• 文献检索
  • 文档翻译
  • 深度研究
  • 学术资讯
  • Suppr Zotero 插件Zotero 插件
  • 邀请有礼
  • 套餐&价格
  • 历史记录
应用&插件
Suppr Zotero 插件Zotero 插件浏览器插件Mac 客户端Windows 客户端微信小程序
定价
高级版会员购买积分包购买API积分包
服务
文献检索文档翻译深度研究API 文档MCP 服务
关于我们
关于 Suppr公司介绍联系我们用户协议隐私条款
关注我们

Suppr 超能文献

核心技术专利:CN118964589B侵权必究
粤ICP备2023148730 号-1Suppr @ 2026

文献检索

告别复杂PubMed语法,用中文像聊天一样搜索,搜遍4000万医学文献。AI智能推荐,让科研检索更轻松。

立即免费搜索

文件翻译

保留排版,准确专业,支持PDF/Word/PPT等文件格式,支持 12+语言互译。

免费翻译文档

深度研究

AI帮你快速写综述,25分钟生成高质量综述,智能提取关键信息,辅助科研写作。

立即免费体验

原发性中枢神经系统黏膜相关淋巴组织淋巴瘤:一项诊断挑战。

Primary central nervous system mucosa-associated lymphoid tissue lymphoma: a diagnostic challenge.

作者信息

Nasiri Danial, Maragkou Theoni, Raabe Andreas, Krähenbühl Anna Katharina, Wagner Franca

机构信息

Department of Neurosurgery, Inselspital, 3010, Bern, Switzerland.

Department of Pathology, Inselspital, 3010, Bern, Switzerland.

出版信息

BJR Case Rep. 2025 Jul 17;11(4):uaaf037. doi: 10.1093/bjrcr/uaaf037. eCollection 2025 Jul.

DOI:10.1093/bjrcr/uaaf037
PMID:40740410
原文链接:https://pmc.ncbi.nlm.nih.gov/articles/PMC12308279/
Abstract

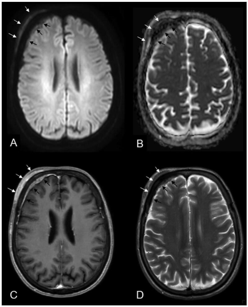
Primary central nervous system (CNS) mucosa-associated lymphoid tissue (MALT) lymphoma is a rare condition frequently mistaken for meningioma. Since these conditions require distinct treatment approaches, recognizing their imaging characteristics is essential for accurate clinical decision-making. A 69-year-old woman presented with headaches and forehead swelling, prompting MRI of the CNS. Suspecting an intracranial meningioma, the tumour board recommended surgical resection. However, histopathological analysis identified the lesion as a primary CNS MALT lymphoma. Follow-up revealed secondary cutaneous tumour infiltration, leading to a delay in adjuvant radiotherapy. Understanding the differential diagnoses of meningioma is critical for neuroradiologists and neurosurgeons to ensure appropriate treatment planning. This case highlights a misdiagnosis of meningioma that was ultimately identified as a primary CNS MALT lymphoma, emphasizing key imaging and clinical characteristics essential for distinguishing between the most important differential diagnoses of primary CNS MALT lymphoma.

摘要

原发性中枢神经系统(CNS)黏膜相关淋巴组织(MALT)淋巴瘤是一种罕见疾病,常被误诊为脑膜瘤。由于这些疾病需要不同的治疗方法,识别它们的影像学特征对于准确的临床决策至关重要。一名69岁女性因头痛和前额肿胀就诊,接受了中枢神经系统MRI检查。怀疑为颅内脑膜瘤,肿瘤委员会建议手术切除。然而,组织病理学分析确定该病变为原发性中枢神经系统MALT淋巴瘤。随访发现继发性皮肤肿瘤浸润,导致辅助放疗延迟。了解脑膜瘤的鉴别诊断对于神经放射科医生和神经外科医生确保适当的治疗计划至关重要。本病例突出了一例最初被误诊为脑膜瘤,最终被确诊为原发性中枢神经系统MALT淋巴瘤的病例,强调了区分原发性中枢神经系统MALT淋巴瘤最重要鉴别诊断所需的关键影像学和临床特征。

https://cdn.ncbi.nlm.nih.gov/pmc/blobs/4eb0/12308279/806561b48720/uaaf037f5.jpg
https://cdn.ncbi.nlm.nih.gov/pmc/blobs/4eb0/12308279/f104687c22cf/uaaf037f1.jpg
https://cdn.ncbi.nlm.nih.gov/pmc/blobs/4eb0/12308279/047f96aa8e09/uaaf037f2.jpg
https://cdn.ncbi.nlm.nih.gov/pmc/blobs/4eb0/12308279/f2442beba586/uaaf037f3.jpg
https://cdn.ncbi.nlm.nih.gov/pmc/blobs/4eb0/12308279/2d98a9edbd21/uaaf037f4.jpg
https://cdn.ncbi.nlm.nih.gov/pmc/blobs/4eb0/12308279/806561b48720/uaaf037f5.jpg
https://cdn.ncbi.nlm.nih.gov/pmc/blobs/4eb0/12308279/f104687c22cf/uaaf037f1.jpg
https://cdn.ncbi.nlm.nih.gov/pmc/blobs/4eb0/12308279/047f96aa8e09/uaaf037f2.jpg
https://cdn.ncbi.nlm.nih.gov/pmc/blobs/4eb0/12308279/f2442beba586/uaaf037f3.jpg
https://cdn.ncbi.nlm.nih.gov/pmc/blobs/4eb0/12308279/2d98a9edbd21/uaaf037f4.jpg
https://cdn.ncbi.nlm.nih.gov/pmc/blobs/4eb0/12308279/806561b48720/uaaf037f5.jpg

相似文献

1
Primary central nervous system mucosa-associated lymphoid tissue lymphoma: a diagnostic challenge.原发性中枢神经系统黏膜相关淋巴组织淋巴瘤:一项诊断挑战。
BJR Case Rep. 2025 Jul 17;11(4):uaaf037. doi: 10.1093/bjrcr/uaaf037. eCollection 2025 Jul.
2
Case Report: Concurrent primary CNS lymphoma and meningothelial meningioma - nuances of diagnosis and management.病例报告:原发性中枢神经系统淋巴瘤与脑膜皮型脑膜瘤并存——诊断与治疗的细微差别
F1000Res. 2019 Aug 28;8:103. doi: 10.12688/f1000research.17770.1. eCollection 2019.
3
Are Current Survival Prediction Tools Useful When Treating Subsequent Skeletal-related Events From Bone Metastases?当前的生存预测工具在治疗骨转移后的骨骼相关事件时有用吗?
Clin Orthop Relat Res. 2024 Sep 1;482(9):1710-1721. doi: 10.1097/CORR.0000000000003030. Epub 2024 Mar 22.
4
Comparison of Two Modern Survival Prediction Tools, SORG-MLA and METSSS, in Patients With Symptomatic Long-bone Metastases Who Underwent Local Treatment With Surgery Followed by Radiotherapy and With Radiotherapy Alone.两种现代生存预测工具 SORG-MLA 和 METSSS 在接受手术联合放疗和单纯放疗治疗有症状长骨转移患者中的比较。
Clin Orthop Relat Res. 2024 Dec 1;482(12):2193-2208. doi: 10.1097/CORR.0000000000003185. Epub 2024 Jul 23.
5
The Black Book of Psychotropic Dosing and Monitoring.《精神药物剂量与监测黑皮书》
Psychopharmacol Bull. 2024 Jul 8;54(3):8-59.
6
Uncommon Non-MS Demyelinating Disorders of the Central Nervous System.中枢神经系统罕见的非多发性硬化脱髓鞘疾病
Curr Neurol Neurosci Rep. 2025 Jul 1;25(1):45. doi: 10.1007/s11910-025-01432-8.
7
An aggressive, unresected pineoblastoma in an adult woman: the role of exclusive radiotherapy - a case report and literature review.一名成年女性的侵袭性、未切除松果体母细胞瘤:单纯放疗的作用——病例报告及文献综述
Ecancermedicalscience. 2025 May 15;19:1909. doi: 10.3332/ecancer.2025.1909. eCollection 2025.
8
"It Was Like the Final Piece in the Puzzle for Me": A Qualitative Study on the Experiences of Autistic Women Initially Diagnosed with Borderline Personality Disorder.“对我来说,这就像拼图中的最后一块”:一项关于最初被诊断为边缘型人格障碍的自闭症女性经历的定性研究
Autism Adulthood. 2024 Dec 2;6(4):428-437. doi: 10.1089/aut.2023.0031. eCollection 2024 Dec.
9
123I-MIBG scintigraphy and 18F-FDG-PET imaging for diagnosing neuroblastoma.用于诊断神经母细胞瘤的123I-间碘苄胍闪烁扫描术和18F-氟代脱氧葡萄糖正电子发射断层显像
Cochrane Database Syst Rev. 2015 Sep 29;2015(9):CD009263. doi: 10.1002/14651858.CD009263.pub2.
10
Predictors of survival in gastric mucosa-associated lymphoid tissue lymphoma: An updated surveillance, epidemiology, and end results-based analysis of age and gender disparities.胃黏膜相关淋巴组织淋巴瘤生存的预测因素:基于监测、流行病学及最终结果的年龄和性别差异的最新分析
World J Clin Oncol. 2025 Jun 24;16(6):106408. doi: 10.5306/wjco.v16.i6.106408.

本文引用的文献

1
Primary central nervous system marginal zone lymphoma.原发性中枢神经系统边缘区淋巴瘤。
Br J Haematol. 2024 Jan;204(1):31-44. doi: 10.1111/bjh.19238. Epub 2023 Dec 6.
2
Guideline for the diagnosis and management of marginal zone lymphomas: A British Society of Haematology Guideline.边缘区淋巴瘤诊断与管理指南:英国血液学学会指南
Br J Haematol. 2024 Jan;204(1):86-107. doi: 10.1111/bjh.19064. Epub 2023 Nov 13.
3
Erdheim-Chester Disease.厄德海姆-切斯特病。
AJNR Am J Neuroradiol. 2023 May;44(5):505-510. doi: 10.3174/ajnr.A7832. Epub 2023 Mar 30.
4
Chemotherapy is an efficient treatment in primary CNS MALT lymphoma.化疗是原发性中枢神经系统黏膜相关淋巴组织淋巴瘤的有效治疗方法。
J Neurooncol. 2022 Aug;159(1):151-161. doi: 10.1007/s11060-022-04052-1. Epub 2022 Jun 20.
5
Treatment Outcomes of Intracranial Myeloid Sarcomas: A Meta-Analysis.颅内髓样肉瘤的治疗结果:一项荟萃分析。
World Neurosurg. 2021 Apr;148:29-37. doi: 10.1016/j.wneu.2021.01.004. Epub 2021 Jan 11.
6
Meningeal marginal zone B-cell lymphoma: The meningioma trap.脑膜边缘区B细胞淋巴瘤:脑膜瘤陷阱。
Eur Ann Otorhinolaryngol Head Neck Dis. 2018 Apr;135(2):131-132. doi: 10.1016/j.anorl.2017.12.002. Epub 2018 Jan 10.
7
Extranodal Marginal Zone Lymphoma of the Central Nervous System.中枢神经系统结外边缘区淋巴瘤
Clin Lymphoma Myeloma Leuk. 2018 Jan;18(1):34-37.e8. doi: 10.1016/j.clml.2017.09.012. Epub 2017 Sep 23.
8
Structural and functional features of central nervous system lymphatic vessels.中枢神经系统淋巴管的结构和功能特征。
Nature. 2015 Jul 16;523(7560):337-41. doi: 10.1038/nature14432. Epub 2015 Jun 1.
9
Magnetic resonance imaging of meningiomas: a pictorial review.脑膜瘤的磁共振成像:影像学综述。
Insights Imaging. 2014 Feb;5(1):113-22. doi: 10.1007/s13244-013-0302-4. Epub 2014 Jan 8.
10
Intracranial mucosa-associated lymphoid tissue (MALT) lymphoma.颅内黏膜相关淋巴组织(MALT)淋巴瘤。
J Clin Neurosci. 2010 May;17(5):666-9. doi: 10.1016/j.jocn.2009.10.001. Epub 2010 Mar 3.