Suppr超能文献

单侧眼球突出作为小儿急性髓系白血病的首发表现:1例罕见病例报告

Unilateral Exophthalmos as the Initial Presentation of Acute Myeloid Leukemia in a Pediatric Patient: A Report of a Rare Case.

作者信息

Erraoui Islam, Ghannam Ayyad, Azizi Manal, Elouali Aziza, Babakhouya Abdeladim, Rkain Maria

机构信息

Pediatrics, University Hospital Center of Mohammed VI, Faculty of Medicine and Pharmacy, Mohammed Premier University, Oujda, MAR.

Pediatric Oncology, University Hospital Center of Mohammed VI, Faculty of Medicine and Pharmacy, Mohammed Premier University, Oujda, MAR.

出版信息

Cureus. 2025 Jun 13;17(6):e85975. doi: 10.7759/cureus.85975. eCollection 2025 Jun.

Abstract

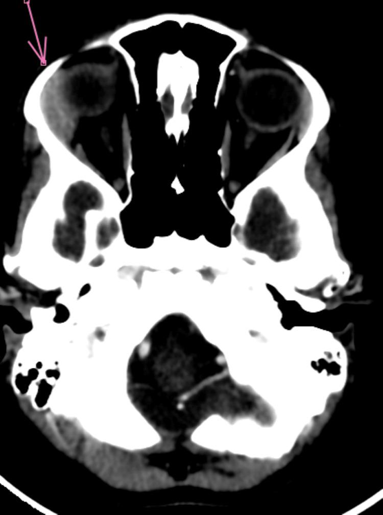
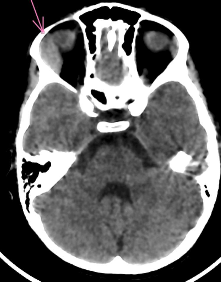
Acute myeloid leukemia (AML) is a malignant hematological condition characterized by the uncontrolled proliferation of immature myeloid cells in the bone marrow, which disrupts the normal production of blood cells. Although it is a relatively rare subtype of pediatric acute leukemia, it is a significant cause of leukemia-related mortality in children. Ocular involvement in acute leukemias, though uncommon, can be a revealing sign of the disease, sometimes presenting as either an initial or secondary manifestation, especially during relapse. We report the case of a five-year-old child presenting with progressive unilateral exophthalmos associated with fever, anemia, and chest pain, signs of general deterioration. Examinations revealed leukocytosis and circulating blasts, suggesting acute leukemia. A bone marrow aspirate confirmed the diagnosis of AML, subtype 2, with multilineage dysplasia. Orbital imaging showed exophthalmos associated with swelling of the lacrimal gland and infiltration of the extraconical fat. Chemotherapy treatment led to complete remission. Ocular manifestations, particularly exophthalmos, are frequently associated with AML and can indicate an aggressive form of the disease or extramedullary localization. Although this presentation generally has a poor prognosis, our case demonstrated a favorable outcome, which is exceptional in the literature. This case underscores the importance of considering leukemia in the differential diagnosis of unexplained exophthalmos in children and the need for rapid diagnostic testing, including bone marrow aspiration, to confirm the disease. Early recognition and appropriate treatment are crucial for improving prognosis.

摘要

急性髓系白血病(AML)是一种恶性血液疾病,其特征是骨髓中未成熟髓系细胞不受控制地增殖,这会扰乱血细胞的正常生成。尽管它是儿童急性白血病中相对罕见的亚型,但却是儿童白血病相关死亡的重要原因。急性白血病累及眼部虽然不常见,但可能是该病的一个提示性体征,有时表现为初始或继发表现,尤其是在复发期间。我们报告一例五岁儿童病例,该患儿出现进行性单侧眼球突出,并伴有发热、贫血和胸痛等全身状况恶化的体征。检查发现白细胞增多和循环原始细胞,提示急性白血病。骨髓穿刺确诊为AML,2型,伴有多系发育异常。眼眶成像显示眼球突出伴泪腺肿大和眶锥外脂肪浸润。化疗治疗导致完全缓解。眼部表现,尤其是眼球突出,常与AML相关,可提示疾病的侵袭性形式或髓外定位。虽然这种表现通常预后较差,但我们的病例显示了良好的结果,这在文献中是例外情况。该病例强调了在儿童不明原因眼球突出的鉴别诊断中考虑白血病的重要性,以及进行包括骨髓穿刺在内的快速诊断检测以确诊疾病的必要性。早期识别和适当治疗对改善预后至关重要。

https://cdn.ncbi.nlm.nih.gov/pmc/blobs/4fd8/12264361/ab73c2ad5f9d/cureus-0017-00000085975-i01.jpg

文献检索

告别复杂PubMed语法,用中文像聊天一样搜索,搜遍4000万医学文献。AI智能推荐,让科研检索更轻松。

立即免费搜索

文件翻译

保留排版,准确专业,支持PDF/Word/PPT等文件格式,支持 12+语言互译。

免费翻译文档

深度研究

AI帮你快速写综述,25分钟生成高质量综述,智能提取关键信息,辅助科研写作。

立即免费体验