Suppr超能文献

一名出生于美国且无人类免疫缺陷病毒的退伍军人患广泛性多灶性波特病。

Extensive, Multifocal Pott Disease in a United States-Born Veteran Without Human Immunodeficiency Virus.

作者信息

Arteaga David D, Arasaratnam Reuben J, Armitige Lisa Y, Storey Donald F

机构信息

Department of Internal Medicine, University of Texas Southwestern Medical Center, Dallas, Texas, USA.

Veterans Affairs North Texas Health Care System, University of Texas Southwestern Medical Center, Dallas, Texas, USA.

出版信息

Open Forum Infect Dis. 2025 Jul 1;12(7):ofaf398. doi: 10.1093/ofid/ofaf398. eCollection 2025 Jul.

Abstract

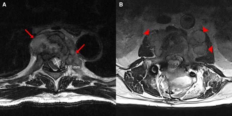
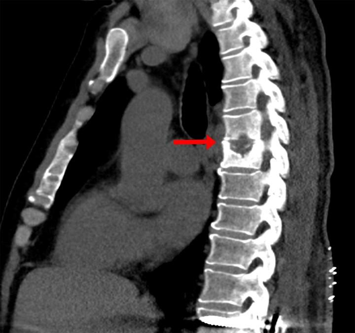
can infect the native vertebral body and nearby structures to cause tuberculous spondylodiscitis, also known as Pott disease. We present a case of extensive, multifocal Pott disease in a United States-born veteran without human immunodeficiency virus. We briefly comment on when to consider Pott disease in cases of vertebral osteomyelitis. We also discuss treatment considerations for Pott disease with and without tuberculous involvement of the central nervous system, the recognition of tuberculosis-associated immune reconstitution inflammatory syndrome, and certain indications for surgery in Pott disease.

摘要

可感染原生椎体及附近结构,导致结核性脊椎间盘炎,也称为波特病。我们报告一例在美国出生、无人类免疫缺陷病毒的退伍军人发生广泛、多灶性波特病的病例。我们简要评论在椎体骨髓炎病例中何时应考虑波特病。我们还讨论了波特病伴或不伴有中枢神经系统结核感染时的治疗考量、结核相关免疫重建炎症综合征的识别以及波特病的某些手术指征。

https://cdn.ncbi.nlm.nih.gov/pmc/blobs/c27a/12282389/8e50bef1c03a/ofaf398f1.jpg

文献检索

告别复杂PubMed语法,用中文像聊天一样搜索,搜遍4000万医学文献。AI智能推荐,让科研检索更轻松。

立即免费搜索

文件翻译

保留排版,准确专业,支持PDF/Word/PPT等文件格式,支持 12+语言互译。

免费翻译文档

深度研究

AI帮你快速写综述,25分钟生成高质量综述,智能提取关键信息,辅助科研写作。

立即免费体验