Suppr超能文献

酷似肾结核脓肿的肾表皮样囊肿:一例报告

Renal epidermoid cyst mimicking renal tuberculous abscess: a case report.

作者信息

Gao Jian, Luo Huijiu, Zhu Han, Liu Zhengdao, Li Mingzhou, Chen Yuzhu, Wang Shiyu, Zhou Chao, Li Zhenhao, Liang Guobiao, Chen Shulian

机构信息

Department of Urology, Affiliated Hospital of Zunyi Medical University, Zunyi, Guizhou, China.

出版信息

Front Med (Lausanne). 2025 Jul 22;12:1632764. doi: 10.3389/fmed.2025.1632764. eCollection 2025.

Abstract

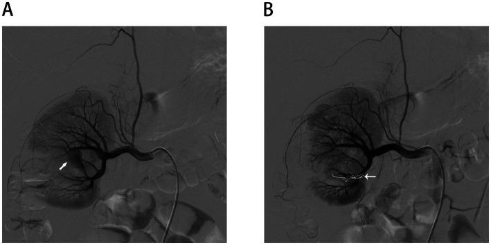
Renal epidermoid cysts (RECs) are exceedingly rare benign cystic lesions, with only 15 histologically confirmed cases reported worldwide to date. Due to their non-specific clinical and radiological features, they are often misdiagnosed preoperatively as infectious or neoplastic conditions. Here, we report a 25-year-old man in whom a complex renal cyst was incidentally identified during a routine health examination. Retrospectively, the patient reported mild urinary frequency and low-grade fever. Imaging suggested a non-enhancing heterogeneous cyst in the lower pole of the right kidney. Laparoscopic partial nephrectomy was performed, revealing abundant yellow-white caseating material intraoperatively, prompting empirical anti-tuberculosis therapy in the context of regional endemicity. However, histopathological analysis confirmed a diagnosis of RECs, and anti-tuberculous treatment was subsequently withdrawn. On postoperative day 5, the patient developed gross hematuria due to a renal artery pseudoaneurysm, which was successfully managed with selective arterial embolization. This case highlights the diagnostic challenges posed by atypical cystic renal lesions and underscores the importance of integrating imaging, intraoperative findings, and histopathology. Including RECs in the differential diagnosis may prevent unnecessary antituberculous therapy and overtreatment.

摘要

肾表皮样囊肿(RECs)是极其罕见的良性囊性病变,迄今为止全球仅报告了15例经组织学确诊的病例。由于其非特异性的临床和影像学特征,它们在术前常被误诊为感染性或肿瘤性疾病。在此,我们报告一名25岁男性,其在常规健康检查中偶然发现一个复杂肾囊肿。回顾性分析,患者自述有轻度尿频和低热。影像学检查显示右肾下极有一个无强化的不均匀囊肿。实施了腹腔镜部分肾切除术,术中发现大量黄白色干酪样物质,鉴于当地的地方病情况,给予经验性抗结核治疗。然而,组织病理学分析确诊为肾表皮样囊肿,随后停用抗结核治疗。术后第5天,患者因肾动脉假性动脉瘤出现肉眼血尿,通过选择性动脉栓塞成功处理。该病例凸显了非典型囊性肾病变带来的诊断挑战,并强调了综合影像学、术中发现和组织病理学的重要性。将肾表皮样囊肿纳入鉴别诊断可避免不必要的抗结核治疗和过度治疗。

https://cdn.ncbi.nlm.nih.gov/pmc/blobs/8b6d/12321514/74a7fd02556f/fmed-12-1632764-g001.jpg

文献检索

告别复杂PubMed语法,用中文像聊天一样搜索,搜遍4000万医学文献。AI智能推荐,让科研检索更轻松。

立即免费搜索

文件翻译

保留排版,准确专业,支持PDF/Word/PPT等文件格式,支持 12+语言互译。

免费翻译文档

深度研究

AI帮你快速写综述,25分钟生成高质量综述,智能提取关键信息,辅助科研写作。

立即免费体验