Suppr超能文献

来自KM71的密码子优化的多酚氧化酶的活性表达及性质分析

Activity Expression and Property Analysis of Codon-Optimized Polyphenol Oxidase from in KM71.

作者信息

Zhang Xin, Xu Yong-Quan, Yin Jun-Feng, Zou Chun

机构信息

Tea Research Institute, Chinese Academy of Agricultural Sciences, Key Laboratory of Biology, Ministry of Agriculture and Rural Affairs, 9 South Meiling Road, Hangzhou 310008, China.

出版信息

Foods. 2025 Aug 6;14(15):2749. doi: 10.3390/foods14152749.

Abstract

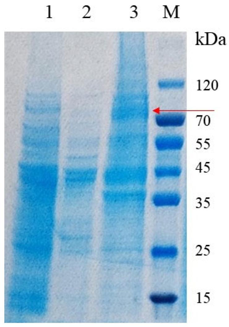
Tea polyphenol oxidase (CsPPO) is a crucial enzyme involved in the production of tea and tea products. However, the recombinant expression of CsPPO in microorganisms is often hindered by challenges such as inclusion body formation and extremely low enzyme activity. In this study, the gene (1800 bp) from cv. Yihongzao was cloned and 14.5% of its codons were optimized for expression. Compared to pre-optimization, codon optimization significantly enhanced CsPPO production in KM71, yielding a 42.89-fold increase in enzyme activity (1286.67 U/mL). The optimal temperature and pH for recombinant CsPPO were determined to be 40 °C and 5.5, respectively. This study demonstrates that codon optimization effectively improves the expression of plant-derived enzymes such as CsPPO in eukaryotic expression systems. Future research should explore the long-term stability of recombinant CsPPO and its potential applications in tea fermentation processes and functional food development.

摘要

茶多酚氧化酶(CsPPO)是参与茶叶及茶制品生产的一种关键酶。然而,CsPPO在微生物中的重组表达常常受到诸如包涵体形成和酶活性极低等挑战的阻碍。在本研究中,克隆了来自宜红早品种的基因(1800 bp),并对其14.5%的密码子进行了优化以用于表达。与优化前相比,密码子优化显著提高了KM71中CsPPO的产量,酶活性提高了42.89倍(1286.67 U/mL)。重组CsPPO的最适温度和pH分别确定为40℃和5.5。本研究表明,密码子优化有效地提高了植物源酶如CsPPO在真核表达系统中的表达。未来的研究应探索重组CsPPO的长期稳定性及其在茶叶发酵过程和功能性食品开发中的潜在应用。

https://cdn.ncbi.nlm.nih.gov/pmc/blobs/b1ec/12345873/ce97d9bd30e5/foods-14-02749-g001.jpg

文献AI研究员

20分钟写一篇综述,助力文献阅读效率提升50倍。

立即体验

用中文搜PubMed

大模型驱动的PubMed中文搜索引擎

马上搜索

文档翻译

学术文献翻译模型,支持多种主流文档格式。

立即体验