Suppr超能文献

利用糖苷酶消化后结合凝集素对兔输卵管中复合碳水化合物进行原位表征。

Characterisation in situ of the complex carbohydrates in rabbit oviduct using digestion with glycosidases followed by lectin binding.

作者信息

Menghi G, Bondi A M, Accili D, Fumagalli L, Materazzi G

出版信息

J Anat. 1985 Jun;140 ( Pt 4)(Pt 4):613-25.

Abstract

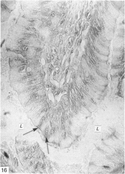
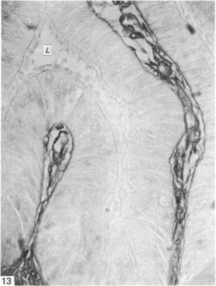
Enzymatic degradation followed by lectin application was carried out on specimens of the rabbit oviduct. The sequential application of the glycosidases (neuraminidase, alpha-L-fucosidase, beta-galactosidase and alpha-mannosidase) and lectins (peanut, winged pea, wheat germ and soybean) seem promising as an effective method for characterising, in situ, the structure of complex carbohydrate chains. The data obtained after digestion with neuraminidase and alpha-L-fucosidase indicate the presence of a continuous layer of sialoglycoconjugates and fucoglycoconjugates that completely covers the luminal surfaces of the ampulla. The different reactivity of the glycocalyx and the secretory products indicates a different chemical composition of glycoconjugates in the glycocalyx and secretions. Although it is very difficult to explain the lectin affinity and the functional significance of the positive cells, some hypotheses have been advanced.

摘要

对兔输卵管标本进行酶解后再应用凝集素。糖苷酶(神经氨酸酶、α-L-岩藻糖苷酶、β-半乳糖苷酶和α-甘露糖苷酶)和凝集素(花生凝集素、四棱豆凝集素、麦胚凝集素和大豆凝集素)的顺序应用似乎是一种原位表征复杂碳水化合物链结构的有效方法。用神经氨酸酶和α-L-岩藻糖苷酶消化后获得的数据表明,存在一层连续的唾液酸糖缀合物和岩藻糖糖缀合物,它们完全覆盖了壶腹部的管腔表面。糖萼和分泌产物的不同反应性表明糖萼和分泌物中糖缀合物的化学组成不同。尽管很难解释凝集素亲和力和阳性细胞的功能意义,但已经提出了一些假设。

https://cdn.ncbi.nlm.nih.gov/pmc/blobs/42ec/1165086/bd99d7127d7c/janat00196-0072-a.jpg

文献检索

告别复杂PubMed语法,用中文像聊天一样搜索,搜遍4000万医学文献。AI智能推荐,让科研检索更轻松。

立即免费搜索

文件翻译

保留排版,准确专业,支持PDF/Word/PPT等文件格式,支持 12+语言互译。

免费翻译文档

深度研究

AI帮你快速写综述,25分钟生成高质量综述,智能提取关键信息,辅助科研写作。

立即免费体验