Suppr超能文献

一名肾移植患者的皮肤利什曼病:非流行地区的诊断挑战

Cutaneous leishmaniasis in a renal transplant patient: Diagnostic challenges in a non-endemic setting.

作者信息

Nasir Zishan, Abdallah Bushra M, Aboukamar Mohamed, Ali Syed Hidayat, Khan Saifatullah, Abujarir Sulieman, Almaslamani Muna, Othman Muftah

机构信息

Division of Nephrology, Department of Medicine, Hazm Mebaireek General Hospital, Hamad Medical Corporation, Doha, Qatar.

College of Medicine, QU Health, Qatar University, Doha, Qatar.

出版信息

IDCases. 2025 Jul 27;41:e02333. doi: 10.1016/j.idcr.2025.e02333. eCollection 2025.

Abstract

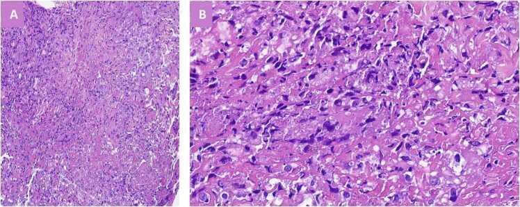
Leishmanial infections, though uncommon in Southeast and Central Asia, remain clinically significant due to their potential to cause substantial morbidity and mortality. This case report presents a young Nepalese male, four years post-renal transplant and with chronic allograft dysfunction secondary to non-compliance, who presented with a right chest skin lesion and fever. Initially suspected to be cutaneous tuberculosis or malignancy, investigations, including a skin biopsy, revealed cutaneous leishmaniasis. The patient responded well to treatment with liposomal amphotericin B, highlighting the importance of considering leishmaniasis in differential diagnoses, especially in immunocompromised individuals from, or travelling to, endemic regions.

摘要

利什曼原虫感染在东南亚和中亚虽不常见,但因其有可能导致严重发病和死亡,临床上仍具有重要意义。本病例报告介绍了一名年轻的尼泊尔男性,肾移植术后四年,因不遵医嘱继发慢性移植肾功能不全,出现右侧胸部皮肤病变和发热症状。最初怀疑为皮肤结核或恶性肿瘤,包括皮肤活检在内的检查显示为皮肤利什曼病。患者接受脂质体两性霉素B治疗后反应良好,这突出了在鉴别诊断中考虑利什曼病的重要性,尤其是对于来自流行地区或前往流行地区的免疫功能低下个体。

https://cdn.ncbi.nlm.nih.gov/pmc/blobs/d396/12332865/d411c37a5e1b/gr1.jpg

文献检索

告别复杂PubMed语法,用中文像聊天一样搜索,搜遍4000万医学文献。AI智能推荐,让科研检索更轻松。

立即免费搜索

文件翻译

保留排版,准确专业,支持PDF/Word/PPT等文件格式,支持 12+语言互译。

免费翻译文档

深度研究

AI帮你快速写综述,25分钟生成高质量综述,智能提取关键信息,辅助科研写作。

立即免费体验