation 65%), NYHA functional class III dyspnea, and right-sided heart failure. Multimodal imaging (echocardiography, CT, and cardiac magnetic resonance) confirmed total situs inversus, a markedly hypoplastic left ventricle anatomically isolated by a muscular ridge, and double-outlet right ventricle with moderate subpulmonary stenosis. His condition was stabilized medically, but surgical risk was deemed prohibitive owing to his univentricular physiology.

DISCUSSION

This case underscores the critical importance of comprehensive imaging for delineating complex intracardiac anatomy and illustrates how moderate subpulmonary stenosis can temper pulmonary overcirculation, thereby prolonging survival.

TAKE-HOME MESSAGE: Meticulous anatomical definition is essential for managing rare adult congenital heart disease.

摘要
https://cdn.ncbi.nlm.nih.gov/pmc/blobs/32f3/12441456/b35369cefb5b/gr6.jpg
https://cdn.ncbi.nlm.nih.gov/pmc/blobs/32f3/12441456/356ed2d4ad6d/ga1.jpg
https://cdn.ncbi.nlm.nih.gov/pmc/blobs/32f3/12441456/21096107eace/gr1.jpg
https://cdn.ncbi.nlm.nih.gov/pmc/blobs/32f3/12441456/5e1549b55e14/gr2.jpg
https://cdn.ncbi.nlm.nih.gov/pmc/blobs/32f3/12441456/0c4a0a9e5c85/gr3.jpg
https://cdn.ncbi.nlm.nih.gov/pmc/blobs/32f3/12441456/590cd7027dea/gr4.jpg
https://cdn.ncbi.nlm.nih.gov/pmc/blobs/32f3/12441456/c2837a87828b/gr5.jpg
https://cdn.ncbi.nlm.nih.gov/pmc/blobs/32f3/12441456/b35369cefb5b/gr6.jpg
https://cdn.ncbi.nlm.nih.gov/pmc/blobs/32f3/12441456/356ed2d4ad6d/ga1.jpg
https://cdn.ncbi.nlm.nih.gov/pmc/blobs/32f3/12441456/21096107eace/gr1.jpg
https://cdn.ncbi.nlm.nih.gov/pmc/blobs/32f3/12441456/5e1549b55e14/gr2.jpg
https://cdn.ncbi.nlm.nih.gov/pmc/blobs/32f3/12441456/0c4a0a9e5c85/gr3.jpg
https://cdn.ncbi.nlm.nih.gov/pmc/blobs/32f3/12441456/590cd7027dea/gr4.jpg
https://cdn.ncbi.nlm.nih.gov/pmc/blobs/32f3/12441456/c2837a87828b/gr5.jpg
https://cdn.ncbi.nlm.nih.gov/pmc/blobs/32f3/12441456/b35369cefb5b/gr6.jpg

相似文献

1
Double-Outlet Right Ventricle in an Adult With a Univentricular Heart and Total Situs Inversus.
JACC Case Rep. 2025 Jul 9;30(18):103958. doi: 10.1016/j.jaccas.2025.103958.
2
Incidence, Associated Abnormalities, and Outcomes of Dextrocardia: A Registry-based Study in Saudi Arabia.右位心的发病率、相关异常及预后:沙特阿拉伯一项基于登记处的研究
J Saudi Heart Assoc. 2025 Jun 20;37(3):6. doi: 10.37616/2212-5043.1438. eCollection 2025.
3
Unraveling the complexities of double outlet right ventricle (DORV): A rare case of congenital heart disease with bidirectional shunting in a young girl.解析右心室双出口(DORV)的复杂性:一名年轻女孩患先天性心脏病并伴有双向分流的罕见病例。
Radiol Case Rep. 2025 May 22;20(8):3930-3937. doi: 10.1016/j.radcr.2025.04.075. eCollection 2025 Aug.
4
Long-term results after the réparation à l'étage ventriculaire procedure for transposition of the great arteries and double-outlet right ventricle with pulmonary stenosis.大动脉转位和右心室双出口伴肺动脉瓣狭窄行心室修补术后的长期结果。
Eur J Cardiothorac Surg. 2023 Dec 1;64(6). doi: 10.1093/ejcts/ezad409.
5
Foreign Body-induced Appendicitis in Situs Inversus Totalis: Diagnostic and Management Challenges in the Emergency Department: a Rare Case Report.全内脏转位中异物所致阑尾炎:急诊科的诊断与处理挑战:1例罕见病例报告
Ann Med Surg (Lond). 2025 May 20;87(7):4549-4553. doi: 10.1097/MS9.0000000000003369. eCollection 2025 Jul.
6
Overcoming mirror anatomy: surgical strategies for laparoscopic cholecystectomy in situs inversus totalis: a case report.克服镜像解剖:全内脏反位患者腹腔镜胆囊切除术的手术策略:一例报告
J Med Case Rep. 2025 Sep 1;19(1):436. doi: 10.1186/s13256-025-05207-0.
7
A Retrospective Study on the Imaging Spectrum of Functional Single Ventricle and Its Associations.功能性单心室影像谱及其关联的回顾性研究
Indian J Radiol Imaging. 2025 Jan 23;35(3):431-441. doi: 10.1055/s-0044-1801762. eCollection 2025 Jul.
8
The American Association for Thoracic Surgery (AATS) 2025 Expert Consensus Document: Management of Ebstein anomaly in children and adults.美国胸外科协会(AATS)2025年专家共识文件:儿童及成人埃布斯坦畸形的管理
J Thorac Cardiovasc Surg. 2025 Jul;170(1):1-16. doi: 10.1016/j.jtcvs.2025.03.014. Epub 2025 May 3.
9
Prescription of Controlled Substances: Benefits and Risks管制药品的处方:益处与风险
10
The Triply Twisted Heart: Cyanosis in an Adult With Situs Inversus, Levocardia, Double Outlet Right Ventricle, and Malposition of the Great Arteries.三扭结心脏:一名具有镜面右位心、左位心、右心室双出口及大动脉转位的成年患者的发绀情况
Cardiol Res. 2015 Dec;6(6):362-366. doi: 10.14740/cr440w. Epub 2015 Dec 16.

本文引用的文献

1
Double outlet right ventricle.右心室双出口
Front Pediatr. 2023 Sep 25;11:1244558. doi: 10.3389/fped.2023.1244558. eCollection 2023.
2
Double outlet ventricles: review of anatomic and imaging characteristics.双出口心室:解剖和影像学特征综述。
Heart. 2023 May 26;109(12):905-912. doi: 10.1136/heartjnl-2022-321955.
3
Double outlet right ventricle in adults: Anatomic variability, surgical treatment, and late postoperative complications.成人双出口右心室:解剖学变异、手术治疗及晚期术后并发症。
J Clin Ultrasound. 2022 Oct;50(8):1151-1165. doi: 10.1002/jcu.23319.
4
Double outlet right ventricle presenting in an adult woman: a case report.成年女性双出口右心室一例报告
Radiol Case Rep. 2022 Mar 2;17(5):1413-1415. doi: 10.1016/j.radcr.2022.02.026. eCollection 2022 May.
5
Prenatal diagnosis of transposition-like double-outlet right ventricle with mitral valve atresia in heterotaxy syndrome.
J Clin Ultrasound. 2005 May;33(4):197-200. doi: 10.1002/jcu.20114.